Dentists Journal

Top Ten Stories of the Week
1/23/2021

All Dentists Journal · Previous Week · This Week · All Time List · Headlines

Share

Can’t stop chewing on the inside of your mouth?

Cheek biting, also known as morsicatio buccarum, is a chronic condition characterised by repetitively biting the inside of the mouth.

Cheek biting, similar to nail biting, is a stress-related habit that stems from anxiety and obsessive compulsive disorder, and if left untreated, can lead to serious health concerns.

We speak to dental surgeon Dr Richard Marques about the common causes and potential health implications of cheek biting:

What is cheek biting?

Cheek biting is a self-injurious habit, which can be undertaken either accidentally or repeatedly on purpose, and is considered a mental health disorder if it interferes with your quality of life or causes serious injury or distress.

‘Cheek biting is relatively common especially in urban cities, such as London, where stress levels tend to be higher,’ says Dr Marques. ‘However, severe cheek biting and habitual cheek biting are more rare.’

Cheek biting causes

Common triggers include stress, anxiety and boredom. Previous research also suggests that body-focused repetitive behaviours such as this often begin in late childhood and can last throughout adulthood.

‘Sometimes it happens when people are grinding their teeth or eating,’ says Dr Marques. ‘Other times people chew their cheeks as a habit. Cheek biting is usually seen as lesions, which appear as white patches, on the inside of the cheeks that corresponds with the area where the teeth meet. It can also affect the lips and tongue, although the cheeks are the most common.’

Cheek biting dangers

Cases of cheek biting vary in severity, from one-off occurrences to deep and painful self-inflicted injuries. The primary consequence of biting the inside of the cheek repeatedly is injury to your mouth tissue, which can lead to mouth sores and ulcers.

Often, cheek biters have a favourite area to nibble away at, meaning that they repetitively break the skin in the same place inside the mouth.

‘Pain and ulcers are the most harmless outcomes,’ says Dr Marques. ‘However, ulcers can cause problems, as they are liable to get bitten again once formed.’

How to stop cheek biting

If you find yourself persistently biting the inside of your mouth, you might benefit from a bite-guard. Ask your dentist for advice.

‘If grinding is the issue then a bite-guard worn during the night, or even during the day, can help to stop the trauma on the cheeks,’ advises Dr Marques. ‘This is a semi-rigid device that prevents the teeth grinding on each other and also covers the sharp areas of the cusps; the biting surface.’

Stress and cheek biting

If it’s stress-related or an obsessive-compulsive issue, then you might benefit from cognitive behavioural therapy (CBT).

To minimise the damage done by cheek biting, give the following tips a go and see if they help:

Identify your triggers

Find yourself chewing away when you have a looming deadline or presentation? Once you know what sets you off, you can find something else to chew on, the most obvious choice being gum.

Use lip balm

Similarly, if it is a lip-biting problem, applying lip gloss or lip balm may help you abstain, or at least make you realise what you are doing.

De-stress

Lower your stress levels and provide alternative, healthy anxiety solutions such as regular exercise and meditation.

Try hypnotherapy

In some instances, hypnosis has been found to help with obsessive-compulsive habits. Find a hypnotherapist through the Professional Standards Authority.

(01/17/2021)
by Jenny L. Cook

More Information: https://www.netdoctor.co.uk/healthy-living/wellbeing/a27415/we-need-to-talk-about-cheek-biting/


Views: 1,573
Share
Share

Potato Chips Are Bad for Dental Health

erious damage your teeth. Plaque is a bacteria-filled sticky film that contributes to gum disease and tooth decay. After you eat a sugary snack or meal, the sugars cause the bacteria to release acids that attack the tooth’s enamel. When the enamel breaks down, cavities can develop.

Cavities cause complications like pain, chewing problems, and tooth abscesses. And if you don’t brush or floss your teeth, your plaque will harden and turn into tartar. Tartar above the gums can lead to gingivitis, an early form of gum disease.

