Dentists Journal

Top Ten Stories of the Week
8/12/2023

All Dentists Journal · Previous Week · This Week · All Time List · Headlines

Share

How to Prevent Tooth Decay in 3 Important Steps

Cavities occur when plaque sticks to a tooth and produces an acid that eats through the enamel and creates a hole or cavity, according to the American Dental Association (ADA). The cavity could get larger and eventually affect the tooth root if it's not repaired with a filling. Cavities are typically caused by eating carbohydrates and poor oral hygiene habits, and they require a trip to the dentist. It is easy to learn how to prevent cavities. Take some precautions, and follow a few simple steps.

Watch What You Eat

If you have a sweet tooth, you're more likely to get cavities because frequent snacking throughout the day on sugary and starchy foods leaves cavity-causing acids on the teeth. Snacking also increases the amount of time the acids are on your teeth, which increases your chances of cavities. To minimize your cavity risk, cut back on sugary drinks, such as sodas, energy drinks and juices. Drink plenty of plain water instead. Skip the sweets, snacks and candies. Opt for fresh fruits and veggies as healthier alternatives. Eliminating sugary snacks in your diet will improve your oral health, and it will also improve your overall health.

Keep Those Dental Appointments

As many as 23.7 percent of American adults between the ages of 20 and 64 have untreated cavities, according to data from the Centers for Disease Control and Prevention (CDC). If it's been a while since your last dental appointment, it's time to schedule a visit. Going to the dentist is one of the best ways to prevent cavities. At your visit, your dentist will take X-rays and examine your entire mouth. He will check for cavities and gum disease to determine whether you need additional treatment.

There are some cavity-fighting treatments available at your dentist's office. They include cleanings and dental sealants. Dental cleanings keep your teeth in pristine condition by removing plaque and tartar buildup. The dental hygienist can also polish your teeth so they'll appear whiter.

According to the ADA, dental sealants are a protective plastic coating placed in the deep grooves on the chewing surface of the back permanent teeth. These sealants can prevent cavity-causing bacteria from affecting your teeth, and the sealants typically last for several years.

At your visit, your dentist will also give you advice on how to prevent cavities by taking charge of your oral hygiene at home.

Fight Cavities on the Home Front

Cavity prevention starts at home. If you floss regularly, brush twice daily with a fluoride toothpaste and rinse with mouthwash, you can prevent tooth decay. A prescription fluoride rinse can reduce cavities by 55 percent when it is used as a supplement to your oral care routine.

(08/04/2023)
by Colgate

More Information: https://www.colgate.com/en-ph/oral-health/cavities/how-to-prevent-cavitites-in-three-important-steps


Views: 591
Share
Share

Common Dental Problems to Look Out for As You Age

While dental health is universal and affects all ages, the type of dental care you need will change as you age. Dental care for children differs vastly from treatments that teenagers commonly need, and the same is true as you reach later adulthood. It’s important to consider the changes that can occur as you age in order to stay up to date with your oral health.

Below are some of the risks that seniors in particular can suffer. Whether it relates to the gums, the teeth, or the mouth in general, each of these ailments poses a unique set of problems. Regularly attend check-ups for your teeth so that a dentist can diagnose and rectify these problems for you!

1. Gum Disease

A major concern as we age resides in the health of our gums. While we spend childhood and young adulthood worried about the cleanliness of our teeth, our gums can easily be neglected.

Gum disease is ultimately the result of bacteria, which comes from plaque and tartar on the teeth. These bacteria lead to painful and unhealthy results like inflammation of the gums. Inflammation and pain can make it difficult to chew and swallow, and it can even cause uncomfortable side effects such as bleeding gums.

When gums sustain bacteria build-up, it can lead to gingivitis (common gum disease). This can be reversed with proper dental care. If not treated, gingivitis can then result in periodontitis, which not only affects the gum tissue but the jaw bone as well. There are steps that can be taken at each stage of the gum disease progression to reverse or slow the effects and allow you to regain full oral health.

If you notice a build-up of plaque or tartar, it might be time to return to the dentist for a regular tooth cleaning. If you are prone to build-up, the best way to avoid gum disease is to brush at least twice a day, use mouthwash, floss daily and visit the dentist quarterly rather than every six months.

