Dentists Journal

Top Ten Stories of the Week
8/24/2024

All Dentists Journal · Previous Week · This Week · All Time List · Headlines

Share

Diabetes Gum Disease? Look after Your Teeth and Gums!

Diabetes gum disease becoming an increasing problem in the United States and figures from the Centers for Disease Control and Prevention show 29.1 million people have diabetes, which is an astonishing 9.3% of the population. Out of this figure around 8.1 million people are undiagnosed.

If you have been diagnosed with diabetes then you’ll probably already be aware of the way it can affect your general health and the necessity to take care of yourself and to try to control your glucose levels as well as possible. But do you know how it can affect your oral health? In fact taking care of your teeth and gums should be an important part of controlling diabetes gum disease and may help prevent this condition from worsening.

What Does Diabetes Gum Disease Have to Do with My Dental Health?

Diabetes and diabetes gum disease are closely linked and this is at least in part due to the way they are both inflammatory conditions. Gum disease is caused by bacteria in the mouth infecting the gums, and this prompts the body to try to fight back which results in the gums becoming inflamed. As the condition worsens the gums begin to bleed, enabling bacteria to get into the bloodstream and from there they can create new sites of inflammation around the body. It’s thought this inflammatory response can create a number of problems for diabetics.

For a start, it can make it more difficult to control glucose levels which could lead to this disease worsening. At the same time, higher glucose levels can mean more glucose will be present in the saliva, fuelling the bacteria that cause gum disease. Diabetics also find it harder to heal as the condition can cause the blood vessels to become narrower which makes it more difficult for the body to transport essential nutrients to the gums, and to carry waste products away.

Good Dental Care Can Help a Lot

Fortunately good dental care can help a lot in reducing the risk of your diabetes affecting your oral health and vice versa. You’ll find Dr. Navid Rahmani at Manhattan Periodontics & Implant Surgery can provide you with customized preventative dental care to help reduce your risk of developing gum disease, or to manage any symptoms of periodontal disease. For anyone with diabetes gum disease this might mean more frequent trips to the dentist for regular checks and preventative care in the form of professional cleanings.

Reducing Your Risk with Regular Checkups and Professional Cleanings

Regular checkups will enable Dr. Rahmani to assess the condition of your gums and to detect any early symptoms that may require treatment. Early gum disease can often be cured completely, but advanced gum disease or periodontal disease is a different matter. Although it might not be possible to cure it completely, proper dental care can help keep it under control, minimizing the damage to your teeth, gums and general health.

Professional cleanings are very important as these help remove hardened tartar that contains disease-causing bacteria from your teeth. If necessary your gums can be deep cleaned at regular intervals using the latest laser gum treatments. Diabetes can be a life changing condition, but good quality dental care can help minimize its impact.

(08/16/2024)
by Manhattan Periodontics And Implant Dentistry

More Information: https://www.periony.com/diabetes-gum-disease-look-after-your-teeth-and-gums/


Views: 405
Share
Share

Why Is My Lip Swollen on One Side?

Welcome to our in-depth guide, where we tackle the puzzling question: “Why is my lip swollen on one side?” This unusual occurrence can be a source of worry for many. When you notice that only one side of your lip is swollen, various questions may arise, primarily centered around “Why is my lip swollen on one side?” This guide is designed to help you understand the potential reasons behind this specific type of swelling. We delve into various aspects of lip health and provide answers to the pressing question, “Why is my lip swollen on one side?” By exploring the causes, symptoms, and treatment options, this comprehensive resource aims to offer clarity and guidance for those experiencing this condition. Whether you’re currently facing this issue or simply seeking knowledge, our guide is here to demystify the causes behind unilateral lip swelling.

Understanding Lip Swelling

Lip swelling, medically termed as lip edema, occurs when either one or both lips enlarge due to inflammation or fluid buildup. This condition can vary from a minor puffiness to a significant enlargement that affects speaking, eating, or even breathing. When swelling is limited to one side, it often indicates a localized problem, which can range from a simple injury to more complex medical conditions. The unilateral aspect of the swelling often aids in diagnosing the underlying cause, as it narrows down the potential reasons compared to general swelling that affects both lips.

The Anatomy of the Lips

To understand lip swelling better, it’s important to know a bit about the anatomy of the lips. Your lips have several layers, including skin, muscle, and mucous membranes, and are rich in blood vessels and nerve endings. This composition makes them sensitive and prone to swelling due to various factors.

Differentiating Types of Swelling

Swelling can be classified into two types: acute and chronic. Acute swelling appears suddenly and is usually a reaction to an injury, allergy, or infection. Chronic swelling develops slowly and might be a sign of a long-term medical condition.

Common Symptoms Associated with Lip Swelling

When one side of the lip swells, it may be accompanied by other symptoms that can provide clues to the underlying cause. Some of the common symptoms include:

Pain and Discomfort

The swollen area may be painful, especially if it’s due to an injury or infection. The pain can range from a dull ache to sharp, intense discomfort.