The crunch of a potato chip is eternally satisfying to many of us. Unfortunately, they’re loaded with starch, which becomes sugar that can get trapped in and between the teeth and feed the bacteria in the plaque. Since we rarely have just one, the acid production from the chips lingers and lasts awhile. After you’ve gorged on a bag, floss to remove the trapped particles.

Potato chips, most often the paper-thin kind, sometimes cut the inside of the mouth. Potato chips break up in the mouth like tiny sharp shards, cutting the sensitive tissue on our gums and palates. Many of us have been a victim of the potato-chip gum cut.  

How can you prevent plaque from wreaking havoc on your mouth? Besides brushing your teeth at least twice a day and flossing and visiting a dentist regularly, try to avoid or limit snacking on potato chips!

(01/20/2021)

More Information: https://www.myokcdentist.com/potato-chips-are-bad-for-dental-health/


Views: 844
Share
Share

5 Causes of a burning feeling tongue

Does your tongue feel like it has just been scalded by hot coffee? You may have what is known as burning mouth syndrome (sometimes referred to as burning tongue syndrome).

There are multiple causes for this painful, burning sensation of the tongue, gums, palate and other areas of the mouth. The reason can be challenging to pinpoint as individuals can experience more than one cause at a time.

Make an appointment with your dentist or doctor to inquire what may be the cause, and how it can be remedied. The following are some of the minor causes of burning mouth syndrome.

1. Dry mouth

When your mouth does not have enough saliva to stay wet, you get that dry, sticky feeling known as dry mouth. This is another oral condition that can be caused by different factors, such as diseases that affect the salivary glands, some medications or natural hormonal changes. Chronic dryness can contribute to a burning sensation or soreness in your mouth.

Solution: Your dentist may recommend keeping your mouth moist by drinking more water and sucking on sugarless candy or chewing sugarless gum. Using a saliva substitute will also combat the dryness and keep your mouth healthy.

2. Nutritional deficiencies

A deficiency of some key nutrients can also be a source of your tongue tingles. Deficiencies of B vitamins and minerals including iron and zinc can contribute to burning tongue syndrome by affecting the health of your oral tissues.

Solution: Make sure you are eating a well-balanced diet with fresh fruits and vegetables, whole grains, dairy, nuts, seeds and healthy proteins. Talk to your doctor before taking nutritional supplements.

3. Mouth irritation

Drinking too many irritating beverages, over-brushing your tongue, and overusing your mouthwash can irritate mouth tissues.

Solution: If you are experiencing a burning sensation in your mouth, try to drink fewer or less acidic drinks.

Talk to your dentist about your oral hygiene habits to determine whether they could be causing some of the irritation.

4. Medication side effects

One of the possible burning tongue causes is the use of certain medications. Some drugs may cause soreness and dryness of the mouth.

Solution: Inform your doctor if you are having side effects due to medications you are taking.

5. Oral conditions

The burning can also be caused by another oral health condition, such as oral thrush, a fungal infection in the mouth. Or it could be geographic tongue, a condition as curious as it sounds which coats your tongue with a map-like surface.

Solution: Luckily, your dentist can navigate these strange territories, diagnose, and provide options to reduce the discomfort.

Fight the fire: final thoughts

While some of the possible causes of burning tongue are easy to identify, others aren’t so obvious. Hormonal imbalances, nerve damage and allergies are just some of the medical issues that can cause this condition.

But you can take steps to curb or quell this curious fire. Take good care of your oral and overall health with good oral hygiene habits, a healthy diet and regular dental appointments. Talk about your symptoms with your dentist, and find out if you need to see your doctor for further testing and diagnosis.

(01/18/2021)
by Colgate

More Information: https://www.colgate.com/en-in/oral-health/dry-mouth/5-causes-of-burning-tongue


Views: 767
Share
Share

What Health Problems Can Result in Bad Teeth?

Routine dental exams check your teeth and mouth, but your dentist also checks for other health problems that could be contributing to bad oral health.

