Dentists Journal

Top Ten Stories of the Week
2/25/2023

All Dentists Journal · Previous Week · This Week · All Time List · Headlines

Share

What Is Saliva And Why Is It Important?

Saliva makes many normal, everyday activities possible, thanks to its unique composition. Without saliva stimulating your taste buds, you'd miss out on the experience of a delicious meal. Plus, chewing and swallowing would be not only difficult — but dangerous. So, what is saliva made of and why is it so important? Learn more about the components of your saliva and how they work together to serve your oral and bodily health.

Where Does Saliva Come From?

Your mouth, nose, tongue, lips and even voice box are covered with hundreds of microscopic salivary glands, according to the Memorial Sloan Kettering Cancer Center. These minor salivary glands help release and retain the fluid in the mouth. But your major salivary glands do most of the heavy lifting when it comes to salivary flow. According to a study published in the International Journal of Oral Science (IJOS), the three main salivary glands located in your cheeks, jaw and the floor of your mouth are responsible for producing 90 percent of your saliva. These glands — the parotid, sublingual and submandibular — produce saliva and circulate it in your mouth through ducts, as noted by the Memorial Sloan Kettering Cancer Center.

What Is Saliva Made Of?

A healthy person produces 600 milliliters of saliva every day, according to the IJOS study, and approximately 99 percent of that saliva is water. The remaining 1 percent contains a multitude of components, such as sodium, calcium, magnesium, potassium, immunoglobulins, proteins, enzymes and mucins, reports a paper in The New Zealand Dental Journal. These components of saliva, while only a small percentage of it, serve unique functions that are central to sustaining your health. Proteins

Per an article in the International Journal of Contemporary Dental and Medical Reviews (IJCDMR), proteins are the second leading component of saliva after water. Though proteins make up only a fraction of saliva's composition, they serve numerous functions. Proteins work as a first line of defense in eliminating oral bacteria and help form a protective layer on your teeth. They are also thought to aid in the ability to taste by interacting with taste receptors in your mouth.

Enzymes

The enzymes found in saliva are specific proteins responsible for sparking chemical reactions in your body that help begin the digestive process. For example, these enzymes assist in breaking down starches and fats in your mouth, according to the paper in The New Zealand Dental Journal.

Mucin

You might equate mucin to the buildup of mucus that happens when you get a cold, but the mucin found in saliva aids in digestion. This specific protein helps you eat and swallow safely by keeping the mouth lubricated, as the paper in The New Zealand Dental Journal notes.

Electrolytes

Electrolytes are minerals in your body, such as calcium, phosphorous and magnesium, reports the National Institutes of Health (NIH). Inside your mouth, these particular minerals help strengthen and harden your enamel, which in turn helps reduce your risk of cavities, according to the IJCDMR article.

The Importance of Saliva

All the components of saliva work together to help you eat, speak and keep your mouth clean every day. Here are just some of the many functions of saliva, as noted by the American Dental Association (ADA):

Defending against cavities

Washing away food debris

Allowing you to swallow and taste

Keeping your teeth strong

What's more, saliva could play a useful role in diagnosing health problems. Doctors can already use saliva to test for HIV infection and may be able to use it to detect oral cancer and genetic conditions in the near future, reports the NIH.

Because saliva is so important to your oral and overall health, it's important to consult your dentist or doctor if you are suffering from an inadequate saliva flow, also known as dry mouth. The ADA reports that sucking on sugar-free candy or gum can stimulate saliva production. However, you should seek professional advice if the problem persists to prevent more serious problems, such as tooth decay, from developing.

(02/17/2023)
by Colgate

More Information: N


Views: 555
Share
Share

Which filling should I choose for my tooth?

Which filling should I choose for my tooth?

 

This is not an uncommon question which most of us have to answer when we visit a dentist.

With dentistry evolving at such a high pace and with so many technological advances in dentistry, we have more and more options available now.

Although it is hard to explain all the differences between the different materials available, we can touch base on three main materials available to make the choice easy for you.

 

Amalgam

Amalgam (silver-coloured) dental fillings have been around for a very long time. It was first invented by English chemist Bell in 1819. Later on, it had some changes with mixing of other metals.

Amalgam is made up of a metal alloy of mercury, silver, tin and copper. It is mixed as a soft filling material that is placed into a prepared tooth and hardens over a short period of time.

It is a very reliable and durable material that was used for many years for dental fillings due to its success in a moist environment. However, due to its un-aesthetic nature with the dark colour, its use of mercury and some doubts in relation to release of mercury has led a quest to find an alternative filling material.

Although a lot of people have reservations about its release of mercury and effects on general health, it is not proven yet.

Composite

Another very popular material is composite which has almost replaced amalgam and is widely used at present.

It is made up of glass particles mixed with an acrylic resin. It comes in different viscosities, each chosen by the dentist for different reasons.

It is used as soft material then hardened with help of light. It is chosen due to the following benefits:

Availability of multiples colour shades so the material can be matched to the tooth.

Increased working time for the clinician to manipulate the material to suit the tooth structure

Mercury-free

Composite resins are able to bond, or stick, to the tooth, which can lead to less tooth removal during preparation

Easy to use for small and simple repairs and restorations

 

It is not as hard as amalgam and has issues with longevity in large cavities due to wear, chipping margins, porosity and shrinkage. This leads us to another material; ceramic or porcelain.

