Dentists Journal

Top Ten Stories of the Week
2/6/2021

All Dentists Journal · Previous Week · This Week · All Time List · Headlines

Share

Covid tongue, may be another coronavirus symptom

There may be another addition to the growing list of strange possible symptoms of the new coronavirus: “Covid tongue.”

A British researcher who is helping to track Covid-19 warning signs is reporting more cases of infected people complaining of tongue discoloration, enlargement and other mouth problems.

“Seeing increasing numbers of Covid tongues and strange mouth ulcers. If you have a strange symptom or even just headache and fatigue stay at home!” Tim Spector, a professor of genetic epidemiology at King’s College London, tweeted this month.

He believes more than a third of COVID-19 patients, 35 percent, have non-classic symptoms of the disease in the first three days, so it’s important to draw attention to skin rashes, Covid toes and other warning signs that “go ignored,” he wrote.

Spector estimated fewer than 1 in 500 patients have "COVID tongue." The main symptoms he hears about are a "furry coating" of the tongue that can be white or yellow and can't be brushed away, and a scalloped tongue. The condition can be painful.

"It's a good reminder that there are so many different manifestations of this virus rather than just the classical ones," Spector, who is the lead investigator of the ZOE COVID Symptom Study that allows people to report symptoms via an app, told NBC News.

"The whole question of why we have this huge range of symptoms of the virus is still unknown."

Until there's more data, it's too early to add "COVID tongue" to any official symptom lists, but dentists, oral surgeons and other doctors looking inside people's mouths should be aware it might be one of the early signs of infection, he noted.

Other researchers have also reported tongue and mouth symptoms linked with the new coronavirus.

When doctors studied 666 patients with Covid‐19 in Spain, more than a tenth of them — 78 — exhibited “oral cavity findings,” according to a study published in the British Journal of Dermatology.

Of that group, 11 percent had inflammation of the small bumps on the tongue's surface; 6 percent had a swollen and inflamed tongue with indentations on the side; 6 percent had mouth ulcers; 4 percent had "patchy" areas on the tongue; and 4 percent had tissue swelling in the mouth.

(01/31/2021)
by NBC News

More Information: https://www.nbcnews.com/health/health-news/covid-tongue-may-be-another-coronavirus-symptom-british-researcher-suggests-n1256078


Views: 853
Share
Share

What Kind of Tooth is a Mesiodens?

What kind of tooth is a mesiodens?  I will tell you and show you one!  A mesiodens is an extra tooth, also called a supernumerary tooth, that occurs in the middle of the mouth. 

The typical location is between the upper front teeth.  It may occur between the central incisors, in front of them or behind them.  These teeth are almost always recommended to be extracted due to their position in the mouth.

Mesiodens are often pointy like the one shown here

I have never seen an attractive mesiodens

This extra tooth can push of the teeth that are supposed to be there and cause alignment problems

Mesiodens may interfere with chewing

Often the patient is unaware that a mesiodens tooth is present

Mesiodens are usually picked up or ‘discovered’ with a dental x-ray.

They are rare!

In our patient, the mesiodens was first noted on a panoramic x-ray which shows the teeth from ear to ear. 

The tooth later erupted into his mouth on the palate behind the front teeth.  Although the tooth wasn’t really bothering him, it did bother his mother and it was visible in his mouth.  He was about to begin orthodontic treatment and for these reasons, we recommended that the mesiodens be extracted.

The procedure is done most comfortably in an office where the patient can sleep through the procedure but most dentists are comfortable completing this extraction under local anesthetic.  

Mesiodens teeth are usually discovered at a young age when the patient may not be as comfortable in a dental chair.  For this reason, I believe that the extraction is usually done under general anesthesia which often means seeing an oral surgeon.

(02/02/2021)
by Julie Gillis dds

More Information: https://www.juliegillisdds.com/blog/what-kind-of-tooth-is-a-mesiodens/


Views: 1,262
Share
Share

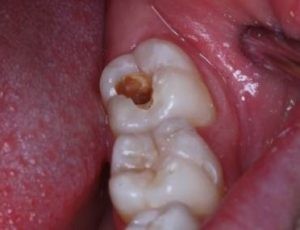
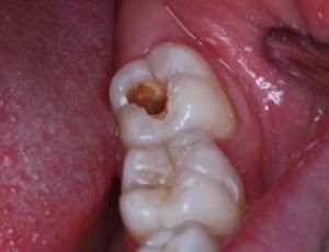
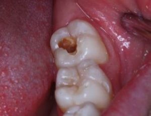
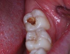
Do I need a filling or root canal?