Your oral health says a lot about what’s going on in the rest of your body, so if you have problems with your teeth it could be a sign of some of these other health problems:

High Blood Pressure

High blood pressure can contribute to gum problems, including red and bleeding gums and even gum disease. If you suddenly start experiencing problems with your gums, it’s a good idea to have your blood pressure checked.

Additionally, certain medications that treat high blood pressure can cause dry mouth. Dry mouth can lead to tooth decay because saliva helps eliminate bacteria on the teeth. 

Kidney Disease

Kidney disease is another health problem that is known to contribute to poor gum health, which can turn into a vicious cycle. Kidney disease negatively impacts the gums and in turn, chronic gum infections can cause inflammation in the kidneys and the rest of the body. 

Obesity

Obesity is linked to periodontitis, a severe form of gum disease. It starts as gingivitis, but over time can become far more serious. Those who struggle with obesity should take extra care to monitor and maintain gum health to avoid periodontal disease. 

Osteoporosis

Loose teeth in older adults is a sign of fragile and weakening bones. Dental x-rays can reveal a lack of density in the jaw which is a good indication of osteoporosis. Your dentist will refer you to a doctor if he suspects you might have osteoporosis. 

Diabetes

Diabetes is another disease that causes periodontal disease. Keeping your blood sugar under control can really help protect your gums if you have diabetes. Patients with both diabetes and periodontal disease are often referred to periodontists for treatment and might even need gum surgery.

HIV

Some of the earliest signs of Human Immunodeficiency Virus (HIV) are evident in your mouth. Thrush, a yeast infection in the mouth, can be an early sign of HIV. The virus can also cause herpes, mouth sores and gum disease. Although HIV itself isn’t curable, most of the oral symptoms are treatable with medication.

Anemia

Anemia is the condition of having too few red blood cells in the blood. Anemic patients usually have pale gums that might be sore to touch. The treatment for anemia depends on the cause, but if your dentist suspects you might have anemia they will refer you to the appropriate doctor.

There are many health problems that can result in bad teeth. If you suspect that your oral health is suffering due to an underlying illness, you should seek professional help right away.

(01/18/2021)
by Oral & Maxillofacial Surgery of Utah

More Information: https://www.oralsurgeryofutah.com/2020/12/10/what-health-problems-can-result-in-bad-teeth/


Views: 936
Share
Share

How Energy Drinks Ruin Your Teeth?

Chances are you’ve already gotten the message that overly sweet drinks can lead to tooth decay.

But what about highly acidic drinks?

Looks like that warning may have fallen through the cracks.

“A lot of people very proudly come into my dental office or the clinic at the dental school and say ‘You’ll be so proud of me. I’ve given up sodas. All I drink now are sports and energy drinks,’” said Poonam Jain, BDS, MS, MPH, vice dean for clinical education, operation, and community partnerships at the A.T. Still University Missouri School of Dentistry and Oral Health.

Jain told Healthline she has to find a way to diplomatically tell those patients, “Good move, however, those are no better.”

The issue has come to light recently after a British man posted photos online of his rotting teeth, which he says were damaged by his addiction to energy drinks.

His story hasn’t yet been verified, but the posts have reignited warnings from dental experts.

In fact, Jain began sounding the alarm years ago that energy and sports drinks may not be as healthy as you think.

What the research shows

Seven years ago, Jain was the lead researcher on a team at Southern Illinois University School of Dental Medicine.

Their study Trusted Sourcecomparing the impact of energy and sports drinks on teeth was published in the May/June 2012 edition of General Dentistry.

The researchers studied 22 beverages popular with young adults. They looked at what effect the 13 sports drinks and 9 energy drinks had on tooth enamel.

“We found the acidity was two times higher in energy drinks than it was for sports drinks,” Jain said.

“The lower the pH, the greater the potential for losing enamel from your teeth,” she added.

“Enamel is the hardest substance in the human body, much harder than bone,” Jain said. “But the hardest substance in the human body dissolves in these highly acidic drinks.”

How does that happen?

First, she said your saliva is roughly a pH of 6.8 or 7, which is considered neutral.

Jain said researchers found that even a small amount of a highly acidic drink can send your saliva’s pH plummeting.