Redness and Warmth

Inflammation often causes the affected area to become red and feel warm to the touch. This is the body’s natural response to injury or infection.

Itching or Tingling

Allergic reactions often result in itching or a tingling sensation on the lips. This can be accompanied by other allergy symptoms like sneezing or a runny nose.

Difficulty Eating or Speaking

Significant swelling can impair basic functions like eating or speaking, causing discomfort and inconvenience.

Other Associated Symptoms

Depending on the cause, you might experience additional symptoms such as fever (indicating an infection), blisters (suggestive of a viral infection like herpes simplex), or breathing difficulties (in severe allergic reactions).

When to Seek Medical Attention

It’s crucial to monitor these symptoms closely. Seek immediate medical help if the swelling is severe, rapidly worsening, or accompanied by symptoms like difficulty breathing, extreme pain, or spreading to other parts of the face. In cases where the swelling is mild and not accompanied by severe symptoms, monitoring and basic care at home might be sufficient.

Potential Causes of Unilateral Lip Swelling

Identifying the root cause of lip swelling on one side is crucial for effective treatment. Here are some common culprits:

A. Allergic Reactions

Allergies are a frequent cause of lip swelling. This could be due to food, medication, environmental factors, or insect bites. Signs of an allergic reaction often include itching, redness, and in severe cases, anaphylaxis, a life-threatening condition.

Immediate Actions:

For minor allergic reactions, antihistamines can provide relief. However, in cases of severe reactions, such as difficulty breathing or extensive swelling, immediate medical attention is necessary.

B. Dental Issues

Dental problems, including abscesses, impacted teeth, or periodontal disease, can lead to swelling in the adjacent lip area.

Preventive Measures:

Regular dental check-ups and maintaining good oral hygiene are vital in preventing such issues.

C. Infections

Bacterial, viral, or fungal infections can cause localized swelling. Conditions like herpes simplex virus are common culprits.

Treatment Options:

These typically involve antiviral, antibiotic, or antifungal medications, depending on the nature of the infection.

D. Trauma or Injury

A direct injury, such as a cut, bruise, or impact from a fall or sports injury, can cause immediate swelling on one side of the lip.

First Aid:

Applying ice can help reduce swelling and pain. However, if there is a severe cut or persistent bleeding, medical attention is necessary.

E. Other Medical Conditions

Certain medical conditions, like autoimmune disorders or even some forms of cancer, can manifest with lip swelling as a symptom.

Importance of Diagnosis:

In such cases, further medical evaluation is essential for proper management.

Diagnosis of Lip Swelling

Proper diagnosis is key to treating lip swelling effectively. Here’s what the process generally involves:

Medical History and Physical Examination

Your doctor will start with a thorough medical history and physical examination. They will ask about recent injuries, allergies, dental problems, and any other symptoms you might be experiencing.

Tests and Examinations

Depending on the suspected cause, a range of tests may be performed. These could include:

Blood Tests:

To check for signs of infection, inflammation, or allergies.

Allergy Testing:

If an allergic reaction is suspected, skin or blood tests may be used to identify specific allergens.

Imaging Tests:

X-rays, CT scans, or MRIs can be helpful in cases where a dental or facial bone issue is suspected.

The Role of Medical History

Understanding your medical history plays a significant role in diagnosis. Past incidents of similar symptoms, known allergies, or chronic medical conditions can provide crucial clues.

Treatment Options

The treatment for lip swelling depends on the underlying cause. Here’s an overview of the various approaches:

A. Home Remedies

For mild cases of lip swelling, several home remedies can be effective:

Cold Compresses: Applying a cold pack can reduce swelling and numb the area, providing relief from pain.

Hydration: Keeping yourself well-hydrated helps in reducing inflammation.

Avoid Irritants: If an allergy is suspected, avoid potential allergens to prevent further irritation.

However, it’s important to avoid self-treatment if symptoms are severe or worsening.

B. Medical Treatments

Medical treatment varies based on the cause:

Allergic Reactions: Antihistamines or corticosteroids are often prescribed to reduce allergic inflammation.

Infections: Antibiotics, antiviral, or antifungal medications are used based on the type of infection.

Injuries: For injuries, treatment may involve pain management, wound care, or, in severe cases, surgical intervention.

C. Long-Term Management

For recurrent or chronic lip swelling:

Lifestyle Changes: Identify and avoid triggers, maintain good oral hygiene, and adopt a healthy lifestyle.

Regular Check-Ups: Regular visits to your doctor or dentist can help in early detection and management of potential causes.

Prevention Tips

Preventive measures are essential in reducing the risk of lip swelling:

Allergy Awareness: Be aware of your allergies and avoid known triggers.

Oral Hygiene: Good dental care is crucial in preventing dental-related lip swelling.

Protect Your Lips: Use protective gear during sports and outdoor activities to prevent injuries.