Porcelain/Ceramic

In terms of terminology, porcelain fillings are often called inlays, onlays, ceramic or CEREC restorations whereas Composite or resin restorations are referred to as plastic white fillings. Composite Resin is placed in soft and set hard with the curing light, which leads to its shrinkage whereas the porcelain restoration is a hard prefabricated filling that is bonded into the cavity. When a filling is on the larger side, requiring corners or cusp replacements, composite restoration does not last long and porcelain has more longevity due to its lack of shrinkage, hardness and wear resistance and it is recommended to have porcelain reconstruction of the tooth to ensure that you are not back in the dental chair fixing the same tooth again any time soon.

The porcelain filling is no doubt more expensive, but when you consider you may have to replace a plastic resin filling over and over, the cost differential may prove to be a lot less than first envisaged.

More longevity, wear resistance and durability.

Better bonding to the tooth.

Highly aesthetic result giving natural appearance.

No shrinkage of filling material.

Tooth-like transparency and smooth texture; ceramic is the closest we can get to natural tooth enamel.

Excellent for large fillings, amalgam replacement, broken and cracked teeth.

More cost effective long-term.

 

After a thorough check-up and diagnosis, your dentist will discuss which of these materials is best suited to you. The decision will be based upon your oral health and what material will be best suited to the type of work needed, both for restoration’s optimum function and appearance.

(02/17/2023)
by Smile Craft Dental

More Information: https://www.smilecraftdental.com/3149-2/


Views: 477
Share
Share

White Tongue and Bad Breath: Causes and Treatment

Are you worried that you may have bad breath? Don't worry you are not alone, most people have been there before. Have a look at the color of your tongue, a white tongue usually goes with bad breath. But what causes a white tongue, and bad breath? Here are some of the causes and things you can start doing to achieve fresh breath and a clean tongue.

What Causes Bad Breath?

There are some common causes of bad breath, but others are unique to certain people.

Poor oral hygiene: If you do not have good oral care, food particles remain in and on your teeth. This results in odor-causing bacteria in the mouth.

Dry mouth: Saliva keeps the soft tissues of your mouth moist and washes food particles and bacteria from the surfaces of your teeth. A lack of saliva prevents your mouth's ability to remove excess food particles. These particles can cause bad breath.

Certain food: Foods like onions and garlic are known to leave an unpleasant smell in the mouth.

Tobacco: Smoking cigarettes or using tobacco products leaves a bad smell in your mouth. These can also cause dry mouth.

Medical conditions: Certain conditions like sinusitis or a postnasal drip can leave a film on the tongue that causes bad breath.

What Causes White Tongue?

Your tongue can turn white when the tiny bumps, or papillae, on the surface of your tongue swell up. When the papillae are inflamed, bacteria, food, and dead cells can all get trapped between these tiny bumps - resulting in a white coating on your tongue. Other causes of a white tongue are similar to bad breath causes, namely, dry mouth, poor oral care, and tobacco. There is a clear correlation between bad breath and a white tongue.

White Tongue Treatment

Now that you have had a look at your tongue and realized that it is white, you may be wondering what to do next? Here are some things you can start doing to get a clean tongue and fresh smelling breath:

Good oral care routine: Brush your teeth twice a day, and floss daily. Gently use a tongue scraper to remove the white film on your tongue effectively. You can add a mouthwash to your regimen for that extra fresh breath.

Drink plenty of water: This will help prevent dry mouth.

Foods: Try to avoid eating foods that can cause bad breath.

Visit your dentist: Schedule a check-up with your dentist. They will assess your oral health and provide targeted guidance based on your dental history.

A white tongue can be a sign of bad breath. The most common causes of bad breath are similar to the causes of a white tongue. Luckily, there are some things you can start doing to change this and improve your oral health. Brush your teeth twice a day, floss daily, use a tongue scraper to effectively clean your tongue, and be mindful of the foods you eat. Drink more water to eliminate dry mouth - tis is good for your whole body too!

(02/18/2023)
by Colgate

More Information: https://www.colgate.com/en-us/oral-health/bad-breath/the-white-tongue-bad-breath


Views: 528
Share
Share

Brushing Your Gum Line Is Important

There is a certain method to follow when it comes to brushing. When you visit the dentist and ask for recommendations, the key tip they’ll point out is to brush your teeth at a 45-degree angle so the bristles touch the gum line.

Why is this important? Well, whilst it is important to brush your teeth every day, this should also include brushing your gum line. The bacteria in the mouth can penetrate inside the mouth. This just doesn’t include bacteria on your teeth, it also includes your gum line as well.

The gum line is also susceptible to the build-up of harmful dental plaque bacteria. It is important that you brush away plaque from the gum line as well as your teeth for strong oral health.

You can read here to pick up on the most effective brushing method for strong results for your teeth and gums. Let’s take a look at why brushing your gum line is just as important.

Reduces Halitosis (Bad Breath)

Professional dental cleanings involve the hygienist cleaning your teeth but also ensuring healthy gums. Healthy gums reduce halitosis (bad breath) in the mouth because the odour stems from built-up bacteria. Brushing your gum line and teeth will ensure this is reduced.

Reduces Chances Of Gum Disease

The higher the bacteria build-up, the higher the chances of gum disease. Bacteria will build-up if you do not keep your gums clean. The worst thing is your gums will recede, meaning the pockets will open up for bacteria to penetrate inside the bloodstream.

Heart Health

Severe gum disease can also increase inflammation levels throughout your entire body. Research finds that inflammation is linked to stroke and cardiovascular disease. Keeping your gums clean significantly reduces the chances of this from happening.