“You take a single sip of this drink and your saliva could potentially go down to 2 on the pH scale,” Jain said.

“It takes the human body approximately 30 minutes to buffer the saliva back to a normal pH,” she said. “For those 30 minutes, your teeth are essentially bathed in an acidic environment, in acid.”

“But you don’t stop at a single sip. You go on to drink that can, or bottle, or glass,” she added.

“I think there is a false sense of security about going to these drinks,” Jain said. “They sound so much healthier than drinking a soda.”

The American Beverage Association, however, says tooth decay and other dental problems are more complex than just a canned or bottled drink.

“No single food or beverage is a factor for enamel loss and tooth decay,” a statement from the organization to Healthline says. “Individual susceptibility to both dental cavities and tooth erosion varies depending on a person’s dental hygiene, lifestyle, total diet an genetic make-up.”

Dentists are seeing the damage

Dentists, however, say they are seeing the effects of beverages first hand.

“In all my years in dentistry I’ve found the leading cause of tooth decay in children to be juice, and in adults, it is energy drinks,” Bobby J. Grossi, DDS, a dentist in Michigan, told Healthline.

“Energy drinks, with a pH of roughly 3.2, are almost as acidic as battery acid, which has a pH of 1,” he added.

Grossi said the acid fosters the growth of bacteria. The higher the concentration of bacteria, the more likely you are to get tooth and gum disease.

Nammy Patel, DDS, a dentist in California, sees other problems, too.

“Because people are so wired after drinking an energy drink, they grind their teeth. That sometimes causes tooth breakage and tooth loss,” Patel told Healthline.

She added that energy drinks can also spur more acid reflux production, which can in turn cause more cavities.

(01/20/2021)
by Healthline

More Information: https://www.healthline.com/health-news/energy-drinks-can-ruin-your-teeth


Views: 931
Share
Share

Should you floss before or after you brush your teeth?

You don’t have to be told the importance of good dental hygiene. Taking care of your teeth not only fights bad breath, it can also prevent cavities, gum disease, and contribute to a healthy set of pearly whites.

But when it comes to flossing and brushing your teeth, like many, you might not give much thought to the proper order.

As long as you’re doing both on a regular basis, you’re good, right? Well, not necessarily. The recommendation is actually to floss before brushing your teeth.

This article will explain why this sequence is best, and provide tips on how to get the most out of flossing and brushing.

Why is it better to floss before brushing?

Some people get into a routine of brushing then flossing. The problem with this sequence is that any food, plaque, and bacteria released by flossing from in between your teeth remains in your mouth until the next time you brush.

However, when you floss and then brush, the brushing action removes these released particles from the mouth. As a result, there’s less dental plaque in your mouth, and you’ll have a lower risk of developing gum disease.

The fluoride in your toothpaste is also better able to do its job in protecting your teeth when particles are removed first, noted a small 2018 studyTrusted Source.

Prevents gum disease

Gum disease, also called periodontal disease, is a mouth infection that destroys the soft tissue and bones that support your teeth. Gum disease occurs when there’s too much bacteria on the surface of the teeth.

This can happen as a result of poor dental hygiene, which includes not brushing or flossing properly, and skipping routine dental cleanings.

Signs of gum disease include:

bad breath

swollen, red tender gums

loose teeth

bleeding gums

Gets rid of plaque

Because plaque is a primary cause of gum disease, it’s important to floss and brush each day. Plaque usually hardens on the teeth within 24 to 36 hours. If you floss your teeth regularly, and then brush afterwards, plaque usually will not harden on your teeth.

After flossing and brushing, don’t forget to spit out any remaining toothpaste in your mouth. But you shouldn’t rinse your mouth. This likely comes as a surprise since many people have been conditioned to rinse out their mouth with water or mouthwash after brushing.

The bottom line

Dental problems like cavities and gum disease are preventable, but the key is sticking with a good dental care routine. This involves regularly flossing and brushing, and using mouthwash at the appropriate times.

Good oral health results in more than fresh breath. It also prevents gum disease and contributes to your overall health.

