Dentists Journal

Top Ten Stories of the Week
8/13/2022

All Dentists Journal · Previous Week · This Week · All Time List · Headlines

Share

Five Cavity Symptoms You Shouldn’t Ignore

Food is wonderful (and, you know, essential to living). That’s why it’s honestly rude that it can contribute to cavities. Sometimes cavities fly under the radar. Other times, though, cavity symptoms might make you feel like your mouth is a complete wreck.

Also known as dental caries or tooth decay, cavities are damaged areas in your enamel, that hard outer surface of your teeth, according to the Mayo Clinic. This damage happens as a result of plaque, a sticky bacterial film that feeds on food and drink debris hanging out on your teeth. If you don’t brush and floss often and well enough to regularly remove plaque, it can bore into your teeth’s enamel and create little holes. Bam, now you’ve got cavities that might make themselves known in any number of irritating ways.

With that in mind, we consulted dentists for the top cavity symptoms that should catch your attention. If you’re dealing with any of these, go get treatment ASAP before the cavity has time to spread.

1. You have a toothache, and you don’t know why.

Tooth decay is the most common cause of toothaches, the Mayo Clinic says, although things like injuring your teeth or having a sinus infection can cause them, too. But if a toothache comes on suddenly and nothing else about your health has changed, it could definitely be due to a cavity.

Once a cavity gets through your enamel, it keeps drilling down into the next layer, which is called dentin, Mark S. Wolff, D.D.S., Ph.D., professor and chair of the Department of Cariology and Comprehensive Care at the New York University College of Dentistry, tells SELF. A cavity can even travel into the pulp of your teeth, which is the center part that’s made up of living tissue and cells. “As a cavity gets closer to the pulp of the tooth, the pulp is more likely to become inflamed, causing pain,” Dr. Wolff explains.

To be clear, cavities don’t always hurt, Susan Maples, D.D.S., author of Blabber Mouth! 77 Secrets Only Your Mouth Can Tell You to Live a Healthier, Happier, Sexier Life, tells SELF. But if you’re feeling random pain in your teeth, it’s a good idea to get a dentist’s opinion on what’s causing it.

2. You feel sensitivity or pain when you eat or drink something acidic, cold, hot, sticky, or sweet.

Some people just have sensitive teeth, Julie Cho, D.M.D., a general dentist in New York City, tells SELF, but this issue could also come down to cavities.

When a cavity snakes its way down to the dentin of your teeth, hollow canals known as microscopic tubules allow acidic, cold, hot, sticky, or sweet foods to stimulate the nerves and cells inside your teeth, according to the American Dental Association. This feels about as good as it sounds.

While you should definitely see a dentist about unusual sensitivity in your teeth, you should be especially quick about it if you’re feeling actual pain. That might mean your cavity is more advanced, Chris Kammer, D.D.S., founding father of the American Academy for Oral Systemic Health and spokesperson for Spry Dental Defense, tells SELF.

3. You can actually see a hole or pit on your tooth.

When a cavity starts to form, it usually shows up as a small white spot on the surface of your tooth, Dr. Wolff says. When the erosion gets worse and the cavity begins to burrow into your tooth, it forms a hole or pit that might be visible to the naked eye. This is a clear sign that you have a cavity requiring dental help, Dr. Maples says.

4. Your teeth are stained brown, black, or white.

Sure, your teeth can get discolored from your daily coffee habit. But if you notice a discolored spot with a different hue from the rest of your teeth, it can be a sign of tooth decay, Dr. Maples says. Although cavities typically first look like little white marks, they can eventually pick up stains from the foods and beverages you consume, turning them a different color, Dr. Maples says.

5. You feel a sharp jolt of pain when you bite down.

This is another potential sign that your tooth’s pulp is inflamed, Dr. Wolff says. It can also be a sign that the pulp has actually died due to infection and is pressing down on the root underneath, Dr. Maples says. The root is connected to the bone underneath that helps keep your tooth in place, so this can feel pretty disastrous. “Any pressure down on that would hurt,” Dr. Maples says.

