Dentists Journal

Top Ten Stories of the Week
11/23/2024

All Dentists Journal · Previous Week · This Week · All Time List · Headlines

Share

Easy Tips to Prevent Gum Disease

Like tooth decay, gum disease is preventable. You can avoid serious oral health problems by improving a few habits and being more diligent about your dental care. Gum disease can affect people of all ages. It can also contribute to infections, tooth loss, and other concerns. Your dentist can help you avoid this condition and treat the disease if it starts to develop. It is important to pay attention to some basic prevention tips.

The effects of gum disease

Before understanding how to prevent gum disease, individuals should recognize what it can do to the body. Gum disease starts out as a more minor condition called gingivitis. This is when the gums become red, start to swell, and begin to bleed. If the patient does not address these issues, periodontitis can result. This more serious form of the disease causes the gums to shrink, exposing more of the tooth. This creates gaps where bacteria can hide.

Eventually, bone loss can occur, which can cause the teeth to become loose and fall out. The bacteria can cause infections in the mouth and throughout the body. If the bacteria get into the bloodstream, it can cause heart problems. Strokes and heart attacks can result.

Brush often

Dentists tell patients of all ages to brush their teeth regularly. People who brush at least twice a day are more likely to stay away from gum disease. Individuals should use a soft-bristled brush and fluoride-based toothpaste. It is effective to brush before bedtime and in the morning. Brushing after mealtime is important too. Brushing will prevent the buildup of plaque and removes food particles from the gumline and in between teeth.

Floss daily

It is common for dental patients to report to the dentist or hygienist that they do not floss often enough. Flossing every day will keep gums healthy. This habit will dislodge food and other debris from in between teeth. It keeps the gums from becoming inflamed and receding. Flossing will help individuals to avoid tartar buildup and the severe problems that can follow.

Make and keep dental appointments

Some people may not recognize gum disease. The dentist will have the knowledge and training to diagnose the condition. Semiannual dental checkups are a good opportunity for the dentist to examine the patient and look for signs of gingivitis or periodontitis. Not only will the hygienist clean the gums and teeth, but the dentist can offer advice on how to brush and floss more effectively. Consistently going to the dentist’s office will help the patient to stay on top of these good habits.

Strengthening your gums does not have to be difficult

The effects of gum disease can be severe. You can avoid these negative consequences by following a daily regimen of good oral hygiene. If you are not brushing and flossing every day, start today. Make sure you are going to the dentist’s office for a cleaning at least twice a year. Doing these things can significantly improve your oral health.

(11/15/2024)
by New Foundation Dental Implant Centers

More Information: https://newfoundationdentalimplantcenters.com/blog/easy-tips-to-prevent-gum-disease/


Views: 394
Share
Share

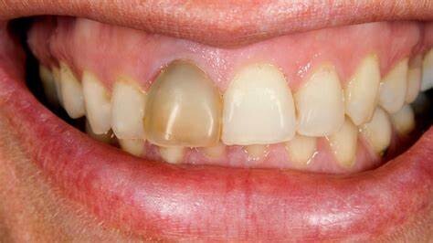
What is a Dead Tooth and Will it Eventually Fall Out?

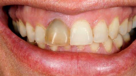
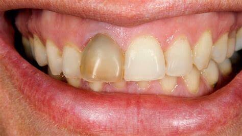
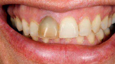
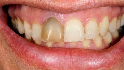
Did you know that teeth are alive? It’s true! Although the outer surface of a tooth is made up of hard enamel, the interior is full of pulp, connective tissue that provides a supply of fresh blood to the whole tooth. There are also nerves in this pulp that can become damaged and stop working as a result of dental decay.

When the nerves in a tooth stop working, they cease their function of providing blood to the tooth. Subsequent infection can cause the nerve to die. The tooth may remain in place, but it is no longer vital. One of the first signs of a dead tooth is that it becomes discolored. It may or may not be painful.

A tooth can also die as the result of trauma or injury to the mouth.

Will a Dead Tooth Fall Out on its Own?

It is important to remember that it can take months or years for a tooth to die. Once a tooth is non-vital, it will eventually fall out, but this process is not one that can be predicted in advance. It is much better to see your dentist and get treatment for a dead tooth.