Eat The Right Foods

With routine brushing, eating the right foods that fight bacteria is also important. Instead of eating sugar and starch, replace them with calcium and phosphate foods, such as:

Ginger

Apple

Dairy products (milk, cheese and yoghurt)

Fibre (spinach, celery and other leafy vegetables)

Keeping your mouth clean also involves brushing your gum line teeth as well as your teeth. Hence, follow the correct brushing method so the bacteria can be picked up by your toothbrush for a clean and healthy mouth.

 

(02/20/2023)
by Integrated Smiles

More Information: https://www.integratedsmilesbendigo.com.au/brushing-your-gum-line-is-important/


Views: 447
Share
Share

Gum Graft Pain: What To Expect & How To Relieve Pain

When finding out you have an oral issue like receding gums, you may feel shocked! After all, you regularly brush your teeth and haven't noticed any severe pain in your day-to-day. Still, it's a common ailment that can occur because of a wide range of factors, many out of your control. Because gum tissue can't regrow itself, the only remedy is gum graft surgery. Yet, you may want to avoid treatment because of the fear of gum graft pain. That is understandable, as you're probably confident in the consistent care you've given to your teeth and gums. But if your dentist recommends a gum graft to you, it's essential to understand that it might not be due to a problem with your oral care or health. What's important is to become familiar with the surgery and plan with your dentist how to mitigate pain during and after the procedure, so you feel confident and prepared!

Risk Factors for Gum Recession

Inadequate oral hygiene, hormone changes, diabetes, and other illnesses can increase your gum disease risk, leading to gum recession. Although many people who have receding gums develop them due to periodontal disease, recession can also occur because of your family history or genes. For example, did you know that some people naturally have weaker gum tissue than others? The Centers for Disease Control and Prevention (CDC) reports another leading risk factor. They state that smokers are twice as likely to develop gum disease than nonsmokers. Most tobacco products can increase your risk in this way. So gum recession is another reason to kick the habit!

Other risk factors for gum recession include an aggressive or improper brushing technique, extreme force put on your teeth from grinding or clenching, and the unusual pressure brought on by misaligned teeth. Also, keep in mind, tongue and lip piercings can rub and irritate your gums, wearing the tissue away.

Why Gum Grafts Are Important

Gum grafts are for stopping the process of gum recession and bone loss. They can also reduce tooth sensitivity, protect your roots from decay, and give you a more even gumline. After your gum tissue has receded, most people find the color difference between their roots and tooth enamel noticeable. Root surfaces are also softer than enamel, so when they aren't protected by gum tissue, they are at risk of root decay. Unless gum grafting occurs, the recession can get worse, leading to the possibility of tooth loss. Let's dive into what you can expect from your gum graft and aftercare tips to make it as painless as possible!

Types of Gum Grafts

Usually, a periodontist will do your gum graft. This is a dentist who treats gum conditions and the bone that supports them.

Depending on your situation, your dentist may perform one of the following three grafts:

Connective tissue graft. This is the most common type of graft, and it's usually done for many areas of recession. Your dentist will take underlying connective tissue from a flap made on the roof of your mouth and then stitch it over the exposed roots.

Free gingival graft. Suppose you have fragile gum tissue that needs reinforcing. In that case, your dentist may take a small piece of tissue from your palate and attach it to the existing gum tissue around your tooth. Your dentist may use freeze-dried human tissue from another source to avoid two surgical sites or when they need a large amount of tissue.

Pedicle graft. This procedure uses gum tissue next to the exposed roots. It is only possible if the tissue is thick and healthy. Your dentist will cut a small piece of healthy tissue away, then rotates and then stitches it into position over the roots.

Depending on your situation, you may need an alternative procedure to a gum graft or another type alongside it. These include regeneration, scaling and root planing, and gum contouring.

Pain Management During Gum Grafting

Whether you need a graft for one tooth or multiple, your dentist will keep you pain-free during the grafting procedure by numbing the surgical areas with a local anesthetic. After the surgery is complete, they will place a dressing over the grafting site to protect it during the healing period. However, once you are home and the anesthesia has worn off, you will experience some discomfort and swelling for a few days. But you won't be alone here. Your dentist will prescribe you pain medication for any pain after a gum graft and possibly an antibiotic to prevent infection.

Pain Management After Gum Grafting

To keep gum graft surgery pain to a minimum, and avoid unnecessary complications, follow these after-surgery instructions.

For bleeding, place gauze on either side of the surgery site but not on top of it.

Avoid physical activities for the first 24 hours after surgery.

Avoid pulling your lips to view the wound. Keep your tongue away from the area, and don't remove the dressing.

Stay away from hot foods and drinks for a couple of days and stick to soft foods and liquids for the first week. As you return to a regular diet, be careful when chewing near the site.

Don't brush or rinse your mouth the day of the surgery.

Swish with a mouth rinse after the first 24 hours post-surgery to kill bacteria.

When you return to brushing your teeth, don't brush near the grafting area for one month. After this period, use gentle movements with a very soft toothbrush.

Gum Graft Recovery and Healing

Another fact that will help put your mind at ease is that the recovery process after a gum graft is usually short. It's common to have some soreness in the surgical area for a day or so afterward. But you'll most likely feel well enough to return to your usual activities a few days after surgery. Still, you'll need to pay close attention to what you eat. Soft foods, such as mashed vegetables and pudding, are usually the way to go. So as not to irritate or inflame the healing graft but still keep your mouth clean, your dentist or periodontist might prescribe a special mouth rinse. This rinse will help kill bacteria while you wait to resume your regular brushing and flossing (also known as interdental cleaning) regimen.

