My BEST Dentists Journal

Share

7 Most Common Bite Problems in Children and Adults

Your bark may be worse than your bite, but your bite is a very important part of your oral health. In orthodontics, “bite” refers to the way upper and lower teeth come together. A bad bite, called a “malocclusion,” happens when teeth meet improperly, or they don’t meet at all. While each individual bite problem is unique, there are seven broad types of bite problems that are common in children and adults.

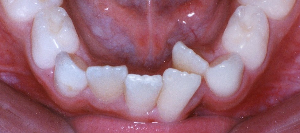
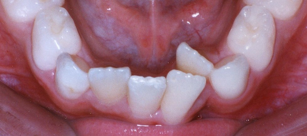
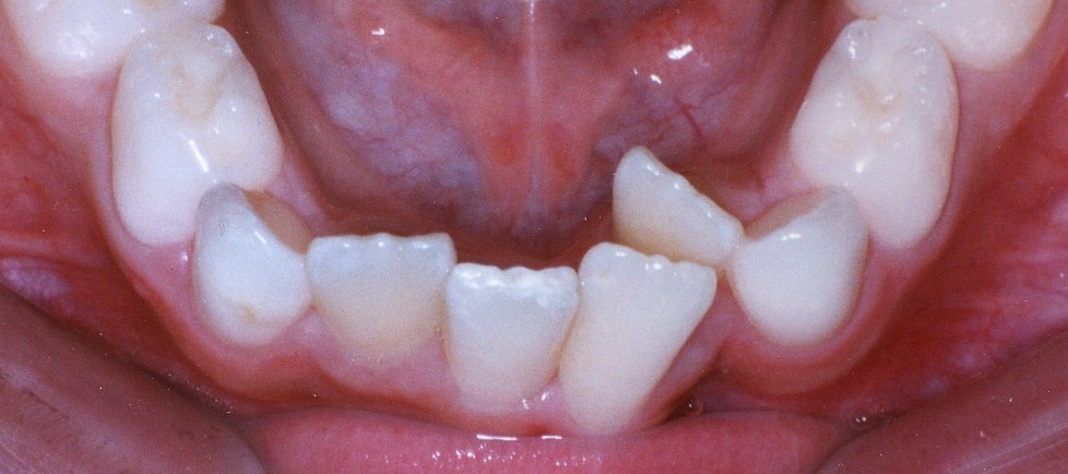
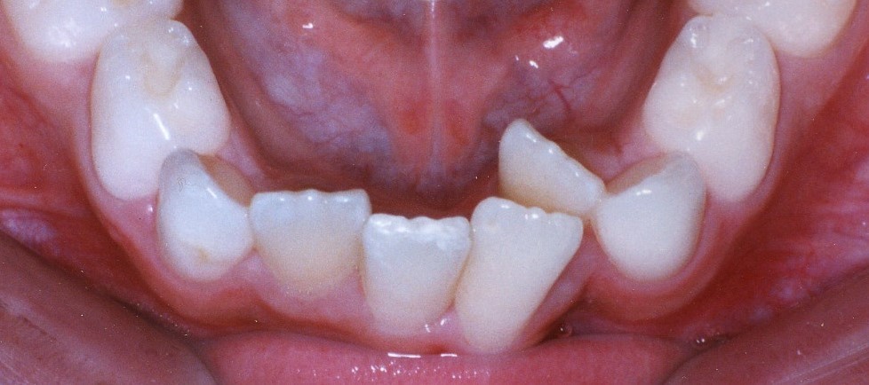
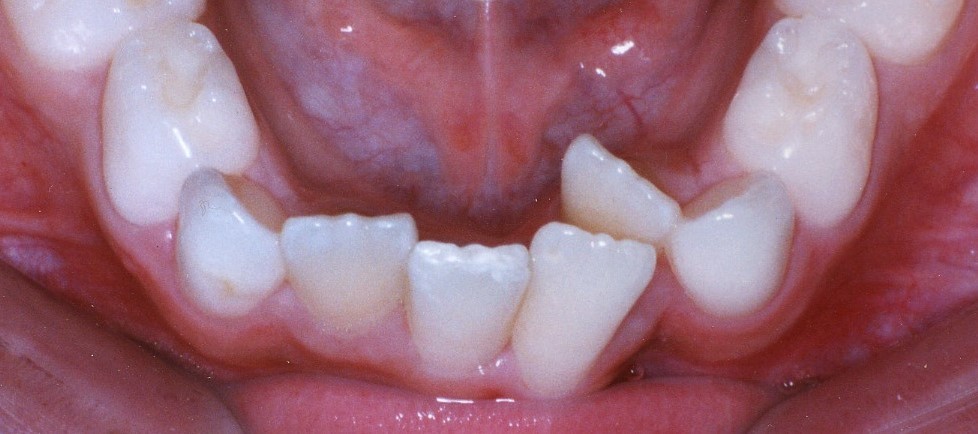
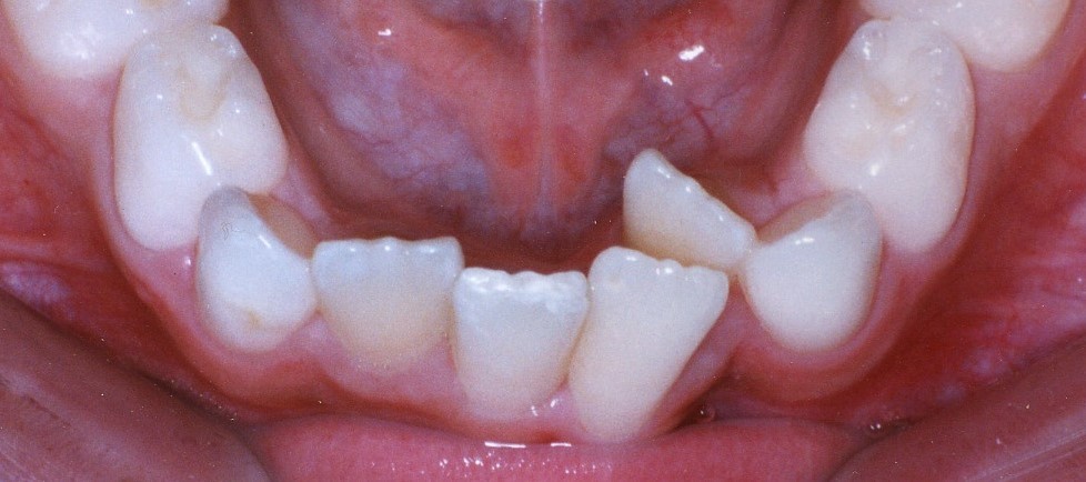
1. Crossbite