There’s always a chance that pain like this could be a sign of something like a cracked tooth, but the point is that no matter the cause, you’ll need to see a dentist for a fix. When left untreated, a cavity can damage a tooth badly enough that it needs to be extracted. “Go see a professional to get an X-ray and a clinical diagnosis,” Dr. Cho says. “​You cannot will away dental pain."

(08/06/2022)
by Korin Miller

More Information: N


Views: 710
Share
Share

Dental Caries: How They Are Formed and What To Do to Prevent Them

Dental caries (cavities) are the most common form of oral disease known to man, and the process of getting caries is called tooth decay.

Tooth decay is the destruction of tooth enamel – the hard, outer layer of the teeth. This issue can affect children, teenagers and adults. Plaque, a sticky film of germs, is constantly forming on your teeth. When you eat or drink foods or beverages containing sugars, the germs in plaque produce acids that attack tooth enamel. The stickiness of the plaque keeps these acids in contact with your teeth, and over time the enamel can break down, as explained by the South African Dental Asociation (SADA).

The types of caries formed can be broken down into two major groups:

Pit and fissure caries. These are found most often on the chewing surfaces of the back (molar and premolar) teeth, and the back of the front (anterior) teeth. Teeth are made up of several sections of enamel, and where these sections meet, pits and grooves can trap plaque, causing decay. The proper application of pit and fissure sealants, a hard plastic material applied to seal the grooves and pits when the teeth have erupted, can prevent this type of dental caries. The sealants also make you less likely to need restorations (fillings) on those surfaces of the teeth.

Smooth surface caries. These are commonly found along the gumline or where two teeth touch (interproximal areas or the space between teeth), if plaque forms in those areas. With the proper use of dental floss, you can prevent most smooth surface caries in the interproximal area, and using a manual or power toothbrush along the gumline can prevent caries in that area as well.

Oral Hygiene Tools and Preventive Products

There are many dental health aids available that can help you avoid dental caries. A quality toothbrush that has the proper angulation and bristles to help remove plaque is essential. Inexpensive power brushes are also available to help remove plaque more effectively. Your dental hygienist or dentist can help you select the best toothbrush for plaque removal.

Using toothpaste containing fluoride is also a great way to prevent dental caries, as fluoride provides a protective coating that neutralizes the acid attack caused by plaque. Once again, it's best to ask your dental hygienist or dentist for a professional recommendation.

Fluoride varnish is another oral health aid available at your dentist's office. During your routine check-up, your dental hygienist can apply a thin coat of fluoride to your teeth after cleaning. This fluoride contains a concentrated form of fluoride, which is incorporated into the surface of your teeth after being left on for an hour, making the enamel and exposed root surfaces more resistant to the acid attack from plaque. Fluoride also reduces your teeth's sensitivity to heat and cold, and it can reverse caries that are just forming by strengthening the layer of enamel and remineralising the surface.

Thanks to these medical advancements, the occurrence of dental caries in children and adults has reduced dramatically. It is not uncommon to see patients go through their lives without ever having a dental cavity. With consistent dental visits, good oral hygiene habits and a healthy diet, you may be able to go your entire life without encountering the most common oral disease ever faced by man.

(08/06/2022)
by Colgate

More Information: N


Views: 600
Share
Share

Key Things To Tell Your Dentist

The next time you have a check-up….

Here at your Ipswich dental practice we have a thorough list of things we check when you come in for a checkup; like symptoms of mouth cancer, signs of tooth decay and any evidence of bite problems. However, we can be aided in our efforts to help ensure your optimum oral health if you let us know certain things when you come in to see us.

The more we know, the more informed we are about your dental health needs. We can then create a detailed and unique care plan to suit your individual oral health needs. Dr Avina Gandecha from our clinical team advises 10 key things to tell your dentist next time you have a checkup:

1. If You Have Been Having Any Oral Pain

If you have been experiencing any oral pain, it is important for us to know so that we can find out the cause. Even sensitive teeth are usually sensitive for a reason. If we know you have pain in a specific area, we can investigate it for you.