Your dental professional may be the first to notice an area of gum recession while examining your teeth. It's one more reason to be diligent about scheduling your regular examination and cleaning appointments. If you grind your teeth at night, ask your dentist about a mouthguard to help break the habit and discuss tooth-straightening options for any misaligned teeth. Ultimately, keeping watch for the early signs of gum disease will help you catch the infection before it requires professional care. Early symptoms include swollen gums that bleed easily and persistent bad breath.

Preventing gum recession is much easier and less costly than treatment for receding gums. So, if you've lacked a home care routine or missed a recent dental appointment, it's time to get going! And call your dentist at the first sign of periodontal trouble. If you receive a gum recession diagnosis and are afraid of gum graft pain, don't feel bad. Have a conversation with your dentist about how they will mitigate your pain during and after surgery. Having a plan and being confident in your healthier and more attractive post-surgery smile will help this procedure go smoothly!

(02/20/2023)
by Colgate

More Information: https://www.colgate.com/en-us/oral-health/gum-disease/gum-graft-pain-what-to-expect-how-to-relieve-pain


Views: 553
Share
Share

How to Soothe Painful Mouth Burns

Do you have a burned tongue from sipping coffee that was too hot? You don't have to suffer, thanks to these simple home remedies to soothe the pain.

It's happened to the best of us at one time or another: We know that we should probably wait for that hot pizza to cool down before taking a bite, but it just looks so good. Next thing you know - yow! The result is searing pain from a burned tongue, a burned mouth, and sometimes even burned gums.

The next time you find yourself in this embarrassing situation, take heart. There are a number of things you can do to provide immediate relief for the pain and get your burned mouth back to feeling its best. Here are tips from dentists to help you heal and prevent such a burn in the future.

Top Dentist Tips for a Burned Tongue or Mouth

The damage is done - the too-hot food has been consumed, and your burned mouth is in pain. Now what? According to Hadie Rifai, DDS, a dentist with the Cleveland Clinic, step one is to get something cool in your mouth to relieve the pain. "Suck on an ice cube or a frozen Popsicle to help alleviate the burning sensation," he says. Next, Dr. Rifai says, it's a good idea to coat your burned tongue or mouth with something soothing that provides another layer of relief. Milk is an excellent choice because of its coating action.

Once you've taken these steps for immediate relief, it's time to turn to over-the-counter medications to directly treat the burned tongue and mouth. "Acetaminophen, ibuprofen, or other pain medicine are all fine choices," says Steve Krendl, DDS, of Hopewell Dental Care in New Jersey. "A product called Orabase that acts as a film to cover and soothe the area temporarily can be used."

As your burned mouth begins to heal, you want to steer clear of certain foods that could make the pain worse. Rifai suggests that you "avoid sharp, crunchy foods or foods that may be spicy or contain citrus and could exacerbate the lesion."

Also, there are a few simple strategies that can help speed healing as you wait for the hurt to subside. "A remedy is to squeeze a 1,000 IU vitamin E capsule over the burn; it helps to regenerate healthy skin and tissue," says Shila Yazdani, DDS, a cosmetic dentistry specialist in the Washington, D.C., area. Above all, resist touching the burned area. "Keep it clean, brush your teeth, and give it time to heal," she adds. "Your body is remarkably capable of fixing itself."

If, despite all your efforts, the burn or pain persists for seven days or more or worsens, Rifai suggests that you seek medical attention.

Preventing Future Burns

To avoid a burned tongue or mouth in the future, dentists say that the best strategy is simply to use common sense, especially when foods and beverages look piping hot or come straight from the stove top or oven. And be extra careful with hot drinks and hot foods, says Aurelio Alonso,DDS, PhD, an assistant professor at the Case Western Reserve University School of Dental Medicine. "Small sips or small bites may prevent you from getting larger burns," he notes.

(02/19/2023)
by Everyday Health

More Information: https://www.everydayhealth.com/dental-health/how-to-soothe-painful-mouth-burns.aspx


Views: 453
Share
Share

Sensitive Teeth During Pregnancy

With pregnancy, your body will change in new and surprising ways that require you to make continual adjustments to stay comfortable and happy. Teeth sensitivity is one of many changes that can come with pregnancy. We're here to explain why that's the case, what you can do to reduce it, and what experts are available to help.

Pregnancy Changes

Various factors can lead to an increased risk for oral health concerns while you’re pregnant. Your teeth' sensitivity can be increased by pregnancy both directly and indirectly – your hormone levels are altered, behavior may change, and dental routine may be neglected as you understandably are focused on the health of your baby.

You may experience sensitive teeth during pregnancy due to:

Enhanced risk of red or swollen gums and gum disease (gingivitis and periodontitis)

A heightened inflammatory response to your gums due to hormonal fluctuations

Increased blood flow to your gums

Dietary changes, like overconsumption of sugary or acidic foods

Grinding your teeth (also known as bruxism) from unusual stress

Morning sickness or vomiting

An improper dental routine

How to Respond

It’s completely natural to focus on your baby’s health and to neglect your own dental routine, stress, or habits as a result. However, it’s crucial to keep in mind that your health should also be the priority for your own wellbeing and baby. You're working hard and deserve to be as comfortable and healthy as possible during this challenging and unique period of your life.