When upper teeth fit inside of lower teeth. Can be caused by misalignment of teeth (including baby teeth) or a misalignment of the bone; can affect a single tooth or groups of teeth.

Possible consequences if not corrected: The jaw shifts to one side; lopsided jaw growth; wearing down of outer layer of the tooth called “enamel”.

Posterior crossbite: If the back teeth are affected, upper teeth are to the inside of bottom teeth.

Anterior crossbite: If the front teeth are in crossbite, the top teeth are behind the bottom teeth.

2. Underbite

The lower jaw sits in front of the upper jaw.

Possible consequences if not corrected: Face has “bull dog” appearance; tooth wear; stress on jaw joints. 

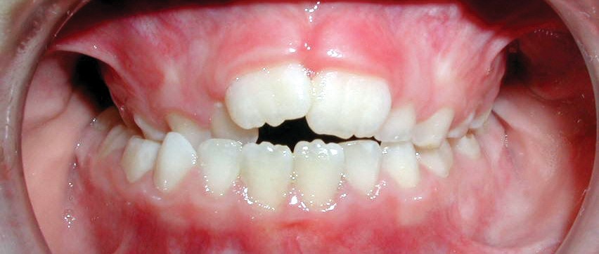
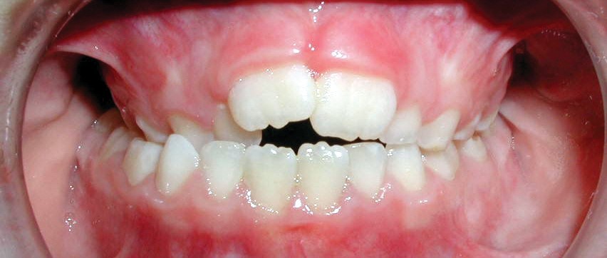
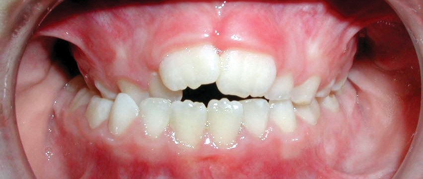
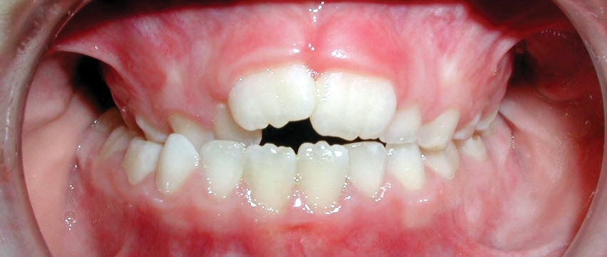
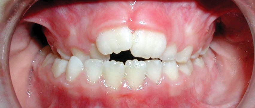
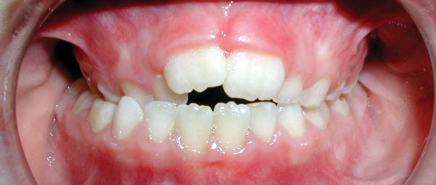
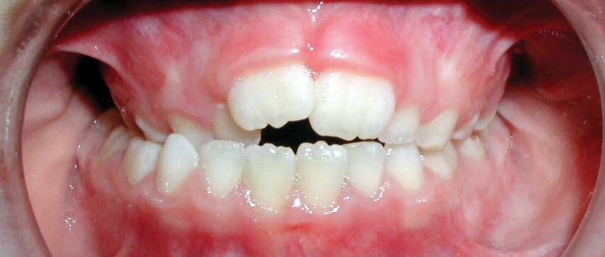
3. Open bite