(01/19/2021)
by Healthline

More Information: https://www.healthline.com/health/dental-and-oral-health/floss-before-or-after-brushing


Views: 738
Share
Share

7 Possible Reasons Why Your Tooth Hurts When Biting Down or Chewing

Do you have a tooth that hurts every time you eat or bite down on it?

There are specific factors that can cause tooth pain when chewing. Understanding the warning signs can give you a head start on treating the cause and preserving your tooth. More often than not, our Ottawa dentists warn that the pain you feel from biting down boils down to one of seven different dental problems. 

If biting or chewing is causing tooth pain, it’s most likely due to one of these factors:

The Tooth / Crown / Filling is “High”

“Occlusion” is the word we use to describe the way teeth bite together. When the upper and lower teeth occlude properly, the pressure is distributed evenly so that there aren’t any specific areas bearing the brunt of the weight. 

In instances where a tooth, filling, or crown (”cap”) sits too high, it can cause pain when you bite down on it. This sensation is usually most noticeable right after dental treatment is completed and the anaesthetic wears off. The opposing tooth may also hurt, due to the extra pressure exerted on it when your teeth fully engage. 

We can use a special type of marking paper to measure and evaluate your occlusion, making note of any areas that are hitting higher/harder than others. By adjusting your bite, that extra pressure is taken off and the involved teeth won’t feel sore from chewing anymore. 

Large Cavity in a Tooth

Have a toothache or sensitive teeth after eating? Tooth decay (cavities) can leave lingering pain after you eat certain types of food. Many people are sensitive to sweets — whether it’s a flavoured coffee, a breakfast pastry, or even a soda — when they have a cavity. Large cavities can get food stuck in them which can cause pressure and result in pain. 

Since advanced tooth decay can irritate the pulp (nerve) inside the tooth, you can experience painful flare-ups each time you bite, chew, or put food into your mouth. However, it’s important to note that not all cavities hurt. If you feel a rough edge, a possible opening in your tooth enamel, or a strange sensation when you bite down, be sure to schedule an exam with a dentist to have it evaluated to prevent further advancement into the pulp or worse.

You Have a Dental Abscess

When you experience pain with a specific tooth when pressure is being applied, it could be due to an abscess around the tip of the root. This swelling or cyst inside of the bone puts pressure against the tooth, causing pain when you bite or push down on it. 

Abscess drainage and swelling can come and go, with symptoms feeling worse some days and going unnoticed on others. Fistulas — small pimples on the gums — often appear near the tooth and cause a salty tasting drainage to seep out of the area. The only viable treatment for preserving an abscessed tooth is to perform a root canal. 

Cracked Tooth 

One of the most challenging and difficult to diagnose dental conditions is a cracked tooth. More often than not, there are no obvious symptoms other than pain when you bite down on it. If you have a toothache after eating, try to determine if it’s coming from a specific area. Using a special bite stick to see if there is tooth pain with pressure applied at specific points, we can help rule out a fractured root. 

Although severe fractures can show up on dental X-rays, hairline fractures are more often undetectable on the X-ray. Special diagnosis and testing can determine whether the tooth is cracked. 

Periodontal Disease

Any time you have tooth pain when biting down, we want to consider the health of your gums. 

During your dental exam, we will measure the attachment levels around each tooth. Depending on the severity of tissue detachment, you could also be experiencing symptoms of bleeding or swollen gums, spaces between teeth, exposed tooth roots, heavy tartar build-up, mobility and sensitive teeth. 

Nasal / Sinus Pressure or Congestion

The roots of your teeth are situated in close proximity to your nasal sinuses.  Tooth pain when you bite down may not necessarily mean there’s a dental problem. Rather, it could be because the sinuses are inflamed.

Usually, the teeth that are most sensitive are your molars (back teeth) or premolars/bicuspids (the teeth in front of your molars but behind your cuspids/”eye” teeth). Lower teeth are not affected. 

