Dentists Journal

Top Ten Stories of the Week
10/10/2020

All Dentists Journal · Previous Week · This Week · All Time List · Headlines

Share

What's Behind Stained and Yellow Teeth?

Tooth discoloration is when the color of your teeth change. They don’t look as bright or white as they should. Your teeth may darken, turn from white to different colors, or develop white or dark spots in places.

Reasons for tooth discoloration may be: 

Extrinsic. Caused by something that comes in contact with your teeth, Intrinsic. Caused by something inside your teeth or body, Age-related. Changes to your tooth color that happen later in life.

Tooth Discoloration Causes: There are several causes of tooth discoloration, including: 

Foods/drinks: Coffee, tea, colas, wines, and certain fruits and vegetables (for example, apples and potatoes) can stain your teeth.

Tobacco use: Smoking or chewing tobacco can stain teeth.

Poor dental hygiene: Not brushing, flossing, and rinsing enough to remove plaque and stain-producing substances.

Disease: Several diseases that affect enamel (the hard surface of the teeth) and dentin (the underlying material under enamel) can lead to tooth discoloration. Treatments for certain conditions can also affect tooth color. For example, head and neck radiation and chemotherapy can cause teeth discoloration.

In addition, certain infections in pregnant mothers can lead to tooth discoloration in their babies by affecting enamel development.

Medications: The antibiotics tetracycline and doxycycline are known to discolor teeth when given to children whose teeth are still developing (before age 8).

Mouth rinses and washes containing chlorhexidine and cetylpyridinium chloride can also stain teeth. Antihistamines (like Benadryl), antipsychotic drugs, and drugs for high blood pressure also cause teeth discoloration.

Dental materials: Some of the materials used in dentistry, such as amalgam restorations, especially silver sulfide-containing materials, can cast a gray-black color to teeth.

Aging: As you age, the outer layer of enamel on your teeth wears away, revealing the natural color of dentin.

Genetics: Some people have naturally brighter or thicker enamel than others.

Environment: Excessive fluoride either from environmental sources (naturally high fluoride levels in water) or from excessive use (fluoride applications, rinses, toothpaste, and fluoride supplements taken by mouth) can cause teeth discoloration.

Trauma: For example, damage from a fall can disturb enamel formation in young children whose teeth are still developing. Trauma can also cause discoloration to adult teeth.

Tooth Discoloration Prevention:

A few simple lifestyle changes may help prevent teeth discoloration:

If you’re a coffee drinker or smoker, consider cutting back or quitting all together.

Improve your dental hygiene by brushing, flossing, and using a mouthwash daily.

Have your teeth cleaned by a dental hygienist every 6 months.

If the color of your teeth change without ready explanation and other symptoms are also present, make an appointment to see your dentist.

Tooth Discoloration Treatments: Treatment options to whiten teeth can vary depending on the cause of the discoloration and may include:

Using tooth brushing and flossing techniques, Avoidance of the foods and beverages that cause stains, Using over-the-counter whitening agents, In-home whitening agents purchased from your dentist, In-office whitening procedures

Bonding: A dentist or prosthodontist fuses material to stained areas of your teeth to change their color or shape.

Veneers: A dentist or prosthodontist puts a thin shell of material over the entire front of your tooth to change the color or shape.

(10/04/2020)
by WebMD

More Information: https://www.webmd.com/oral-health/guide/tooth-discoloration


Views: 827
Share
Share

Can a tooth repair itself?

Wondering if your damaged tooth will repair itself? If you damage other parts of your body it will begin to naturally heal itself, so why not your teeth? The fact that more and more people are looking for more natural ways to take care of themselves means that they are looking for alternative options when it comes to their overall health. This fact makes it so many dental practices are now offering their patients a number of more natural options when it comes to any dental work they may require.

Although futurists believe human teeth will one day be able to repair on their own with the use of stem cells, it is not currently possible for teeth to perform any sort of self-regeneration. The sad truth is if you have a cavity, you will have your dentist fill it as soon as possible. This is not to say five or 10 years down the line there will not be a drug that stimulates the teeth to remedy decay. However, at the present time, those who have teeth with decay or damage need to rely on dentists for restoration.