Conclusion

Understanding the question “Why is my lip swollen on one side?” is crucial for anyone experiencing this symptom. This comprehensive guide aimed to shed light on the various aspects of unilateral lip swelling, from identifying the potential causes to exploring effective treatment options. By addressing the question “Why is my lip swollen on one side?” in depth, we have provided insights into the importance of accurate diagnosis and timely intervention.

Remember, if you ever find yourself pondering, “Why is my lip swollen on one side?”, it is essential to consider the information provided here and consult a healthcare professional for personalized advice. Dealing with this condition effectively requires knowledge, awareness, and the willingness to seek professional help when necessary.

(08/16/2024)
by HooShout

More Information: https://hooshout.com/why-is-my-lip-swollen-on-one-side/


Views: 647
Share
Share

Choosing The Right Type Of Dental Filling

Dental fillings are used to help restore a tooth to its natural state and health. The most common reason for the breakdown of a tooth’s structure from harmful bacteria is a cavity, also known as tooth decay.

During a dental exam at our Boynton Beach dental office, Dr. Ty Eriks, DMD, will evaluate a patient’s teeth and recommend fillings for teeth. For more severe damage, a root canal may be recommended instead. He can explain the different dental filling types to help you make an informed decision when choosing your dental filling.

Types of Dental Fillings

Dental fillings can be made of many materials. The types of dental fillings we use in our dental office include:

Composite or white fillings: Made of a tooth-colored material composite resin, they are used to be undetected in the mouth. We work diligently to perfectly match the shade of a patient’s enamel, which creates restorative results while looking natural.

Silver or amalgam fillings: This silver-colored material is a stronger material than that of composite fillings and is often used on back teeth to help them regain strength and to last long.

Signs You May Need a Filling

There are some symptoms that may occur when you need a filling and you should schedule a dental exam as soon as possible, including:

Toothache

Dark spots on teeth

Sensitivity to hot or cold temperatures

Pain when biting or chewing

Hole in or on the tooth

Broken or cracked tooth

Never ignore anything that may seem less than the norm, as it can lead to further pain or deterioration of the tooth and even sometimes the teeth around it.

Does It Hurt To Get A Filling?

Dr. Eriks gives you local anesthesia before the process begins. You should not feel anything at all besides some pressure in some instances. Our family dentistry dental practice prides itself on ensuring every patient feels comfortable during their experience.

Expectations After Getting A Filling

It’s common to experience sensitivity to air or too hot or cold temperatures for a few weeks after getting a filling. We recommend avoiding eating overly hot or cold foods and trying to chew on the other side of the mouth if you can. If your sensitivity doesn’t go away after two weeks, please contact our office, as there are times that a filling may have a small opening that may need to be built up for proper sealing.

Does My Filling Need To Be Replaced?

There are many reasons why a filling may need to be replaced, usually because of wear and tear. When a filling cracks or separates slightly from a tooth, bacteria and food particles can become trapped inside the tooth. By replacing old fillings, you can help prevent this new decay from forming. The two common symptoms of a filling that needs to be replaced are pain and tooth sensitivity.

(08/21/2024)
by Eriks Dental Group

More Information: https://eriksdentalgroup.com/choosing-the-right-type-of-dental-filling/


Views: 454
Share
Share

Mouth Issues That Make It Difficult To Eat

Many people experience mouth problems that make eating difficult. These problems can make mealtimes a pain, whether it’s due to gum disease, tooth decay, or dry mouth. Some people may even find that they’re losing weight because they’re unable to eat as much as they used to. However, there are ways to remedy the situation. This blog post will explore some of the most common mouth problems and how to fix them.

Gum Disease

Gum disease is an infection that causes swelling, redness, and bleeding. If left untreated, it can lead to tooth loss. The best way to prevent gum disease is to brush and floss regularly. If you already have gum disease, your dentist may recommend deep cleaning or surgery.

You want to avoid gum disease not just for your teeth but also for your overall health. Gum disease has been linked to heart disease, stroke, and other health problems. If you’re having trouble with your gums, see a dentist as soon as possible. Some treatment options can help improve your gum health, from deep cleanings to surgery.

Missing Teeth

Missing teeth can make eating difficult, especially if they’re in the front of your mouth. If you have missing teeth, there are a few options for replacement, including dentures, implants, and bridges. Dentures are the most affordable option and can be removed for cleaning. Dental implant surgery is more expensive but gives you a more natural-looking tooth. Bridges are usually used when you have healthy teeth on either side of the missing tooth.

Regardless of your choice, it’s essential to replace missing teeth. This will help you eat better and also improve your smile. It would help if you talked to your dentist about which option is best for you.

Tooth Decay

Tooth decay is caused by bacteria that eat away at the enamel of your teeth. It can cause pain, sensitivity, and tooth loss. To prevent tooth decay, brush your teeth twice daily and avoid sugary foods and drinks. Your dentist may recommend a filling or crown if you already have tooth decay. Some tooth decay can be repaired at home with a filling kit, but more severe cases require a dental visit.