The reason treating a dead tooth is so crucial? The bacteria from the dead tooth can spread to other teeth and cause further problems. Those teeth are at a higher risk of infection. Likewise, the gums and even the jawbone can be harmed. Getting dead tooth treatment from your trusted family dentist helps prevent these dangers.

Treatments for a Dead Tooth

There are two main courses of treatment for a dead tooth:

1. Root CanalIn a root canal, the interior pulp of the tooth is removed and bacteria inside is cleaned away. Once the interior has been completely cleaned, it is filled with an inert substance. In most cases, this is the most effective way to maintain a tooth after severe infection.

2. Dental ExtractionIn an extraction, a damaged tooth is removed completely. This may be necessary if the tooth is no longer structurally sound or it presents a continuing risk of infection. Once the tooth has been extracted, the patient can consider installation of an artificial replacement tooth.

While a dead tooth may fall out on its own, you should never leave it up to chance. For expert dental care, contact your Dentist today.

(11/15/2024)
by Coscarella Family Dentistry

More Information: https://www.coscarelladentistry.com/what-is-a-dead-tooth-and-will-it-eventually-fall-out


Views: 419
Share
Share

What To Do In The Event Of Tooth Damage Or Decay

Nothing could be as painful as having a damaged, broken or infected tooth. The pain it causes is unbearable. Sometimes such damaged teeth even cause bleeding while brushing. So if you are suffering from such an extreme phase of tooth damage then remember one thing you are not alone. There are a lot of people in this world who have unbearable stubborn dental issues. But here we have some rays of hope too. Here we got you covered with a to-do list that you must follow whenever you suffer from such pain even tooth damage.

Consult A Dentist As Quickly As Possible

Toothache is not the only sign of teeth damage. Toothache has some other signs too, such as holes in between the teeth. A delayed tooth mostly has some black spots on it and suddenly increased teeth sensitivity. Also, another strong sign of tooth decay is intense tooth pain at the night. If you are experiencing any of these symptoms then visit a professional dentist London and let them assess your tooth’s condition. This would be the first base of treatment.

Add Calcium-Based Foods To Your Diet

A common reason for tooth decay is a lack of calcium. If you don’t have enough calcium in your diet your teeth may start decaying even at a very young age. So here we advise you to add some calcium-based foods like soybeans, green vegetables, nuts, figs and more. Also, your dentist may prescribe calcium tablets to you so that your teeth can restore the lost calcium fast.

Go For The Best Dental Procedure

Today we are fortunate to have so many options for dental treatments that can recover us from tooth decay. A dental implant is one of the most effective treatments for tooth decay in this field of dentistry. But it must be performed by a reliable dentist London. They will replace your decayed tooth with an artificial one so that you can get back your needed tooth.

Focus More On Dental Hygiene

Focus more on regular dental care. Always use fluoride-based toothpaste if you are experiencing signs of tooth decay. Also, adopt the habit of using a medicated mouthwash. Rinse your mouth rightly after having your food. Do not forget to brush your teeth at least twice a day. This can give you a healthy set of teeth and prevent every risk of tooth decay.

Stop Eating Sugary Foods

Eating too many sugary foods can cause an acidic reaction in your mouth and can lead to tooth decay. So stop yourself from eating sugary foods especially sugary drinks, and hard candies.

Thus to conclude, following these tips will stop tooth decay and make your teeth stronger. We hope it will work and give you a set of healthy teeth.

(11/16/2024)
by Say No To Arctic Drilling

More Information: https://saynotoarcticdrilling.org/what-to-do-in-the-event-of-tooth-damage-or-decay


Views: 520
Share
Share

How Long Does it Take for a Tooth Extraction to Heal with Stitches?

Have you ever wondered why someone might initially need to have a tooth extracted? Maybe you’re looking for professional aftercare advice for a speedy recovery. Teeth extraction healing is a vital phase, and understanding the timeline is essential for every patient.

Tooth extractions with stitches can be a concerning but necessary procedure. Understanding the process, the reasons behind it, and the vital steps to promote healing is crucial. Furthermore, understanding the surgical procedure, the scenarios that lead to this treatment, essential aftercare tips, and the foods to avoid to ensure a smooth and speedy recovery. 

What is the Procedure of Surgical Tooth Extraction?