Some tooth sensitivity experienced during pregnancy may resolve on its own during or after pregnancy. However, it’s still your best bet to practice proper dental care and make changes to your lifestyle to ensure you don’t contribute to other dental problems like gum disease or tooth decay.

The top question on your mind is likely how to treat sensitive teeth during pregnancy. Fortunately, there are powerful steps you can take to reduce sensitivity while looking out for the health of you and your baby.

Lifestyle Changes:

Cravings can be tough, but it’s a good idea to try to limit or avoid overly sugary or acidic foods and beverages that can contribute to sensitivity.

Stress is a given when it comes to pregnancy, so it’s vital to take steps to manage and reduce it. Doing so will help prevent grinding your teeth and make it easier to maintain a healthy diet or a proper oral care routine.

Use a straw, so especially hot or cold drinks don’t trigger any temperature sensitivity.

Stay hydrated by drinking plenty of water to avoid dry mouth (also known as xerostomia).

Visit your dental professional, OB/GYN, or primary care physician (PCP) for advice on how to reduce your discomfort safely.

Practicing Proper Oral Hygiene:

Be sure to brush your teeth gently using a soft-bristled toothbrush and non-abrasive toothpaste not to wear down your enamel. We recommend brushing for two minutes twice daily.

If you vomit, it’s best to wait at least 30 minutes to brush. Instead, rinse with water or mouthrinse to help clear out any acid.

Clean between your teeth once a day using floss, a flossing device, or an interdental brush. Even if your gums or teeth are uncomfortable, this can help reduce sensitivity in the long run.

Use antiseptic mouthrinse to help keep your gums healthy.

Consider using desensitizing toothpaste and products that contain fluoride. Fluoride can be found in some toothpaste or mouthwash and most tap water!

Keep in mind that even though pregnancy may be associated with your teeth sensitivity, there may be other underlying causes that you need to address. The only way to be sure is regularly visiting your dental professional (the American Pregnancy Association recommends at least once during your pregnancy). You’ve made an excellent choice to read up on how sensitivity is related to pregnancy and steps you can take to address it.

(02/18/2023)
by Colgate

More Information: N


Views: 544
Share
Share

What Your Mouth is Telling You? Symptoms And Warning Signs of Possible Diseases

Even when you feel physically well, your mouth could be telling a different story by revealing some warning signs of possible disease.

When the inside of your mouth becomes sore or painful, chances are, it’s trying to tell you something, and several conditions could be oral warning signs of bigger issues. Don’t ignore your symptoms—a serious illness could be brewing and delaying treatment could worsen it. It is not unusual for these early warning signs to be detected during your regular dental exam and is often the first opportunity for diagnosis and treatment.

1. Thrush

White streaks or lesions on the inside of your mouth or throat or on your tongue may indicate a case of thrush. This is an oral yeast infection that occurs in both adults and children. The environment in your mouth is receptive to this disease when the yeast that normally resides there goes off balance, and an infection develops. Thrush most often occurs when the immune system is weak from chemotherapy treatments or steroid drugs.

Thrush is normally treatable if you are in good health. If left untreated, patches of these lesions can affect your ability to eat and swallow. When thrush continues to reoccur, even after treatment, it can be a symptom of an undiagnosed disease like diabetes or AIDS and should be investigated by your family doctor.

2. Oral Cancer

Most oral cancers begin as thin, flat cells known as squamous cells. They can appear as red or white patches, or a combination of both, lining the throat, tongue, lips and other areas of the mouth. It can feel like a lump or an irritation or even cause numbness in the tongue. Other symptoms include difficulty chewing or swallowing, or feeling like something is stuck in your throat.

Oral cancer becomes increasingly more common as people get older, usually after the age of 40. Risk factors include tobacco use, heavy alcohol consumption, and exposure to sunlight. Part of your routine dental checkup includes a screening for oral cancer. Depending on the results, your dentist may refer you to your primary doctor or another specialist.

3. Hand, Foot, and Mouth Disease

Mouth blisters, fever, sore throat and loss of appetite are all signs of hand, foot, and mouth disease (HFMD). The disease originates from a virus and is common in children, but can quickly spread to adults through contact with saliva or blister fluid. Lesions are more common in the mouth but they can also develop on your hands and feet.

Your dentist can be the first to spot HFMD, as oral lesions are the first clinical signs that it exists. It can be treated with over-the-counter pain relievers like ibuprofen or acetaminophen.

4. Diabetes

Red, sore, and bleeding gums are signs of gingivitis (the first stage of gum disease), but did you know they also can be a symptom of diabetes? If sore gums are accompanied by chronic bad breath and oral fungal infections, it may signal that something else is going on.

The high blood glucose levels that accompany diabetes allow germs to build up, and can eventually lead to tooth loss. In this case, more than one disease could be at work. When gingivitis is left untreated, it leads to periodontitis, a gum infection that creates deep pockets of germs and pus between the teeth. Treatment depends on how much to the teeth, gums, or jawbone has already sustained. Your dentist will discuss both non-surgical and surgical treatment options. You may also need blood work and medication from your family’s physician.

Your mouth can speak volumes about you and your health. Visiting your dentist on a regular basis for preventative dental care will ensure that your mouth is being well taken care of. Contact Arkansas Family Dental if you have questions about the oral warning signs of possible disease and the professional staff can address any symptoms or concerns you may have about your oral health.