If you have a tooth that is severely decayed, it may need to be extracted. This can be a painful process, but getting rid of the decay is essential before it spreads to other teeth. Your dentist will numb the area before extracting the tooth to minimize discomfort.

Dry Mouth

Dry mouth is a condition in which there is not enough saliva in the mouth. It can be caused by certain medications, medical conditions, or simply not drinking enough water. A dry mouth can cause difficulty eating, as well as bad breath. To treat dry mouth, drink plenty of water and chew sugarless gum or candy. You may also need to take medications or use artificial saliva products.

Your teeth and gums need saliva to stay healthy. Saliva helps wash away food and bacteria and contains minerals that help keep teeth strong. If your teeth are damaged by decay, it’s more difficult for saliva to repair the damage. This is why it’s essential to keep your mouth moist by drinking plenty of water and using artificial saliva products if needed.

Misaligned Teeth

Some people have teeth that are not aligned properly. This can make it difficult to bite and chew food. If your teeth are misaligned, you may need to see an orthodontist for treatment. Treatment options include braces and clear aligners.

If you have misaligned teeth, you may not need treatment if it doesn’t cause pain or discomfort. However, if your teeth are making eating difficult, you should talk to your dentist or orthodontist about treatment options.

Sensitive Teeth

Sensitive teeth may hurt when exposed to hot or cold temperatures. It can also be sensitive to sweet, sour, or acidic foods and drinks. Sensitive teeth can be caused by gum disease, decay, or worn tooth enamel. To treat sensitive teeth, use toothpaste for sensitive teeth and avoid foods and drinks that trigger the pain. You may also need to see your dentist for professional treatment.

You should also avoid foods and drinks that are acidic or high in sugar, as these can contribute to tooth decay. See your dentist for an evaluation and possible treatment if you have sensitive teeth.

There are ways to remedy the situation if you’re experiencing difficulty eating due to mouth problems. Gum disease, tooth decay, and dry mouth are all common issues that can make eating messy or painful. However, by brushing and flossing regularly, avoiding sugary foods and drinks, and drinking plenty of water, you can help keep your mouth healthy and free from problems. If you experience difficulties, talk to your dentist about possible treatments such as fillings or crowns.

(08/17/2024)
by B2cafe

More Information: https://b2cafe.com/mouth-problems/


Views: 441
Share
Share

What to know about an itchy mouth

An itchy mouth may be a symptom of viral or fungal infections. It also frequently occurs during allergic reactions.

Itchiness within the mouth can range from mild to severe, depending on the underlying issue.

In this article, we explore the causes of an itchy mouth. We also describe treatment options, strategies for prevention, and when to see a doctor.

Causes

Several conditions can cause itchiness within the mouth, including the following:

Oral allergy syndrome

Oral allergy syndrome (OAS) is a type of food allergy that affects the mouth, lips, tongue, and throat. It occurs in people with pollen allergies.

OAS can, for example, cause a person with hay fever — or allergic rhinitis — to experience an allergic reaction to apples or celery.

Proteins in specific foods can be very similar to proteins in certain pollens. In a person with OAS, the body reacts to proteins in these foods as though they were proteins in pollen allergens. This misidentification could result in a new allergic reaction or cause existing allergy symptoms to intensify.

According to the American Academy of Allergy, Asthma & Immunology, OAS affects 50–75% of adults who are allergic to birch tree pollen.

Tingling and itching in the mouth are among the most common symptoms of food allergies, according to a 2015 small-scale review.

Other symptoms of OAS can include:

a scratchy throat

red, itchy bumps called hives that develop in the mouth or throat

swelling of the lips, tongue, or throat

FoodsTrusted Source that can cause OAS reactions include:

nuts

apples

celery

legumes

fish and shellfish

eggs

cow’s milk

soy

wheat

Anaphylaxis

Anaphylaxis is another allergic reaction, but it is far more serious than OAS and requires immediate medical attention. People are at risk of anaphylaxis when their immune system becomes hypersensitive to acute allergens, such as bee stings, pollen, and certain foods.

Anaphylaxis affects the entire body and can cause low blood pressure and severe swelling. The dramatic drop in blood pressure can starve the organs and tissues of oxygen.

The swelling can affect the mouth and throat, making it difficult or even impossible to breathe.

Symptoms of anaphylaxis include:

itching or tingling of the mouth and throat

hives

dizziness

rapid heartbeat

nausea or vomiting

difficulty breathing

loss of consciousness

Viral infection

Viruses that attack the upper respiratory tract, such as those responsible for the common cold or flu, can cause an itchy mouth.

When a person gets a viral infection, the immune system sends specialized cells to capture and destroy the invading pathogens.

The buildup of immune cells can lead to inflammation and congestion, which can cause the roof of the mouth and the throat to feel itchy.

Viral infections can cause the following symptoms:

a sore throat

a runny nose

sneezing

headaches

hoarseness

a fever

swollen lymph nodes

Oral thrush

Oral thrush is a fungal infection that occurs due to an overgrowth of Candida yeasts in the mucous membranes that line the mouth and throat.