Why it is so difficult for teeth to heal on their own

The average person's diet is rife with carbohydrates, sugar, starch and other threats to the teeth and gums. This is part of the reason why cavities are so common. Consider the fact that dogs and other animals rarely get cavities. These animals are not consuming the same highly processed, sugar-laden foods as humans. If people were to dramatically alter their diet, consume little or no artificial sugar, they might find that teeth rebound from decay or damage that much better. Currently, however, there is little evidence that teeth have the potential to heal on their own. In most cases, the assistance of an experienced dentist is necessary to beautify, rebuild or improve the functionality of teeth.

Teeth heal on their own … sort of

Some of those who work in the oral health industry like to argue teeth have the potential to heal without outside assistance. Although there is some truth to this statement on the surface, in reality, teeth rarely heal to a considerable extent on their own. There is something to be said for the fact that a limited amount of dental damage occurs before the problem is visible, however.

Saliva plays an important role in combating and reducing damage. Saliva is beneficial in that it has phosphate and calcium that naturally clean and heal the teeth. Saliva also washes away harmful acid that coats the teeth after indulging in treats like sodas, juices, energy drinks fruit and candy.

The extent of self-repair

Teeth can repair on their own to a limited extent. Consider the fact that tooth enamel is made up of 90 percent minerals. This enamel lacks cells and proteins. Cells are necessary to launch the healing process. The base of the teeth have roots where there are cells that allow for some level of repair, yet this repair does not occur up toward the crown area of the tooth. This means a considerable portion of the surface area of the teeth is left vulnerable to the surrounding environment. Anything from a hot or cold drink to the air one breathes can impact sensitive and decayed teeth. 

(10/07/2020)
by Campbell Smile

More Information: https://www.campbellsmile.com/blog/can-your-tooth-repair-itself/


Views: 833
Share
Share

Do you know how important your teeth are to digestion?

Eating healthy, nutritious foods is the key to a healthy digestive system. It’s also very important to consider how we chew and break down food for proper digestion. The first step of digestion starts in your mouth.

Teeth help break down foods and saliva has enzymes by which the digestive process starts. As you swallow food, muscles move it through the digestive tract. Food then is broken down and absorbed of nutrients needed by your body for health and development.

Digestion can be broken down into separate parts– the first of which begins in the mouth with CHEWING! The chewing action breaks food into smaller portions, enabling it to move down the esophagus, with the help of digestive enzymes in our saliva.

Given adequate time during chewing, our saliva breaks down and absorbs nutritional elements otherwise lost if swallowed too quickly. Many times dental distress during chewing can cause us to rush the process and ultimately rob our bodies of beneficial nutrients as well as cause other problems.

Chewing helps us to absorb essential nutrients and retain energy.

When you’re chewing there is more going on than tasting flavors and grinding up our food. The more we chew our food, the more it’s broken down into elements we can absorb and use. When we swallow minimally chewed food, some of the nutrients and energy remains locked in—making it more difficult to enter our bodies.

Chewing is a simple act that aides in digestion.

The food we eat begins to digest before we even swallow it when saliva mixes with that same food. The digestive enzymes contained in saliva that begin breaking our food down right away. Digestive discomfort can be often be attributed to un-chewed pieces of food.

Chewing gives time for the brain to tell the body it is full.

When we inhale our food, we usually end-up eating more than we would if we’d waited for our body to give us the satisfaction signal that we’re officially full. Eating slower can help us control our portions and feel more satisfied.

Your BITE could be the cause of improper chewing.

When you’re not chewing your food properly, your bite or the way in which your teeth naturally fall into place when they touch could be the reason. Malocclusion (an uneven bite), as well as missing teeth, poorly fitting dentures, and even tooth sensitivity can be causes for improper chewing. If chewing is uncomfortable you might also wallow food earlier than would be nutritionally beneficial for your body. Some of the healthiest foods might even be totally avoided due to their requirement for more efficient chewing action.

Breakdowns in our oral health start to affect our overall health. If your teeth aren’t doing their job helping you chew, digest, and absorb nutrition from your food, don’t ignore the problem.

