My BEST Dentists Journal

Share

Antimicrobial film could revolutionize way common dental issues are treated

Three million people in the United States currently have dental implants, and every year that number increases by about 500,000.

But, for some, getting a dental implant is not the end of the story. Similar to what occurs with a natural tooth, bacteria can build up on the implant’s base and below the gum line. Over time, the bacteria can cause peri-implantitis, a condition that eventually can lead to the loss of soft and hard tissue (gums and bone) surrounding the implant.

It’s a condition that typically requires surgical intervention.

Implants originally were designed for a small population and they were considered experimental, said Malcolm Snead, DDS, PhD, professor and division chair of biomedical sciences at the Herman Ostrow School of Dentistry of USC. “There has been a major change in the way dentists use implants, and now implants are widely used to replace teeth with a poor prognosis.”

However, the implant is just as susceptible to biofilm formation and the patient’s immune response, which attempts to limit the infection but also leads to the loss of supporting hard and soft tissues.

 A minimally invasive approach:

Even so, implants are here to stay, and that’s why Snead and two other Ostrow researchers — Professor Casey Chen, DDS, PhD, and Research Assistant Professor Yan Zhou, PhD, along with Professor Candan Tamerler, PhD, a collaborator at the University of Kansas — took on research to create a bifunctional peptide film. This non-surgical intervention is applied in water and can be repeatedly applied to existing implants to reduce bacterial growth. The study, called “Repeatedly Applied Peptide Film Kills Bacteria on Dental Implants,” was published recently in the Journal of the Minerals, Metals and Materials Society.

This is how it works: Snead and his colleagues created a peptide (a short chain of amino acids) that binds to titanium and hung different antimicrobial peptides off this anchor — making a film that kills bacteria, targets the worst pathogens and hopefully reduces the speed of biofilm build up. The therapeutic peptide film could be applied in a dentist’s office but could also work at home, if the FDA approves it for such a use.

 Sniper, not nuclear bomb:

Snead said the implant-protective film would be a water-based rinse, and a patient would swish it around and spit it out.

Right now, some people have to go on low-dose antibiotics to stop the bacteria from building up on their implants, but a focused rinse could be much more targeted.

“It’s a sniper rather than a nuclear bomb,” he said, adding that multiple applications could give patients extra years of service from an implant.

The group hopes to refine these peptides, go to FDA safety testing, and then move to large animal models for testing.

 Bigger ambitions:

Eventually, Snead has a much bigger audience in mind: anyone with periodontal disease, one of the world’s most prevalent infectious diseases.

“Our real goal is to be able to anchor antimicrobials on the tooth’s mineral component and create an antimicrobial environment just by brushing,” he said. “Doing that would hopefully reduce the amount of periodontal disease in the patient population.”

He likened this initial work on implants to Tesla’s strategy of developing better batteries so their cars can go longer and father. “By attacking the implant surface, we get the potential of developing a set of tools and molecules that could be applied to everyone’s teeth.”

(10/13/2020)
by USC

More Information: https://www.mybestdentists.com/dental-schools/UniversityofSouthernCalifornia

