Dentists Journal

Top Ten Stories of the Week
3/11/2023

All Dentists Journal · Previous Week · This Week · All Time List · Headlines

Share

Broken Retainer? Here's What You Can Do

Accidentally broke your retainer? It happens. But unlike breaking a nail or a coffee mug, breaking a retainer is a much bigger deal. After all, you don't want to undo all the beautiful work your braces did on your teeth.

Learn what you can do if your fixed or removable retainer's been damaged – from noting the damage to removing the retainer to devising a temporary fix.

Recognizing Damage to a Fixed Retainer

Wear and tear, hard foods, or a mouth injury can cause your teeth to detach from a permanent retainer or the wires to break. You might not even be aware of an issue until your teeth begin to move out of their correct position.

We realize it can be difficult for you to tell if your fixed retainer is damaged, so it's essential to get regular dental checkups. You might also regularly schedule orthodontist checkups – at least for the first year you wear a retainer. By finding the problem sooner rather than later, you may minimize the effects of a broken retainer.

You might want to make an orthodontist appointment asap if you:

Suffer a mouth injury

Bite down on something unexpectantly hard

Feel something is wrong with your retainer – or your bite

Better safe than sorry, eh?

Removing a Broken Fixed Retainer

Usually, an orthodontic professional will need to remove a bonded retainer. To do this, your provider must:

Remove the dental cement with a drill.

Ease the retainer away from your teeth.

Clean and polish the surface of your teeth.

Once the retainer's out of your mouth, your orthodontist will determine whether it needs repair or if it requires replacement.

What You Can Do at Home

If you discover your retainer might be damaged but you're unable to get to the orthodontist or dentist immediately, what should you do? We offer a few actions you can take to minimize the damage to your mouth:

For Fixed Retainers

Find someone you trust to examine your retainer. Have them determine whether the retainer seems stable in your mouth and if you can still use it. As you carefully use your retainer, make your own determination.

Purchase an over-the-counter mouthguard to wear at night. Until you can see your orthodontist, the mouthguard can help protect a fixed retainer while you sleep and prevent any teeth movement.

For Removable Retainers

Examine the retainer yourself to see how severe the damage is.

If it's damaged enough that a cheap removable retainer could help you in the short run, purchase it.

For All Retainers

Avoid hard foods and sports activities until you can get the attention you need to repair or remove the retainer.

Rinse your mouth with warm salt water to help heal any painful spots.

Step up your oral hygiene by adding an antibacterial mouth rinse. This is particularly important if the damage makes it possible for food or bacteria to access previously unreachable areas – such as between the back of your teeth and the retainer.

For the question "How can I fix my broken retainer?" – the answer is you really shouldn't fix it. Both fixed and removable retainers are custom-made to hold your teeth in place. You shouldn't mess with a broken retainer – get a new one or have it professionally fixed.

Your Retainer Options

Teeth keep moving until you're in your early to mid-20s because the jaw is still growing. And even if you got braces later in life, you might need a retainer to maintain your bite. Here are some options to help you:

If your orthodontist can't repair your broken retainer, your best option is to get a new retainer made as soon as possible. If you need to set up a payment plan to pay for the process and the new retainer, talk to your orthodontist.

If you can't visit your orthodontist right away, ask if they can remake your retainer based on their records. This can work if you haven't had your retainer very long. And it will save you the cost of having the entire process redone.

If necessary, a cheap removable retainer could help to support your mouth until you get your new fixed retainer.

If you've invested in orthodontic treatment to achieve a perfect bite and smile, don't let a broken retainer undo all that hard work. Get a dental opinion as soon as possible about whether your retainer needs repairing or replacing. And discuss all your options with your orthodontist. The sooner you can put a repaired or new retainer in your mouth, the sooner your teeth will thank you.

(03/05/2023)
by Colgate

More Information: N


Views: 727
Share
Share

How To Use A Salt Water Gargle For A Sore Throat

Sore throats can be very unpleasant. Your throat may feel scratchy or dry, and it may even hurt to swallow. The Centers for Disease Control and Prevention (CDC) reports that viral infections — such as colds or the flu — are common culprits of sore throats. Other causes include strep throat, allergies and smoking. Within a week, most sore throats will get better on their own, but home remedies, such as a salt water gargle for a sore throat, can help you feel better in the meantime.

