Dentists Journal

Top Ten Stories of the Week
1/20/2024

All Dentists Journal · Previous Week · This Week · All Time List · Headlines

Share

Parts of Your Body That Can Be Affected by Your Oral Health

When you think of the benefits of dental health, you probably focus on the benefits evident in your mouth, from cleaner, whiter teeth to fewer cavities and stronger gum tissue. In reality, however, the state of your dental health can have profound effects on many other physical systems.

Once you see the links between dental or oral diseases and specific organ systems, you'll understand the importance of keeping up your dental appointments, practicing proper home dental hygiene, and getting any dental problems treated promptly.

Take a look at four parts of your body that stand to benefit.

1. Your Lungs

You might never think to connect your dental health to your respiratory health. Bear in mind, however, that a diseased or improperly cleaned mouth most likely harbors unhealthy bacteria. When you inhale, you draw in air past this bacteria, potentially sending tiny droplets of bacteria-packed saliva into your lungs.

While most people's immune systems may have the strength to protect the lungs against invading bacteria, people who struggle with immune disorders (or who take medications that suppress immune function) may get lung infections. People with existing respiratory issues, such as asthma, may find their symptoms getting worse.

2. Your Heart

The same oral bacteria that can invade your lungs may also invade your heart, with the main difference lying in the means of travel. Your teeth, gums, and jaw all share a network of blood vessels connected to your larger circulatory system. Oral bacteria can hitch a ride through the bloodstream until they end up in the heart.

Once the bacteria has entered the heart, it can trigger inflammation of the heart's external lining, a condition known as endocarditis, while also damaging the heart valves. Thankfully, this scenario rarely occurs. Even so, if you have a known heart condition, you may have an elevated risk that makes preventive care especially valuable.

3. Your Blood Vessels

As oral bacteria makes its way from the gums or teeth to the heart, it can also have some unwelcome effects on your blood vessels. Research suggests that the resulting inflammation can encourage cholesterol depots to build up along blood vessel walls, a condition known as atherosclerosis or hardening of the arteries.Atherosclerosis can cause blockages in blood flow, potentially raising stroke risk.

A study of 265 stroke patients found that patients with gum disease experienced certain types of stroke two to three times more common than those who didn't have gum disease.Even among individuals who haven't suffered a stroke, researchers have seen links between gingivitis (the inflammatory gum problem that can progress to periodontal disease) and arterial plaque buildup. You can therefore minimize your risk for hardening of the arteries simply by avoiding or treating any gum inflammation right away.

4. Your Brain

Untreated dental problems can have an effect on brain health. Medical researchers have noted apparent links between periodontal disease(infection and inflammation of the gum pockets around the teeth) with cognitive problems such as impaired mathematical skills and memory.

Fortunately, your dentist can treat periodontal disease.Very rarely, an abscess in the upper jaw may eventually reach the brain, producing symptoms such as headaches, chills, fever, vision problems, nausea, vomiting, and seizure.

Although most people will never experience this issue, you should always get a dental infection or abscess treated early to eliminate any such risks.

(01/12/2024)
by Family Dental Care

More Information: N


Views: 441
Share
Share

Four Common Signs Of A Tooth Or Gum Infection

Although routine dental cleanings and exams can go a long way toward preventing cavities and infections, problems 一 including tooth and gum infections 一 can still pop up between dental exams.

Because oral infections can cause significant discomfort and potentially lead to more severe problems if left untreated, Dr. Ana Chester and our team here at Chester Family Dentistry want you to know how to recognize the signs of an infection so you can seek timely dental care. 

Let’s take a look at these two types of infections and the four common signs of an infection that shouldn’t be ignored.

Tooth infections versus gum infections

Tooth infections and gum infections are both oral health issues that can cause significant discomfort and potential complications. However, they differ in terms of the affected structures and symptoms. 

Tooth infections typically originate from deep within your tooth, often resulting from untreated cavities. They’re characterized by persistent toothaches, sensitivity to hot and cold temperatures, and localized swelling. 

On the other hand, gum infections primarily affect the soft tissues surrounding your teeth. They are commonly caused by gum disease, poor oral hygiene, or injuries to the gums. Symptoms of gum infections include swollen, tender gums, bleeding while brushing or flossing, and persistent bad breath. 

While both types of infections require professional dental care, recognizing the specific symptoms can help in identifying the source of the problem and receiving appropriate treatment.

4 common signs of infections

While tooth infections and gum infections have different sources, they do share many of the same symptoms. These include:

1. Persistent pain

One of the primary indicators of a tooth or gum infection is persistent pain. If you experience a constant, throbbing pain in a specific tooth or a generalized ache in your mouth, it could be a sign of an infection. The pain may worsen when you bite down on food or apply pressure to the affected area. 