(02/21/2023)
by Arkansas Family Dental

More Information: https://arkansasfamilydental.com/mouth-trying-tell-symptoms-warning-signs-possible-diseases/


Views: 545
Share
Share

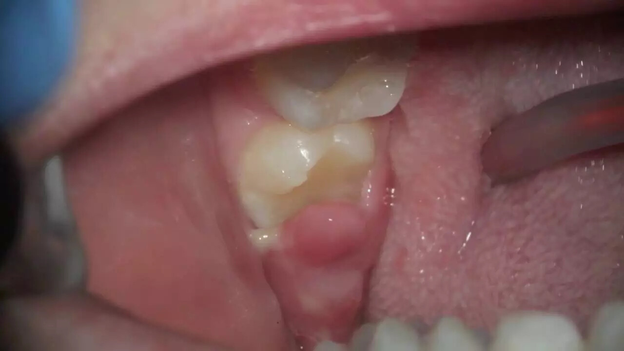
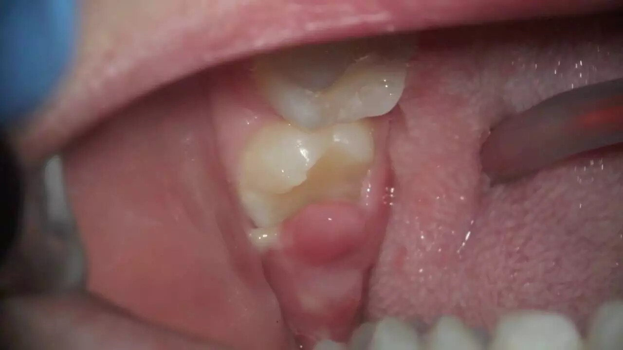
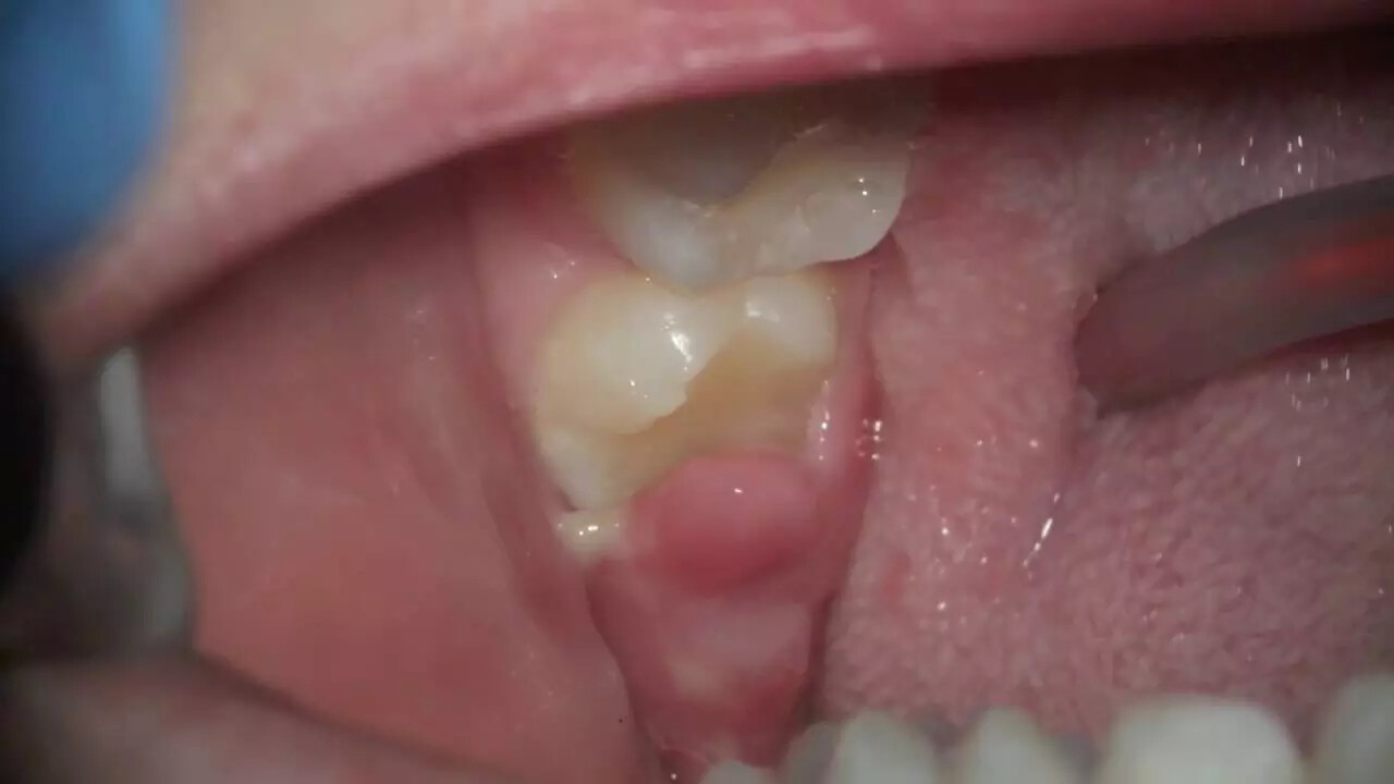
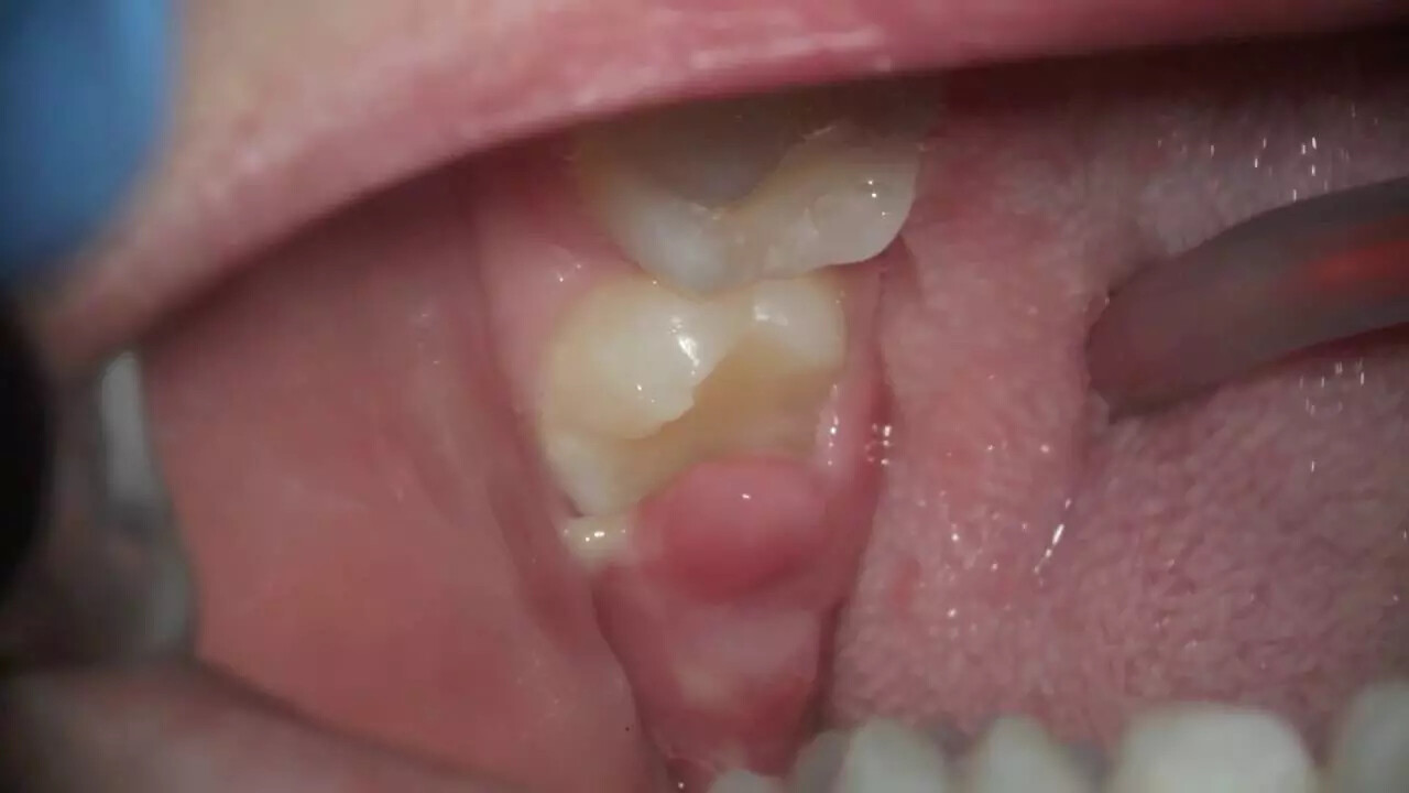
What Is Pericoronitis?