2. If Your Gums Have Been Bleeding

Bleeding gums is a common sign of gum disease which can be more easily treated once it is identified in the early stages. If the disease develops it becomes much more serious and can lead to tooth loss. The sooner you tell us about this symptom the better your long term prognosis.

3. If You Are Pregnant

We need to know if you are planning on becoming pregnant so that we can do any dental work and diagnostics beforehand. If you are pregnant already we need to know so that we can understand your unique needs during this time. Any information about vitamins, medications, specific health advice from your doctor, cravings and morning sickness is information we need to know.

4. If You Want To Improve Your Smile

Perhaps you are interested in teeth straightening or veneers, perhaps you have seen smile makeover adverts and want to know if it is something that could help you? We won’t typically recommend aesthetic treatments to a patient without prompting, so if you are interested in cosmetic dentistry, let us know.

5. If You Have Suffered An Injury

Although it is important to seek advice after a dental injury, sometimes if there are no obvious symptoms you might feel there isn’t an issue. However, sometimes there is an issue beneath the surface or in a part of your mouth you might not see easily. If you let us know what happened, we can check everything over for you.

6. If Your Diet Has Changed

If you are now vegan, or you are juicing a lot we can change your treatment plan to reflect your needs, or look out for dental issues common with certain diets.

7. If You Are On New Medication Or You Have A Medical Diagnosis

If you have been diagnosed with a medical issue or you are on new medication please do let us know. Lots of different medical problems and medication unrelated to oral health can affect oral health indirectly.

(08/08/2022)
by Foxhall Dental Practice

More Information: N


Views: 594
Share
Share

What is the right way to brush your teeth?

You know how important it is to brush your teeth on a daily basis. But did you know that there is a right way to brush and a wrong way to brush? And if you’re not brushing the right way, you’re not caring for your teeth as carefully as you expect. Follow this simple step-by-step guide to ensure your teeth, gums, and smile are as healthy as they possibly can be.

Dental Care Tips by Dr Donan, Dentist in Fresno CA

Step #1: Purchase a toothbrush that has soft nylon bristles, fits comfortably into your hand, and has a small enough head to reach all of your teeth. Avoid brushes with “natural” bristles because they can harbor bacteria.

Step #2: If your current toothbrush is old and worn out, replace it. A good rule of thumb is to automatically replace a toothbrush after four months.

Step #3: Always use a toothpaste with fluoride in it. Fluoride helps to clean your teeth and strengthen your enamel at the same time. If you have additional preferences, find the toothpaste that best suits you.

Step #4: Floss before you brush to remove any food from the cracks in your teeth and to open up space for the brush and paste to clean.

Step # 5: Squeeze out an amount of toothpaste about the size of a pea. Using too much paste creates a lot of extra suds which encourages you to spit and finish too early.

Step #6: Place the bristles at a 45-degree angle to your gum line. Brush upwards or in a circular motion but not side to side.

Step #7: Spend at least three minutes brushing. It helps to divide your mouth into quadrants and spend an equal amount of time on each one. That way you don’t miss any spots.

Step #8: Be sure to brush the tops and the backs of your teeth as well as the front. Brush the tongue, too, just don’t push too hard, or you risk damaging the tissue.

Step #9: Rinse your mouth out thoroughly after brushing.

Step #10: Rinse your toothbrush off and store it with the head standing up.

Step #11: At this point, you can rinse with mouthwash if you choose, but it’s not essential.

Step #12: Repeat this process at least twice a day as close to the end of meal times as possible.

The Happy Tooth Cares about Your Teeth

Follow these steps for a few days and they will quickly become second nature. Just remember that brushing and flossing alone are not enough to keep cavities, gum disease, and other oral issues at bay. You also need to meet regularly with your dentist for a cleaning and checkup.

(08/05/2022)
by Dr. Donan DDS

More Information: https://www.smilesbydrdonan.com/2017/01/right-way-brush-teeth/


Views: 619
Share
Share

Do I Really Have Sensitive Teeth?