2. Swelling

Inflammation of the gums is another common sign of an oral infection. If your gums appear red, swollen, or feel tender to the touch, it may indicate an underlying issue. Healthy gums should have a pale pink color and feel firm. However, when an infection occurs, the gums can become puffy and sensitive. In some cases, you may notice a small bump or pimple-like swelling on the gum near the infected tooth.

If your infection is severe, you may also experience facial swelling. 

3. Bad breath or unpleasant taste

Persistent bad breath or an unpleasant taste in your mouth, even after practicing good oral hygiene, can be a sign of a dental infection. Bacteria thrive in the oral cavity, and when an infection is present, these bacteria can produce foul-smelling compounds that cause bad breath. 

Additionally, the accumulation of pus or discharge from the infected area can create an unpleasant taste in the mouth.

4. Fever and fatigue

If a tooth or gum infection becomes severe, it can lead to systemic symptoms such as fever and fatigue. The infection may spread beyond the localized area, causing an immune response and resulting in an elevated body temperature. Feeling tired or lacking energy, along with other flu-like symptoms, may indicate that the infection has become more severe and requires immediate dental attention.

What to do if you spot the signs of an infection

Recognizing the signs of a tooth or gum infection is vital for early intervention and effective treatment. If you experience a persistent toothache, swollen or tender gums, bad breath, or an unpleasant taste in your mouth, schedule an appointment at our Warren, Ohio, location.

Dr. Chester reviews your symptoms, examines your mouth, determines the source of your infection, and recommends the appropriate treatment. Your potential treatments may include:

Antibiotics to clear the infection

Root canal to address an infection deep in your tooth

Scaling and root planing to address gum infections

Medicated mouthwashes

Lifestyle modifications, such as improved hygiene practices, rinsing with salt water, and applying cold compresses to combat swelling

Remember, untreated infections can lead to more severe complications, such as abscesses or the spread of infection to other parts of the body. 

(01/12/2024)
by Chester Family Dentistry

More Information: https://www.chesterfamilydentists.com/blog/4-common-signs-of-a-tooth-or-gum-infection


Views: 417
Share
Share

How to Use Mouthwash After Brushing?

Maintaining good oral hygiene is not only essential for a sparkling smile but also crucial for overall health. The cornerstone of oral care is unquestionably brushing one’s teeth, but adding mouthwash to the routine can have extra advantages. This article will discuss how to properly use mouthwash after brushing, highlighting its relevance and outlining any potential benefits.

What Is a Mouthwash?

Mouthwash, also known as oral rinse, is an antiseptic solution designed to help kill harmful bacteria in the mouth. The usual constituents include water, alcohol, and a number of active substances that attack oral bacteria. Mouthwashes come in different types, such as antibacterial, fluoride, and therapeutic, each serving a specific purpose.

What Is the General Content of Mouthwash?

Mouthwash typically contains:

Water.

Alcohol (ethanol)-for its antibacterial properties (though alcohol-free options exist).

Antiseptic agents (e.g., Cetylpyridinium chloride, Chlorhexidine) to combat harmful oral bacteria.

Fluoride- for enamel strengthening.

Astringents like witch hazel or zinc chloride- provide a mild tightening sensation.

Flavoring agents, such as mint or fruit flavors- to enhance taste and user experience. 

Sweeteners like sorbitol or xylitol- for flavor without harming teeth. 

Colorants - for aesthetic purposes. 

The Benefits of Using Mouthwash After Brushing

Enhanced Plaque Control:

It could be difficult to thoroughly clean every part of your mouth with just brushing. Mouthwash can facilitate thorough cleaning by assisting in the removal of plaque and debris from difficult-to-reach areas.

Fresher Breath:

Mouthwash can temporarily cover bad breath, leaving your mouth feeling clean. To obtain long-lasting freshness, it is necessary to address the underlying cause of foul breath, such as germs or dental problems.

Reduced Risk of Gum Disease:

Certain mouthwashes contain antibacterial agents that can help prevent gum diseases like gingivitis by reducing the bacteria that cause these conditions.

The Proper Technique of Using a Mouthwash

Choose the Right Mouthwash:

Start by selecting an appropriate mouthwash for one’s specific needs. If uncertain, consult the dentist for recommendations. There are mouthwashes designed for different purposes, such as fluoride mouthwashes for cavity prevention or antibacterial mouthwashes for gum health.

First, Brush Your Teeth:

Always start by giving teeth a good, thorough brushing with toothpaste. One may effectively prep mouth for mouthwash by brushing away food particles and other waste.

Measure the Recommended Amount:

For information on the suggested dosage, consult the package of the mouthwash that is chosen. Typically, it is between 20 and 30 ml, or around 1 ounce.

Swish, Don't Swallow:

Fill your mouth with the prescribed amount of mouthwash after pouring it into a cup. Swish it around in the mouth for 30 to 120 seconds, paying special attention to the tongue and gums.

Important: Avoid swallowing the mouthwash because it can include substances that shouldn't be consumed.

Spit It Out:

Spit the mouthwash into the sink after swishing. Do not quickly rinse the mouth with water after using mouthwash because this can weaken its benefits.