Views: 2,924
Share
Share

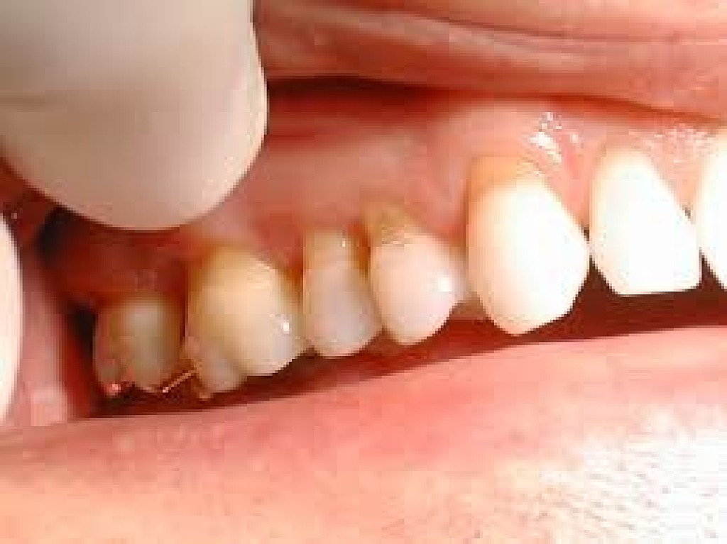
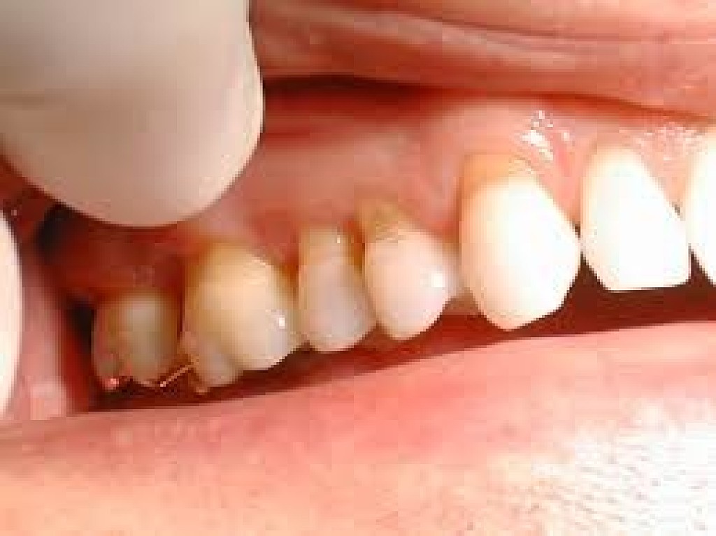
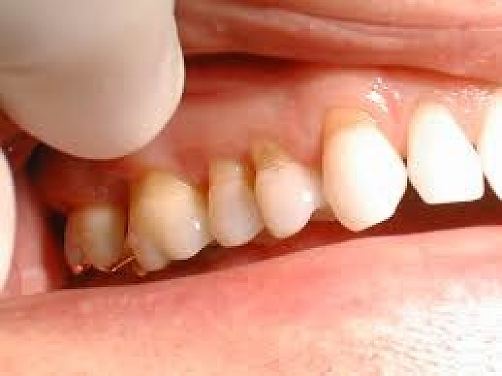
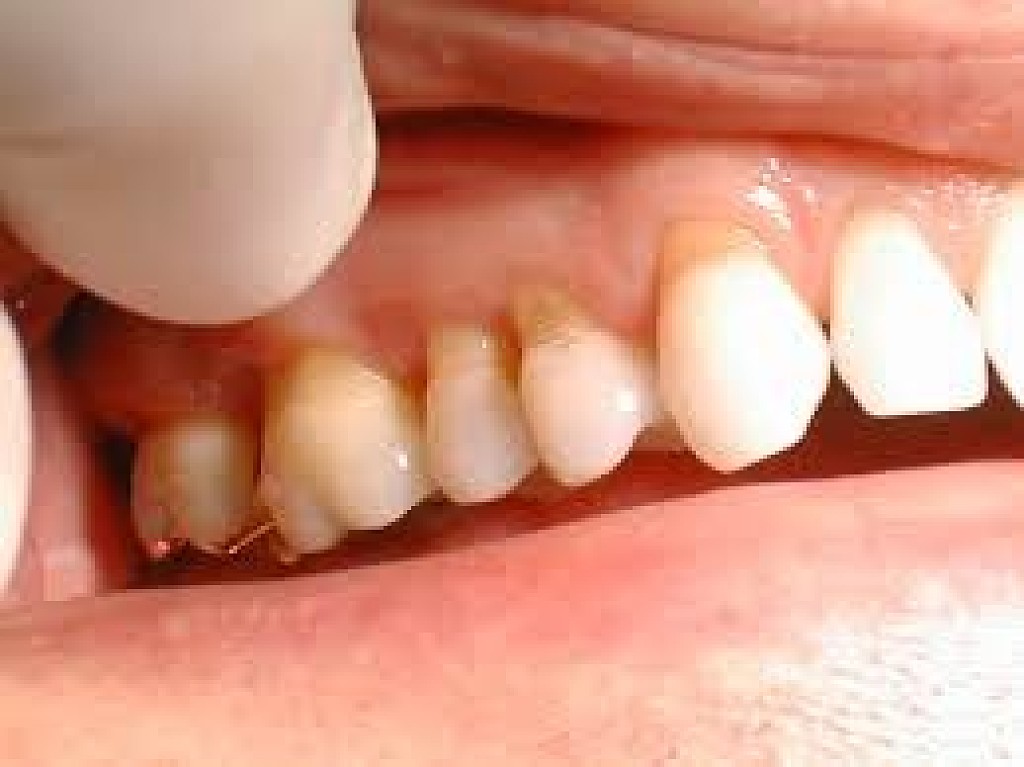
What is Dental Abrasion & Abfraction?