(10/02/2020)
by Vevera Family Dental

More Information: http://www.veveradental.com/how-does-your-bite-effect-your-digestion/#:~:text=The%20chewing%20action%20breaks%20food,lost%20if%20swallowed%20too%20quickly.


Views: 924
Share
Share

Oana grew up in a dental office, as she likes to say

Her father was a dentist and her first memories as a child are about taking rides up and down in the dental chair. She remembers the games her father invented when she was a little older "Who recognizes what's wrong with the tooth on the x-ray?" and how patiently he explained to her why teeth were hurting sometimes. 

When asked what career she was going to pursue, Oana knew there was only one answer for her, Dentistry. Dr. Carnu came to United States in 2002 after 3 years of practicing Dentistry back home in Romania. She was interested in expanding her knowledge in adjunctive therapies for periodontal disease and she participated in clinical research during her graduate program. Dr. Carnu has extensive experience in the treatment of periodontal disease and she has a considerable knowledge about the particularities of diabetic patients.

After finishing her PhD, she moved on the Pacific coast to attend UCSF and obtain her DDS. Since then she practiced as a General Dentist in Bay Area.

While visiting San Lorenzo Valley on a sunny autumn day, she fell in love with the forest, with the way the sun was throwing a gold powder in the air and with the pace she found in Ben Lomond. This was the place that brought back memories of the mountains from home.

This is where she met Dr. Anderson with whom she was sharing the same philosophies about patient care. She decided to continue Dr. Anderson tradition and she remained here. She thought that this would be an amazing place for her son to run around .

(10/06/2020)

More Information: https://www.mybestdentists.com/OanaICarnu


Views: 2,204
Share
Share

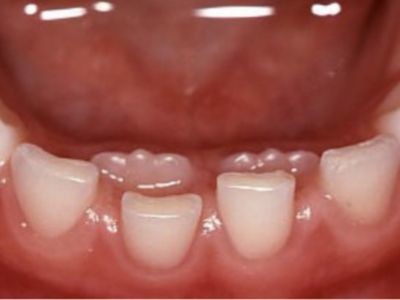
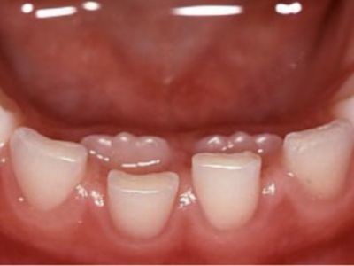
When should you be worry about shark teeth?

We get calls and questions from worried parents every single day in our office, and we love it! Concern for your kids is simply how we parents operate, and when you see something you’ve never seen before, it’s a great idea to consult the experts. Here’s one question we get more often than all the rest.

Shark Teeth: Should You Worry?

Permanent teeth usually begin to erupt between the ages of 5 and 7. If they come in like they are supposed to, the permanent, or adult, tooth will dissolve the root of the primary, or baby, tooth as it emerges causing the baby tooth to become loose and wiggly. Yay for things happening like they’re supposed to!

Sometimes though the adult tooth will erupt behind the baby tooth, and this can be quite a cause for concern  for many parents. We call these special (but actually quite common) cases “shark teeth,” and usually they are no big deal. So how do you know if your shark teeth are cause for concern?

Ask yourself these 3 questions:

Is my child in that tooth loss time frame? (typically ages 5-7 when the first permanent teeth beginning to appear and again around age 12 as the second set of molars make their appearance)

Is the baby tooth starting to wiggle?

Am I more bothered by the situation than my kid?

If you answered yes to all three questions, you’re probably in the clear! That adult tooth will do exactly what’s it’s supposed to dissolving the baby tooth’s root, pushing it out, and then eventually taking it’s proper place in line.

Next steps? Well … get to wiggling! And keep brushing!

When Should You Call the Dentist?

That’s a great question, and the real answer is “any time you are concerned about your child’s dental health.” Really! We’re glad you’re playing an active role in caring for your kid’s teeth, and we’re happy to answer your questions and schedule an appointment if necessary!

But when are shark teeth a real cause for concern?