Follow the Timing:

After using some mouthwashes, one may need to wait a certain amount of time before eating or drinking. For the greatest outcomes, make sure to adhere to these guidelines.

Conclusion

After brushing your teeth, using mouthwash can improve plaque control, give better breath, and lower the chance of developing gum disease, among other advantages. By following the proper technique outlined in this article, one can make the most out of mouthwash and promote better oral health. Remember to consult the dentist regularly to ensure that you use the right mouthwash for one’s specific needs and to address any concerns one may have about the oral hygiene routine. With consistent care and the right products, one can maintain a healthy and radiant smile for years to come.

(01/13/2024)
by Linked in

More Information: https://www.linkedin.com/pulse/how-use-mouthwash-after-brushing-dr-salwa-mohamed


Views: 526
Share
Share

Five Nighttime Habits That Harm Your Oral Health

Taking care of your oral health is a full-time job. But no matter how well you care for your teeth during the day, bad night-time habits could ruin all your hard work. Once you drift off to sleep, you have no control over what happens inside your mouth.To ensure your teeth and gums don't suffer overnight, put a stop to the following night-time habits.

1. Not de-stressing after a long day

After a long day at work, it's nice to get home and unwind before retreating for a fitful rest at bedtime. But if you often return home stressed and have little opportunity to de-stress, you could suffer from night-time bruxism.According to research, anxiety and stress can cause a person to grind their teeth at night. Grinding your teeth at night is not the same as grinding your teeth during the day. During the day, you can control the pressure you exert when you grit or grind. But at night, you have no control over the pressure your jaw exerts, and thus you could do some serious damage to your teeth and gums.When you get home after a stressful day, take the time to unwind before you go to bed at night. Meditation, long hot baths and gentle exercise can help.

2. Skipping your nightly brushing session

During the day, millions of bacteria cling to and breed on your teeth. These bacterial colonies create sticky films on your teeth that make it easy for them to live on the smooth enamel surface. Brushing at night removes these colonies from your teeth. But more importantly, brushing removes the food particles that feed oral bacteria.If you don't brush at night, the food particles clinging to the tissues in your mouth will remain to feed and sustain the bacterial organisms living on your teeth. But these organisms produce acid that gradually eats away at tooth enamel. And without saliva or water to wash them away, as long as you sleep, these bacterial organisms will remain on your teeth.

3. Sleeping with your mouth open

mouth will dry out. The most harmful bacteria, like streptococcus mutans, thrive in this dry environment, especially if food is available.Saliva kills bacteria, which is why if you sleep with a dry mouth, your teeth will be at the mercy of oral bacteria.

4. Snacking before bedtime

If you don't eat enough food during the day, the chances are good that you might snack at night. Night-time snacking is damaging to your teeth, especially if you also fail to brush your teeth because you are sleepy. The bacteria in your mouth will enjoy bedtime snacks just as much as you do. The problem is that you then wake up with a mouthful of bacteria and the acid they produce.

5. Going to bed dehydrated

If you often go to bed dehydrated, you probably don't sleep very well, at least according to Sleepfoundation.org. Saliva regulates the bacteria in your mouth, keeping them to a minimum by killing them and washing them into your stomach. But if you go to bed dehydrated, you won't enough saliva to keep bacteria at bay while you sleep.

(01/13/2024)
by Runcorn Dental

More Information: https://www.runcorndental.com.au/5-nighttime-habits-that-harm-your-oral-health


Views: 504
Share
Share

The Different Types of Braces and How to Choose

Few people are lucky enough to be born with perfect teeth, but orthodontic treatment can make a huge difference to you or your child. Your orthodontist may recommend any of the following types of braces or dental appliances to help correct your particular problem.

Traditional Braces

Traditional braces have progressed since the early days and are now lighter in weight and structure than they used to be. They are made from a high-grade stainless steel and have metal brackets that are attached to each tooth using a type of cement. The brackets are linked to each other with a thin archwire, which puts pressure on the teeth to cause them to move slowly into the correct position.

The archwires are connected to the brackets using tiny elastics known as ligatures or o-rings, which your orthodontist will change each time he tightens the braces. Some types of braces have brackets that don't need o-rings, and these are called self-ligating braces.

Ceramic Braces

These work in the same way as traditional braces, but the brackets are made from a clear, transparent ceramic material. The braces are less visible to others, which makes them a popular choice for adults who need orthodontic treatment. Patients wearing these types of braces occasionally find that the elastics become discolored, which can cause marks on the teeth, as described by the orthodontics practice of Drs. William and Lewis Chapman . Your orthodontist might recommend a fluoride rinse which will help to provide fluoride to your teeth to protect them against cavities.

Damon Braces

This type of braces is currently enjoying a wave of popularity with orthodontists because it provides gentler treatment and requires fewer dental visits. Damon braces are self-ligating and use a slide mechanism instead of elastics to connect the archwires.