Oral thrush causes thick, cream-colored patches on the tongue, inner cheeks, roof of the mouth, and throat. People may experience itching, burning, or general discomfort in the affected areas.

Other symptoms of oral thrush include:

dry mouth

soreness in the affected areas

loss of taste

pain while eating or swallowing

The Centers for Disease Control and Prevention (CDC)Trusted Source state that the following factors can increase a person’s risk of developing oral thrush:

wearing dentures

smoking

taking antibiotics

taking corticosteroids, including those in asthma inhalers

having diabetes

having a weakened immune system

Treatment options

Treatment options for an itchy mouth vary depending on the cause.

Treatments for allergic reactions

A mild allergic reaction may clear up on its own, either after the person spits out the food that is causing the reaction or once their body has finished digesting the allergenic proteins.

People can also take medications called antihistamines to treat symptoms such as:

congestion

sneezing

itching

hives

A severe allergic reaction, such as anaphylaxis, requires immediate treatment. A person having a severe reaction can self-administer medication using an epinephrine auto-injector, sometimes called an EpiPen.

Epinephrine is a hormone that increases blood flow and relaxes the smooth muscles, which opens up the airways, helping a person breathe.

Treatments for oral thrush

A doctor is likely to prescribe or recommend antifungal medications to treat oral thrush. Some examples include:

clotrimazole (Canesten)

miconazole (Monistat)

nystatin (Mycostatin)

fluconazole (Diflucan)

When to see a doctor

Anyone who thinks that they have an infection in their mouth should see a doctor.

If a person thinks that they could have a particular allergy, they can schedule an allergy test. During this test, a healthcare professional will scratch or prick the skin and introduce a small sample of the allergen into the area. If the person is allergic to the substance, their body will react.

Diagnosis

Allergy tests help identify specific allergens to avoid. A doctor can use the results to make a diagnosis and, possibly, prescribe epinephrine.

Learn more about epinephrine here.

A physical examination and a culture test help a doctor diagnose oral thrush. During a culture test, a doctor often uses a cotton swab to collect a small sample from the patches in the mouth, which goes to a laboratory for analysis.

The doctor may also request a blood test to rule out any underlying conditions.

Prevention

People can prevent allergic reactions by avoiding known allergens.

Preventing oral thrush can involve improving oral hygiene and making some lifestyle changes, such as:

removing dentures at night

rinsing the mouth after using corticosteroid inhalers

brushing and flossing the teeth regularly

quitting smoking or avoiding secondhand smoke

Outlook

An itchy mouth often results from a mild food allergy or an infection.

In the case of an allergy, the itchiness usually goes away when a person stops eating the food responsible for the reaction.

However, an itchy mouth can also be a symptom of a more severe and sometimes life threatening allergic reaction called anaphylaxis. Anyone experiencing anaphylaxis will need immediate medical treatment.

(08/17/2024)
by Medical News Today

More Information: N


Views: 423
Share
Share

How Diabetes Affects Gum Disease

Gum disease is a rather lesser known health problem associated with patients who suffer from diabetes. In fact, it is considered as the “sixth complication of diabetes.” It is so common though, that one out of three diabetic patients suffer from it at some point in their life.

Poorly managed diabetes can lead to gum disease, not just in adults but in children, too. The condition causes a restriction of blood flow, weakening the gums and leaving it prone to infection. Aside from that, patients with unmanaged diabetes have higher levels of glucose in their mouth. This turns the mouth into a breeding ground for disease causing bacteria.

How To Tell If You Have Gum Disease

The symptoms of gum disease as a result of diabetes can manifest itself in many ways. These signs can appear by themselves or in groups, and can include the following:

Pain in the jaw, face and mouth that does not improve even with regular dental care

Pain when chewing

Odd taste in the mouth

Holes and dark spots in your teeth

Loose teeth and receding gums

Sores and ulcers that do not heal

While these symptoms are telltale signs of gum disease, it is still recommended to consult a dental health expert to get a more accurate diagnosis. Gum disease varies depending on the level of the condition. It often starts off as gingivitis, which is the mildest condition and is characterized by red, tender and swollen gums which easily bleed even after flossing and brushing. Gingivitis can be forestalled by regular dental visits and a proper home health care program.

When gingivitis is untreated, it can lead to mild periodontitis. At this stage, the bone around the teeth starts to erode, requiring prompt medical attention from your dentist. When left untreated, mild periodontitis becomes severe and is characterized by significant tissue loss around the teeth and eventually, teeth loss.

Apart from gum disease, diabetes can also cause dry mouth, which leads to soreness, tooth decay and infections.

Taking Control

If you suffer from gum disease caused by diabetes, it is important to take control of both problems, because having one or the other can lead to a vicious cycle. If either of the conditions is left uncontrolled, they can directly affect and worsen one another. If this continues, it increases the chances of complications from either of the diseases.