If you notice red or irritated gums, or have been spitting blood during brushing, it is definitely time to visit a periodontist. Don’t put it off – this is best dealt with at the first signs.

2. Receding Gums

If gum disease continues to affect a patient, its progression can lead to gum recession. Both gum disease and recession are much more likely for those who smoke. There are also other behaviours that can speed up or cause recession, including grinding teeth and poor dental hygiene. As older people will have been smoking for longer and might have sustained other dental or gum issues over their lifetime, they are most at risk of this issue.

Gum recession is where the pink tissue gradually moves back to expose more of the tooth. It occurs gradually over time, so it might be difficult to notice at first. It’s important to visit the dentist as soon as possible if you think this is happening, as it can lead to tooth loss.

If you are regularly attending tooth cleanings, your dentist should be able to recognise the symptoms of receding gums. However, you may notice it yourself if you experience sensitivity, exposed teeth, and discomfort.

The best way to prevent or slow this type of ailment is to quit smoking or employ a mouthguard if you grind your teeth. Improving your diet to include less high-sugar foods and improving your oral health are also great ways to take better care of your gums.

3. Oral Cancer

The best way to protect yourself against oral cancer is to know what to look for, so you can seek treatment as soon as possible.

Age plays a major factor in diagnosis with oral cancer. As with gum disease, smoking and drinking alcohol put you at higher risk.

If you notice sores, colour changes in your mouth, or any irregularities, it is important to get examined by your dentist to check for signs of oral cancer. It is also a good idea to regularly conduct self-examinations of your mouth to ensure that you catch any abnormalities quickly.

4. Tooth Decay

Tooth decay is one of the most universally concerning dental problems. No matter how old you are, cavities are always a risk. Children, adults, and older adults all struggle with the pain that can come with a cavity.

Luckily, there’s lots you can do to prevent cavities. The major risk factors for them, and eventually tooth decay if left untreated, are poor dental hygiene and a sugary diet. The hard thing is that as we age, tooth care can become more and more difficult. Mobility impairments can make daily tasks like this harder to complete effectively, which is why it is essential to visit your dentist regularly who can aid you with cleaning and give advice for brushing at home.

Many people find relief in the use of an electric toothbrush, which are very useful for those finding brushing more difficult. They don’t require vigorous arm movements and are proven to reach a wider area of the mouth than manual toothbrushes. This helps to reduce plaque build-up, so bacteria can’t begin to cause damage to your teeth.

The Bottom Line

Dental health is an incredibly important thing to consider, especially as we age. Regularly checking in with a dental practice that knows the unique issues older adults face is crucial.

(08/04/2023)
by Vellore Woods Dentistry

More Information: https://www.vellorewoodsdentistry.com/4-common-dental-problems-to-look-out-for-as-you-age/


Views: 520
Share
Share

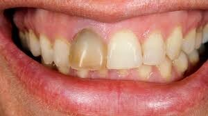
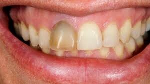
What Should I Know About Hypocalcification?

When teeth start developing white stains or spots, this is a sign of the teeth’s enamel suffering from hypocalcification. This type of discoloration occurs when high acidity within the mouth dissolves the enamel’s calcium and causes it to trickle out. Another reason why the teeth’s enamel could have low calcium levels is a genetic condition called amelogenesis imperfecta. To get the fullest idea of the causes, the complications, and the treatment options available for weakened tooth enamel, check out our guide below for further information.

Genetic Condition

To begin, amelogenesis imperfecta is a genetic condition affecting teeth and causing weakened enamel, due to the fact that it does not develop normally in adult or primary teeth. The enamel becomes soft and can easily wear away, or, at the very least, a thin layer of enamel might form on top of the teeth’s dentin layer. According to the National Organization for Rare Disorders, it is estimated that roughly one in 14,000 or 16,000 children in the United States have amelogenesis imperfecta.