Why Does Gargling Salt Water Help?

Gargling with warm salt water is a widely recommended home remedy, but before you try it, you may be wondering how it works. The Mayo Clinic notes that warm liquids can help to ease the discomfort associated with a sore throat. Penn Medicine explains that salt water can help to kill bacteria, ease pain and loosen mucus, making it especially helpful in relieving your symptoms.

How to Use a Sore Throat Gargle

To make a salt water solution, you'll need just two things: salt and warm water. It's important that the water is warm, as this helps the salt dissolve. The Mayo Clinic recommends adding 1/4 to 1/2 tsp of table salt to 8 ounces of warm water.

Gargling with salt water is a simple home remedy. Here's how to try this method:

Create a salt water solution

Gargle the solution

Spit out the solution — don't swallow it

Repeat as necessary to relieve your sore throat

While gargling with salt water can help to relieve a scratchy or painful throat, this method isn't right for everyone. As the Mayo Clinic explains, children younger than 6 years old can't usually gargle properly. For this reason, gargling isn't recommended for young children.

Other Helpful Sore Throat Remedies

There are many helpful home remedies out there. In addition to a salt water gargle for a sore throat, the Mayo Clinic shares several other tips to reduce your discomfort:

Get plenty of rest

Drink fluids to keep your throat moist

Sip warm liquids, such as tea or broth

Suck on ice pops

Use sugar-free lozenges or hard candies

Avoid cigarette smoke and other irritants

Home remedies aren't always enough to heal a sore throat, however. The CDC recommends seeing a doctor if you have symptoms of strep throat, such as a fever, pain when swallowing or red, swollen tonsils. You should also see a doctor if you have bloody saliva, difficulty swallowing or breathing, joint pain or any other symptoms that concern you.

Oral Hygiene With a Sore Throat

It's easy to let your oral hygiene routine lapse when your throat feels dry, scratchy and sore. However, to keep your mouth healthy, it's important to brush your teeth twice a day and floss once a day.

Once you're feeling better, you may wonder if you need to replace your toothbrush. The American Dental Association notes that there's a very low chance of getting reinfected from your own toothbrush, but for peace of mind, you may choose to replace it. If you've had the toothbrush for three or four months, it's definitely time for a new one.

When you're suffering from a dry, scratchy throat, home remedies may help to keep you comfortable. A salt water gargle for a sore throat can provide some relief, as can other easy home remedies. If you're concerned about your sore throat, see your doctor for advice on how to best tackle the problem.

(03/04/2023)
by Colgate

More Information: https://www.colgate.com/en-us/oral-health/respiratory-conditions/how-to-use-a-salt-water-gargle-for-a-sore-throat


Views: 577
Share
Share

What Is A Tooth Abscess?

A tooth abscess is a bacterial infection found in the inner part of the tooth where pus has collected and can cause moderate to severe pain in people who suffer from the condition. Tooth abscesses can occur when a cavity has gone untreated for too long or when a crack or chip in the tooth allows bacteria to find its way into the dental pulp (the inner, soft part of the tooth) area of the tooth and gets infected.

Once the bacteria has made its way inside, it will spread down to the root and cause both inflammation and swelling. Once inflammation occurs, it will force the pus into a tight space (known as the abscess) at the tip of the root where the swelling exists.

Symptoms

Signs and symptoms of a tooth abscess include:

Persistent, throbbing or severe toothache

Extreme temperature sensitivity

Pain when performing normal chewing or biting

Fever

Swelling in the face or the cheeks

Lymph nodes under the jaw or in the neck become tender or swollen

A rush of foul-tasting fluid in the mouth followed by cessation of pain, which means the abscess has ruptured

Other Risk Factors

The following factors may increase your risk of a tooth abscess:

Poor Dental Habits — If you don’t brush or floss every day (preferably twice or more a day), this can significantly increase your risk of further dental and oral complications like gum disease, tooth abscesses and tooth decay.

A High-Sugar Diet — Too much sugar is bad for your body and is especially hard on your teeth. Sodas, sweets and other foods high in sugar content can cause cavities, which can very quickly turn into infections or tooth abscesses.