The meticulously prepared surgical tooth extraction procedure ensures a safe and successful tooth removal. The precautions that dentists take to assure your comfort and a successful extraction are numerous. 

The surgical tooth extraction procedure involves precise steps, including anesthesia, incision, tooth removal, and stitching to ensure a smooth recovery.

The target area in the mouth is numbed with anesthetic, a precise incision is made to reach the tooth, and occasionally the tooth is cut into smaller pieces for simpler removal. After that, the wound is closed with stitches. Patients feel more at ease because of this thorough treatment, which guarantees a quick and effective extraction.

Why Would a Person Need a Tooth Extraction?

It’s critical to comprehend the rationale behind tooth extractions. People may need to have teeth extracted for several reasons, including serious tooth decay, gum disease, impacted wisdom teeth, or orthodontic requirements. Patients who are having this surgery can better understand its value to their overall dental health by going over these scenarios.

What are the Aftercare Tips to Follow?

A quick and painless recovery requires adequate aftercare following your surgery. First and foremost, it’s essential that you adhere to all the instructions that your dentist or oral surgeon provides; doing so will help you avoid potential injuries like infection or cavities. 

With that said, it is normal to experience some symptoms upon the conclusion of your appointment. This includes soreness and swelling. To manage any pain, you will be able to take over-the-counter medications like Advil and Tylenol. Avoid eating hard/crunchy foods, and maintain practicing good dental hygiene. Attending check-ups so your dentist can evaluate how your healing is important as well. 

Foods to Avoid After the Surgery

Your food considerably influences the healing process. It’s best if you avoid items that could negatively interfere with or stall the healing process, such as: 

•Popcorn 

•Acidic substances (ie: lemon juice, orange juice)

•Spicy foods

•Alcohol 

•Nuts and seeds 

•Crunchy snacks (ie: chips, crackers

•Chewy foods (ie: jerky and sticky taffy)

•Foods high in sugar

A major component of achieving a speedy recovery is maintaining dietary awareness. Knowing the tooth extraction recovery time empowers patients to plan and manage their post-extraction healing effectively.

(11/16/2024)
by Dentus Family Dental

More Information: https://www.dentusfamilydental.com/how-long-does-it-take-for-a-tooth-extraction-to-heal-with-stitches/


Views: 402
Share
Share

A Natural Alternative to Medication for TMJ Pain Relief

Jaw pain might seem minimal and easily treatable, but it can cause big problems. A whopping 10 million people in the United States suffer from a TMJ disorder. TMJ refers to the temporomandibular joint of the jaw. A TMJ disorder, also referred to as TMJD or TMD, is the pain and problems related to the jaw joint. TMJ disorders can bring about excruciating pain, so much so that sometimes speaking, chewing, and yawning without discomfort is impossible. Jaw problems can also affect your quality of sleep and may result in sleep disturbances like clenching or grinding of the teeth and sleep apnea.

When you get a TMJ disorder diagnosis, your course of treatment will depend on the cause of your jaw pain. But the usual pieces of advice you might be given are “just wait, and it will get better on its own” or “stop chewing gum” or “don’t clench your teeth.” There is no standard suggestion when it comes to the right treatment options.

Possible Sources of TMJ Pain

TMJ is one of the most used and complex joints in the body. It attaches the mandible (the lower jaw), and the temporal bone of the skull. What makes it unique? It is a hinge and gliding joint, meaning it can move in different ranges of motion. It can hinge open and close, move from left to right, and glide backward and forward.

TMJ disorders are categorized into three types:

Problems with the muscles responsible for jaw movement

Arthritis in the TMJ which can be due to inflammation or degeneration

Issues with the jaw joint itself, which can include pain caused by a dislocated jaw, damaged or displaced articular disc, or injury to the condyle, the part of the mandible that inserts into the temporal bone of the skull.

Anyone can experience one or more of these conditions at once, making jaw disorders even more challenging to deal with.

Symptoms of TMJ Disorders

People experience TMJ disorders differently. Symptoms vary from person to person and based on where the problem stems from. If the jaw itself is involved, the TMJD symptoms may be more noticeable:

Limited movement or locking of the jaw

Upper and lower teeth that don’t fit together

Presence of clicking, grating, or popping sounds when opening or closing the mouth

Bruxism, or grinding of the teeth

Pain in the muscles that control jaw movement (within the jaw itself, near the temples, and around the ears)

Other symptoms of TMJD may also go beyond these and may affect other parts of your body:

Neck pain

Headaches or migraines

Earaches

Tinnitus, or ringing in the ears

At first, these symptoms might seem unconnected to your jaw problem. However, when you understand the anatomy of the jaw, its functions, and movements, it would make sense how these symptoms can be part of your disorder.