Loss of Calcium

Acids brought on by certain acidic drinks or foods as well as mouth bacteria can break the enamel’s calcium down, a process that is also known as demineralization, which is the first stage on the way to cavities. As many children learn, calcium strengthens the teeth and their enamel. Wherever calcium is lost, the teeth become weaker, with the first symptoms of calcium loss being white stains or spots on the teeth due to the enamel structure changing. Hypocalcified teeth enamel is chalkier and more porous compared to healthy enamel. If left untreated, calcium loss will continue, the enamel will break down completely, and cavities will appear.

Treatments for Hypocalcification

Finding out what’s causing hypocalcification offers the best guide for proper treatment. If calcium loss was caused by high acidity, the enamel could react to remineralization via creams, pastes, or even fluoride treatments, thereby preventing more cavity development and calcium loss. Also, patients can strengthen enamel through brushing their teeth with toothpaste that can help replenish their natural calcium—provided the demineralization has not progressed that far.

For individuals with amelogenesis imperfecta, hypocalcification, unfortunately, has no cure, but dentists may be able to provide patients with artificial replacements for weakened enamel. Specialized dentures or full crown restorations for defective teeth cover and thereby protect dentin, thus preventing tooth decay and relieving sensitivity that patients suffering from this condition usually experience.

The teeth’s enamel provides them with the best possible protection, and lost calcium is an indication of enamel weakening. If your dentist can diagnose the problem early enough, they can stop the problem from turning into something much more serious. If patients notice white stains or spots on their teeth, they should make a dentist appointment and have the professional check out the problem, treat it, and provide advice for preventing a reoccurrence.

(08/05/2023)
by Wellness Dental Plan

More Information: https://www.wellnessdentalplan.com/blog/what-should-i-know-about-hypocalcification


Views: 668
Share
Share

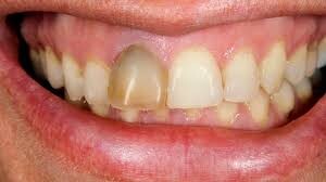
Can Tooth Enamel Be Restored?

Did you know enamel is the hardest substance in your body? The shiny, white surface of your teeth is mostly made of minerals, making it stronger than bone. Still, tooth enamel becomes vulnerable when exposed to a diet full of sugary foods and beverages. If enamel erodes, is there any way to repair it?

What Causes Enamel Erosion?

Enamel erosion occurs when acids wear away the hard outer layer of your teeth. Your saliva works to neutralise any acids in your mouth, but some diets, oral hygiene habits, and medical conditions can make it hard for saliva to keep up. The foods and beverages you consume tend to be the main sources of this acid production. These include:

Sugary foods and beverages (like sweets or fruit juice)

Starchy foods (like bread or potatoes)

Acidic foods (like fizzy drinks or citrus fruits).

A diet high in these foods, combined with poor oral hygiene, can put your enamel at risk. Other causes for tooth erosion include:

Teeth grinding or bruxism

Chronic acid reflux

Low salivary flow or xerostomia

Medications (like aspirin)

Eating disorders (like bulimia).

Since enamel plays an essential role in protecting the inner, living parts of your teeth, erosion can lead to cavities, sensitivity, and other conditions. Eroded teeth often appear discoloured, cracked, chipped, or indented. They also become sensitive to tastes and temperatures.

Can You Restore Tooth Enamel?

Tooth enamel loses minerals, weakens, and breaks down in stages. Your body cannot make new enamel; however, you can strengthen and repair existing enamel. This happens through a process called remineralisation, which occurs naturally when essential minerals like fluoride, calcium, and phosphate reunite with your enamel. You can assist the remineralisation process by:

Brushing with fluoride toothpaste twice a day.

Cleaning between your teeth daily with floss or an interdental device.

Avoiding sugary, starchy, and acidic foods.

Drinking plenty of water and chewing sugar-free gum to stimulate saliva production.

Talk to your dental professional about any conditions or medications that might contribute to enamel erosion.

Cavities can form as a result of enamel losing its minerals, because the dentin is exposed and unprotected. Applying remineralisation treatments at this stage will not restore the enamel. At this point, a dental professional can only repair a cavity by filling it. Other professional options for repairing tooth enamel include:

Bonding: More acute or advanced issues may prompt your dental professional to recommend repairing your enamel with dental bonding, which uses a tooth-coloured resin that can be applied to your tooth to protect a weakened area.