There are instances when a “shark tooth” is a good reason for a dental visit. Think about 3 things … time, place, and discomfort.

Time: If the baby tooth doesn’t get wiggly and simply won’t budge within two months, it’s may be time for a wiggle appointment so we can help that little guy along. Even then if your child’s other teeth have been stubborn about coming loose in the past, this one might just follow suit.

Place: Are your child’s shark teeth coming in behind the molars? This might cause crowding issues, and if your kiddo hasn’t seen an orthodontist yet, now might be the time. Speak to your dentist about the possibility of an ortho consult.

Discomfort: If a shark tooth is causing your child pain or discomfort beyond just the normal “it hurts when it wiggles,” it’s a good idea to give us a call. Whether we can give advice on foods that often help this wiggly tooth along (apples! apples! apples!), over-the-counter pain medications to help with pain and inflammation, or simply set up an appointment to take a look ourselves, we’re happy to help when it comes to our patients and their discomforts.

 

(10/02/2020)
by Dentistry for Children

More Information: https://www.kitsapdfc.com/shark-teeth-when-worry/


Views: 1,031
Share
Share

Causes and treatments of pyorrhea

Pyorrhea, more popularly known as periodontitis, is one of the most widespread dental conditions for humans. This type of dental sickness occurs when the periodontium tissues that surround and support your teeth become compromised. When left untreated, pyorrhea can lead to you lose teeth or outright ending up losing teeth when push comes to shove. Tooth loss happens because you start losing the alveolar bone surrounding the teeth as your periodontium deteriorates.

Pyorrhea typically happens when you lack dental hygiene. It can also be hereditary in the case of aggressive pyorrhea or caused being immunocompromised, as in the case of cancer or HIV patients. Letting bacteria stick to your teeth in the form of filmy plaque or tartar will deteriorate your teeth from its enamel to its periodontium tissues.

At any rate, here are the most common causes of pyorrhea:

Poor Dental Hygiene: Bacteria tend to spread if you don’t kill them with mouthwash that kills 99.9 percent of them or brush your teeth clean off all plaque and food bits. Flossing also helps a lot in scraping the plaque and the remnants of rotting food in between the spaces of your teeth. If you don’t brush and floss twice daily and mouthwash occasionally, you’re in for a rude awakening.

Complacency and Neglect: Complacency is a slow but sure killer in and of itself. When you’re complacent with your dental habits to the point where the coating of plaque on your teeth has become tartar or seemingly enamel (it’s not, by the way), then that leads to dental destruction of the highest order. You don’t realize how neglect can affect your teeth and gums until it’s usually too late.

Plaque and Tartar: When bad oral bacteria are allowed to run rampant in your mouth, they tend to form off-white or yellow film of protein and leftover food that’s teeming with germs called plaque. When this plaque hardens due to calcium deposits being put in the mix, it turns into calculus or tartar. The longer plaque stays on tooth enamel, the worse off your teeth and periodontium will become down the line.

Periodontal Destruction: The disease is caused by the destruction of the periodontium tissue or the supportive tissue that keeps the teeth anchored to the gums and jawbone. Improper dental hygiene is what kills this tissue since that allows bacteria and their acidic waste products to proliferate. Bacterial populations should be kept low by ridding your mouth of leftover food, starch, and sugar and washing it with antiseptic mouthwash.

Gingivitis or Mild Periodontal Disease: Great things start from small beginnings.  Bad things too. Plaque left on your teeth can cause gingivitis, which is the mildest form of periodontal disease. This condition is defined as inflammation and irritation of the gum around the base of your teeth, which is also known as the gingiva. Gingivitis is reversible with good home oral care and professional dental treatment, as with periodontitis.

Periodontitis or Severe Periodontal Disease: By failing to reverse gingivitis, it can worsen and develop all the way into pyorrhea or periodontitis. In other words, gingivitis can directly result into periodontitis, which causes pockets to develop between teeth and gums as your periodontium tissues die out. These pockets where the periodontium and gingiva used to be will then be filled with plaque, tartar, and (of course) bacteria.