These braces produce faster results because the teeth can move on their own without needing to be adjusted. This causes less friction and pressure on the teeth, so movement is less painful. The braces are also easier to keep clean. Having to make fewer trips to your dental professional means that the process costs less time and money, too.

Clear and Removable Aligners

Invisalign is a type of clear aligner that you can use instead of metal or Damon braces. This involves a range of clear plastic aligners that resemble mouth guards, which are custom-made for you. They are removable for eating and cleaning, and you change them out for a newly made aligner every two weeks. Each new aligner takes the adjustment of your teeth one step further.

Clear aligners are also recommended for ongoing use after you complete your orthodontic treatment. These appliances help to maintain the results you want until your teeth have settled down and finished moving.

Forsus Appliances

The American Association of Orthodontists recommends that children get screened by an orthodontist at the age of 7 because early childhood is the best time for treatment. Some children require the use of Forsus appliances to correct difficult overbites, and these have largely replaced the use of headgear for braces. The Forsus appliance is a spring worn inside the cheeks that attaches to the braces in order to adjust the upper or lower jaw into position.

Palatal Expanders

For patients who have overcrowded teeth, two options to remedy the problem are tooth extraction and palatal expansion. Tooth extraction was the preferred solution in the past, but modern orthodontists often recommend the wearing of a palatal expander for a period. This is a device that fits your palate and applies pressure to the back of your upper molars to gradually move your teeth farther apart. This expands your palate and makes it possible for other types of braces to be fitted to correct the position of your teeth. 

(01/14/2024)
by Colgate

More Information: https://www.colgate.com/en-ph/oral-health/adult-orthodontics/what-are-the-different-types-of-braces-and-which-is-right-for-me-0414


Views: 520
Share
Share

Oral Inflammation

 

Here are a couple of key facts to consider:

Inflammation is a leading cause of death and the number one source of inflammation in humans is oral inflammation.

Oral inflammation play a critical role in inflammation overall and associated inflammatory diseases.

Dental professionals and their prescribed treatment plans can greatly reduce the occurrences of oral inflammation.

Some recent groundbreaking studies have addressed the critical importance of good oral hygiene and the role it plays in your overall health. 

And even more stuff here. Lots more stuff here. Lots of text here.

The American Academy of Oral Systemic Health

Inflammation is the body’s response to bacteria, virus and injury and persistent inflammation, like that associated with periodontal disease, could create significant health risks if not properly treated in a timely manner.

The mouth is the gateway for much of the pathogenic bacteria that can negatively affect our health. It’s also a location for potential infections that can cause serious health issues and as a result it’s absolutely critical that proper oral health is maintained.

Because this gateway never stops, there is always a risk that this negative bacteria can spread throughout the body, causing all types of inflammatory diseases.

Consider the following:

The American Hearth Association Journal cites studies showing a direct link between oral pathogens (those associated with periodontal disease) and acute heart attacks. The studies have shown that as many as half of all heart attacks are triggered by oral pathogens. In other words, quality dental care and good oral health should be a part of any discussion about heart attack prevention.

In a study of more than 500,000 participants, periodontal disease was shown to be a major risk factor for strokes. More importantly, the same study shows that when periodontal treatment is performed the risk for stroke is reduced significantly.

When it comes to those suffering from diabetes, periodontal treatment has been shown to be as affective in lowering A1C levels as most medications, but doesn’t include many of the harmful side effects. Plus, a reduction in oral inflammation in diabetics can lead to a decrease in health-care costs by as much as 25% per year.

Several recent studies have shown that periodontal disease and/or early tooth loss could be an indication of increased risk for dementia.

Recent research has found that many common oral pathogens may not simply contribute to the development of Alzheimer’s Disease, but they many actually be the cause of it.

Here’s What the Medical Field Has to Say About Oral Inflammation

Oral swelling has a substantial effect on overall inflammatory disease and not only is the elimination of such inflammation helpful, but it is getting to a point where the medical community is demanding it.

At a recent symposium on the heart, Dr. Marc Penn, MD, PhD, the former director of the Cardiac Intensive Care Unit at Cleveland Clinic, stated very clearly, “Don’t ever forget to look at periodontal disease as an important source of inflammation in reference to cardiovascular disease.”

One of the most influential cardiovascular surgeons, Dr Lloyd Rudy, said it best when he compared the body’s inflammatory response to infection to that of a house fire. “Inflammation is fire. When vascular walls around the heart catch fire, we have heart attacks and strokes. Think of the body as a house and the mouth as the kitchen – when we have gum disease, we have a ‘fire’ in our ‘kitchen’ that may “burn down the house.”

Some of the latest research on oral inflammation is shedding new light on this indisputable truth.

Oral health and wellness is an essential component of preventive cardiology, a significant accessory to diabetic treatment, and a major part of the deterrence of any kind of inflammatory illness. This is why managing oral inflammation is so crucial. This is why taking a look at periodontal disease through the new lens of oral-systemic wellness is so critical for our client’s health.