These symptoms may intensify after chewing food, during stressful events, or when you obtain an injury to the head, neck, or jaw.

TMJ Pain Treatment Options

To ease your TMJ disorder and the symptoms accompanying it, your doctor might recommend medications and home remedies, including the following:

Anti-inflammatory medications

Over-the-counter pain relievers

Muscle relaxants

Applying ice or heat

Following a soft food diet

Jaw exercises to stretch and strengthen the jaw

Stabilization splints or mouth guards

A Natural, Sustainable Treatment Alternative for TMJ Disorders

Many TMJD sufferers spend weeks or even months chasing symptoms, and it can get frustrating. If you are one of those people who feel like you have exhausted all your options to find long-lasting relief, there is still hope for you.

Another option for people with TMJD that is gaining acceptance and popularity is upper cervical chiropractic care. It is a unique subset of chiropractic that concentrates on the link between the head and neck. Little do people know, the C1 (atlas) vertebra is positioned just behind the jaw on both sides of the face. This atlas vertebra allows the head to move in many directions, and is near enough to the jaw and inner ear to cause problems in this area. This explains why jaw problems are often accompanied by a head, neck, face, and ear symptoms.

The atlas is prone to misalignment due to its location and mobility. This will most likely occur if you have had an accident or injury to the head or neck. If the atlas misaligns, it can negatively impact the jaw by causing uneven muscle tension on either side of the face, which can result in irritation of the nerves of the muscles that control the jaw and postural changes that put more stress on the jaw.

Our team here at Symmetry Health Chiropractic Center in Cedar Park, Texas, offers a natural and sustainable solution to the underlying cause of jaw disorders through the assurance of proper atlas alignment. When we can identify and correct the very specific atlas misalignments in our patients, they see a reduction in their jaw pain and discomfort as well as the elimination of the symptoms associated with jaw disorders such as neck pain, headaches, and earaches.  Contact us or visit our chiropractic clinic in Cedar Park to learn how our gentle and accurate method can be part of your recovery from TMJ disorder.

(11/19/2024)
by Symmetry Health Chiropractic Center

More Information: https://symmetryhealthchiropractic.com/natural-medication-tmj-pain-relief/


Views: 445
Share
Share

Mouth Problems: How to Remedy Difficulty When Eating

Many people experience mouth problems that make eating difficult. These problems can make mealtimes a pain, whether it’s due to gum disease, tooth decay, or dry mouth. Some people may even find that they’re losing weight because they’re unable to eat as much as they used to. However, there are ways to remedy the situation. This blog post will explore some of the most common mouth problems and how to fix them.

Gum Disease

Gum disease is an infection that causes swelling, redness, and bleeding. If left untreated, it can lead to tooth loss. The best way to prevent gum disease is to brush and floss regularly. If you already have gum disease, your dentist may recommend deep cleaning or surgery.

You want to avoid gum disease not just for your teeth but also for your overall health. Gum disease has been linked to heart disease, stroke, and other health problems. If you’re having trouble with your gums, see a dentist as soon as possible. Some treatment options can help improve your gum health, from deep cleanings to surgery.

Missing Teeth

Missing teeth can make eating difficult, especially if they’re in the front of your mouth. If you have missing teeth, there are a few options for replacement, including dentures, implants, and bridges. Dentures are the most affordable option and can be removed for cleaning. Dental implant surgery is more expensive but gives you a more natural-looking tooth. Bridges are usually used when you have healthy teeth on either side of the missing tooth.

Regardless of your choice, it’s essential to replace missing teeth. This will help you eat better and also improve your smile. It would help if you talked to your dentist about which option is best for you.

Tooth Decay

Tooth decay is caused by bacteria that eat away at the enamel of your teeth. It can cause pain, sensitivity, and tooth loss. To prevent tooth decay, brush your teeth twice daily and avoid sugary foods and drinks. Your dentist may recommend a filling or crown if you already have tooth decay. Some tooth decay can be repaired at home with a filling kit, but more severe cases require a dental visit.