Other Health Issues — Do you have diabetes or any other kind of autoimmune disease? If so, these can certainly increase your likelihood of getting a tooth abscess, so proper dental care and regular checkups are essential.

When Should You Consult Your Dentist?

If you experience any of the signs or symptoms listed above, you should see your dentist immediately, especially if you begin to experience swelling in your face or begin to feel feverish. If your dentist cannot see you immediately, you should go to an emergency room as it’s possible these symptoms indicate the infection is possibly spreading into your jaw and the surrounding tissue.

The only way to rid yourself of both the pain and the condition is to get proper dental treatment. You may feel a lessening of pain if the abscess ruptures, but you’ll still need to get a professional’s help. The infection could spread to other parts of your jaw and beyond to parts of your head and neck and, in a worst-case scenario, lead to sepsis, which is an infection throughout the entire body that can put your life at risk.

Testing and Diagnosing

Beyond regular dental checkups, your dentist may perform a couple of specialized tests to confirm you have an abscessed tooth:

Tooth Tapping — An abscessed tooth is often very sensitive to touch or pressure, so your dentist may apply both to the tooth in question to determine your pain levels.

X-rays — An X-ray, or other imaging test (such as a CT scan), can help identify an abscess, so your dentist may require taking some to be sure.

Lab Tests — If the first line of antibiotics doesn’t help combat the infection, your dentist may take a sample of the infection to find out what kind of bacteria is causing it. This will help pinpoint a more effective treatment plan moving forward.

Tooth Abscess Treatments

Treating a tooth abscess involves draining the abscess and ridding the area of the infection. The tooth itself may be saved with a root canal treatment, but in some instances, it may need to be removed completely. Leaving a tooth abscess untreated can lead to serious, even life-threatening, complications. Your dentist or oral surgeon may recommend the following:

Root Canal Procedure — If possible, your dentist will try to save your tooth by performing a root canal. The tooth is cleaned and disinfected on the outside, drilled into and cleaned out from the inside and then filled with a safe adhesive cement to restore structural integrity (and protect the tooth from future infection). If taken care of, this restored tooth will last your entire lifetime.

Extract or Pull the Affected Tooth — Extracting the tooth is a last resort, but if the tooth cannot be saved, your dentist will elect to choose this option to preserve the health of the rest of your mouth. Once extracted, the abscess will be fully drained and cleaned to prevent further infection.

Antibiotics — If the infection is localized around the abscessed area, you may not need antibiotics. However, if the infection has spread beyond it, your dentist will prescribe antibiotics to help slow or diminish the infection, especially if you have a weakened immune system.

While the area is healing, your dentist may recommend that you regularly rinse your mouth with warm salt water and take over-the-counter pain relievers as needed to help ease any discomfort you may encounter.

Preventing Tooth Abscesses

You can prevent a tooth abscess from ever occurring by taking proper care of your teeth, eating a healthy diet and getting regular dental checkups. Here are some general guidelines to ensure you have a happy and healthy mouth.

Drink fluoridated water.

Use a fluoride toothpaste when brushing twice a day (or after every meal).

If your brush bristles become frayed, replace your toothbrush. Or, simply replace it every three to four months as a general rule.

Floss daily with dental floss or an interdental cleaner.

Use an antimicrobial or fluoride mouthwash to help rid your mouth of any leftover food particles after meals.

Eat a more balanced and sugar-free diet.

Get regular dental checkups and cleanings from your dentist.

If you have questions about your oral care routine or feel like you may be experiencing the early stages of a tooth abscess, contact your dentist for an examination. Your dentist will answer your questions and determine if you need treatment for a tooth abscess.

(03/06/2023)
by Colgate

More Information: https://www.colgate.com/en-ph/oral-health/mouth-sores-and-infections/tooth-abscess


Views: 561
Share
Share

Shiny Happy Teeth: What to Expect During the Professional Teeth Cleaning Process

Do your gums bleed every time you brush your teeth? Are you avoiding flossing because it makes your mouth hurt?

Surprisingly, about half of all American adults have some form of gum disease. They may notice that their gums are receding, puffy, and bleeding from daily brushing.