Do you need a filling or a root canal? We’ll try to answer that question in our latest blog post! Although we love to provide information to our patients, this information is simply to educate the public and in no way negates allowing a professional to make a proper diagnosis and treatment plan. Do you need a filling or root canal?

Commonly, decay starts on the chewing surface (occlusal surface) and has multiple stages prior to becoming “soft or sticky.” This progression commonly leads to more sensitivity in the tooth and provides a highway for the decay to approach the pulp. The decay progression through the enamel is based on several factors including but not limited to:

1. bacteria type and concentration,

2. available sugars via diet and acids released

3. the buffering potential of saliva

Next, the dentin layer is softer by nature and contains cells called odontoblasts. Proceeding through the dentin layer, the decay encroaches upon the pulp and this is the point that commonly patients go from needing a filling to needing a root canal. Some common signs and symptoms associated with decay encroaching on the pulp include sleepless nights, obvious signs of infection like swelling or redness and sensitivity to hot/cold lasting over 15-30 seconds. 

Of course, this information in no way negates the need to have a professional take a look but we feel this information is helpful for patients who don’t understand the process taking place. As always, feel free to call us anytime to schedule an emergency treatment or a free consultation about getting a filling or root canal.

(02/03/2021)
by Schroeder Dentistry

More Information: https://schroederdentistry.com/need-filling-root-canal/


Views: 884
Share
Share

What is Pericoronitis?

Pericoronitis is an inflammation or swelling of your gum tissue. It’s more common in your lower teeth and it usually happens around your wisdom teeth, the third and final set of molars that most people get in their late teens or early 20s.

Pericoronitis Causes

Pericoronitis can develop when wisdom teeth only partially erupt (break through the gum). Soft tissue growth over a partially erupted wisdom tooth is called an operculum. Bacteria can get trapped under the operculum. That allows an opening for bacteria to enter around the tooth and cause infection and swelling. Food debris, bacteria, or plaque, a bacterial film that remains on teeth after eating, may also get caught underneath the gingiva, a flap of gum around a toot h. If it stays there, it can irritate the gum and lead to pericoronitis. In serious cases, the swelling and infection may extend beyond the jaw to the cheeks and neck.

Pericoronitis Risk Factors

Factors that may raise your risk of pericoronitis include: Being in your 20s, An upper respiratory tract infections, Emotional stress, Poor oral hygiene.

Pericoronitis Symptoms

Symptoms of pericoronitis can be either acute (short-term) or chronic (be ongoing).

Acute symptoms include: Pain, Swelling in the gum tissue (caused by an accumulation of fluid), Pus discharge, Trismus, or difficulty opening your mouth and jaw, also called lockjaw, Pain with swallowing, Fever, Loss of appetite, Infection, Swollen submandibular lymph nodes in the neck.

Treatments for pericoronitis include:

Oral hygiene/oral irrigators and rinses: If the pericoronitis is in a small area and hasn’t spread, treatment may be rinsing your mouth with warm salt water. Your dentist can flush out food debris or bacteria, or give you an oral rinse. You’ll need to make sure to keep the gum flap free of any food trapped.

Pain medicine: You can take pain relievers such as aspirin, acetaminophen, or ibuprofen. Your dentist may also prescribe you a pain medication.

Antibiotics: If your tooth, jaw, and cheek are swollen and painful, see your dentist right away. They can treat the infection with antibiotics (usually penicillin, unless you are allergic).

Minor surgery to remove the operculum: If the pain and inflammation are severe, or if the pericoronitis recurs, it may be necessary to have oral surgery to remove the gum flap or wisdom tooth. Your dentist can make the appropriate referral to the oral and maxillofacial surgeon. A low-level laser can be used to reduce pain and inflammation associated with pericoronitis.

Extraction: If a wisdom tooth still can’t come in normally, you may need surgery to have it taken out. Your dentist may recommend you extract both your upper and lower wisdom teeth to prevent your upper tooth from biting your gum and causing another infection.

 

(02/02/2021)
by Web MD

More Information: https://www.webmd.com/oral-health/guide/pericoronitis


Views: 1,122
Share
Share

What’s the Difference Between Canker Sores and Cold Sores?

Canker sores occur only in the soft tissues of the mouth, such as on your gums or inside your cheeks. They can be caused by a variety of factors, including injury to the inside of your mouth and vitamin deficiencies.

Cold sores form on and around your lips, although in some cases they can also form inside your mouth. They’re caused by infection with the herpes simplex virus (HSV).