As teens get older, they have a variety of milestones to look forward to, whether it’s preparing for a driving exam, sending in college applications, or moving on to another exciting adventure. However, you should keep in mind an oral health milestone too: wisdom teeth. A strong, confident smile is an important asset to take with you into adulthood and staying aware of possible risks like pericoronitis while third morals are erupting is important.

What is Pericoronitis?

Pericoronitis is the inflammation and infection of tissue surrounding a partially erupted wisdom tooth or teeth, and it’s more common in the lower jaw. Partially impacted molars often have a flap of gum tissue covering the crown of the erupting tooth and this tissue can get food stuck under the gum flap or other debris. This creates a possible breeding ground for bacteria, causing pericoronitis to develop.

What is the Difference Between Acute vs. Chronic Pericoronitis?

If your wisdom teeth are coming in, visit your dentist at least twice a year for regular checkups to monitor the progress of your wisdom teeth and check for an infected wisdom tooth or pericoronitis. However, you should be aware of the signs and symptoms to make sure you can get immediate care.

Acute:

Severe gum pain in the back of the mouth

Swollen gums in back of mouth

Pain when swallowing

Pus discharge

Trismus (lockjaw)

Chronic:

Bad breath

A bad taste in your mouth

A mild or dull ache lasting for one or two days

How do you treat Pericoronitis?

Pericoronitis treatment varies because the flap of gum tissue that’s creating the problem won’t go away until the tooth emerges naturally, the tissue is surgically removed, or the tooth is extracted.

If your incoming wisdom tooth is not impacted, your dentist may decide to help you manage the symptoms of pericoronitis without removing the tissue flap or the tooth. Your dentist will clean the gum tissue and monitor the area to make sure it stays clean. You may be prescribed antibiotics to treat the swelling or wisdom tooth infection, so it doesn’t reoccur while you wait for the wisdom tooth to fully come in.