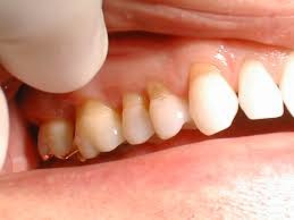
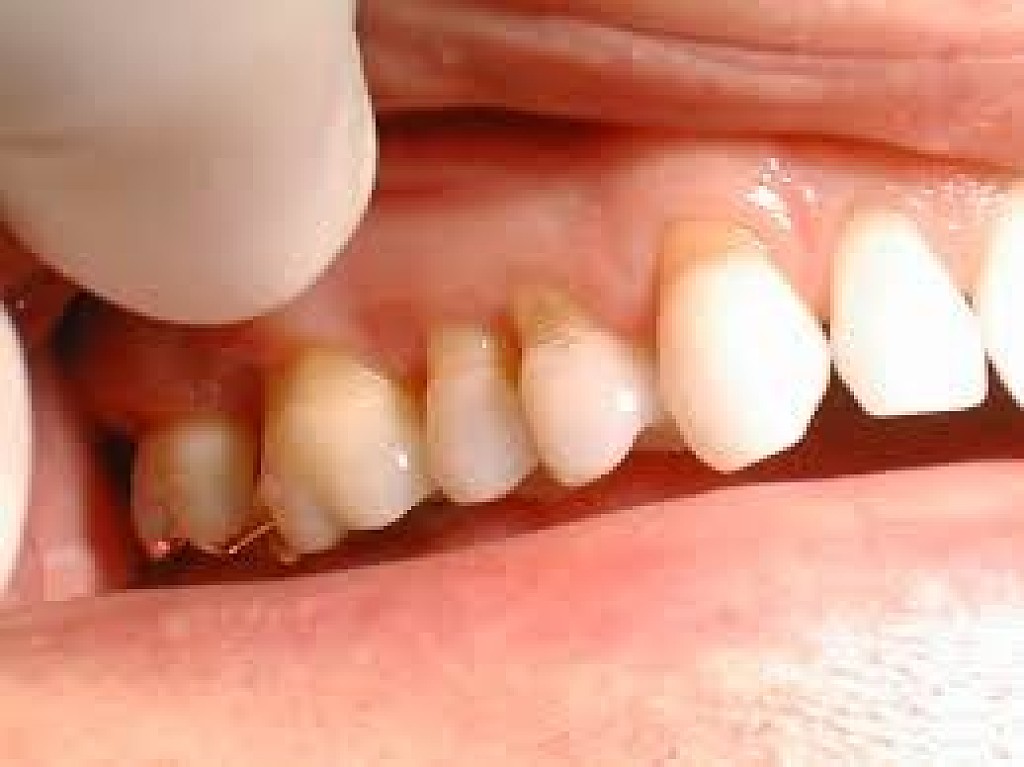
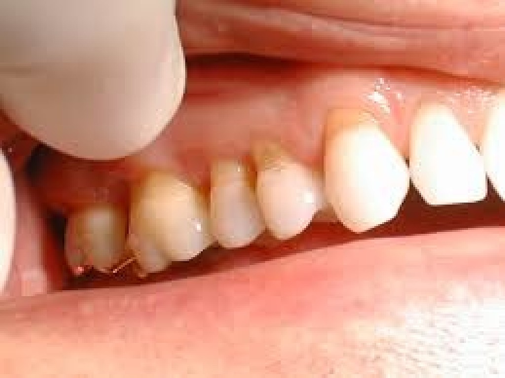
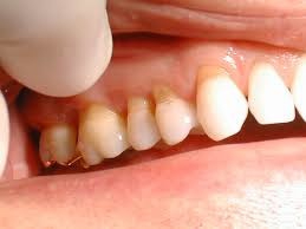
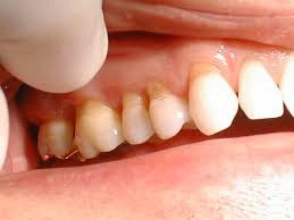
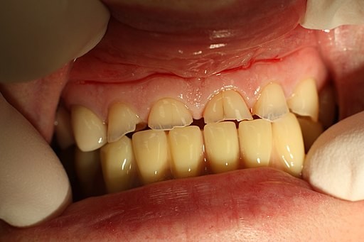
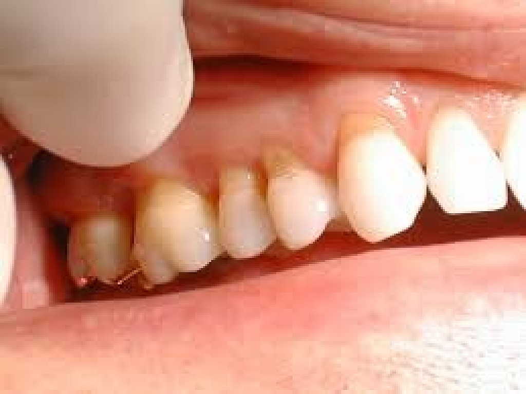
Abrasion is the loss of tooth structure by mechanical forces from a foreign element. If this force begins at the cementoenamel junction, then the progression of tooth loss can be rapid since enamel is thin in this region of the tooth. Once past the enamel, abrasion quickly destroys the softer dentin and cementum structures.