Canker sores

Canker sores occur only on the inside of your mouth. They can be found in the following areas:

Gums, inside your cheeks or lips, on or below your tongue, soft palate, which is the soft, muscular area found in the back area of the roof of your mouth.

You may notice a burning or tingling feeling before canker sores appear.

Canker sores are typically round or oval in shape. They can appear to be white or yellow, and may have a red border.

Canker sores can also vary in size from small to large. Large canker sores, which can also be referred to as major canker sores, may be quite painful and take longer to heal.

Herpetiform canker sores, a less common type of canker sore, occur in clusters and are the size of pinpricks. This type of canker sore typically develops later in life.

Cold sores

The symptoms of a cold sore can depend on if you have a new infection with HSV or have had the virus for a while.

Those with a new infection may experience:

burning or tingling, followed by the development of painful sores on or around the lips, in the mouth, on the nose or other areas of the face:

Sore throat or pain when you swallow, fever, body aches and pains, headache, nausea, swollen lymph nodes.

If you’ve had the virus for a long time, you may experience periodic outbreaks of cold sores. These outbreaks typically follow several phases, including:

warning signs in the area of the outbreak, which can include a burning, stinging, or itching sensation

appearance of cold sores, which are filled with fluid and are often painful

crusting over of the cold sores, which happens when the cold sores break open and form scabs

healing of cold sores, typically without a scar, in one to two weeks.

Like canker sores, cold sores typically go away on their own within a few weeks. There are some treatments that can help ease symptoms and speed up healing, including:

OTC creams or gels containing lidocaine or benzocaine to ease pain

OTC cold sore creams containing docosanol, which may shorten your outbreak by about a day

prescription antiviral drugs, such as acyclovir,valacyclovir, and famciclovir.

While the exact cause of canker sores is uncertain, you can help prevent them by doing things such as protecting your mouth from injury, eating a healthy diet, and reducing stress.

Most canker sores will go away on their own in a week or two.

Cold sores are caused by HSV infection. Once you have the infection, you have the virus for your lifetime. Some people with HSV will never have cold sores while others will experience periodic outbreaks.

Cold sores should clear up on their own in a few weeks, although antiviral medications may speed healing. You should be particularly conscious to avoid skin-to-skin contact or the sharing of personal items when you have a cold sore, as this could spread the virus to others.

(02/01/2021)
by Health Line

More Information: https://www.healthline.com/health/canker-sore-vs-cold-sore


Views: 797
Share
Share

Mouth and dental problems in menopause

There are many well known symptoms of menopause, we’ve nearly all heard of hot flushes, mood swings and anxiety. Today we are looking at a lesser known area but no less important for that. Your mouth, a major pleasure centre in terms of tasting, eating and other uses, can also be affected by menopause. So open wide and let’s take a look.

Mouth Dryness

As with other areas e.g. your vagina and your eyes, your mouth may feel drier during menopause and peri-menopause.  Hormone imbalance during menopause and perimenopause reduces moisture in mucous membranes and the mouth is no exception.

You can alleviate mouth dryness and other areas by using sea buckthorn oil. It is also important to keep yourself hydrated during menopause and any time so ensure that your daily intake of water is sufficient. Keep a bottle of water handy and drink regularly, it’s great for your kidneys and your skin too.

Burning mouth/tongue

This really uncomfortable condition can feel like your mouth is on fire. Contributory factors include hormone imbalance, stress, poor nutrition and anaemia.. You can relieve a burning mouth by keeping your mouth moist with increased water intake, apple juice or sucking ice, increasing intake of foods containing Vitamin B, increase iron rich foods and avoiding spicy and acidic foods. If symptoms persist you should get checked out by your doctor to make sure there are no underlying causes

Teeth and gums

Susceptibility to teeth and gum problems increases with menopause. You may notice your gums bleed more or feel more sensitive. Tooth sensitivity can also increase with age generally. Ensure you maintain good dental hygiene and get regular check ups with your dentist. Use a natural, chemical free toothpaste as some of the nasty ingredients like sodium laureth sulphate and triclosan are especially damaging .

(01/29/2021)
by Menopause Matters Guru

More Information: https://menopausematters.guru/mouth-dental-problems-menopause/


Views: 877
Share
Share

The mysterious condition that makes maps in your mouth, Geografic Tongue

Geographic tongue (GT) is a medical condition in which the upper layer of the tongue, which consists of tiny hair-like protrusions (called papillae), is damaged due to an expanding inflammation. As a result, red patches devoid of papillae can be observed on the surface of the tongue. A noticeable characteristic of the condition is an evolving map-like appearance of the affected tongue (hence its name).