If left unchecked, gum disease can cause tooth decay and possibly respiratory and heart problems.

Smokers, seniors, and people with diabetes are at higher risk, but anyone can get gum disease.

If going to the dentist isn't on the top of your to-do list, this article's for you. We'll describe the teeth cleaning process and help you connect with a local dentist.

Preparing for the Teeth Cleaning Process

The only way to fight gum disease is to get your teeth cleaned regularly. In general, you should get your teeth cleaned twice per year.

What is a dental cleaning like? It's a process that allows dentists to remove plaque and tartar from your teeth and inspect them for gum disease .

To prepare for your teeth cleaning session, try to floss regularly for at least two weeks. You might also want to switch to a softer toothbrush.

The reason for this step is to see whether your gums are still bleeding after you change your daily routine. If they are, make sure to let your dental hygienist know when you go in for your appointment.

On the day of your visit, brush and floss as you normally would.

X-Rays and Visual Inspection

The first step to getting your teeth cleaned is to get x-rays. Nowadays, dentists can take digital x-rays of your entire mouth.

The advantage of digital x-rays is that dentists can easily view and share the images. Waiting for x-rays to get developed is a thing of the past.

Once you have your x-rays taken, you'll sit in a reclining dental chair. The dental hygienist will look into your mouth with a small mirror, checking for cavities and signs of gum disease.

They may also use a small tool to probe your teeth and gums. If you have any pain during this process, let your hygienist know immediately.

Pain could be a signal of cavities or of bone loss due to gum disease.

Professional Cleaning

The dental cleaning process then continues with a thorough cleaning. If you have plaque buildup on your teeth, the hygienist will remove it with a small scraping tool.

Plaque is bacteria that has built up on your teeth. If your teeth have a yellowish tint to them, you may have plaque that has hardened and turned into tartar.

Either way, the hygienist will thoroughly "scale" and clean your teeth. If you have any cavities, they will make a note of it on their chart and pass that information on to the dentist.

The cleaning isn't typically a painful process, but you might feel a bit sore afterward. It's essential to remove as much tartar and plaque as possible, especially if you haven't had a cleaning for a while.

Polishing and Flossing

After you have your teeth cleaned, the hygienist will use a high-powered rotating polishing tool. This sounds like it would hurt, but it's not a painful process.

In addition to polishing your teeth, your dental hygienist will give you a professional flossing. If you have any flossing questions, this is the time to ask them.

Regular flossing is key in the reversal of early gum disease , called gingivitis. If you don't floss and brush regularly, your gum disease could progress to a much more serious condition called periodontal disease.

If you can't floss your teeth due to pain in your gums, let your hygienist know. You may have pockets of fluid called pus around the roots of your teeth.

In general, let your hygienist and dentist know if you have any pain during the cleaning process.

Fluoride Application

The next step in the teeth cleaning process is a fluoride application. Fluoride is a mineral that helps your teeth fight the erosion caused by acidic drinks and food.

The fluoride application won't take more than a few minutes. Your dental hygienist will insert a mouthpiece into your mouth that is filled with a gel.

After about one minute, they will remove the tray and you can rinse out your mouth.

If you have young children, you should talk to your dentist about treating their teeth with fluoride to prevent cavities. Even if they have their baby teeth, fluoride treatment is a good idea.

Final Inspection

The final step in your dental cleaning appointment is an inspection by your dentist. They will take a close look at the edges of your teeth to see if you have any gum disease.

If you have cavities, this is the time to schedule a follow-up visit. Your dentist may recommend that you change your toothbrush or toothpaste and follow a daily flossing routine.

If your teeth were severely stained from smoking or had a lot of tartar, your doctor may ask you to come in for a second cleaning.

Schedule Your Next Teeth Cleaning!

(03/03/2023)
by Broadway Cosmetic Dentistry

More Information: https://www.broadwaycosmeticdentist.com/teeth-cleaning-process


Views: 584
Share
Share

Five Dental Problems for People Above 50 Years of Age

Teeth problems are caused throughout the lifetime but after 50 its starts going southwards. Tooth issues are generally very painful issues and precaution for prevention is always a good idea. Also, 50 plus is an age when everything other than health is secondary. So, let us run through some of the tooth problems that commonly occur in the 50’s and care to be taken in order to avoid the same.