At the point where you find yourself asking if you really have sensitive teeth, you may be in the same boat as those people asking if something really hurts. On the other hand, all people may find their teeth bother them at some point in their lives without the discomfort being long term enough or bothersome enough to cause them to take any action about the discomfort. Further, it’s important not to ignore tooth discomfort altogether. Blaming all discomfort on sensitivity might cause you to miss a bigger problem the pain was trying to signal. Sensitive teeth tend to have certain common signs in all sufferers. If you’re concerned that you might have sensitive teeth or are trying to decide if it’s a more urgent problem, ask yourself:

Does it hurt when I eat cold or hot foods?

Does it hurt when I breathe in cold air?

Do acidic foods make me uncomfortable?

Are brushing, flossing, and dental cleanings uncomfortable?

Does the pain seem to come from the root of the tooth? Does it seem to come and go randomly?

If any of these concerns sound familiar, keep reading to learn more and what can help!

Does it hurt when I eat cold or hot foods?

Generally speaking, sensitive teeth are sensitive to temperature fluctuations, so very hot foods and drinks, like soup and coffee, or very cold foods like ice cream and ice, will cause a jolt of discomfort when you first take a bite. Alternating between cold and hot foods and beverages also is likely to cause misery, or at least decrease your enjoyment of your meal.

Does it hurt when I breathe in cold air?

If taking a breath on a chilly morning makes you wince and cover your teeth, it’s likely that you are suffering from sensitive teeth. Much like cold foods, cold air can cause varying amounts of discomfort for the sensitivity sufferer.

Do acidic foods make me uncomfortable?

Yup, acidic foods, including super sugary foods, are common sensitivity discomfort triggers. If eating tomato sauce, sipping lemonade, or munching on candy induce smile misery instead of grins of happiness, sensitivity may be the culprit.

Are brushing, flossing, and dental cleanings uncomfortable?

It’s important to maintain clean teeth and practice excellent oral hygiene, particularly if you think tooth sensitivity may be a problem for you. However, if you are a sensitivity suffer, you may find that brushing, flossing, and dental cleanings are uncomfortable. If you think you have sensitivity and it’s interfering with your ability to care with your teeth, make sure you see your dentist for help right away.

Does the pain seem to come from the root of the tooth? Does it seem to come and go randomly?

Frequently, sensitivity pain will seem to start from the base of the tooth and radiate up. That said, even if you can’t narrow down the source of the pain, you may still have sensitivity. Sometimes sensitivity pain is nebulous, but it tends to be more random and not always appear in one specific spot. 

Tooth sensitivity happens when the inside of the tooth loses its protective covering of enamel and is exposed to the air or foods. Common causes of long term, chronic sensitivity are thin or thinning enamel and poor brushing technique, particularly pushing too hard and using too hard a toothbrush. Receding gums, which expose more of the tooth root, and grinding and clenching teeth also can cause or contribute to sensitivity.

Sensitivity can also be short term. In particular, tooth whitening is associated with short-term, but sometimes significant, tooth sensitivity. Having certain restorative work like crowns and fillings can cause short term sensitivity.

If you think you may be suffering from sensitivity, you can touch base with your dentist to make sure that there isn’t an underlying problem that is causing your pain. It’s important to remember that tooth decay can cause pain, usually localized to a specific spot, that can be confused for sensitivity pain. 

There are a number of home care products that can help with mild to moderate tooth sensitivity. Some even contain a medicine to slightly numb the exposed nerves. You might want to consider treating with a product that contains nano hydroxyapatite, as studies have shown that it can markedly decrease sensitivity.