Diabetes and Pyorrhea: Certain conditions can cause other conditions to surface in your body. This is the case with diabetes and pyorrhea. If you have diabetes, your chances of also developing periodontitis also increase. Diabetics are often asked to observe dental hygiene to save themselves from further complications like dental disease.

Smoking: Smoking tobacco is bad for you in many ways, including its impact on your dental health. Yes, there are links between smoking cigarettes and pyorrhea development. Continuing to smoke while your periodontitis is being treated also interferes with the treatment so you better get a nicotine patch and wean yourself from smoking altogether.

Periodontal disease or pyorrhea is curable but there is a point of no return you should be aware of with this disease. You might not be able to save some or all of your teeth if your pyorrhea is particularly bad, despite it being curable or reversible.

Brushing: You should brush twice a day or even three times a day to avoid developing pyorrhea or any other kind of oral disease. You should also brush properly and don’t scrape too hard with your brush. Move the brush in a circular pattern and do it thoroughly but gently instead of roughly and shoddily. Brush at least 2-3 minutes daily and don’t forget to regularly change your toothbrush as well every 3-4 months.

Flossing: Kids nowadays know flossing as a dance but these Millennials and Gen Z children should also be aware of how to properly floss in the dental sense. Many simply slip the floss between the teeth then pull it out in mere seconds, thinking they’re done. What they’re supposed to do is use a piece of floss on each individual tooth and then scrape not only the stuck bits of food but also the plaque on the tooth surface until all the teeth have been properly flossed.

Mouthwash: Mouthwash is at least a bit more self-explanatory than flossing or brushing. Just gargle with the mouthwash and then spit it out, right? In certain situations, like when you have a bacterial infection or swelling infected gums, you might need to let that mouthwash stay in your mouth for at least 30 seconds before spitting it out. Ideally, you should use antiseptic mouthwash and use it after brushing and flossing. It also helps get rid of bad breath.

Home-Made Remedies: You can also make use of home-made remedies to help fight or prevent pyorrhea. For example, you can chew an onion in order to kill germs that assist in periodontitis development. Onion also helps treat the bleeding gums symptom of both gingivitis and periodontal disease. You even have the option to eat fruits enriched with Vitamin C such as lemon and guava. Lemon prevents gum inflammation as well.

Dentist Visit: You should regularly visit your dentist. This is important because he’s the one who’ll keep tabs on the healthiness of your gums. He can also do thorough cleaning of your teeth and gums that are even more effective than everyday brushing and flossing known as prophylaxis for at least every 6 months. Your dentist knows best and can provide the right treatment for your issues.

Deep Cleaning: If you’re a patient with advanced pyorrhea and deep periodontal pockets where there used to be gum tissue, bone, and ligaments, you should avail of this treatment. It’s a package deal to treat chronic gum disease using the services of scaling and root planning.

Scaling: This procedure involves the dentist removing tartar and plaque on your teeth, gums, and periodontal pockets. This buildup of yellowish and brownish material is directly causing your pyorrhea. Special debridement tools are needed to access these areas because they’re beyond the reach of flossing, tooth brushing, or prophylaxis treatments.

Root Planing: The infected root is then smoothened out using dental instruments like a drill or a laser. The bacteria usually collects at the root and the pockets caused by your receding gumline, thus necessitating cleanup and removal. What’s more, infected tooth roots need to be planed in order to begin their healing.

Aftercare: Your dentist will likely prescribe an over-the-counter (OTC) painkiller and antibiotic for your infection. He might also recommend follow-up visits to determine whether or not your deep-cleaned teeth require more scaling and root planning. These additional appointments also help him check the progress of your gingival and dental healing.

Periodontal disease, like dental caries or tooth decay, is caused by neglect and not maintaining proper dental hygiene for the most part. Your food intake as well as whether you smoke and drink are also contributing factors. Therefore, observe proper dental hygiene and visit your dentist regularly. Keep him updated with your dental condition and what treatments you might need to prevent this sickness from happening or progressing.