Dry MouthDry mouth is often a result of medications. As people grow older, the number of medications also increase hence resulting into dry mouth problems. Sometimes it could occur due to an accidental blow to the head or smoking addictions due to damage to salivary glands. The symptoms of dry mouth include dry throat, issues swallowing, dry and cracked lips. It may also cause bad breadth and trouble with swallowing food.

Care – Sipping water throughout the day for stimulating saliva production is a good remedy for dry mouth. Alternatively, you may also sugar free xylitol chewing gum or candy. Over the counter formulations are also available and could on the advice and prescription of your Dentist.

Tooth DecayWhile many of us may presume that cavities are only a problem of the sunny days, apparently we’re not aware enough. Cavities can occur even after 50 years. The roots of your teeth turn softer as well as are even more exposed once you cross the golden jubilee mark. So, they are more prone to tooth decay not only on the surface of the teeth but also affect the root and over old fillings.

Care – Flouride is a simple solution to the problem called cavities. Be it children or adults, is works alike for both and is known to be one of the top 10 dental health measures. In India people do not drink fluorinated water, like Americans do. Hence, it is advisable that you do a fluoride rinse after brushing daily. Alternatively, you may also ask your dentist to prescribe you some flouride prescription gel.

Gingivitis/ Gum DiseaseGingivitis is a first stage of gum disease and needs and needs early intervention or it can progress further into bone loss and eventually loss of teeth. The symptoms of gum disease include red and swollen gums that bleed easily.

Care – Follow your routine teeth care and visit your dentists regularly for oral check-up and cleaning.

Tooth CrowdingAs per the X-president of American association of Orthodontists, our teeth shift as we age. This makes it difficult to clean the teeth increasing the risk of tooth decay. Additionally, it also increases the risk of periodontal disease that could lead to a loss of teeth.

 

Care – Meet your dentist to find out if your teeth have actually shifted.

The dentist may suggest refitting them with a spacer, retainer or braces as well. It is advisable to do a regular visit to your dentist to check on the shifting part and even regular cleaning.

Oral CancerOral cancer is ranks in the top three cancers in India as per a research paper published in Journal of Cancer Epidemiology in 2012. As you age the risk of oral cancer only increases. The people who are addicted to smoking and drinking often are at a greater risk of the same. The discovery of Human Papilloma virus has also added to the cause of oral cancer.

Care – Mortality rate for those suffering from oral cancer is very low. If detected at an early stage then the survival rate is upto 5 years or so. Hence, it’s advisable to do a checkup for oral cancer regularly.

(03/04/2023)
by Rrdch

More Information: https://www.rrdch.org/blog/5-dental-problems-people-above-50-years-age/


Views: 567
Share
Share

Prescription Medications And Dry Mouth

In the past 20 years, a majority of Americans feel that prescription medications have improved the lives of people living in the United States (73 percent) as well as their life and their families lives (63 percent). Over half of all adults are currently taking prescription medication and one in five takes four or more prescription medications per day.

Dry mouth or xerostomia is a condition that occurs when the salivary glands of a person do not function normally, resulting in inadequate secretion of saliva in the mouth. There are three major salivary glands in the mouth and prescription medications can affect each of them. If you are taking prescription medications, please inform both your medical and dental professional of the type of prescriptions you are taking.

What Drugs Cause Dry Mouth?

More than 500 medications cause dry mouth and when multiple drugs are taken they can increase the severity of dry mouth2, 3.

The following classes of prescription drugs that affect the salivary glands are:

Antihistamines: Prescription drugs in this category affect the production of saliva. These may include: Benadryl®, Claritin, Zyrtec, etc.

Antidepressants: People taking antidepressants will also be affected by dry mouth. These types of drugs will affect the quantity of saliva production. These include Zoloft, Flexaryl and Elavil.

Antiemetics: These are drugs that are prescribed to prevent vomiting and nausea in chemotherapy and radiation therapy and are also used to treat motion sickness (e. g., Anzemet, Domperidone).