If your symptoms are severe enough your dentist may refer you to an oral and maxillofacial surgeon to decide if the tooth or tissue flap should be removed. No need to panic, the flap can be removed with a minor oral surgery. However, the tissue can grow back, and if the molar is impacted and it’s determined that it won’t grow in correctly, the best course of treatment is likely an extraction. Removing the wisdom tooth fully treats the problem.

What is Ludwig’s Angina?

While uncommon, a person experiencing pericoronitis can develop a life-threatening complication called Ludwig's angina. This is a rare but serious and rapidly progressing bacterial infection that affects the floor of the mouth and the neck and should be treated by a medical professional as soon as possible. If you experience any of these symptoms, it's time to call the doctor.

Swelling of infected tissues

Enlarged neck swelling

Sore throat

Trouble swallowing

Fever and chills in combination with extensive swelling

Pericoronitis Prevention

Pericoronitis sometimes arises even with excellent dental care. During this busy time in your life it’s important to monitor the growth of wisdom teeth so you can extract a tooth early if necessary, to avoid complications like pericoronitis. Luckily, pericoronitis does not cause any long-term effects. If the affected tooth is removed or erupts fully into the mouth, the condition cannot return.

Remember that pericoronitis does not occur when all wisdom teeth come in and can be treated quickly if you pay close attention and seek advice from your dentist if you have any concerns.

 

(02/22/2023)
by Colgate

More Information: https://www.colgate.com/en-us/oral-health/wisdom-teeth/perocoronitis-infection-near-wisdom-tooth


Views: 599
Share
Share

Edentulism: How Can You Avoid This Common Condition?

We can all remember the experience of losing our teeth as children. It's easy to recall the excitement and initial shock of that first wiggly tooth, the hours or days of waiting for it to fall out, and the thrill of waking up to a note or gift from the tooth fairy. But while losing teeth is a childhood rite of passage, it can also happen in adulthood. Adult tooth loss, also known as edentulism, is an oral health condition that affects many people. According to the National Institute of Dental and Craniofacial Research, 27.27% of seniors, 65 years or older, have lost all teeth. While this can at first be an overwhelming statistic, know that it is preventable. Let's go over the prevention methods, risk factors, and signs of edentulism.

You may be wondering, "what is edentulism?" and "is edentulism a permanent issue?" Once this condition presents itself, adult tooth loss is irreversible and can only be treated by getting your teeth replaced. So while there is no "cure" for edentulism, it does not have to play a detrimental role in your life. With teeth replacement options, you'll be able to have confidence in smiling again! We recommend speaking with your dental professional about which replacement is best for you.

Edentulism Risk Factors

There are several risk factors associated with total tooth loss. Many of them are risk factors for periodontal disease, which, in turn, cause tooth loss. So, if you are at risk for gum disease, you are most likely on a slow but preventable path towards edentulism.

Let's go over the main risk factors to be aware of when considering your susceptibility to tooth loss:

Age. According to the American Academy of Periodontology, over 70 percent of people older than 65 have some form of periodontal (gum) disease. Which, as stated above, is the primary reason that people lose their teeth. Periodontal disease can become a problem for adults because of inconsistent personal oral hygiene habits, a lack of access to preventive oral care, or an inability to afford dental care, perhaps because of lack of insurance.

Smoking. You have a much greater chance of losing your teeth and damaging your gums if you're a smoker or if you were one in the past. Smoking attacks your body in various ways, from giving you a reduced ability to recover after surgery to make you more susceptible to gum disease. In turn, smoking is a severe risk factor for tooth loss.

Diabetes. The American Dental Association notes that 22% of people diagnosed with diabetes have periodontal disease. Diabetes causes your body's ability to heal to be slower and compromises your resistance to infections. These factors increase your susceptibility to developing periodontal disease, which can lead to tooth loss.

Genetics. The American Dental Association also states that genetics don't usually play a role in mouth health issues alone. Instead, they impact our teeth and gums when combined with environmental factors, such as smoking and diabetes.

Other Factors. Stress, medications you take for other diagnosed conditions, and the types of food you eat can also influence your chances of becoming edentulous. Stress can lead to excessive tooth grinding, causing teeth to break and crumble. Prescribed medications can cause dry mouth as a side effect, which in turn limits the saliva in your mouth that would break down gum disease-causing bacteria. Some medicines can also make you more susceptible to bleeding. Both of these medication side effects can deteriorate your gum health, so it's important to tell your dental professional what medications you take. And just like how sticky, sugary foods can lead to other oral health issues, it's best to avoid them when trying to eliminate tooth loss!

Can You Prevent Total Tooth Loss?

Preventing edentulism means incorporating everyday practices into your life that promote good oral health. With preventive maintenance from your dentist and dental hygienist, you can help lower the risk factors. Think of these appointments just like you would a cardio exercise regimen that may help your heart health despite your family's risk factors. Your dental professional will act as a personal trainer, putting you on a path to keeping your teeth healthy and strong.

We recommend brushing your teeth twice a day and cleaning between your teeth (also known as interdental cleanings, like using floss or water flossers) once a day. Then swishing with a mouth rinse to wipe out any remaining bacteria at the end of your oral care routine. By incorporating healthy habits into your life that fight plaque and tartar build-up and mitigating other risk factors in your control, you will inherently be fighting edentulism!

(02/22/2023)
by Colgate

More Information: https://www.colgate.com/en-us/oral-health/oral-care-age-55-up/edentulism-how-can-you-avoid-this-common-condition


Views: 564
Share