If you have a tooth that is severely decayed, it may need to be extracted. This can be a painful process, but getting rid of the decay is essential before it spreads to other teeth. Your dentist will numb the area before extracting the tooth to minimize discomfort.

Dry Mouth

Dry mouth is a condition in which there is not enough saliva in the mouth. It can be caused by certain medications, medical conditions, or simply not drinking enough water. A dry mouth can cause difficulty eating, as well as bad breath. To treat dry mouth, drink plenty of water and chew sugarless gum or candy. You may also need to take medications or use artificial saliva products.

Your teeth and gums need saliva to stay healthy. Saliva helps wash away food and bacteria and contains minerals that help keep teeth strong. If your teeth are damaged by decay, it’s more difficult for saliva to repair the damage. This is why it’s essential to keep your mouth moist by drinking plenty of water and using artificial saliva products if needed.

Misaligned Teeth

Some people have teeth that are not aligned properly. This can make it difficult to bite and chew food. If your teeth are misaligned, you may need to see an orthodontist for treatment. Treatment options include braces and clear aligners.

If you have misaligned teeth, you may not need treatment if it doesn’t cause pain or discomfort. However, if your teeth are making eating difficult, you should talk to your dentist or orthodontist about treatment options.

Sensitive Teeth

Sensitive teeth may hurt when exposed to hot or cold temperatures. It can also be sensitive to sweet, sour, or acidic foods and drinks. Sensitive teeth can be caused by gum disease, decay, or worn tooth enamel. To treat sensitive teeth, use toothpaste for sensitive teeth and avoid foods and drinks that trigger the pain. You may also need to see your dentist for professional treatment.

You should also avoid foods and drinks that are acidic or high in sugar, as these can contribute to tooth decay. See your dentist for an evaluation and possible treatment if you have sensitive teeth.

There are ways to remedy the situation if you’re experiencing difficulty eating due to mouth problems. Gum disease, tooth decay, and dry mouth are all common issues that can make eating messy or painful. However, by brushing and flossing regularly, avoiding sugary foods and drinks, and drinking plenty of water, you can help keep your mouth healthy and free from problems. If you experience difficulties, talk to your dentist about possible treatments such as fillings or crowns.

(11/19/2024)
by B2cafe

More Information: https://b2cafe.com/mouth-problems/


Views: 352
Share
Share

Symptoms Of A Tooth Infection Spreading To The Body

Toothaches and infections are prevalent worldwide, affecting people of all ages and backgrounds. The pain associated with a toothache can be debilitating, often indicating an underlying infection. Such infections can stem from untreated dental decay or trauma, leading to potential complications if left unchecked. The risk of a spreading tooth infection is particularly concerning, which can result in severe pain, swelling, and even systemic illness if the bacteria enter the bloodstream. Recognizing Symptoms Of A Tooth Infection, such as persistent pain, swelling, and fever, is crucial for prompt treatment and preventing further complications.

Signs of a Tooth Infection

1. Persistent Tooth Pain: Continuous, throbbing pain in the affected tooth or surrounding gums is a common indicator of an infection.

2. Swelling: Swelling of the gums, face, or jaw near the infected tooth can occur due to inflammation and the body’s immune response.

3. Sensitivity to Temperature: Increased sensitivity to hot or cold foods and beverages may signal a dental infection as the tooth’s nerves become more exposed.

4. Bad Breath or Taste: Foul breath or a persistent unpleasant taste in the mouth can result from the accumulation of bacteria associated with the infection.

5. Fever: A low-grade fever may develop in response to the body’s efforts to fight the infection, signaling a more serious systemic response.

Symptoms Of A Spreading Tooth Infection

1. Fever and Chills: As the body’s immune response kicks into high gear to combat the infection, a fever may develop, accompanied by chills as it attempts to regulate its temperature.

2. Increased Heart Rate and Breathing: The infection’s spread can trigger an increase in heart rate and breathing as the body works harder to cope with the invading bacteria and the resulting inflammation.

3. Swelling beyond the Face: In severe cases, the infection can extend beyond the immediate area of the affected tooth, leading to swelling in the neck or cheeks as nearby tissues become inflamed.