Veneers: Your dentist may also suggest veneers if only the front surfaces of your enamel are damaged. Veneers are thin pieces of tooth-coloured porcelain that are permanently cemented to the surfaces of your teeth that face outward.

Crowns: Because these caps cover the teeth completely, a dental professional may recommend crowns if they are severely misshapen or discoloured due to enamel damage.

Your enamel takes a daily beating from the foods you eat. Implement some preventive measures by adjusting your diet and instilling a proper oral hygiene routine. With the right care and products, you can ensure your smile stays strong and healthy.

(08/05/2023)
by Colgate

More Information: N


Views: 534
Share
Share

What are the signs of unhealthy teeth?

Signs of unhealthy teeth: Our mouth is the gateway to our health. Maintaining healthy teeth and gums is essential for overall health and general wellbeing. Your teeth are not only responsible for biting and chewing food, but they also play a crucial role in your speech and appearance.

The signs of unhealthy teeth

Bad Breath:

Chronic bad breath is a common sign of unhealthy mouth. It may indicate the presence of food particles or bacteria in the mouth that are not getting cleaned properly. Persistent bad breath can also be a sign of gum disease, which requires immediate attention from a dentist.

Tooth Decay:

Cavities or tooth decay are caused by the build-up of bacteria in the mouth that produce acids that eat away at the tooth enamel. If left untreated, cavities can lead to tooth sensitivity, pain, and eventually tooth loss.

Discoloration:

Stained or discoloured teeth are a sign of unhealthy teeth. Discoloration can be caused by various factors such as smoking, excessive consumption of coffee or tea, or poor oral hygiene. In some cases, discoloured teeth can be a sign of an underlying dental problem that requires treatment.

Sensitivity:

Tooth sensitivity is a common problem that can be caused by several factors such as gum recession, tooth decay, or worn-out enamel. If you experience sensitivity while eating or drinking hot or cold food items, it may be a sign of unhealthy teeth that require attention from a dentist.

Gum Disease:

Gum disease is a serious dental problem that can lead to tooth loss if left untreated. It is caused by the build-up of plaque on the teeth, which can cause inflammation and bleeding of the gums. If you notice bleeding or swollen gums, it is important to seek professional dental care immediately.

Maintaining Good Oral Hygiene

In conclusion, maintaining good oral hygiene is essential to keep your teeth and gums healthy. Regular brushing, flossing, and dental check-ups can prevent many dental problems from occurring. If you notice any signs of unhealthy teeth, it is important to seek professional dental care as soon as possible to prevent further damage.

(08/07/2023)
by Brite Dental Group

More Information: https://britedentalgroup.com.au/what-are-the-signs-of-unhealthy-teeth/


Views: 489
Share
Share

Best Treatments For Teeth Sensitivity

Do things like eating ice cream and gusts of cold air make your teeth hurt? If they do, you might have tooth sensitivity, otherwise known as “dentin sensitivity.” It’s defined as pain or discomfort in your teeth in response to certain stimuli. 

Tooth sensitivity can affect one or more of your teeth and be caused by a number of different things, but most of the time, changing your dental hygiene routine can make a significant difference. 

Here are some common causes and pain relief options for sensitive teeth:

Common Causes

Brushing your teeth too hard 

Using a toothbrush with harder, stiffer bristles

Grinding your teeth at night 

Regular consumption of acidic food and drinks.

Pain Triggers for People with Sensitive Teeth

Food and drinks that are either too hot or too cold 

Food and drinks that contain a high amount of sugar 

Highly acidic food and drinks, like soda

Drinking ice-cold water

Brushing or flossing 

Using alcohol-based mouthwash

Pain Relief Options for Sensitive Teeth

1. Desensitizing Toothpaste

Desensitizing toothpaste contains compounds that shield your nerve endings from irritants. They work by blocking the pain signals that travel from the nerve to your brain. Sensitivity usually reduces after a few uses, and dentists recommend using a soft-bristle toothbrush and low-acid rinse to reduce pain.