The appearance is commonly described as V-shaped when caused by excessive pressure during tooth brushing. The teeth most commonly affected are premolars and canines. Abrasion usually shows as worn, shiny, often yellow/brown areas at the cervical margin.

Abrasion is the wearing away of tooth surface caused by friction or a mechanical process. Abrasion happens when teeth are brushed too vigorously in sweeping horizontal strokes. The use of a hard toothbrush can also cause the problem.

It is often evident on the outer surfaces of the back teeth. A wedge or V-shaped indentation of the tooth will be seen at the gum margin. Toothbrush abrasion can be repaired by bonding a tooth-colored filling over the abraded area of the tooth.

Dental Abrasion Causes

Sources of tooth erosion from dental abrasion include: Vigorous horizontal tooth brushing, Nail biting, pen biting, and pipe smoking, Denture clasps, Abrasive dentifrices, Hard toothbrushes.

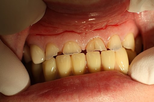
What is dental abfraction?

Abfraction is the loss of tooth structure from flexural forces. This has not been supported by dental research, but it is hypothesized that enamel, especially at the cementoenamel junction (CEJ), undergo this pattern of destruction by separating the enamel rods.

As teeth flex under pressure, the arrangement of teeth touching each other, known as occlusion, causes tension on one side of the tooth and compression on the other side of the tooth. This is believed to cause V-shaped depressions on the side under tension and C-shaped depressions on the side under compression.

This theory does not fully satisfy many researchers because there are many teeth whose occlusion causes tension and compression on either side. Consequently, it would be expected that many more teeth would show signs of abfraction, but this is not the case. Research is ongoing to identify the role abfraction has on this pattern of tooth destruction.

What are the causes of abfraction?

Occlusal forces are blamed as they might cause the tooth to flex, causing small enamel flecks to break off, inducing the abrasive lesions. Usually, there are wedge-shaped lesions with sharp angles found at the cervical margins.

(10/09/2020)
by USC

More Information: https://www.mybestdentists.com/dental-schools/UniversityofSouthernCalifornia

Views: 3,246
Share
2 Stories, Page: 1


My BEST Dentists Journal Headlines