GT, which is harmless and affects about 2% of the population, was first reported more than 180 years ago. It has been investigated ever since, but the actual cause of the condition remains unknown. GT has been associated with different diseases such as psoriasis.

Maps and maths

In a recent investigation, published in New Journal of Physics, we treated GT as a dynamical system – a mathematical description that enables one to examine how something evolves over time – that consists of a large number of coupled (interacting) elements such as the hair protrusions. Each of these elements can be found in one of three states: a healed (unaffected) state, an excited state and a recovering state. Once an element is excited, it then goes through a remission period in which it cannot be excited.

Swirls and movement

Taking a dynamical systems approach to GT enabled us to classify the severity of the condition, based on the patterns observed on the tongue of a GT patient. Typically GT-affected tongues fall into two main categories. The first corresponds to oblate patterns that expands and merges with other growing oblate regions. In this case, like with forest fires, the tongue is gradually affected but then subsequently heals. Another more “exotic” form of the condition involves patterns consisting of open-ended tips, most notably spirals, which can evolve into the recovering regions of the tongue.

As the spiral pattern evolves, its arm rotates and continuously affects recovering regions. This self-sustaining characteristic might hinder the tongue from healing and so cause a more acute condition, which will linger for longer periods of time before the tongue is completely healed.

GT is a mysterious condition but we hope that this novel approach will help physicians to assess patients with GT condition and trigger further clinical investigations, particularly into how and why GT patterns form and move around. We might then learn more about the underlying mechanism responsible for this disease.

(02/02/2021)
by The Conversation

More Information: https://theconversation.com/geographic-tongue-the-mysterious-condition-that-makes-maps-in-your-mouth-39648


Views: 767
Share
Share

Fibromyalgia and dental issues

Many people who have fibromyalgia also have tension headaches, temporomandibular joint (TMJ) disorders, irritable bowel syndrome, anxiety and depression.

Women need to be aware that they are at higher risk for periodontal disease and gum disease during puberty, pregnancy, their menstrual cycle each month, and then menopause—let’s face it, we’re at risk most of our lives.

When hormone levels are very high, women can be more sensitive to a small amount of plaque or bacteria. For example, if you weren’t pregnant, and you forgot to floss for a couple of days, it probably wouldn’t be an issue. But if you’re pregnant and forget to floss, and plaque collects, you can develop swollen, painful growths in your gums that otherwise probably wouldn’t manifest as quickly.

Fibromyalgia and TMJS…In addition, there is another contributing factor to consider if you have fibromyalgia—temporo-mandibular joint syndrome (TMJS).

The following is a summary by Dr. Wesley Shankland, author of over 65 publications on TMJS and facial pain, and president of the American Academy of Head, Neck, and Facial Pain. His statement and methodologies about TMJS and fibromyalgia are important to consider:

Fibromyalgia is a chronic, painful muscle and nerve condition characterized by pain in the skeletal muscles, tendons (which attach muscles to bone), ligaments (which attach bones to bones) and bursa (sac-like structures which are filled with synovial fluid and provide lubrication and nutrition to joints).

Symptoms of fibromyalgia are characterized by generalized muscle soreness and stiffness lasting more than three months, poor sleep with morning fatigue and stiffness, tenderness at 11 of 18 specific sites and ‘normal’ blood test results. The more common painful areas include the low cervical spine, the shoulders, the second rib, the arms, the buttocks and the knees.

Many other physical conditions are also found frequently with fibromyalgia. Each of these can, and does occur separately; however, they are also quite commonly associated with fibromyalgia.

Many patients suffering with TMJS also suffer with fibromyalgia. Unfortunately, many doctors don’t recognize either TMJS or fibromyalgia or fail to see the connection of these two pain syndromes. Fibromyalgia almost always intensifies the painful symptoms of TMJS and when one or both temporo-mandibular joints are dislocated, the pain of fibromyalgia in the neck and upper back is greatly magnified. Both TMJS and fibromyalgia produce similar painful symptoms in the muscles of the neck, shoulders, back, face and head as well as often causing dizziness.

(01/30/2021)
by Total Health Magazine

More Information: https://totalhealthmagazine.com/Fibromyalgia/Fibromyalgia-and-Oral-Health-The-Female-Factor.html


Views: 867
Share
Share

Quinsy a rare but serious infection

If someone told you they had quinsy, would you know what it is?