Anterior open bite: Occurs when the back teeth are together, and the upper and lower front teeth do not overlap. This can result from excessive sucking, tongue thrusting or mouth breathing.

Posterior open bite: Occurs when the front teeth meet, but the back teeth do not.

Possible consequences if not corrected: Swallowing problems; tongue pushes through teeth when swallowing. Possible speech problems.

4.- Deep bite

When the bite is closed, the upper front teeth cover the bottom teeth too much.

Possible consequences if not corrected: Upper teeth can bite into lower gums; lower teeth can bite into the roof of the mouth. Possible gum disease, early enamel wear.

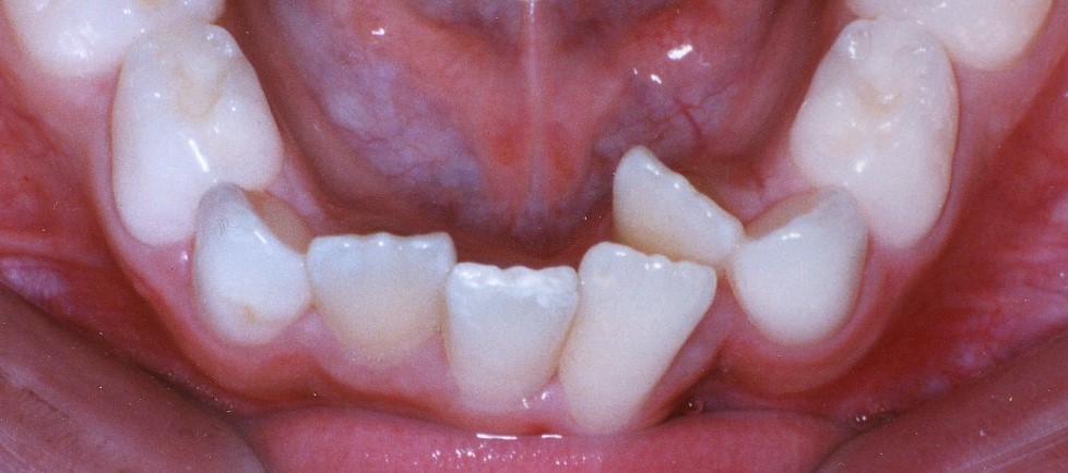
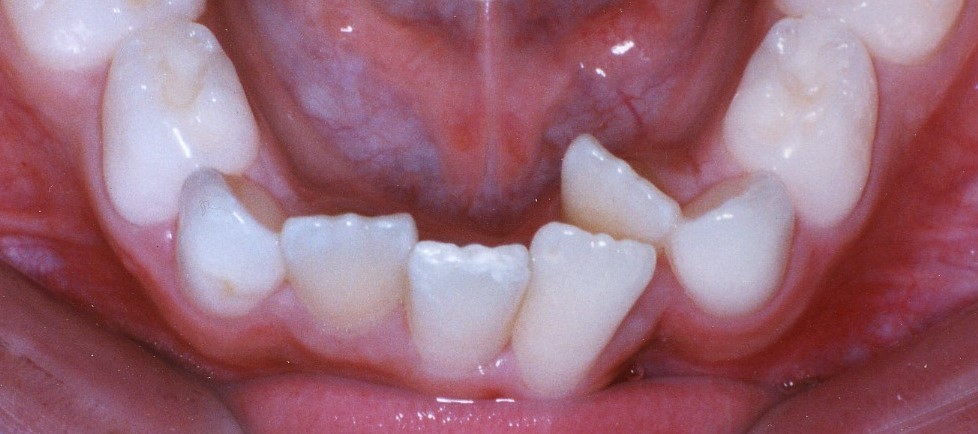
5. Crowding

Insufficient space for the teeth. This can be a result of big teeth or inadequate space in the jaw or both. This may result in teeth that overlap, are rotated, or take on a crooked/staggered appearance.