(08/09/2022)
by Carifree

More Information: https://carifree.com/blog/do-i-really-have-sensitive-teeth/


Views: 698
Share
Share

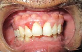
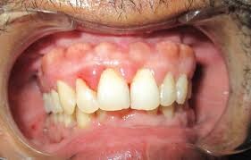
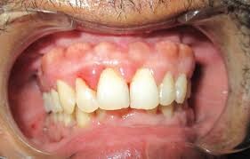
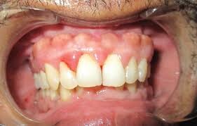
Exostosis – What It Is and How to Fix It

If you brush and floss your teeth on a regular basis, each time you’re finished, you might take a look in the mirror to check out your teeth and see how they look. If you’ve ever observed your mouth and saw something unexpected, you’ve probably had a lot of questions, anxiety, and worry running through your mind.

When inspecting your mouth, have you ever observed something that appears to be a bony growth on gums or at the jawline? While they may look scary or even gross; these bony growth on gums, known as tori or “exostoses” can occur in any person.

Exostosis Mouth

Exostoses are symptomatic boney outgrowths that grow when there is an excessive amount of stress and tension placed on the teeth’s underlying structures. Tori is widely seen in patients who clench their teeth – which can cause higher levels of stress.

There have also been patients who have Tori who do not suffer from TMJ symptoms. A very common cause of exostoses mouth is a bad bite, also known as malocclusion. Malocclusion occurs when the teeth do not align properly. When the teeth are not aligned, the jaw joint experiences a higher level of stress and tension. This occurs as the jaw joint moves into a torque position that then encourages the tori mouth bone growth.

At the same time, malocclusion can also cause pain and discomfort. Teeth clenching, malocclusion or some other underlying problem can cause excess strain and tension on the teeth and jaw joints.

This then causes the body’s natural defense to produce extra bone material to support the teeth. When these bone materials grow, they often become very visible.

Getting Rid of Tori Gums

Generally, the treatment of Tori gums involves removing the bony growths from the mouth through surgery. While surgery is successful for some; for other patients, tori in mouth bone growth may return if the underlying cause of the problem isn’t corrected with a surgical extraction.

For the treatment of tori to be permanent, it’s important to diagnose the root cause of the problem to treat it accordingly. Tori will only go away when the cause of the excess pressure and tension is gone.

(08/08/2022)
by Colllins Dentistry

More Information: N


Views: 711
Share
Share

Eight Origins of Tooth Pain That Don’t Involve a Cavity

From a cavity to infected gums, a tooth can have a lot of (sometimes surprising) causes. Whether your toothache feels dull and achy or sharp and throbbing, a toothache can make it hard to maintain your daily routine. This general guide will outline some of the possible reasons you are experiencing tooth pain.

A cavity is a small hole in a tooth that is caused by tooth decay. When harmful acids eat away at the hard outer layer of your teeth, called enamel, it weakens your tooth allowing cavities to form. At first, a cavity might not cause you any symptoms. Eventually, pain and discomfort can begin if the cavity gets large and close enough to the nerves inside the tooth. Even a minor toothache should not be ignored as a cavity can quickly increase in size and create a larger-scale dental issue.

1.- You’re Exercising Too Much

While exercising regularly is great for your body and your mind, over-exercising could be the reason behind your tooth pain. Researchers have found that triathletes who did endurance training had a higher risk for tooth erosion when compared to people who didn’t exercise. A loss of enamel due to acid on the teeth can lead to multiple cavities and is thought to be due to a lack of saliva while exercising.

2.- A Filling Fell Out

A dental filling can fall out if too much force is applied to the area or if the material of the filling breaks down. Decay around or under a filling can also cause a filing to break. Some patients may not even feel something missing until they bite down. A crack in a filling can allow food to get pushed into the area as you chew, leading to sensitivity and discomfort.

3.- You Have an Abscess

When food particles are jammed between your teeth, and you keep chewing, you push the food farther into the gums. Over time, these lingering particles of food and debris will decay, breeding infection. The sooner you are able to get an abscess treated the better, as an untreated abscess can lead to gum disease.

4.- A Fractured Tooth

A crack or break in a tooth can cause a toothache. Often caused by biting on something hard, even a small fracture can lead to pain when you bite or chew. Depending on the severity of the break, you may need a crown or an implant to replace a severely damaged tooth.