Antihypertensives: The antihypertensive medications (e.g. Albuterol aerosol, Norvasc, Prinivil) are taken for the control of blood pressure.

Antiparkinson: The drugs in this category are prescribed to relieve the symptoms of Parkinson’s disease and other forms of Parkinson’s (e. g., Levodopa, Artane).

Antispasmodics: These drugs are used to treat and relieve cramps and spasms that occur in the stomach, small and large intestines and the bladder (e. g., Dicyclomine).

Antipsychotics: Drugs that are given for psychiatric disorders, anxiety and depression (e. g., Zoloft, Lexapro).

Sedatives: This is a substance that induces sedation by reducing excitement or irritability and relieves anxiety (e. g., Amytal, Valium, Lunesta).

If you are taking any of these drugs, consult your physician and dentist to determine how you can control dry mouth. There are prescriptions and over-the-counter medications to relieve the dryness. Just ask your medical or dental professional for assistance.

(03/07/2023)
by Colgate

More Information: https://www.colgate.com/en-ph/oral-health/dry-mouth/prescription-medications-and-dry-mouth


Views: 462
Share
Share

Things You Didn't Know Your Dentist Was Doing at Your Check-Up

Heading to the dentist for your bi-annual check-up? We bet you expect your teeth will get cleaned, the dentist will do a quick check, and call it a day. While it is true that your pearly whites are going to get an excellent cleaning, there is a lot more going on than you may realize.

When your dentist is checking the health of your teeth and gums, they are also paying attention to a lot of other, smaller details that give them clues about your overall health.

Here’s an in-depth look into what all is really happening during your visit:

EXAMINING YOUR TONGUE

Your tongue is a significant indicator of potential or current oral health concerns. Is it discolored? Sensitive? While not usually the case, these factors can be signs of a more serious problem, which your dentist would notice during an exam.

EXAMINING YOUR GUMS

Your dentist always checks the health of your gums during a dental exam. They'll be looking for any signs of bleeding, swelling, or large gum pockets, all of which are signs of potential gum disease.

EXAMINING YOUR SALIVARY GLANDS

Just like gums, teeth, and your tongue, your salivary glands need to be checked. If they aren't functioning correctly, your mouth may be drier than usual, making you susceptible to cavities, bacteria, infection, and bad breath.

SMELLING YOUR BREATH

We know, we know, that sounds gross. But, your dentist takes one for the team and always smells your breath for any signs of unusually bad breath, which can be an indicator of several adverse health issues.

SCREENING FOR CANCER

Another thing your dentist is looking for while examining your mouth is any sign of oral cancer. Oral cancer is a very real threat, and if left untreated, can become life-threatening. Your dentist is often the first to notice the signs of oral cancer and help diagnose it early, giving you more time for successful treatment.

CHECKING YOUR TONSILS

Your dentist always checks the back of your throat and tonsils to ensure there are no signs of infection or irritation.

CHECKING EACH AND EVERY TOOTH

With the help of their trusty probe and little mirror, your dentist will go over each one of your teeth. This is done to observe any areas of concern that have occurred since your last visit.

SEARCHING FOR SINUS INFECTIONS

Sinus and dental issues usually go hand-and-hand. How many times have you experienced a nasty sinus infection and noticed that it's caused pain in and around your mouth? Both sinus and dental issues can lead to a whole lot of physical pain. Your dentist can check on the health of your sinuses to determine whether it is simply a sinus infection or a more involved dental-related concern.

EVALUATING YOUR BITE/CHECKING FOR TMJ ISSUES

Your bite is an essential indicator of your oral health. Over time, your bite can shift and change. While subtle changes are normal, if there has been a significant shift or if there are any signs of malocclusion (teeth misalignment), your dentist will notice and be able to offer a specific plan to correct that shift. Your Dentist will also examine the contour/shape of your teeth to check for evidence of teeth grinding/clenching. Most people are not even aware that they are grinding unless they have symptoms. Some of the symptoms include: waking up with a headache, soreness of muscles, neck & back pain as well as soreness of the jaw.