4. Gastrointestinal Symptoms: Nausea, vomiting, and diarrhea may occur as the body reacts to the toxins released by the infection, potentially disrupting normal digestive function.

5. General Malaise: Patients may experience a general feeling of being unwell, often characterized by fatigue, weakness, and a lack of energy as the body fights the infection.

6. Difficulty Breathing: In severe but rare cases, significant swelling in the neck or throat can lead to difficulty breathing, which requires immediate medical attention.

7. Confusion: In severe systemic infections, confusion or altered mental status can occur due to the body’s inflammatory response affecting the brain.

Wrap Up!

Recognizing the symptoms of a tooth infection is paramount as it signifies a potential spreading infection, which can lead to serious health complications if left untreated. Promptly seeking professional dental help, such as that provided by Ortega Cottage Dentistry, is crucial in preventing the infection from worsening and safeguarding overall health. Ignoring these signs can result in severe pain, systemic illness, and even life-threatening conditions. Don’t wait until it’s too late. 

(11/20/2024)
by Ortega Cottage Dentistry

More Information: https://www.ortegacottagedentistry.com/symptoms-of-a-tooth-infection/


Views: 485
Share
Share

What Are My Options If I Have Really Bad Teeth?

Unlock the door to increased confidence and oral vitality as we begin a transformational dental adventure. The weight of serious dental disorders disappears in a world where smiles speak volumes, revealing a route filled with breakthrough therapies and life-changing possibilities. This introduction allows you to delve into therapeutic operations, orthodontic miracles, and practical lifestyle modifications that offer more than just bad teeth rejuvenation but also a bright, self-assured smile. 

Accept the power of transformation as we explore the solutions accessible to people looking to revitalize their oral health and recover their joyful expressions.

Common causes of dental issues

Indeed, several factors can contribute to severe dental issues. Here are some common causes:

1. Poor Oral Hygiene:

Inadequate brushing and flossing can lead to the accumulation of plaque and tartar, promoting the growth of harmful bacteria. Over time, this can result in cavities, gum disease, and other dental problems.

2. Genetic Factors:

Teeth strength, jaw structure, and vulnerability to specific dental disorders can all be influenced by genetic predisposition. Some persons may be more susceptible to gum disease or cavities due to their genetic makeup.

3. Dietary Habits:

Consuming a diet high in sugar and carbohydrates can contribute to plaque formation, leading to tooth decay and cavities. Additionally, acidic foods and beverages can erode tooth enamel, increasing the risk of dental problems.

4. Lack of Regular Dental Checkups:

Skipping regular dental checkups and cleanings can allow dental issues to progress undetected. Early detection of problems allows for timely intervention and prevention of more severe conditions.

5. Tobacco Use:

Smoking and using other forms of tobacco can contribute to gum disease, tooth decay, and other oral health issues. Tobacco use can also hinder the healing process after dental procedures.

It’s important to note that many severe dental issues are preventable through good oral hygiene practices, regular dental checkups, and a healthy lifestyle. Additionally, early intervention is key to addressing dental problems before they become more serious.

Options For Restorative Procedures:

Treatments like dental implants and crowns provide hope for patients with serious dental difficulties. These treatments restore functioning and the radiance of a healthy, confident smile. 

Examine these choices for rebuilding and rejuvenating even the most difficult dental issues. Here are some options for correcting your dental flaw:

1. Dental Implants:

Dental implants are a breakthrough tooth replacement treatment, offering a strong base for new teeth. With digital equipment boosting precision and minimizing surgical time, new technology has enhanced planning and placement. 

Endosteal dental implants are preferable because they stimulate the jawbone directly. 3D Navigation Implant Surgery (X-Nav) is a cutting-edge technique for surgically implanting dental implants.

2. Dental Crowns And Bridges:

Dental crowns are custom-made caps that fit over broken teeth and provide strength and looks. Bridges fill the gaps left by lost teeth, improving look and functioning. CEREC, a dental gadget, creates crowns in the dentist’s office using computer-aided design and production. 

A crown is preferable for decaying teeth, whereas a bridge is preferred for missing teeth.

Also Read: Basics of Dental Crowns & Bridges

3. Full Or Partial Dentures:

Dentures are removable dental prosthetics used to replace missing teeth, with current advances assuring a comfortable fit and a natural appearance. Flexible partial dentures constructed of lightweight thermoplastic material are the most recent advancement in partial denture technology. 