2. Rinse Your Mouth with Honey and Warm Water

Honey is known to have antibacterial properties, and can help speed up healing, reduce pain, swelling, and inflammation.

3. Use Hydrogen Peroxide as a Mouth Rinse

Hydrogen peroxide is an antiseptic and disinfectant. You may have used it before to sterilize cuts and burns to prevent infections. It can also be used to heal your gums and prevent inflammation. Here’s how to use it as a mouth rinse: 

Add two caps of 3 percent hydrogen peroxide to equal parts warm water

Swish the solution in your mouth for up to 30 seconds

Spit out the solution (don’t swallow it)

Rinse your mouth with water afterwards to remove any remaining hydrogen peroxide

4. Be More Gentle When Brushing

If you brush too hard, you might be removing more than just plaque from your teeth. Brushing from side-to-side right at your gum line can also strip your enamel away faster. Instead, focus on brushing at a 45-degree angle and be sure to use a softer-bristled brush. And remember, using more pressure and brushing faster doesn’t clean your teeth any better than brushing more gently.

5. Avoid Acidic Food & Drinks

One of the causes of tooth sensitivity  listed above is consuming food and drinks with a high acid content. Swap things like soda, sticky candy, and carbs with higher sugar content for fruits and veggies with high fiber, cheese, milk, and plain yogurt.

6. Unclench Your Teeth

When you’re stressed, it’s common to clench your jaw and not even realize it. Over time, this and teeth-grinding can wear away your enamel. Try to address your stress and find ways to reduce it – your physical health depends on it. 

If that doesn’t work, your dentist can fit you for a splint or a mouthguard to protect your teeth from unconscious clenching and grinding. 

(08/09/2023)
by Ellicott Mills Dental

More Information: N


Views: 699
Share
Share

Tongue Bacteria: Know What's Healthy (And What's Not)

Have you ever noticed a white film on your tongue? However unpleasant it is to think about, everyone has tongue bacteria. There are several kinds, some more harmful than others in certain situations, but most of them can result in poor oral hygiene. From bad breath to more serious health problems, cleaning your tongue is essential to good oral care. Here's what to look for when it comes to good and bad germs.

Signs of a Healthy Tongue

A good indication of a healthy tongue (and body) is a uniform pink coloring with no deeper red, yellow or white discoloration. But, if you find a white film coating on the topside, it shouldn't be a cause for alarm; it's usually temporary. This film is a mix of bacteria, dead cells, and food debris. Rest assured, proper toothbrushing and flossing can help clear up the problem.

Some Bacteria Is Normal

You have about 20 billion bacteria in your mouth at any given time. For the most part, your tongue and mouth are comprised of "gram-positive" and "gram-negative" bacteria. Gram-positive bacteria are found in plaque, whereas gram-negative bacteria, the more "odorous" of the two, are found in "pit crevices of the tongue."

Certain Bad Bacteria Can Create Bad Breath

Some bacteria have a more negative effect on your oral health than others: Four types of bacteria contribute to halitosis or bad breath. These are known as gram-negative "anaerobic bacteria," which form compounds that turn into sulfur byproducts—one of the leading causes of bad breath. These bacteria can live anywhere in your mouth, both on your tongue and in plaque. Brushing twice a day, especially on your tongue, can significantly help to reduce this odorous effect.

When You Should Act

In addition to examining the health of your teeth during a dental checkup, your dentist will typically look for spots of discoloration that could be problematic – and an early warning sign that your tongue bacteria indicates a larger health concern. Leukoplakia, for instance, can develop into oral cancer and appear as a white patch on your tongue. Visit your dental professional if any discoloration, which can also include hair growth, continues for a few days.

Cleaning Your Tongue to Remove the Bad

In addition to brushing twice daily, follow these guidelines to ensure you're cleaning your tongue correctly:

Gently brush the surface of your tongue, starting from the back and working your way to the front.

Tongue cleaners can help curb bad breath.

Talk to a dental professional about the best oral rinses for your condition.

Brush and floss for two minutes twice a day to ensure plaque doesn't harden into tartar. Consistently brushing your teeth cuts down on plaque and bacteria buildup, keeping your whole mouth healthy.