(10/03/2020)
by Dr. Thiti Sirikrai, DDS

More Information: https://www.thantakit.com/the-causes-and-treatments-of-pyorrhea/


Views: 863
Share
Share

Dr. Scott Terry enjoys being able to be part of the small tight-knit community

Dr. Scott Terry has spent most of his life as a Hoosier. He was raised in the small town Hagerstown, Indiana, and graduated from Hagerstown High School in 1984. He was active as an Eagle Scout in Boy Scouts, a musician in the band, and captained his football team who went to the Semi-State Championship.

After he graduated from high school, he attended nearby Hanover College and majored in biology. It was during college he discovered his love of the outdoors and had a job as a naturalist at Clifty Falls State Park in Madison.

He attended dental school at Indiana University until his graduation in 1992. After graduation, he worked in dental offices in North Vernon and Versailles, until he established his own practice in 2000 in North Vernon.

Dr. Terry enjoys being able to be part of the small, tight-knit community of North Vernon and is proud to share in the lives of the families there. He is an advocate for their good health and well being having served on the county Board of Health, United Way campaigns and being instrumental in getting fluoride back in the water for the Jennings County residents.

He and his staff continually strive for excellence in their patient care and continuing education. The office is also equipped with modern technology to allow Dr. Terry to give his patients the best care available in the gentlest manner. He is a member of numerous dental organizations and study groups.

Dr, Terry is married to his wife of over 20 years, and they have three children. When Dr. Terry isn’t in the office, he’ll most likely be found in his woods, near Hayden, hiking, fishing, boating, hunting, or hosting barbecues or camp-outs for his friends and family.

(10/05/2020)

More Information: https://www.mybestdentists.com/ScottATerry


Views: 2,077
Share
Share

The 3 most common types of cavities that people are prone to

When it comes to tooth decay, we can experience it on one of three places: in the grooves of our molars, on the smooth outer surface of our teeth, or on the roots of our teeth. Where are your cavities (if you have any!)?

Let’s talk more about each cavity type:

1. Pit and fissure decay.-

Some of our teeth, particularly premolars and molars, have deep grooves referred to as pits and fissures. These deep grooves are unfortunately susceptible to tooth decay, as they easily attract and trap food particles and bacteria. It can be especially difficult to successfully clean these areas out with a tooth brush. Luckily, dental sealants are an effective treatment that helps to protect the teeth from this type of decay by filling these cavity-prone grooves. Talk to a Teeth First Dental Network Ontario dentist near you about sealants for you or your child!

2. Smooth-surface decay.-

This type of tooth decay crops up on the flat, smooth surfaces of the teeth. These cavities typically progress slowly and occur when people aren’t brushing or flossing like they should. When in its earliest stages, smooth-surface decay can often be controlled or even reversed with fluoride treatments, and with proper changes made to an oral care routine.

3. Root decay.-

This kind of tooth decay occurs on the surface of a tooth’s root. It is most common for seniors to experience this kind of decay because this demographic tends to have the most gum recession, which exposes the root of the tooth, making it susceptible to decay. While you can’t grow gum back once it’s lost, you can take steps to preserve the gum you do have. You can prevent gum disease and gum recession through brushing twice daily, and flossing once. Also – remember to be gentle when you clean… as the gums could recede as a result of aggressive cleaning.

An insufficient oral hygiene care routine is one reason many people experience cavities. Another thing that contributes to a high decay risk would be a poor diet that is high in carbohydrates and/or sugars.

(10/06/2020)
by Teeth First Dental Network

More Information: https://www.teethfirstdental.com/blog/patients/types-of-dental-cavities.html


Views: 1,025
Share
Share

Did you know that teeth are actually living things?

That’s right, this means it’s also possible for teeth to die. Tooth death most often happens due to physical trauma, such as s deep cavity or cracked tooth. Dead teeth can be reclaimed through the use of root canal therapy, but to fully understand how this works it’s important to first know the anatomy of a tooth.

The end of the tooth that you can see in an open mouth is called the crown, while the base of the teeth that lies buried in gums and bone is called the root. Each tooth has three basic layers. The outer layer is called the enamel, and the inner layer around the root is called cementum. Inside these layers you find the last layer, the dentin. Underneath the dentin lies the pulp, which is made up of nerves, blood vessels and other tissue. People often refer to the pulp as the “nerve.” This is not technically accurate, since nerves and blood vessels are only partially in the tooth and partially in the bones and gums through the roots.