Possible consequences if not corrected: Hard to clean; possible cavities, especially in between the teeth; gum disease. 

6. Spacing

Too much space between teeth. It can result from missing teeth, undersized teeth, oversized jaws, or a combination of these conditions.

Possible consequences if not corrected: Food gets stuck in open areas. Possible cavities, gum disease. 

7. Protrusion

Front teeth that stick out (“buck” teeth). Teeth may appear protrusive because the upper jaw is too far forward, the lower jaw is too far back, the teeth grew in at an angle, or a combination of these conditions. Sometimes people who have protrusive front teeth also have a deep bite.

Possible consequences if not corrected: Upper teeth are prone to accidental breaking; hard to comfortably close the mouth and lips, leading to dried out oral tissues followed by tooth decay. Speech problems. Long, narrow face.

If you suspect that you or a loved one has one of the seven common bite problems, an AAO (American Association of Orthodontists) orthodontist can help. Parents – there’s no need to wait until your child has lost all her baby teeth before you consult an orthodontist. It’s fine to talk to an orthodontist as soon as you think you see a problem in your child.

(01/16/2021)
by AAO

More Information: https://www.mybestdentists.com/resources/AmericanAssociationofOrthodon

Views: 2,999
Share
Share

Benefits of early orthodontic treatment

Timing is everything – even when it comes to your child’s orthodontic treatment. “Early” treatment, also called “interceptive” treatment, means treatment that is performed while some baby teeth are still present.

The American Association of Orthodontists (AAO) recommends that your child’s first check-up with an orthodontist be performed when an orthodontic problem is first recognized, but no later than age 7. Why age 7? By then, your child has enough permanent teeth for an orthodontist to evaluate the developing teeth and the jaws, which in turn can provide a wealth of information. AAO orthodontists are trained to spot subtle problems even in young children.

There are generally three outcomes of an initial check-up:

No treatment is expected to be necessary.

Treatment may be needed in the future, so the child will be followed periodically while the face and jaws continue to grow.

There is a problem that lends itself to early treatment.

While there are many orthodontic problems that orthodontists agree are best treated after all permanent teeth have come in, early treatment can be in a patient’s best interests if their problem is one that could become more serious over time if left untreated. The goal of early treatment is to intercept the developing problem, eliminate the cause, guide the growth of facial and jaw bones, and provide adequate space for incoming permanent teeth. A patient may require a second course of treatment after all permanent teeth have come in to move those teeth into their best positions.

The kinds of problems orthodontists may recommend treating while a child still has some baby teeth include:

Underbites – when the lower front teeth are ahead of the upper front teeth

Crossbites – when the jaw shifts to one side

Very crowded teeth

Excessively spaced teeth

Extra or missing teeth

Teeth that meet abnormally, or don’t meet at all

Thumb-, finger-, or pacifier- sucking that is affecting the teeth or jaw growth

Some of these orthodontic problems are inherited, while others may result from accidents, dental disease, or abnormal swallowing.

Early orthodontic treatment can take many forms. The orthodontist could prescribe a fixed or removable “appliance” – a device used to move teeth, change the position of the jaw, or hold teeth in place in order to bring about desirable changes. Sometimes no appliances are necessary. Rather, removal of some baby teeth may help the permanent teeth erupt better. The extractions will be timed to take best advantage of a patient’s growth and development.

Regardless of how treatment goals are reached, the bottom line is that some orthodontic problems may be easier to correct if they are found and treated early. Waiting until all the permanent teeth have come in, or until facial growth is nearly complete, may make correction of some problems more difficult.

To give your child the best opportunity for a healthy, beautiful smile, visit an AAO orthodontist. No referral needed! Most AAO orthodontists provide an initial consultation at no cost and with no obligation. Your orthodontist can alert you to potential problems and recommend treatment when it is most appropriate for your child. Remember, timing is everything.

he American Association of Orthodontists (AAO) is open exclusively to orthodontists – only orthodontists are admitted for membership. The only doctors who can call themselves “orthodontists” have graduated from dental school and then successfully completed the additional two-to-three years of education in an accredited orthodontic residency program.

When you choose an AAO orthodontist for orthodontic treatment, you can be assured that you have selected a specialist orthodontist, an expert in orthodontics and dentofacial orthopedics who possesses the skills and experience to give you your best smile.

(10/09/2020)
by AAO

More Information: https://www.mybestdentists.com/resources/AmericanAssociationofOrthodon

Views: 3,065
Share
2 Stories, Page: 1


My BEST Dentists Journal Headlines