When it comes to proper oral care and cleaning, don't let your focus on teeth come at the cost of the rest of your mouth. For best care, pay attention to every area of your mouth, including your teeth, gums, and tongue.

(08/06/2023)
by Colgate
Views: 473
Share
Share

The Five Stages of Gum Disease: Signs, Symptoms, and Treatment

It is estimated that 1 in 7 adults ages 35 to 44 have experienced some stages of gum disease, ranging from bleeding gums to advanced periodontitis. Many people may not even realize they have it!

Here are the five stages of gum disease with signs and symptoms to watch for:

Bleeding

The earliest sign of gum disease is bleeding when brushing or flossing. This often manifests in a pink tinge on your toothbrush or bleeding after you floss. You may also notice a bit of blood when eating foods like apples. See your dentist as this could be an early sign of gum disease.

Gingivitis

Gingivitis is the second stage of gum disease, and it typically results in swollen and painful gums. You may also notice that you have bad breath quite consistently- regardless of what you have eaten or drank.

The gums may bleed and could secrete or seep due to plaque along the gumline. Your dentist will de-scale plaque, which may help stall and reverse the progression of gum disease with continued vigilant dental care.

Early Periodontitis

Stage three of gum disease is also known as periodontitis, the early phase. People with periodontitis or periodontal disease experience sore, swollen gums. The plaque hardens to tartar, which leads swiftly to decay.

If left untreated at this stage, gum disease can begin to damage your underlying jaw.

Moderate Periodontitis

Moderate periodontal disease is the fourth stage of gum disease, and your gums are likely receded and sore. Teeth are more easily damaged, beginning to decay and deteriorate quickly at this point. Teeth may become loose and wiggly, and the jaw is beginning to become affected and infected, too.

If you have stage four gum disease, you may sometimes experience a foul-tasting discharge from your swollen gums. This is a serious situation that merits a visit to your dentist right away.

Advanced Periodontitis

Advanced periodontitis is the fifth and final stage of gum disease, and it is likely that you will lose teeth or at least loosen teeth during this phase without immediate dental intervention. The infection impacts the jawbone, so teeth may be lost regardless. Expect chronic pain when suffering from advanced or severe periodontitis.  

Treatment

If you identify the condition early, antibiotics and thorough cleaning are typically enough to thwart gum disease. However, when left untreated for a prolonged period of time, gum disease is harder to reverse and repair. In extreme cases, surgery may be necessary to get rid of infection and disease.

Regular dental visits are the most effective way to diagnose gum disease early and treat the condition effectively. At the first signs of gum disease, call or visit your dentist.

(08/07/2023)
by Old Mt. Pleasant Dentistry

More Information: https://oldmtpleasantdentistry.com/the-5-stages-of-gum-disease-signs-symptoms-and-treatment/


Views: 536
Share
Share

Five Signs That Show Your Teeth Are Rotting

Rotting teeth severely compromise your oral health. It can result in dental abscesses, tooth loss, cavities, and worse. Unfortunately, the majority of people don't recognize the sign of teeth decaying and end up with bad teeth and in serious need of a dentist.

If we can catch tooth damage early, you can get treatment implemented and avoid straining your bank account or insurance coverage. Here are the top five signs that show your teeth are rotting.

1. Teeth Have a Dark Color

If you have darkened teeth, they are likely rotting. There can also be black spots on or over your teeth. Too many watch the tooth gradually darken without any worry. But if you find even a slight discoloring of your teeth, you have to get a dental consultation. If neglected, blackened teeth will spread decay throughout a single tooth and may even spread it to other teeth. The dentist will analyze and do what it takes to restore the health of your teeth. And it should be done early as possible. Your dental expert will want to save the tooth before the bacteria forces nothing less than removal of the tooth.

2. Bad Breath

Bad breath, or halitosis, is generally caused by excessive bacteria in the mouth. Halitosis is a major indicator of decaying teeth. Bacteria isn't just a threat to your oral health but can lead to risks in other parts of your body. The discoloring is a sign of full pulp, dentin, or root damage in the teeth.

If you develop bad breath or see signs of odd odors coming out of your mouth, talk with your dentist. They will give you an examination and apply whatever's needed to help correct the issue.