How Long Can A Dead Tooth Stay In Your Mouth?

Teeth that are referred to as “dead” are called so because there is no more blood flowing to it, hence it cannot sustain life. You’ve got various terms for dead teeth, including “non-vital tooth,” or “necrotic pulp.”

Once a tooth dies, it’s only a matter of time before it falls out of its own accord. It is not a wise decision to allow this to happen, however, as it can harm your other teeth and jaw and can actually be pretty dangerous. Depending on the type and extent of the damage, it may be days, weeks, months, and sometimes even years before the tooth falls out. This doesn’t mean you should wait around for it to happen, and it’s strongly recommended you go to your dentist and get the tooth dealt with as soon as possible after noticing the death of your tooth.

Two sure signs that you should go and get your teeth looked at by a dental professional include discomfort or pain, and if your teeth are changing in color or getting darker.

Pain will often mean that the pulp is infected or the tooth nerve is dying. Many people think that once the nerve is dead you won’t feel anything. 

How Long Does It Take For A Tooth To Die?

Once a tooth is damaged or decaying, it’s only a matter of time before it dies. Depending on how heavy the damage, the tooth could die within a matter of days or even a couple of months. Darkened or discolored teeth are often the first sign that your tooth is on its way out. Teeth that are healthy should be a shade of white.

Depending on how you upkeep your teeth on a daily basis, your teeth will be whiter or more yellowish. Coffee, red wine, smoke and blueberries are just a few of the things that could darken your teeth. When consumed on a daily basis, these could all have adverse effects on your teeth (although blueberries are by far the most harmless of the lot).

Once you experience any of these symptoms, instead of waiting for your tooth to die or fall out, you should definitely visit a dentist and deal with it before it gets too serious or does any heavier damage. 

Did you know that teeth are actually living things? That’s right, this means it’s also possible for teeth to die. Tooth death most often happens due to physical trauma, such as s deep cavity or cracked tooth.

Dead teeth can be reclaimed through the use of root canal therapy, but to fully understand how this works it’s important to first know the anatomy of a tooth.

The end of the tooth that you can see in an open mouth is called the crown, while the base of the teeth that lies buried in gums and bone is called the root. Each tooth has three basic layers. 

The pulp can get harmed if the layers of the teeth get cracked or rot away, and this can lead to infection caused by liquid pressure, gasses, pus, or invading germs. This will result in swelling and a good deal of pain, signaling the death of your tooth.

How Long Can A Dead Tooth Stay In Your Mouth?

Teeth that are referred to as “dead” are called so because there is no more blood flowing to it, hence it cannot sustain life. You’ve got various terms for dead teeth, including “non-vital tooth,” or “necrotic pulp.”

Once a tooth dies, it’s only a matter of time before it falls out of its own accord. It is not a wise decision to allow this to happen, however, as it can harm your other teeth and jaw and can actually be pretty dangerous. Depending on the type and extent of the damage, it may be days, weeks, months, and sometimes even years before the tooth falls out. This doesn’t mean you should wait around for it to happen, and it’s strongly recommended you go to your dentist and get the tooth dealt with as soon as possible after noticing the death of your tooth.

It’s generally not possible to tell if a tooth is dead by simply looking at it, and it’s always better to get a dentist to give you a proper diagnosis instead trying to guess or figure it out yourself. Yet another reason to go for regular dentist check-ups.

Pain will often mean that the pulp is infected or the tooth nerve is dying. Many people think that once the nerve is dead you won’t feel anything. 

How Long Does It Take For A Tooth To Die?

Once a tooth is damaged or decaying, it’s only a matter of time before it dies. Depending on how heavy the damage, the tooth could die within a matter of days or even a couple of months. Darkened or discolored teeth are often the first sign that your tooth is on its way out. Teeth that are healthy should be a shade of white. Depending on how you upkeep your teeth on a daily basis, your teeth will be whiter or more yellowish. Coffee, red wine, smoke and blueberries are just a few of the things that could darken your teeth. When consumed on a daily basis, these could all have adverse effects on your teeth (although blueberries are by far the most harmless of the lot).