These lightweight dentures, which rely on natural teeth to support them, are advised for individuals who do not have complete dentures.

Orthodontic Solutions:

Orthodontic treatments, such as braces and orthognathic surgery, attempt to achieve a harmonious smile by addressing structural defects and improving the dental landscape, converting misalignments into confident grins. Here are some ways to restore your smile: 

1. Braces:

Misaligned teeth can create dental issues as well as cosmetic issues. Traditional braces, as well as modern options such as Invisalign attachments, can fix alignment problems. 

Clear, detachable aligner trays are used by Invisalign, and modern technology, including digital scanning and 3D printing, makes orthodontic treatment more efficient and pleasant. Invisalign and ClearCorrect are two well-known brands.

2. Orthognathic Surgery:

Orthognathic surgery is advised for severe jaw and facial structural misalignment to improve function and beauty. It entails repositioning the maxilla and mandible to an anatomically right position, allowing for proper occlusion, airway opening, and facial symmetry. 

This method compensates for defects and can be advanced or retracted to find the optimal position of the maxilla.

Lifestyle Changes And Preventive Measures:

For good oral health, lifestyle adjustments and preventative actions are essential. These include better dental hygiene and nutritional changes, which promote a holistic approach to preventing problems and maintaining a healthy grin.

1. Improved Oral Hygiene:

The foundation of dental health is consistent and comprehensive oral care. Brushing, flossing, and seeing the dentist regularly are all important behaviors that can help avoid additional deterioration and contribute to the effectiveness of therapeutic operations.

2. Dietary Adjustments:

Dietary changes are critical to oral health. Reducing your intake of sugary foods and beverages lowers your risk of tooth decay, while eating a well-balanced diet rich in vitamins and minerals protects your teeth and gums. 

Individuals may actively contribute to preventing dental diseases and enhance general oral well-being by developing nutritious habits.

Our investigation into the fabric of dental renewal uncovers a symphony of transforming options—restorative surgeries, orthodontic marvels, and the power of proactive choices. Pursuing these options may restore oral health and the confidence to light up the world with a beautiful grin. Remember that consultation is the compass that will lead you on your voyage. 

 

Severe dental difficulties do not have to be a barrier; they may be stepping stones to a more empowered, revitalized self. Begin your journey with the confidence that, with expert direction and educated decisions, you will find your way to a brighter, healthier smile—a monument to every confident grin’s resilience and transformational potential.

(11/20/2024)
by Ortega Cottage Dentistry

More Information: https://www.ortegacottagedentistry.com/what-are-my-options-if-i-have-really-bad-teeth/


Views: 548
Share
Share

Can a Tooth Infection Affect Another Part of Your Body?

Leaving an abscessed tooth untreated can lead to serious, even life-threatening conditions.

An infected tooth can lead to an abscess. If left untreated, it can affect other parts of your body. What are the symptoms of a tooth infection? And what leads to it spreading to another part of your body?

If you are worried about a potential tooth infection, call The Dental Anesthesia Center. Don’t wait for the symptoms to disappear or risk a secondary infection.

Causes of Tooth Infections

A tooth infection is caused when bacteria enter the inner tooth by means of a cavity or chip in the tooth. An infection can lead to an abscess, or pocket of pus, at the tip of the tooth’s root. The dental pulp is the most susceptible to infection as it contains nerves, blood vessels, and connective tissues. If an abscess is left untreated, it can degenerate into more dangerous health issues. The infection can spread to surrounding bones and supporting tissues if not immediately treated.

Common causes of tooth infections include:

Cavities

Broken tooth

Damaged dental work

Excess plaque

Dry mouth

Compromised immune system

Injured teeth or gums

Gum disease and gingivitis

Poor dental hygiene

Smoking or chewing tobacco

Symptoms of a Tooth Infection Spreading

First of all, it’s rare for tooth infections to spread to other parts of the body. An abscess would have to go untreated for weeks or months to spread. This is typically an area of concern for special needs individuals, such as those with Alzheimer’s, autism, or an autoimmune disease.

