My BEST Dentists Journal

All Journal Entries
Share

Tooth tech could help dentists diagnose problems more quickly

Imagine that your dentist's office has a new cyber assistant. This virtual aide can look for troublesome signs on your X-rays while your dentist conducts your exam. The X-ray analysis might be cheaper and more precise—and you're freed from the chair a little faster.

This scenario could become reality in the not-too-distant future, thanks to an interdisciplinary team of researchers from the School of Dental Medicine and the School of Engineering. The group is creating an artificial intelligence (AI) program that scans dental images like panoramic X-rays and alerts clinicians to results that require follow up.

"There is big potential for the use of AI in dental diagnosis," said Aruna Ramesh, professor and associate dean for academic affairs at the dental school, and a specialist in maxillofacial radiology.

Projects like this are just part of a shift toward "digital dentistry," as technology transforms a profession that was once mostly dependent on manual skills. With the aid of computers, dentists can now produce crowns in their office in about the time it takes to make a pair of eyeglasses, for example. They can also use software to design drill guides customized for their patients' jaws, to help place implants more accurately.

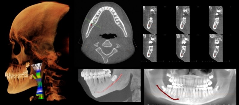
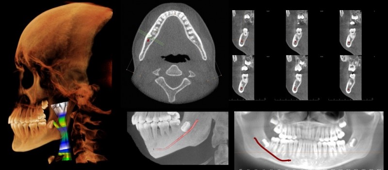
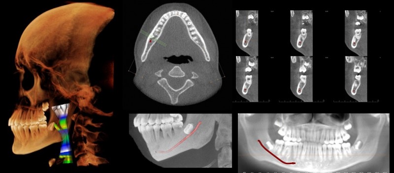
Imaging technologies such as MRIs and cone-beam CT scans, which produce a 3-D cross-sectional image, have expanded the ways dentists can explore beyond the teeth and gums. Panoramic X-rays, which capture the whole mouth in one two-dimensional image, are commonly used during checkups and to plan dentures, implants, braces, and extractions.

But interpreting some of these images can be time-consuming—and dental insurance typically does not cover the cost of analyzing an X-ray, Ramesh said. If digital advancements could speed up the analysis, the cost to the patient could drop.

An AI analysis can potentially cut down on human error. According to Karen Panetta, professor and dean of graduate education at the School of Engineering, images like an X-ray contain information that the eye can't detect but a computer can.

Ramesh, Panetta, and graduate engineering student Rahul Rajendran hope to teach the AI system to scan images—they are starting with panoramic X-rays—and flag areas that appear abnormal. Panetta has done similar work using AI to read mammograms or detect signs of cancer revealed by other kinds of medical imaging, as well as detecting diseases like COVID-19.

"Everybody thinks AI is a magic box you stick data in and it gives you answers," Panetta said. "But first you have to inform the AI by giving it robust data, curated by validated experts."

So Ramesh and a dental student, Ruby Wagimin, D20, have been analyzing a thousand panoramic X-rays, feeding detailed descriptions into the AI program. The program also records the researchers' spoken comments and tracks their eye movements—whether they hesitate for a fraction of a second on a particular spot, for example.

Once that data is assembled, the researchers will have the AI program spit out its assessment of the X-rays, flagging those with suspected abnormalities, and compare that analysis with the professionals' conclusions. With wide variation among normal human jaws, it is a task that's hard to standardize.

Even if the results from this initial round are promising, the AI will need years to assimilate data from hundreds of thousands more X-rays before it is ready to show up at your dentist's office—strictly in a supporting role. "The computer is not becoming the radiologist," Ramesh said. "I don't think it will ever replace a diagnostician."

(08/03/2020)
by Tufts University

More Information: https://www.mybestdentists.com/dental-schools/TuftsUniversity

Views: 1,929
Share


My BEST Dentists Journal Headlines