If you have a tooth that’s dying, it will appear different than the other teeth, shifting more towards yellow, gray, light brown, and, in some cases, black.

Keeping a healthy lifestyle, eating healthy, and maintaining good oral health by brushing and flossing daily can help you avoid any dead teeth altogether. Couple that with regular dentist visits and you can honestly say you’re doing your best to safeguard your oral health.

(10/05/2020)
by MGA Dental

More Information: https://www.mgadental.com.au/how-long-can-a-dead-tooth-stay-in-your-mouth/#:~:text=Teeth%20that%20are%20referred%20to,out%20of%20its%20own%20accord.


Views: 901
Share
Share

How dental issues can cause bad breath?

Almost everyone experiences bad breath once in a while. But for some people, bad breath is a daily problem, and they struggle to find a solution. Approximately 30% of the population complains of some sort of bad breath. Halitosis (Latin for “bad breath”) often occurs after a garlicky meal or in the morning after waking. Other causes of temporary halitosis include some beverages (including alcoholic drinks or coffee) and tobacco smoking.

Some people may not be aware of their own halitosis and learn about it from a relative, friend, or coworker, causing some degree of discomfort and distress. In severe cases, bad breath may negatively impact personal relationships and a person’s quality of life.

What causes bad breath? And what can you do about it?

Bad breath can originate both inside and outside of the mouth. Bad breath is typically caused by bacteria present on the teeth and debris on the tongue. So it’s no surprise that most cases of halitosis are associated with poor oral hygiene, gum diseases such as gingivitis and periodontitis, and dry mouth, a condition in which the salivary glands cannot make enough saliva to keep your mouth moist. A visit with a dentist may help rule out periodontal disease and identify any mouth problem that could be contributing to bad breath.

Tonsillitis, respiratory infections such as sinusitis or bronchitis, and some gastrointestinal diseases may be responsible for a small number of cases of bad breath. Advanced liver or kidney disease and uncontrolled diabetes can also lead to unpleasant breath. In these cases, a person is likely to experience significant symptoms beyond bad breath, and should seek medical attention.

Sometimes people think they have bad breath, even when their breath is objectively fine. This is called “pseudo-halitosis.” Halitophobia, or fear of bad breath, is real and may persist despite reassurance from a doctor. People with pseudo-halitosis respond well to reassurance, and may benefit from speaking with a therapist or psychiatrist who has expertise in the field.

A person complaining of bad breath can be initially evaluated by a primary care physician (PCP). The doctor will begin with a thorough medical and dental history and an oral exam. Tests may be done to confirm the presence of halitosis by measuring the strength of bad breath on a predefined scale, and by using instruments to detect specific compounds related to halitosis. The intensity of malodor is usually assessed by the doctor smelling the air that the person breathes out through the nose or mouth, or from judging the odor of a tongue scraping, a length of dental floss, or a dental appliance such as a night guard.

Your PCP may refer you to a dentist if there is evidence of dental or gum problems, which is the cause in the majority of people with bad breath. Visits with other medical specialists are warranted when an underlying medical problem requires attention.

Tips to improve bad breath

Here are some helpful tips to improve bad breath:

Brush your teeth at least twice a day, after meals, with a fluoridated toothpaste.

Avoid tobacco smoking and chewing tobacco-based products.

Rinse and gargle with an alcohol-free mouthwash before bed.

If you have dry mouth, make sure to drink enough fluids throughout the day and use over-the-counter moisturizing agents, such as a dry mouth spray, rinses, or dry mouth moisturizing gel. If you don’t see any improvement, you may want to schedule a visit with an oral medicine specialist. Oral medicine doctors provide comprehensive care for mucosal diseases, salivary gland disorders, orofacial pain conditions, and oral complications of cancer therapies, among other things.

Visit your dentist regularly. Remember, oral causes are responsible for most cases of bad breath!

(10/07/2020)
by Harvard School of Dental Medicine

More Information: https://www.mybestdentists.com/dental-schools/HarvardSchoolofDentalMedicine


Views: 3,271
Share