Gum Recession and Root Exposure

Gingival (gum) recession doesn’t necessarily cause tooth pain when chewing, but it can make your affected teeth extremely sensitive if there’s pressure applied to the exposed root. If you’re eating or drinking and food comes into contact with your root surface, you’re likely to feel a sharp pain on that specific tooth. 

Gum recession can be caused by factors like aggressive tooth brushing, trauma, teeth grinding, tooth position and gum disease. 

Don’t Ignore the Signs

Tooth pain isn’t something that just goes away on its own over time. Unlike other types of body aches that improve with rest or an over-the-counter pain reliever, toothaches mean that something more serious is going on inside of your mouth and these pain symptoms shouldn’t be ignored.

(01/15/2021)
by Parkdale Dental

More Information: https://parkdale-dental.com/ottawa-dental-blog/toothache/tooth-pain-when-bite-down-chew/#:~:text=Gum%20Recession%20and%20Root%20Exposure&text=If%20you're%20eating%20or,tooth%20position%20and%20gum%20disease.


Views: 751
Share
Share

Six health problems linked to bad oral hygiene

Are you one of those people that fall victim to laziness when it comes to oral hygiene? Maybe you’ve had a long, hard day and just don’t feel like brushing your teeth before going to bed. Or perhaps you don’t give it much thought, and before you know, you haven’t brushed or flossed your teeth in days! If this sounds like you, be mindful in what you’re about to read.

The mouth is one of the dirtiest areas of the body. It’s been said that the mouth harbors more bacteria than there are people on this planet, but whether that is an accurate statement or not, the mouth does host an abundance of bacteria.1 What is known, however, is that not all bacteria are bad; bacteria are needed to sustain homeostasis, but when bacteria have time to cultivate in the mouth it can lead to problems like periodontitis, a serious gum disease.2 Gum disease can complicate an already existing health issue or may even bring on a new one. It also makes for an unsightly smile.

It doesn’t take long to visibly see when one’s mouth lacks attention. In just a matter of days you’re able to see yellow buildup of dental plaque from not brushing. And when poor oral hygiene continues, the plaque builds giving way to inflammation of the gum and eventually infection.2

Oral Hygiene and General Health

In the not so distant past, oral hygiene was not considered a factor in one’s overall general health, but today, science has proven there is a strong link between the two.2

A poor oral hygiene regimen can be a bacterial breeding ground and when oral hygiene is neglected or ignored it will eventually cause periodontal disease.2Bacterium associated with periodontitis can enter the bloodstream via bleeding gums which is what links the two together.4 Here are just a few medical conditions linked to poor oral hygiene:

Heart disease – Bacteria in the bloodstream can travel to the heart and lead to a heart attack.2,3,4

Endocarditis – Bacteria may find its way to the inner linings of the heart and valves which in turn, create growth pockets of bacteria. These pockets cause inflammation and infection of the inner linings of the heart. 1,5

Stroke – There are a number of reasons why a stroke may occur – one of them is the narrowing of artery walls and another is blood clots. It is believed that oral bacteria may be a contributing factor to the arteries narrowing as well as blood clots easily forming because of the body’s negative response to the bacteria in the bloodstream. 3,4

Inflammation – Inflamed gums and bleeding may cause systemic inflammation. 4

Rheumatoid Arthritis – It is known that periodontal disease will worsen the pain already suffered by those inflicted with this auto immune disorder.2

Lung Condition – Those already suffering from COPD (chronic obstructive pulmonary disease) and pneumonia may have their condition worsened due to an increase of bacteria in their lungs. 2

Prevention

The best way to fight periodontal disease and health issues linked to oral bacteria is to have a good oral hygiene regimen. Removing plaque buildup is necessary to keeping your gums and teeth free from disease. Brush your teeth at least two times a day and floss regularly.2 If you’re unsure of the correct technique to flossing, at your next visit to your dentist have the dental assistant show you the correct procedure to flossing your teeth. Moreover, it’s crucial that see your dentist regularly (once or twice a year) for your checkups and cleanings. If you find you’re having dental problems, do not hesitate to make an appointment with your dentist to prevent further, more severe health complications.