5.- Impacted Wisdom Teeth

Wisdom teeth attempting to emerge from your gums in an awkward position or without enough space will create tooth pain. Once broken through the gum tissue, impacted wisdom teeth form a higher risk of painful inflammation or infection in the gums. Impacted teeth are hard to reach with your toothbrush and floss creating an issue with correct dental hygiene practices.

6.- You Grind Your Teeth

Most teeth grinding happens at night while you sleep and many of those patients do not even realize they’re doing it. Teeth grinding is also associated with symptoms such as headaches, pain in the facial muscles, and a stiff jaw. Grinding can also lead to broken teeth. Even if you are not a nighttime grinder, you could still be clenching your teeth during the day in stressful situations. Tooth pain from grinding or clenching will hurt all over, or at least all of one side of the jaw, rather than one specific tooth.

7.- Your Gums Are Receding

Patients experiencing tooth sensitivity may look to gum recession as the culprit. Recessed gum tissue causes the enamel at the gum line to wear away, exposing the tooth to the elements and creating sensitivity. This type of pain does not linger, but rather popping up every time the hot or cold foods hit the tooth.

8.- You Have a Sinus Infection

Experiencing an ache in your teeth while you have a bad cold could be related to your sinuses. The sinus floor sits right on top of the roof of your teeth, and full sinuses can cause pain in the upper teeth behind the eye. A quick way to determine if your sinuses are causing the tooth pain: If the pain isn’t limited to just one tooth. If your sinuses are causing the discomfort, several teeth in the area will be sensitive, not only one tooth.

There are many reasons why your teeth might hurt, but all of them are worth seeking professional help from Tompkins Dental. If something in your mouth doesn’t feel right, make an appointment with a dentist to treat your tooth pain before it becomes a serious issue.

(08/09/2022)
by Tompkins Dental

More Information: https://www.tompkinsdental.com/blog/8-origins-of-tooth-pain-that-dont-involve-a-cavity


Views: 661
Share
Share

Sensitive Teeth Causes: Why Does It Occur?

More than 40% of adults experience tooth sensitivity, also referred to as dentin hypersensitivity. According to a research report published in the Journal of Conservative Dentistry, dentinal hypersensitivity is a common clinical condition usually associated with exposed dentinal surfaces. It can affect patients of any age group. A slightly higher incidence of dentinal hypersensitivity has been reported in females than in males. While dentinal hypersensitivity can affect the patient of any age, most affected patients are in the age group of 20-50 years, with a peak between 30 and 40 years of age.

What Causes Tooth Sensitivity?

Each tooth contains four parts. The enamel comprises the visible crown of the tooth and is the hardest layer of the tooth containing the highest level of calcium phosphate mineral). The dentin is the layer below the enamel in the crown of the tooth, and below the cementum in the root. It is softer than the enamel, but stronger than the cementum. The cementum is present on the root surface to help anchor the teeth into the jaw. The pulp is in the centre of the tooth and contains soft connective tissue, blood vessels, and nerves).

Major factors that lead to tooth sensitivity are gum recession and loss of cementum, and loss of enamel. Gum recession (gum moving down from the gum line, exposing the root dentin surface) can be caused by loss of periodontal attachment as a result of periodontal disease or by brushing too hard causing gum abrasion. Loss of enamel, on the other hand, occurs when the toothbrush abrades or wears down the enamel surface and exposes the underlying dentin (the layer underneath the enamel).

Enamel loss is more prominent when brushing occurs immediately before or soon after consumption of acidic foods (fruits, tomatoes) and drinks that cause tooth erosion.

What Happens in the Tooth to Cause Tooth Sensitivity?

When the enamel is worn down, or the gum line is recessed, exposing the dentin, tooth sensitivity can occur. The dentin contains tubules that run from the centre of the tooth, i.e., the pulp, which contains the nerves of the tooth, to the exposed dentin surface.

When the dentin is exposed, dentin fluid flows outward from the pulp. If this flow is perturbed by exposure to an external stimulus, such as heat, cold, change in pressure, sweet or sour foods and drinks, a signal id transmitted to the nerves which is perceived as pain.