The majority of the time you can’t see inflammation and chances are, it probably doesn’t hurt. Fortunately, our dental professionals now perform a simple test for oral inflammation and we include it as part of every dental exam.

We now know what the problem is and the research proves it.  The mouth is not simply just another part of the body, it’s the MOST important part.

(01/15/2024)
by Citrus Heights Dental

More Information: https://dentistincitrusheights.com/oral-inflammation/


Views: 422
Share
Share

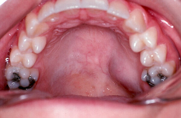
Bump on the Roof of the Mouth: 8 Causes And What to Do

A bump on the roof of the mouth can be related to many conditions, like torus platinus, cancer sores or a mucocele. They are often not of concern and do not require any specific treatment. They can emerge for other reasons, however like pemphigus vulgaris or cancer, which are considered to be more serious and require urgent medical attention  

Bumps on the roof of the mouth can occur with symptoms like pain, discomfort, wounds or blisters, and in some cases, bleeding. Wounds may also appear on other parts of the mouth, like the cheeks, hums, lips, tongue or throat. 

Most times, it is not a clinical concern and often disappears on its own. However if the bump bleeds or persists over time, you should see your family doctor or dentist for further assessment. He or she will confirm a diagnosis and initiate treatment as appropriate with medications, laser therapy or surgery.  

The main causes for a bump on the roof of the mouth are: 

1. Oral cancer 

Oral cancer is one of the most common causes of a bump on the upper palate of the mouth. In addition to presenting with bumps, oral cancer can also cause wounds, red rashes in the oral cavity that do not heal, sore throat, difficulty chewing, bad breath and sudden weight loss.

Oral cancer is more frequent in men over 45 that excessively smoke or drink alcohol. It can also occur in men who wear ill-fitting dentures or do not maintain adequate hygiene. This type of cancer is usually not painful in its initial stages, but if left untreated, it can quickly become fatal.  

What to do: If you notice any signs and symptoms of oral cancer, you should see your family doctor or dentist immediately to confirm a diagnosis. Treatment for oral cancer usually involves removal of any tumors followed by chemotherapy or radiation therapy. 

2. Torus platinus 

Torus platinus is an overgrowth of the bone in the roof of the mouth. It causes a hard lump, that can be smooth or rough to the touch. This bone can grow slowly throughout the lifetime, and can interfere with biting or chewing.

Torus platinus is not painful nor serious, however overgrowth can cause discomfort.

What to do: If a bump is noted at the roof of the mouth, you should see a family doctor or dentist to confirm a diagnosis and to assess whether surgical removal is required. 

3. Canker sores 

Canker sores are blisters or wounds that can appear on the mouth, lips, gums, cheeks, tongue or throat. They are light in color, oval-shaped and less than 1 cm in diameter. They can cause symptoms like discomfort and difficulty eating or speaking. 

Canker sores can occur for many reasons, like stress, auto-immune disease, changes in mouth pH or vitamin deficiency. Read more about the causes of canker sores and what you can do to treat them.

What to do: Generally, canker sores disappear on their own within 5 to 10 days. However, if your canker sore is painful or persists for longer, you should see a dentist or family doctor to identify the underlying cause and initiate the most appropriate treatment. The doctor may opt to prescribe topical ointments, like anti-inflammatories, anesthetics or antiseptics. 

To relieve pain and inflammation at home, you can gargle warm water with salt 3 times per day, or suck on an ice cube. You should also avoid eating acidic food when healing a canker sore, like kiwi, tomato and avocado, as acid can aggravate the wound and cause more pain. Check out other tips for getting rid of canker sores naturally.

4. Mucocele

A mucocele is a benign mucus cyst that usually occurs due to a blocked salivary gland or due to direct trauma to the area. These lumps can form on the roof of the mouth, the lips, tongue, or cheeks. They are usually round, rough, red and fluid-filled.What to do: If a bump is noted at the roof of the mouth, you should see a family doctor or dentist to confirm a diagnosis and to assess whether surgical removal is required. 

3. Canker sores 

Canker sores are blisters or wounds that can appear on the mouth, lips, gums, cheeks, tongue or throat. They are light in color, oval-shaped and less than 1 cm in diameter. They can cause symptoms like discomfort and difficulty eating or speaking. 

Canker sores can occur for many reasons, like stress, auto-immune disease, changes in mouth pH or vitamin deficiency. Read more about the causes of canker sores and what you can do to treat them.

What to do: Generally, canker sores disappear on their own within 5 to 10 days. However, if your canker sore is painful or persists for longer, you should see a dentist or family doctor to identify the underlying cause and initiate the most appropriate treatment. The doctor may opt to prescribe topical ointments, like anti-inflammatories, anesthetics or antiseptics. 