Brushing and flossing is the best prevention to a healthy mouth!

(01/15/2021)
by Pennsylvania Dental Group

More Information: https://www.padentalgroup.com/dental-hygiene/six-health-problems-linked-to-bad-oral-hygiene/


Views: 742
Share
Share

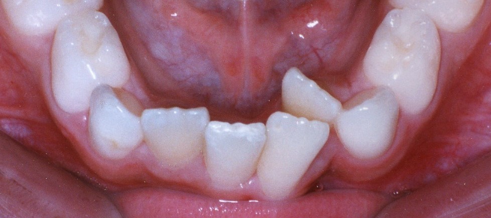
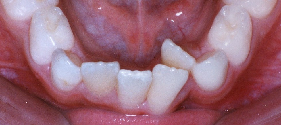
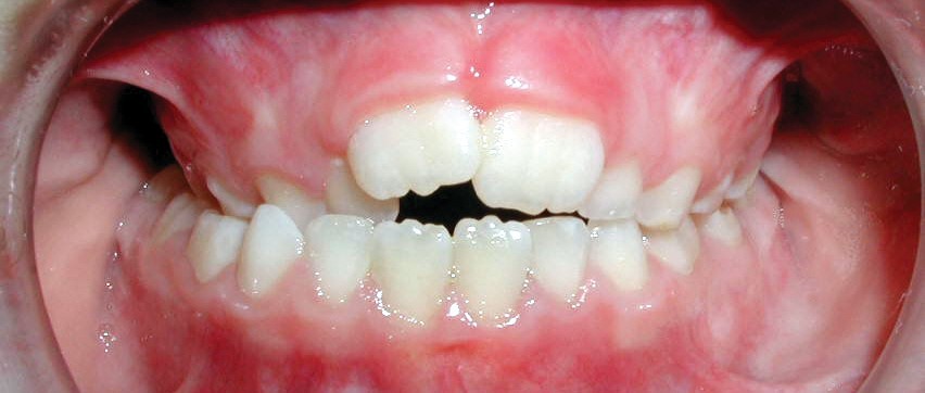
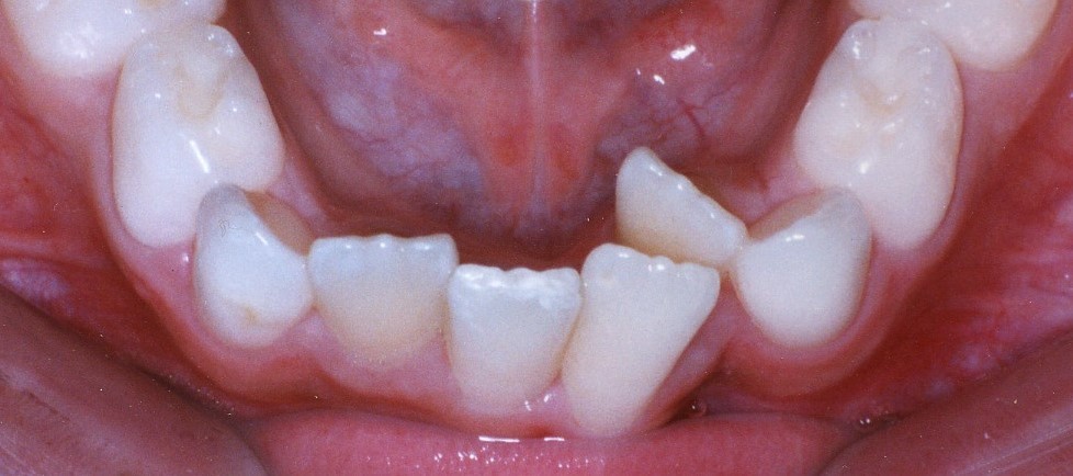
7 Most Common Bite Problems in Children and Adults

Your bark may be worse than your bite, but your bite is a very important part of your oral health. In orthodontics, “bite” refers to the way upper and lower teeth come together. A bad bite, called a “malocclusion,” happens when teeth meet improperly, or they don’t meet at all. While each individual bite problem is unique, there are seven broad types of bite problems that are common in children and adults.