Also known as a peritonsillar abscess, it is a complication of tonsillitis that is left untreated.

The abscess (collection of pus) forms between one of your tonsils and the wall of your throat. This can happen when an infection spreads from an infected tonsil to the surrounding area.

Symptoms of quinsy can include a worsening sore throat, usually on one side, a high temperature of 38C (100.4F) or above, difficulty opening your mouth, pain when swallowing, difficulty swallowing, which may lead to drooling saliva, changes to your voice or difficulty speaking, bad breath, earache on the affected side, headache and feeling generally unwell and/or swelling around your face and neck.

If quinsy is suspected, you will be referred immediately to an ear, nose and throat specialist who will carry out further investigations. You may be admitted to hospital immediately if you have severe quinsy.

It is important that quinsy is diagnosed and treated quickly to prevent the infection from spreading.

If the abscess grows large enough, it can block your airways and cause breathing difficulties. Therefore, it is important treatment is started as soon as possible.

Treating quinsy

Antibiotics will be recommended to clear the infection and painkillers used to deal with any pain. Pus from the abscess may need to be drained. This may involve having a minor surgical procedure carried out under anaesthetic in hospital.

Preventing tonsillitis

The best way to prevent tonsillitis is to avoid close contact with people who have the viral or bacterial infections that cause the condition.

For example, do not share a toothbrush with someone who has tonsillitis and avoid using the same eating and drinking utensils. Maintain a high level of hygie-ne by was-hing your hands regularly with soap and hot water.

Smoking could also possibly increase your risk of quinsy.

How common is quinsy?

Quinsy is not common. This is because most people with tonsillitis have effective treatment early enough to prevent quinsy from developing. For every 100,000 people with a sore throat, 96 may develop quinsy.

Quinsy most commonly occurs in teenagers and young adults. In England during 2011-12, around 7,000 people were admitted to hospital with quinsy.

(02/03/2021)
by Tenerife News

More Information: https://www.tenerifenews.com/2014/08/quinsy-a-rare-but-serious-infection/


Views: 788
Share
Share

Dental experts discover biological imbalance is the link between gum and kidney disease

An imbalance of the body's oxygen producing free radicals and its antioxidant cells could be the reason why gum disease and chronic kidney disease affect each other, a new study led by the University of Birmingham has found.

Periodontitis -- or gum disease -- is a common, inflammatory disease which causes bleeding gums, wobbly or drifting teeth and can eventually result in tooth loss.

Previous studies have shown a link between the severe oral inflammation caused by gum disease and chronic kidney disease (CKD) which demonstrated that those with worse inflammation of the gums have worse kidney function.

Previous research also showed that patients with CKD and periodontitis experience a drop in survival rates, similar in magnitude to if they had diabetes instead of gum inflammation, suggesting that gum inflammation may causally affect kidney function.

In this latest study, led by researchers at the University of Birmingham, over 700 patients with chronic kidney disease were examined using detailed oral and full-body examinations including blood samples. The aim was to test the hypothesis that periodontal inflammation and kidney function affect each other and to establish the underlying mechanism that may facilitate this.

Results showed that just a 10% increase in gum inflammation reduces kidney function by 3%. In this group of patients, a 3% worsening in kidney function would translate to an increase in the risk of kidney failure over a 5 year period from 32%-34%. Results also showed that a 10% reduction in kidney function increases periodontal inflammation by 25%.

In contrast to current beliefs that inflammation is the link between periodontitis and other systemic diseases, researchers found for the first time, that in this group of patients, the effect was caused by a biological process called 'oxidative stress' -- or, an imbalance between reactive oxygen species and the body's antioxidant capacity which damages tissues on a cellular level.

Lead author Dr Praveen Sharma, from the Periodontal Research Group at the University of Birmingham's School of Dentistry, said: "This is the first paper to quantify the causal effect of periodontitis on kidney function and vice-versa as well as the first to elucidate the pathways involved.

"It showed that even a modest reduction in gum inflammation can benefit renal function. Given the relative ease of achieving a 10% reduction in gum inflammation, through simple measures like correct brushing techniques and cleaning between the teeth, these results are very interesting.

"We hope that this research paves the way for further studies to see if improvements in kidney function, following periodontal care, translate to longer, healthier life for patients with chronic kidney disease. We would also hope that the hypothesis we have identified could be tested in other groups."

(02/04/2021)
by University of Birmingham

More Information: https://www.sciencedaily.com/releases/2021/01/210105095615.htm


Views: 949
Share