If you or your loved one have a tooth infection, how do you know if it’s affecting other parts of the body? Symptoms to watch for include:

Feeling sick

Swelling of gums, neck, cheeks, or tongue

Fever

Rancid taste in the mouth

Constant bad breath

Difficulty swallowing

Higher heart rate

Tender or swollen lymph nodes

Increased breathing rate

Confusion

If you believe you have developed a systemic infection from a tooth abscess, call your dentist immediately or go to the nearest emergency room!

(11/21/2024)
by The Dental Anesthesia Center

More Information: https://www.dentalsleepstlouis.com/can-a-tooth-infection-affect-another-part-of-your-body.html


Views: 383
Share
Share

Do Dental Implants Help With Bone Loss?

Dental implants are small, titanium posts surgically placed into the jaw bone beneath the gums. Once in place, they allow your oral surgeon to securely attach artificial replacement teeth. They are an option for people who have lost or are missing one or more teeth due to periodontal disease, bone loss, or injury.

Dental implants are commonly used to support crowns, dental bridges, and dentures. Unlike other options, dental implants are designed to fuse with your bone, providing a strong and secure foundation for your artificial teeth.This also contributes to the preservation of facial appearance.

While dental implants are a great way to replace missing teeth, most people wonder if they help with bone loss. In this blog post, we’ll take a look at what causes bone loss and how dental implants can help prevent it. We’ll also talk about some limitations of dental implants.

We hope this information will help you make an informed decision about your oral health.

Why Does Bone Loss Occur in the Jaw?

When a natural tooth is lost or removed, the bone that supports it loses stimulation and begins to shrink. This mechanism of bone loss is called remodelling and is a natural process that occurs throughout our lives. It allows us to heal from fractures and maintain healthy bones as we age.

However, this process can result in significant bone loss in the jaw following tooth loss. Over time, this can change the shape of the jaw and facial structure and affect the way the teeth bite together. In addition, it can make dental implants difficult to place.

There are several reasons why bone loss occurs more rapidly following tooth loss. These include the following:

The removal of a tooth causes immediate trauma to the jawbone.

No tooth roots or chewing force stimulate the jawbone. 

Periodontal disease can cause bone loss by destroying the bone around the teeth.

Regardless of the cause, once bone loss starts, it tends to progress quickly unless action is taken to stop it.

Oral surgeons can use various techniques to prevent or address jawbone loss following tooth extraction. These include grafting bone from another area of the body or using artificial materials to replace lost bone.

In addition, medications may be used to improve bone density or slow down the remodelling process. Dental implants may be the ideal option for restoring function and preventing further jawbone loss for patients who have already lost significant amounts of bone.

Understanding the mechanism of bone loss and seeking implant treatment early makes it possible to maintain a healthy jawbone even after losing teeth.

How Does a Dental Implant Help With Bone Loss?

Dental implants are one way to help prevent the decrease in bone density that comes with tooth loss. By surgically placing a titanium screw into the jawbone, an oral surgeon can effectively replace the root of a tooth. This acts as a sturdy foundation for a new tooth while providing stimulation to the jawbone, preventing further deterioration and preventing the sunken appearance of the face. As a result, dental implants offer an effective solution for patients struggling with bone loss.

Can a Patient With Bone Loss Still Get Dental Implants?

While it may seem like dental implants are out of the question for someone with bone loss, that’s not necessarily the case. Bone loss does not automatically mean you can’t have dental implants.

With today’s advanced techniques and experienced surgeons, it is possible to get dental implants, even if you have bone loss. The key is to address the underlying cause of the bone loss and provide enough bone to support the implant. This may require bone grafting or other surgical procedures before placing the implant to provide a solid foundation.

It is important to consult with an oral surgeon to assess your case and discuss whether or not implants are right for you.

Final Thoughts

Dental implants prevent bone loss, preserve oral health, and promote bone growth.

Because they are surgically embedded into the jawbone, dental implants provide a root-like structure that helps preserve bone mass. In addition, implants provide support for artificial teeth, which can help prevent further bone loss.

If you consider dental implants an option for restoring your smile, book an appointment through our website or call us today to schedule your consultation. Our team of dentists have years of experience providing quality dental care, and we would be honoured to help you achieve your smile goals.

(11/21/2024)
by Maylands Dental Centre

More Information: https://maylandsdentalcentre.com.au/blog/do-dental-implants-help-with-bone-loss/


Views: 382
Share