(03/03/2023)
by CNS Dental

More Information: https://www.cns-dental.com/10-things-you-didnt-know-your-dentist-was-doing-at-your-check-up/


Views: 564
Share
Share

Understanding the Causes and Signs of Damaged Fillings

Cavities are the most prevalent form of dental damage. Although cavities are particularly common among children and seniors, patients can suffer from dental decay at any point in their life. Fortunately, dental fillings can repair the damage caused by a cavity and protect the teeth.

However, patients must understand that a dental filling is not meant to last forever. Patients should expect that their filling will need to be replaced eventually. Here, Dr. Everett E. Heringer goes over the causes and signs of damaged fillings so that his Bismarck, ND patients recognize when replacement is needed. By addressing a damaged filling in a timely manner, patients can avoid unnecessary dental problems.

What Causes Damage to Dental Fillings?

The tooth-colored dental fillings offered by Dr. Heringer are composed of strong and durable materials. Still, they are susceptible to damage from many of the same forces that threaten the structure of the teeth.

 Over time, simple wear and tear will break down a dental filling. Under ideal circumstances, a dental filling should last for at least 10 years.

However, the following factors can cause dental fillings to damage prematurely:

Hard, sticky foods: Foods like chips, corn nuts, and hard candies are fun to eat, but they can be especially rough on the teeth. As long as these foods are only eaten occasionally, they shouldn’t cause a problem. However, if a patient eats hard, sticky foods routinely, their dental fillings are likely to have a shorter lifespan.

Using the teeth as tools: The teeth are meant to bite and break down food, not open bottles or chew on pen caps. When the teeth are used as tools, it places too much pressure on tooth enamel and any existing dental restorations, like fillings.

Bruxism: Bruxism is a term that describes teeth grinding and clenching. This habit is often the result of stress or tooth misalignment. Unfortunately, bruxism can cause damage to the teeth, as well as any dental fillings that may be in place.

Poor oral hygiene: Dental fillings cannot be damaged by bacteria the way that tooth enamel can. Sill, poor oral hygiene can lead to tooth decay in adjacent teeth or an infection in the gum tissues. Any of these oral health issues can lead to problems with dental fillings.

How Do I Know if a Filling is Damaged?

If a dental filling becomes damaged, the tooth is more vulnerable to decay and infection. To avoid complications such as these, the filling should be replaced as soon as possible.

But how does a patient know when a filling is damaged? Here are some of the most common signs that a filling has been compromised:

Increased tooth sensitivity, particularly to hot and cold temperatures

Sudden pain in the treated tooth

Visible cracks or fissures

A change in the way the tooth feels (for instance, feeling a hole or crack when you run your tongue over the tooth)

Any of these signs should be reported to your dentist as soon as possible so that the tooth can be examined and appropriate treatment can be scheduled.

(03/07/2023)
by Dr Heringer

More Information: https://www.drheringer.com/blog/2018/10/11/understanding-the-causes-and-signs-194053


Views: 585
Share
Share

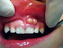
What Causes Red Spots On The Roof Of Your Mouth?

Red spots on the roof of your mouth can be caused by a variety of different reasons. Some are just a minor inconvenience, while others could be a sign of a more serious health issue that may require further investigation. Here are some common possibilities:

Canker Sores

Most people have had a canker sore at some point in their lives, and while these sores are more common on the inside of the cheeks or lips, they can occur anywhere including the roof of the mouth. Canker sores are generally a result of stress, eating particular foods, or coming in contact with other irritants. The sores normally start as small, red bumps and often develop a white center. There are over-the-counter treatments available, and most sores will heal in a week to 10 days.

Candidiasis

Also known as thrush or oral candidiasis, this fungal overgrowth can cause red bumps and white patches inside the mouth. Common in those with dentures and diabetes, candidiasis is most often treated by preventing the overgrowth in the first place. According to the ADA, oral antifungals may also be used to combat particularly tough cases. Learn more about thrush in the Colgate Oral Care resources.

Coxsackievirus

The virus behind hand, foot and mouth disease, coxsackievirus can cause painful blisters and red spots on the roof of the mouth, as well as on the hands and feet. It is most common in children under five years of age, but does occur in people of all ages. Treatment options include over-the-counter medications for fever and pain, as well as special medicated mouthwashes to help alleviate the discomfort associated with the oral sores.