1. Crossbite

When upper teeth fit inside of lower teeth. Can be caused by misalignment of teeth (including baby teeth) or a misalignment of the bone; can affect a single tooth or groups of teeth.

Possible consequences if not corrected: The jaw shifts to one side; lopsided jaw growth; wearing down of outer layer of the tooth called “enamel”.

Posterior crossbite: If the back teeth are affected, upper teeth are to the inside of bottom teeth.

Anterior crossbite: If the front teeth are in crossbite, the top teeth are behind the bottom teeth.

2. Underbite

The lower jaw sits in front of the upper jaw.

Possible consequences if not corrected: Face has “bull dog” appearance; tooth wear; stress on jaw joints. 

3. Open bite

Anterior open bite: Occurs when the back teeth are together, and the upper and lower front teeth do not overlap. This can result from excessive sucking, tongue thrusting or mouth breathing.

Posterior open bite: Occurs when the front teeth meet, but the back teeth do not.

Possible consequences if not corrected: Swallowing problems; tongue pushes through teeth when swallowing. Possible speech problems.

4.- Deep bite

When the bite is closed, the upper front teeth cover the bottom teeth too much.

Possible consequences if not corrected: Upper teeth can bite into lower gums; lower teeth can bite into the roof of the mouth. Possible gum disease, early enamel wear.

5. Crowding

Insufficient space for the teeth. This can be a result of big teeth or inadequate space in the jaw or both. This may result in teeth that overlap, are rotated, or take on a crooked/staggered appearance.

Possible consequences if not corrected: Hard to clean; possible cavities, especially in between the teeth; gum disease. 

6. Spacing

Too much space between teeth. It can result from missing teeth, undersized teeth, oversized jaws, or a combination of these conditions.

Possible consequences if not corrected: Food gets stuck in open areas. Possible cavities, gum disease. 

7. Protrusion

Front teeth that stick out (“buck” teeth). Teeth may appear protrusive because the upper jaw is too far forward, the lower jaw is too far back, the teeth grew in at an angle, or a combination of these conditions. Sometimes people who have protrusive front teeth also have a deep bite.

Possible consequences if not corrected: Upper teeth are prone to accidental breaking; hard to comfortably close the mouth and lips, leading to dried out oral tissues followed by tooth decay. Speech problems. Long, narrow face.

If you suspect that you or a loved one has one of the seven common bite problems, an AAO (American Association of Orthodontists) orthodontist can help. Parents – there’s no need to wait until your child has lost all her baby teeth before you consult an orthodontist. It’s fine to talk to an orthodontist as soon as you think you see a problem in your child.

(01/16/2021)
by AAO

More Information: https://www.mybestdentists.com/resources/AmericanAssociationofOrthodon


Views: 2,916
Share
Share

Is Mouth Breathing a Problem?

Q: Is it bad if I breathe mostly through my mouth, not my nose?

A: It can be. It’s okay to breathe through your mouth occasionally—when a bad cold blocks your nasal passages, for example, or when you are exercising strenuously and your muscles need more oxygen. But chronic mouth breath­ing can dry the mucous lining of the airways.

When done at night, it can cause or worsen dry mouth, especially in older people, which can lead to hoarseness, bad breath, and den­tal problems. Chronic mouth breathing may also alter airway anatomy, particularly in chil­dren, and can worsen sleep apnea.

Moreover, mouth breathing doesn’t warm and moisturize air as efficiently as nose breathing, so the air is more likely to irritate your lungs. And breathing through your nose helps filter out dust and other allergens.

Some people constantly breathe through the mouth because of chronic nasal conges­tion or an anatomical abnormality in the nose, such as a deviated septum. If you have problems breathing through your nose, con­sult your doctor, who may refer you to an ear, nose, and throat specialist.

(01/21/2021)
by Berkelley Wellness

More Information: https://www.berkeleywellness.com/self-care/preventive-care/article/mouth-breathing-problem


Views: 808
Share