Like most people, you may not be informed about the connection between gum disease and diabetes, so it is important to have yourself diagnosed for both. You may choose to include blood glucose tests in conjunction with your regular dental examination. For concerns and questions regarding either condition, feel free to set an appointment with your family dentist and health care provider.

(08/18/2024)
by Dr. Seth Rosen
Views: 409
Share
Share

What Causes Dry Mouth?

We’ve all experienced dry mouth at some point in our lives, but what causes it?

We don’t mean dry mouth in the sense that you’ve woken up with a hangover or an illness. What we mean is chronic dry mouth. Frequent dry mouth can be a sign of underlying health issues and we want you to be aware of what those issues could be.

It’s common that persistently suffering from it is only dehydration. This means that your body doesn’t have enough fluid to produce saliva, resulting in dry mouth. However, an undiagnosed issue could also cause it. For example:

• Medication – many medications can cause dry mouth. Antidepressants and antihistamines are common culprits. If you’re taking someone new/regularly, check the leaflet for side effects.• A blocked nose – a blocked nose means you will breath through your mouth more, especially when sleeping. This will cause your mouth to dehydrate but it will pass with the blocked nose.• Diabetes – this is a lifelong condition that dangerously raises blood sugar levels. Having dry mouth could be an indicator of this condition.• Radiotherapy – having this conducted on the head or neck area can inflame the salivary glands.• Sjögren’s syndrome – this is a condition where the immune system attacks and damages the salivary glands. Sjorgren’s can cause dry eyes, dry mouth, and fatigue and joint pain. It can also cause dysfunction on other organs, such as the kidneys, gastrointestinal system, blood vessels, lungs, liver, pancreas and central nervous system.

If you are experiencing dry mouth, you should contact a doctor or a dentist to alert them of the symptoms.

Symptoms of dry mouth itself can also include; a burning or soreness in the mouth, dry lips, halitosis, poor sense of taste, oral thrush, tooth decay, gum disease and difficulty with eating, speaking or swallowing.

Saliva is key to keeping your oral health in good condition. Your level of oral hygiene will be important in your likelihood of developing this condition. You should ensure you are drinking enough fluids on a daily basis, chew sugar free chewing gum to promote production of saliva and avoid anything containing alcohol. Including mouthwashes.

If you feel these measures don’t help your dentist, GP or specialist may suggest using an artificial saliva substitute to keep your mouth moist. It can come in the form of a spray, gel or lozenge. You will have to take it before and during meals to aid you in swallowing. However, if your dry mouth is caused by Sjögren’s syndrome or radiotherapy, pilocarpine may be prescribed. This is taken as a tablet several times a day to help stimulate your salivary glands to produce more saliva.

If you feel you’re suffering from dry mouth and need to contact a medical professional, we suggest you do. If you don’t already have a dentist you visit regularly, you can make use of our listing website to find the perfect dentist near you. 

(08/20/2024)
by Defacto

More Information: https://www.defactodentists.com/blog/causes-dry-mouth/


Views: 307
Share
Share

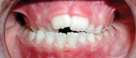
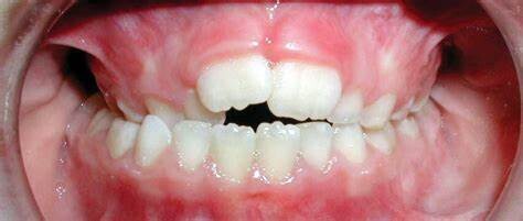
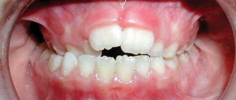
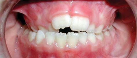
Common Bite Problems that Affect Children and Adults

Bite problems (medically known as malocclusion) are more than just a cosmetic issue. Having upper and lower teeth that don’t align properly increases your risk of tooth decay, gum disease, and tooth damage. In some cases, bite problems can also cause painful chronic conditions, like TMJ disorder which lead to jaw pain, and interfere with a person’s ability to speak, breathe, or eat properly. If you think you have one of the bite issues outlined below, you should talk to the team at Davis Dental Care about your treatment options.

7 Bite Problems to Watch Out For

     1. Overbite

Over the last 250 years, overbite – a condition where the upper teeth cover part or all of the bottom teeth – has become increasingly common. The frequent use of baby bottles, soothers, and utensils, along with dietary changes that favour soft processed foods, have all contributed to the prevalence of overbite.

Though having a slight overbite isn’t necessarily harmful. Extreme overbites can lead to tooth damage, gum irritation and disease, early enamel loss, and a heightened risk of tooth decay. If your upper teeth cover most of your lower teeth, or your lower teeth contact the back of your upper teeth (or upper gums) when you close your mouth, your overbite is probably severe enough to require treatment.

     2. Underbite

Underbites are characterized by lower teeth that protrude and cover part of the upper teeth. Underbites are less common than overbites (affecting just 10% of the population), but they’re more likely to cause serious problems, such as difficulty speaking and chewing as well as cosmetically unpleasing due to facial imbalance. For this reason, most underbites are corrected during childhood.