To relieve pain and inflammation at home, you can gargle warm water with salt 3 times per day, or suck on an ice cube. You should also avoid eating acidic food when healing a canker sore, like kiwi, tomato and avocado, as acid can aggravate the wound and cause more pain. Check out other tips for getting rid of canker sores naturally.

4. Mucocele

A mucocele is a benign mucus cyst that usually occurs due to a blocked salivary gland or due to direct trauma to the area. These lumps can form on the roof of the mouth, the lips, tongue, or cheeks. They are usually round, rough, red and fluid-filled.

A mucocele is not a serious health condition and generally does not cause any pain, unless it becomes wounded. Read more about what causes mucoceles and the symptoms associated with them.

What to do: The lump usually disappears on its own within a few days, and therefore does not require any treatment. If it continues to grow or persists for longer, the doctor may opt to perform a small procedure to remove the affected salivary gland. 

5. Pemphigus vulgaris 

Pemphigus vulgaris is a rare autoimmune disease that is characterized by the production of antibodies that destroy oral mucosa cells. It leads to the formation of painful blisters or wounds on the roof of the mouth that burn. Once the wounds heal, they scar tissue remains dark and persists for many months. 

At first, the blisters that to form in the mouth or throat are often thought to be canker sores. However, they start to spread to other areas with mucus membranes, like the nose, eyes, genital area, anus or esophagus. 

What to do: Pemphigus vulgaris is a serious illness that requires treatment. If you notice any early signs or symptoms of this disease, you should see a family doctor or dermatologist for start treatment. Treatment involves the use of corticosteroids, immunosuppressants, or antibiotics.

6. Gingival fibromatosis 

Gingival fibromatosis is the excessive growth of gum tissues that cause bumps on the roof of the mouth or anywhere within the mouth. 

This condition can be caused by poor dental hygiene or genetic factors.

What to do: You should see a dentist for assessment via a mouth x-ray. If confirmed, the dentist can indicate appropriate treatment, which may involve surgical removal of the overgrown scar tissue.

7. Oral squamous cell papilloma

Squamous cell papilloma is an infection caused by the human papillomavirus (HPV). It can cause a cauliflower-like bump or nodule on the roof of the mouth. These bumps can also grow on the cheeks, tongue or lips. They generally form slowly and are not painful. 

HPV is an infection transmitted through sexual contact. Having squamous cell papilloma can increase your risk for developing oral, neck or pharynx cancer. 

What to do: Treatment of oral squamous cell papilloma should be guided by a doctor or dentist, who may indicate laser therapy, surgery or medications, like acetic avid hydrocloride at 70 to 90% strength, or alpha-interferon.

8. Hyperdontia

Hyperdontia is the development of more teeth than average. It is usually noted in the upper palate of the mouth, and is characterized by a lump (a tooth) behind the front teeth or on the roof of the mouth. These extra teeth can cause extra symptoms like headache and facial or jaw pain.

What to do: You should see a dentist to diagnose the extra tooth with a dental xray. If necessary, the dentist may recommend surgical removal of the tooth. 

When to see the doctor 

You should see a doctor or dentist if you experience any of the following symptoms: 

Pain or discomfort that does not improve in 2 days

A wound that does not heal

Difficulty speaking or swallowing

Bleeding or foul odor from the bump

The emergence of more bumps, wounds or spots in the mouth

Increase in size 

It is very important to see a dentist or family doctor if the bump does not disappear on its own within a few days. The bump should be assessed to confirm a diagnosis. Once confirmed, treatment can be started, which can help to prevent further complications or worsening, like oral cancer.

(01/15/2024)
by Tua Saude

More Information: https://www.tuasaude.com/en/bump-on-roof-of-mouth/


Views: 728
Share
Share

Why Dental Check-Up Is Important?

Do you know why the dentists suggest getting a checkup every 6 months?

It’s because regular dental visits are very important for maintaining healthy teeth and gums. In between these examinations, it’s important that you work to keep our teeth and gums clean and healthy.

And here’s some very good news: all dental checkups and consultations at Sabka Dentist are FREE. The benefits of check-ups far outweigh any minor inconveniences caused while booking an appointment and will help you decide the best course of action to take with your oral care.

Putting off regular checkups, or refusing to go to the dentist at all, often leads to complications, pain, and expenses that could have easily been avoided. For example, easily treatable dental issues such as decay and cavities when left unchecked can affect other teeth, cause gum problems or lead to tooth extraction.

What does a regular Dental Check-up include?

One part of the dental examination includes checking teeth for tooth decay. The dentist will evaluate the health of your teeth and gums. The dentist will also pay special attention to plaque and tartar. The soft plaque can harden on the teeth and irritate the gum tissue. If not treated, plaque can lead to gum disease.