(08/10/2022)
by Colgate

More Information: N


Views: 645
Share
Share

It's Not Too Late! Seven Tips For Reversing Periodontitis

More than 64 million Americans have some form of periodontitis. That's about half of all adults.

This very common disease affects the gums and root structures of the teeth. Bacteria spread through these structures and can cause major problems like the loss of the teeth.

There are various stages and types of gum disease but all are bad for your oral health and should be treated correctly. Luckily, there are trained

dental professionals who know all about reversing periodontitis.

Read on for seven ways for reversing gum disease.

1. Preventative Care

Obviously, the best way to reverse periodontitis is to prevent it from taking over in the first place.

There are many things that everyone should be doing on a daily basis in order to protect their teeth.

The first is that they should be brushing twice a day for at least two minutes. Secondly, you should also be flossing at least once a day. Both of these things remove debris and bacteria from the mouth to keep it cleaner and prevent damage from sustained exposure.

Every person should also be seeing a dental professional at least once a year.

These appointments will give you an insight into the overall health of your teeth, gums, and mouth. If there is the potential for a problem the dentist can point it out for you to focus on.

2. Plaque Removal

During these regular dental checkups, you will also get a thorough cleaning. During these cleanings the plaque and tartar will be removed from the teeth, which is crucial for reversing gum disease.

We all get plaque on our teeth from our daily life, it's that sticky film you can feel with your tongue. If it's not removed it can harden and turn into a callous called tartar.

When there is a buildup of tartar on the teeth it provides a great breeding ground and hiding place for bacteria. And bacteria that get up into the gums are the cause of periodontal disease.

These professional cleanings are important because a regular brushing won't remove tartar from the teeth.

3. Early Diagnosis

When you are seeing your dentist regularly, they will be able to give you an early diagnosis. This can help you reverse gum disease quickly.

The first of the types of gum disease is called gingivitis. This is when the gums are irritated and inflamed. They may also appear to be bright red. Typically the gums will also bleed during regular brushing.

When you are diagnosed with gingivitis, your dentist will be able to give you pointers to get rid of the bacteria. This could be through a medicated mouth wash or toothpaste.

They will also educate on more productive brushing methods to increase the amount of cleaning happening regularly.

4. Scaling and Planing

One of the biggest steps that patients have to take in reversing periodontal disease is through processes called scaling and planing.

These are both done by the dentist and are done to remove the plaque and tartar that has gone below the gum line. Once the bacteria have entered these areas it will continue to grow exponentially. The pockets in the gums that hold the infection are a great breeding ground.

The procedures are performed after the patient has been numbed because the dentist will be going much more in-depth.

At this stage it's crucial to get these procedures done to stop the infection before teeth are too far damaged.

5. Laser Periodontal Therapy

Once there begins to be significant receding of the gums and obvious infection that isn't going away, a dentist may recommend laser periodontal therapy.

This is a relatively new treatment option that allows for very in-depth cleaning of the roots and under the gums. During this procedure a laser pulses over the infected area to kill the germs living there.

Once this is done then the gums can begin to heal and regenerate. This is becoming a very popular treatment option because both the procedure and the results happen very quickly.

The dental professional will also be able to pinpoint obvious trouble areas, making it a very efficient tool.

This is a very strong step a patient can take towards reversing gum disease.

6. Traditional Surgery

The last, most invasive way to reverse gum disease is to have surgery. During this type of surgery the gums are cut and moved back so the tooth is exposed. This allows the dentist to fully remove the bacteria and damage.

After the cleaning is completed, the dentist will then stitch the gums back around the teeth. They take great care to close any pockets that may have developed because of periodontal disease.

This treatment option is the very last resort as it's very invasive and has a difficult recovery. Some patients may even require bone or gum grafts if the damage has gone that far.

Once the gum disease has progressed this far, the patient is in serious danger of losing teeth, having bone damage, or of the bacteria traveling to other areas of their body.