 3. Crowding

Tooth crowding, like overbite, is related to evolutionary changes in human facial shape. Over the last 10,000 years, our jaws have gotten progressively smaller, owing to the advent of agriculture. (Grains are much easier to bite and chew than meat and fibrous plants, so we no longer need large, strong jaws to survive.) Unfortunately, our slender modern jawlines can’t always accommodate all 32 of our teeth, which leads to tooth crowding. This change in jaw size is the reason why most modern humans need to have their wisdom teeth removed, whereas prehistoric humans did not. Left untreated, tooth crowding dramatically increases the risk of tooth decay and gum disease because it makes the teeth very hard to clean properly. If your teeth appear crooked or overlap one another, having them aligned will help you avoid painful cavities/gum disease and early tooth loss.

     4. Open Bite

When a person has an open bite, their upper and lower teeth don’t wholly connect when their mouth is closed. Open bites can be caused by genetics, or by bad habits, like excessive thumb sucking in childhood. Open bites contribute to chewing difficulties and frequently create speech impediments, like lisping, so this condition should be treated as soon as it becomes evident.

     5. Crossbite

A crossbite is a genetic condition wherein one or more upper teeth “cross” backwards to sit behind the lower teeth. (This condition is different from an underbite, which involves the protrusion of the lower jaw.) In severe cases, having a crossbite makes closing the mouth difficult. It can also cause significant cosmetic, speech, chewing problems, as well as cheek biting

     6. Spacing (gaps)

Significant gaps between teeth trap food particles and plaque, in addition to being an unsightly cosmetic problem. Closing these gaps is, therefore, recommended to prevent tooth decay.

     7. Protrusion

Informally known as “buck teeth,” protrusion occurs when the front teeth just forward at an unnaturally sharp angle. Unlike overbite, protrusion affects the front incisors, not the entire upper row of teeth. As a result, a protrusion is often more visible than a moderate overbite and may cause significant embarrassment. Protruding front teeth can press into the lips, resulting in chronic irritation and increasing the likelihood of lip injury during accidents. Front teeth that protrude are also more susceptible to cracks, chips, and more severe breakage. Other problems related to tooth protrusion include oral dryness (which contributes to gum disease), speech issues, and unwanted changes in facial shape. (Buck teeth can give the face a long, narrow appearance.)

Can Bite Problems Be Corrected in Adulthood?

One of the most common misconceptions people have about braces (and other orthodontic treatments) is the idea that they’re only active while the mouth and jaw are still growing. Though it’s true that treating malocclusion early in life is more manageable and prevents complications in adulthood, bite alignment can be corrected at any age, as long as you have a healthy set of teeth. Thanks to modern advancements like Invisalign, you may not even need visible braces to align your teeth properly. To find the best orthodontic solution for your teeth, contact Davis Dental Care in Newmarket – we’ll be happy to help you achieve a healthy, beautiful smile. Bite problems (medically known as malocclusion) are more than just a cosmetic issue. Having upper and lower teeth that don’t align properly increases your risk of tooth decay, gum disease, and tooth damage. In some cases, bite problems can also cause painful chronic conditions, like TMJ disorder which lead to jaw pain, and interfere with a person’s ability to speak, breathe, or eat properly. If you think you have one of the bite issues outlined below, you should talk to the team at Davis Dental Care about your treatment options.

(08/19/2024)
by Davis Dental Care

More Information: https://davisdentalcarenewmarket.com/7-common-bite-problems-that-affect-children-and-adults/


Views: 284
Share
Share

Mouth Conditions That Can Cause Pain

Sometimes we experience mouth pain and we ignore it thinking its from a minor reason, but sometimes when we ignore mouth pain, it means we are ignoring major oral issues. If your pain persists for a long period you should consult your doctor. Here are some mouth diseases that can cause pain:

1. Mouth ulcers

One reason for mouth pain can mouth ulcers, a condition caused by ill-fitting dentures, fractured teeth, or fillings. The symptoms include burning mouth, facial pain, and mandibular pain. If the pain persists for more than 3 weeks it should be discussed with your doctor. Usually ulcers related to these traumas resolve within a week after removing the cause. You can use anti-inflammatory and anesthetic throat spray for temporary relief. A good mouth wash should be used to maintain oral hygiene, you can also use our home remedies.

2. Abscessed Tooth

Another painful cause of dental pain is an abscessed tooth, an infection in your tooth. If your tooth pain is keeping you awake at night it can be due to an abscess which is more than just a toothache. Those with weak immune systems often get them. The middle part of an abscess is painful when touched. You should not push your infected abscess as it forces the infection deeper into tissues. The pain can be avoided temporarily with painkillers or natural remedies, like chewing a whole clove or using a used tea bag. This condition cannot be treated with painkillers and you should see a dentist as soon as possible. Avoid very hot or cold food and drinks. A root canal is the usual recommended treatment.