The Dental Examination:

The dentist will assess the health of your teeth and gums by:

Examining the gums

Looking for signs of gum disease

Checking for loose teeth

Examining your tongue

Checking your bite

Looking for visual evidence of tooth decay

Checking for broken teeth

Checking for damaged fillings

Looking for changes in the gums covering teeth

Evaluating any dental appliance you have

Checking the contact between your teeth

Taking X-rays

After the examination, the dentist will tell you about the health of your teeth and gums and then make additional recommendations. It’s important that you see your dentist every six months and that they do the routine examination. By seeing a dentist on a regular basis and following daily good oral hygiene practices at home, you can keep your teeth and gums healthy.

8 Signs you may need Dental Check-up Immediately:

Tooth Pain

Annoying and Persistent Canker Sores

Strong tooth sensitivity to Hot and Cold

Swollen Gums and frequently bleeding gums

White spots on teeth

Constant dry mouth

Chronic Headaches

Changes in the Mouth/Tongue color

Why Sabka dentist provides free Dental Check-up?

Sabka Dentist which is currently one of the largest and most popular dental clinic chains in India was set up in 2010 with an intent of making dental treatment affordable, accessible and available to all segments of the society.

Preventive dental checkups are not opted by the majority of the population since they do not want to pay a dentist without having a concrete dental problem. Most people delay the treatment by bearing the pain and visit the dentist only when the problem has become extremely painful and critical.

The solution to this was to eliminate the barrier of the “cost of the preventive dental checkup”. We decided that Sabka Dentist will not charge for preventive dental checkups since preventive checkups are the first step towards dental awareness.

Expert opinion

Dr. Ankita Gada Dental Director of Sabka dentist says “Dental check-ups will decrease the potential for all oral health problems becoming serious. While they may show you that immediate action is your best option, in the end, this will save you money compared to paying for more expensive major dental works later on.”

Dr. Reena Waghela Dental Director of Sabka dentist says “Regular dental visits are important because they help to keep your teeth and gums healthy. During the dental check-up, your dental professional will check your overall oral health for any trouble areas.”

Dr. Jena Shah Dental Director of Sabka dentist says “Many time individuals not able to find if they have any dental threats. A dental checkup assures you are free from the risk.”

(01/16/2024)
by Sabka Dentist

More Information: N


Views: 560
Share
Share

When Is It Time To Pull A Loose Tooth?

A loose tooth is cause for concern unless it is a baby tooth making way for the permanent tooth coming through. Loose teeth tend to start out with a subtle wiggle. Kids usually push loose teeth with their tongue so it becomes that much looser. However, teeth tend to stay in place, even if loose thanks to their strong root structure. The question is whether it is prudent to pull the tooth and when this extraction should occur.

To Pull or Not to Pull?

In most cases, it does not make sense to pull the loose tooth on your own. Pulling a loose tooth has the potential to cause parts of the bone to stay in the socket. It can also harm the tissue to boot. Pull a tooth and you might end up with an infection. More often than not, loose teeth fall out on their own without any sort of pain. However, there are some cases in which it makes sense to pull a loose tooth.

When is Pulling a Loose Tooth is Necessary?

A loose baby tooth should only be pulled if it is extremely loose. If the baby tooth dangles in the socket, pulling it out makes sense. This way, there is no risk of swallowing it after it loosens on its own. Just make sure your little one does not feel pain when pressure is applied to the tooth. If there is any type of pain, it is an indication the roots have not dissolved properly for safe tooth removal. The dentist can remove an extremely loose baby tooth. You can also do it on your own by wrapping a tissue around the tooth in question and squeezing. The tooth will then fall out of the socket.

Pulling an Adult Tooth

Do not attempt to pull an adult tooth on your own. There is no tooth behind the permanent tooth that is loose. If you pull a loose adult tooth on your own, you run the risk of enduring significant pain. Furthermore, you will have a gap in your mouth that must be addressed by a dentist. Dentists will only pull an adult tooth if it is quite loose or if you are experiencing significant pain and there are no other options.

When in Doubt, Do Not Have the Tooth Pulled!

People are usually surprised to learn loose adult teeth often tighten up on their own. So do not assume a loose tooth will have to be pulled. Pulling a tooth has the potential to damage surrounding teeth. Your best course of action is to meet with your dentist, have the tooth analyzed and follow this oral health expert's advice. If the tooth is slightly loose, the dentist will likely advise waiting to see if it tightens up. However, if the tooth continues to loosen in the coming days, it might be prudent to pull it and replace it with a dental implant or another oral health solution.

(01/16/2024)
by MVP Family Dental

More Information: https://www.mvpfamilydental.com/blog/time-pull-loose-tooth/


Views: 438
Share
Share

Even in your twenties teeth need help

Are you twenty something?

If you went to the dentist in the last six months, that’s brilliant. You’re doing the right thing. But, if you’ve let your preventive oral care slip, then now’s the time to book an appointment to get back on top of looking after your teeth in your twenties.

As dentists, we’re concerned that the teeth of people over twenty aren’t getting the attention they need. So adults can regularly access dental checks and hygiene appointments, we offer planned payment schemes.