7. Healthy Habits

After the patient has received the necessary treatments, there are some things that can be done to continue reversing gum disease naturally.

Obviously, continued (or improved) oral hygiene is a very necessary step. The added focus on deep cleaning teeth, especially in between, can help keep the bacteria from coming back.

Also, a healthy diet is very important for good oral health. Foods that contribute to overall poor health will do the same for oral health. So they should be avoided.

Taking care of the body, in general, will help you to avoid the terrible effects that periodontal disease can have.

Get Started Reversing Periodontitis

Periodontal disease can have extremely negative effects on your gums and teeth. It's a very important thing to stay on top of and try to prevent.

(08/05/2022)
by Soho Dental

More Information: N


Views: 680
Share
Share

If You Need Tooth Decay Treatment, Don't Wait

Even after trying your best to prevent tooth decay, sometimes the dentist finds a little cavity or two. It may be tempting to put off tooth decay treatment when you're not feeling any pain, but procrastination comes with a price: Tooth decay doesn't repair itself, and what starts out as a minor problem can quickly become serious, changing your treatment options dramatically.

The Start of Tooth Decay

Tooth decay refers to the damage of the teeth enamel. The enamel is the tough, external part of your teeth. This can be problematic to adults, teens and children. A sticky layer of film known as plaque continuously forms on the teeth. When you drink or eat foods containing sugars, these germs in the plaque manufacture acids which attack the tooth enamel. The sticky plaque helps keep the acids in contact with the teeth and after a period of time, the enamel breaks down.

Signs and Severity of Tooth Decay

You won't notice pain and sensitivity until decay goes through the enamel into the dentin layer. Dentin is made up of tiny nerve endings that become irritated and cause sensitivity when exposed to hot, cold, sweet, sticky and sour foods. You may also feel discomfort when biting down and find that food frequently gets trapped between your teeth.

Decay spreads rapidly through dentin because it is much softer than enamel. Root decay also spreads quickly, since the cementum covering on the root is not as hard and thick as enamel. Be warned that as tooth decay continues, your pain may be more frequent and intense.

It is important to remember that infection develops when decay and germs reach the pulp portion of your tooth, which contains the nerves and blood vessels. Pain from an abscessed tooth is persistent, serious and will likely keep you up at night. Other symptoms include fever, facial swelling and a bad taste in your mouth. You may notice pus draining from a red swelling on your gum near the root tip. Consequences can be serious if the infection spreads into your jawbone or throughout your body.

Tooth Decay Treatment

If your dentist detects a small area of erosion on your enamel before it reaches the dentin, he may suggest an approach that would help repair the spot. This process might include at home use remedies. Alternatively he may suggest using mouthwashes, toothpastes or filling materials that contain fluoride, calcium and phosphates.

When decay reaches the dentin, there is no turning back. A small cavity can be repaired with either an amalgam filling (composed of silver and other metals) or a tooth-colored resin material. If the tooth has lost a lot of its structure, however, your dentist may need to do a crown. Crowns strengthen and restore shape and function to your teeth, but they cost quite a bit more than a simple filling.

An abscessed tooth is the worst-case scenario, and your treatment options are slim: You can either opt for a root canal treatment or an extraction, though dentists will typically only do extractions when there are no other means of saving the tooth. Should you require a root canal, your dentist or an endodontist will remove the unhealthy pulp and clean and seal the pulp chamber. After root canal treatment, teeth can become more brittle and break easily. If you lost a lot of tooth structure due to decay, your dentist may also recommend a crown for your tooth.

Do you see a pattern here? The longer you put off dental treatment, the more involved and expensive it becomes — and the more pain you may have to endure. The moral of this story is to go to the dentist at the first sign of trouble. Better yet, help prevent decay from occurring by brushing and flossing daily, and visiting your dentist regularly for a more thorough cleaning and checkup. Please visit Health 24 for more information on tooth decay. 

(08/07/2022)
by Colgate

More Information: https://www.colgate.com/en-za/oral-health/cavities/if-you-need-tooth-decay-treatment-dont-wait


Views: 529
Share