3. Sensitivity to Hot/Cold Food/Beverages

Finding your teeth have developed a sensitivity to low or high temperatures does not mean you have rotting teeth. But it is a sign there could be rot in your mouth. Teeth are naturally coated in an enamel that protects them from things like the temperatures of food and beverages. Enamel gradually deteriorates when you have rotten teeth. Besides sensitivity, you may also experience significant pain.

4. Falling Teeth

To remain strong, healthy, and rooted, your teeth need ample support. If they don't get it, teeth weaken and can eventually fall out. This condition is a sure sign of rot and bad teeth.

Rot spreads from enamel to dentin and works its way through the pulp, eating away at your teeth until the root comes loose. The impact the process has on your dental foundation and appearance is unsettling. Only your dentist can help you minimize this condition.

5. Tooth Size Changes

If you're spying on any alterations in the size of your teeth, there is likely a problem. You should be in the habit of assessing your smile in the mirror, often enough to notice changes. The ritual should become part of your oral hygiene routine. Alterations are a result of bacteria damage. The outer layers are slowly decayed before the enamel is. The harm moves inward and throughout the mouth.

Keep your eye out for these signs and you'll be in a better position to manage bad teeth with the help of your dentist

(08/08/2023)
by Howe Dental Confidental Group

More Information: https://howedental.ca/5-signs-that-show-your-teeth-are-rotting/


Views: 487
Share
Share

How Tooth Nerve Pain Occurs

You know the sensation all too well: you snap your eyes shut while your hand rockets to the side of your face. Having eaten or drank something that wreaked havoc on one of your teeth, you learn that the pain doesn’t last long, but it can happen constantly as you go about your day.

Although tooth nerve pain isn't fun, it's something almost everyone has experienced. Whether it's from a cavity or a cracked tooth, aggravating the tooth's nerve is a common path to the pain you feel. Here are some foods and drinks to avoid when suffering from tooth pain, and some insight into how the nerve becomes exposed in the first place.

Tooth Talk

Each tooth is composed of four parts: enamel, dentine, cementum and pulp. The Indian Dental Association suggests that Enamel is the hardest tissue in the human body, covering the crown of the tooth.  It is highly mineralised tissue as 96% of it’s content is mineral organic content and water comprising the rest, whereas Cementum covers the root and holds the tooth in place within the jawbone.

Dentin comes next, although it's not as dense as your enamel or cementum. Contained within the dentine are microscopic tubules, all of which connect to the tooth's pulp. The pulp houses a tooth's nerves, so when the dentine has worn away, certain foods and drinks can reach the nerves via the tubules, resulting in tooth sensitivity.

Foods to Avoid

Identifying which foods are the culprits of your pain allows you to focus on what you should consume to mitigate the irritation. The most common types of foods associated with nerve pain are hot and cold, sugary and sweet, and acidic and sour. Remember that drinks fall into these categories, too. Ice water, coffee, and tea hot or iced can all make you wince in pain, as noted by the ADA. Anything with high sugar content, such as desserts, fizzy and sports drinks, can contribute to enamel erosion as well.

How the Nerve Becomes Exposed

In excess, these foods are the first step to exposing a tooth's nerve. But even foods that are healthy for you can contribute to the problem.

Fruits such as lemons and grapefruit consist of a pH level that weakens the protective enamel around your teeth, just like coffee or candy do. No one suggests you shouldn't eat any of the above items, but as the saying goes, everything in moderation. Take care in knowing certain foods can exacerbate an issue that may be repairable simply with more consistent use of a suitable toothpaste recommended by your dentist.

As with similar mouth conditions, avoiding tooth nerve pain is possible through good oral care. The foundation for a healthy mouth starts with brushing at least twice a day. Don't forget to floss daily, either. Keep in mind that regular dental check-ups are another crucial component. Your dentist serves as a good resource to recognise any budding tooth issues and to reinforce that your oral care efforts are working.

(08/09/2023)
by Colgate

More Information: https://www.colgate.com/en-in/oral-health/tooth-sensitivity/how-tooth-nerve-pain-occurs-0416


Views: 561
Share