By supporting preventive care for women and men in their late teens, early twenties and upwards, we believe we can minimise tooth decay and gum disease leading to tooth loss in later years.

What problems do young adult patients have?

When we look into the mouth of twenty year olds, it’s true that in general people have healthier teeth now than they used to. Fluoride products, better diets and improved oral health education are working. Gone are the days when brides would exchange their teeth for dentures before their big day. Nowadays dental practices focus more on offering effective preventive care. Our aim is to help young people keep their teeth healthy for life.

Not going to the dentist

With the NHS footing the bill for routine care and clinically necessary children’s dentistry, more and more young people are getting effective preventive treatment until they leave school. Although too many children still have to have dental extractions and fillings, teenagers are entering their twenties with better teeth than in the past.

But then the problem starts.

Once school is over, people move away from home and become busy with work and life. Unless their mouths actually hurt, many people don’t feel the need to go to the dentist.

But a dentist is trained to spot concerns before they develop into problems that hurt. Regular visits to a dentist will help you maintain healthy teeth and gums and, in the long run, will save you money too.

Preventive care does what it says – it prevents costly treatments caused by neglecting the need for regular dental checks.

5 common issues that bring new patients to us:

#1 problem – toothache

This usually means there’s dental decay. The treatment is usually a filling. Once your dentist needs to place a filling the tooth is weaker than it was originally because, however ‘good’ the filling, it’s only a repair.

Unfortunately, some patients are able to ignore the initial signs of dental decay, often by using too many over-the-counter pain-killers, and leave it so late the root is infected. Root canal therapy is even more invasive than a simple filling, and commonly a prosthetic crown is needed too.

People also ask:

My tooth aches. What should I do?

What are the stages of root canal treatment?

#2 problem – yellow teeth

Permanent teeth are naturally a range of shades from cream to beige. As you get older (yes, even in your twenties teeth may begin to show signs of wear!) and dental enamel weakens, teeth appear less pearly.

The life-style choices you make also change the colour of our teeth. So eating curry and drinking a lot of coffee or red wine, for example, and certainly smoking, all contribute to staining teeth. A dentist can offer advice on how to lighten the colour of your teeth.

Further problems can arise as a result of using tooth whitening products that are either too abrasive or corrosive. It is far better to pay more and get tailored professional advice and supervision from a dentist. Trying methods that seem cheaper in the short-term may lead to more costly treatments later to restore the damage done.

People also ask:

What’s the best way to make my teeth lighter?

 How does age affect our teeth?

#3 problem – bad breath

Patients in their twenties often come in to see us because they’re aware their breath isn’t too good. As most cases of halitosis originate in the mouth, your dentist is the best professional to help. It’s important to treat the cause of the problem, not just mask it with mouth wash or breath fresheners. In a few cases bad breath indicates a problem with digestion or medications, in which case your dentist will refer you to a different health care provider.

Bad breath is more than a social problem. It is a reliable indicator that you have either tooth decay or gum disease that needs treating. It’s a symptom of reduced well-being that should not be ignored.

People also ask:

How can I be sure my breath smells okay?

What is tongue scraping?

#4 problem – wobbly or missing tooth

A wobbly or knocked out tooth can be caused by an accident. We often get calls from people who have knocked a tooth. Our practices have advice on the answer machine to help you cope.

Treat a knocked out tooth as a dental emergency. If your tooth is knocked out:

find the tooth

hold it by the crown (not the root)

place it in milk (or in the side of your mouth between your lip and gums)

get emergency dental help asap to re-root the tooth

Missing or wobbly teeth are also caused by periodontal disease. Preventive care can help you to identify gum disease before it develops into gingivitis. If you visit the dentist regularly your hygienist can set up a programme targeting gum health to prevent periodontitis and possible tooth loss.

People also ask:

What is periodontitis?

What do I do if I knock a tooth out?

#5 problem – aching jaw

One of the problems (or joys?) of getting older is that we have more responsibilities to feel stressed about. Clenching or grinding teeth can lead to extra pressure exerted on the jaw bone. Left untended Temporomandibular Disorder (TMD) may develop.

Moreover, dentists recommend  orthodontic treatment for reasons other than pure aesthetics.  Having teeth that are out of alignment can also cause pain over the years as adults age. If teeth are aligned properly, then the pressure of chewing, biting and even talking are more evenly distributed.

People also ask:

Why does stress make my jaw ache?

Can I get my teeth straightened now I’m older?

It’s time to take responsibility

Suddenly life catches up with us, and it starts to show in our teeth.

As we get older we take on lots of new responsibilities. We have work, family ties, and we have to look after the health of others. But we do need to make time to look after ourselves too.

Keeping our teeth in good shape helps project confidence and contributes to our systemic health.

(01/17/2024)
by Spa Dental

More Information: https://www.spadental.co.uk/blog/2020/02/twenties-teeth-problems-solutions/


Views: 547
Share