In rare cases, oral sores or lesions can be a sign of oral cancer, so it is important to have any spots that are painful, cause difficulty in eating or drinking or do not heal quickly checked by your dentist.

(03/06/2023)
by Colgate

More Information: https://www.colgate.com/en-ph/oral-health/mouth-sores-and-infections/what-causes-red-spots-on-the-roof-of-your-mouth-0413


Views: 608
Share
Share

Bumps on the Back of the Tongue: Normal or Abnormal?

We don’t often think about our tongues, but they can actually be a marker of our overall health. The tongue’s appearance can change for many reasons, many of them not too serious. Have you ever noticed bumps on the back of your tongue? Often these bumps are caused by some type of oral infection. Find out what causes these bumps and when they are a cause for concern.

What Are Tongue Bumps?

The tongue is made up of muscles and the surface is covered with a mucous membrane. Typically, small bumps (also known as papillae) cover the surface of the back part of your tongue. Between the papillae are your taste buds that help you taste foods. Usually, these papillae are pretty unnoticeable. But sometimes, they become enlarged and can cause you pain. This can happen for many reasons.

What Are Common Causes of Bumps at the Back of the Tongue and How Can You Treat Them?

Some common reasons why you see large bumps at the back of your tongue include:

Oral thrush. If the inside of your mouth is red and you see white patches on your tongue and inner cheeks, you might have oral thrush. Wiping these patches off can leave red spots that bleed. The good news is that oral thrush is pretty harmless for most people and can be cured with antifungal medicine. However, oral thrush can be more serious for people with lower immunity, such as people experiencing cancer treatment or HIV/AIDS.

Leukoplakia. The primary symptom of this condition is thickened, white patches on your tongue, gums, bottom of the mouth, and the insides of your cheeks. They can’t be scraped off. Chronic irritation from tobacco is often the cause. While leukoplakia patches are usually noncancerous, some do show early signs of cancer. So, if you’re noticing these patches, it’s best to consult with your dentist or doctor as soon as possible.

Cold sores. Also known as fever blisters, these sores are caused by the herpes simplex virus (HSV) and can appear on your lips, inside your cheeks, or on your tongue. They begin as a fluid-filled blister that ruptures after a day or two before starting to heal. The sores usually last around 8-10 days and are highly contagious. Avoid oral contact — like kissing — during this time, and do not share utensils, lip balms, or other items that have touched your mouth. Cold sores usually heal on their own, and though you might be able to speed up the process with antiviral medications or creams, there is no way to get rid of HSV.

Scarlet fever. One of the symptoms of scarlet fever is a red and bumpy (“strawberry”) tongue. It’s usually accompanied by a very red, sore throat, high fever, red skin rash, and the skin in the creases of your underarm, elbow, and groin turning bright red. Scarlet fever most often occurs in children or adults who are in contact with children. Bacteria called group A strep causes this condition, and your doctor will usually prescribe antibiotics to help get rid of the bacteria.

Oral squamous papilloma. This is a benign mass that appears on the border of the tongue. They are often attributed to the human papillomavirus (HPV). According to a study in the International Journal of Scientific Reports, the best way to remove them is through surgery. They’re also unlikely to recur, except in immunocompromised patients.

Tongue cancer. Rarely, bumps on the tongue can be an indication of oral cancer. However, according to Cedars-Sinai, the lump is most likely to appear on the side of the tongue that touches the teeth. But the lump can appear on any portion of the tongue, and lumps on the base of the tongue are often hard to diagnose until they become larger. Early detection is critical here, so you must make an appointment with your doctor if you notice a lump of any size on your tongue. The lump will need to be biopsied, and your doctor will likely refer you to an oncologist.

If your notice tongue bumps at the back of your mouth, it’s normal to be worried. But the good news is that most bumps on your tongue aren’t a cause for too much concern. That said, if your bumps are large, last for several weeks, or are exceptionally painful, don’t hesitate to get them checked. Your doctor or dentist can help you feel comfortable again in no time!

 

(03/09/2023)
by Colgate

More Information: https://www.colgate.com/en-us/oral-health/adult-oral-care/bumps-on-the-back-of-the-tongue-normal-or-abnormal


Views: 452
Share