3. Oral candidiasis (Thrush)

This is a fungal infection of the oral mucosa caused by poor dental health, local trauma, diabetes, severe anemia, malnutrition, deficiency of iron, folate and vitamin B12, immuno-suppression, smoking, or drug use. It causes pain when eating and drinking and alters the sense of taste. Consult your doctor regarding the pain and its possible cause.

4. Painful tongue

A sore tongue can be caused by oral thrush or anemia. If you are feeling pain on your tongue without having bitten or burnt your tongue, its recommended to see your doctor. If you wear dentures clean them as often as you would clean your original teeth. Dentures should be brushed before soaking them to remove food particles. Its important to maintain good oral hygiene.

5. Gum Gingivitis or sore gums

Painful gums may be due to inflammation of gums known as gingivitis. There are several causes including hormonal changes during pregnancy. Its important to take care of your gums and keep them healthy. You can massage your gums with your finger tip. If the pain persists consult your doctor and should treat it accordingly. Pain in gums is also caused by localized sores.

(08/19/2024)
by The Positive Side of Medicine

More Information: https://www.positivemed.com/2014/02/05/5-mouth-conditions-can-cause-pain/


Views: 307
Share
Share

Mouth Pain: Does It Always Require A Dentist?

Oral pain may arise due to a number of reasons besides dental issues. However, seeing as how dental issues are the most prevalent in that area of the body, most people immediately assume a mouth problem is a dental problem.

Do all instances of mouth pain require a visit to the dentist, though? Not necessarily… but in almost all instances, having a dentist check out what’s going wrong in your mouth can prove useful.

Not quite sold? Consider this: nearly 90 percent of diseases may cause symptoms in your mouth. Ninety percent!

Even if you are not ultimately dealing with something that is strictly a “dental” problem, getting a dentist’s professional opinion on your mouth pain is generally worthwhile.

Some general symptoms to look out for when caring for your oral health are:

Tooth, jaw, or gum pain

Teeth that are exhibiting looseness

Bad breath that recurs on a daily basis

Lumps, irregular patches, sores, and bruises in your mouth

If any of these symptoms are noticeable, you should consult with your dentist right away. They’ll either treat the issue or consult you to another healthcare professional for further treatment.

Let’s look at some specific types of mouth pain.

Toothache

Toothaches are the most prevalent form of dental pain. They are caused by the decaying of one’s teeth, abscessed teeth, gum infection, repetitive motions such as grinding teeth, fractured or sensitive teeth, and damaged fillings.

Symptoms of toothache include drainage from the affected tooth, headaches with a low fever, swelling in the gums or around the tooth, and – of course – pain in the tooth. This pain may be dull, throbbing, sharp, constant, or irregular. In some instances, pain may only result if pressure is applied to the teeth.

Does a toothache require a dentist? If it is severe, persists for more than a couple of days, and causes pain in your head, ears, jaw, or cheeks when you open your mouth – you better believe it!

Sore or Bleeding Gums

Bleeding gums often indicate an underlying problem, such as an oral injury, complications arising due to pregnancy, brushing one’s teeth too vigorously, or inflammation. Sore gums can also be an indication of gum disease or gingivitis. If left untreated, this may develop into periodontitis.

They can also be an indication of some underlying condition, such as diabetes.

A visit to the dentist will tell you if you have gum disease and whether you need some advanced dental treatment, such as scaling or root planting. The dentist may refer you to another healthcare professional if the issue is a symptom of something else, such as oral thrush, or a gynecological issue resulting from pregnancy or menopause.

Lumps, Patches, Mouth Sores

Generally, these are a sign that you are suffering from either canker sores or fungal infection. However, they can also be a symptom of oral cancer, some signs of which may include: bleeding sores that do not heal, lumps inside your mouth, discolored tissue, shifting of teeth, and rough spots within your mouth.

Mouth Inflammation

Mouth inflammation causes pain, heat, swelling, and redness inside your mouth. There are two types of inflammation: acute and chronic.

Acute inflammation is caused by burning your mouth. For example, by consuming hot beverages. In most acute cases, the inflammation heals within a few hours. You do not need to get medical help except in the most serious cases of acute inflammation.

If you suffer from chronic inflammation, however, it’s better to get it checked by a dentist.

Why? Because chronic inflammation can be related to gum disease or something more serious, such as mouth cancer. Chronic inflammation can also be a symptom of heart disease or diabetes and may occur if you’re having a stroke.

Burning Mouth Syndrome

Burning Mouth Syndrome refers to the sensation of burning on your tongue, the roof of your mouth, or the inside of your cheeks. It’s characterized by a scalding sensation. If the pain doesn’t go away or worsens, you should see your dentist about it as soon as possible.

In some cases, it is related to stress, anxiety, and depression. In other cases, it’s linked to allergic reactions to toothpaste, mouthwash, or the material that dentures are made of. It might indicate a problem with one’s immune system, a hormonal imbalance, or nerve damage.

(08/20/2024)
by South Florida Dental Care

More Information: N


Views: 395
Share