Dentists Journal

Top Ten Stories of the Week
2/26/2022

All Dentists Journal · Previous Week · This Week · All Time List · Headlines

Share

Is your Tongue Too Big for your Mouth?

So many times I’ve had patients during the initial consultation say they feel that their tongue is too big for their mouth. Although they feel that their tongue is too big for their mouth in all actuality it is not true. Their mouth is too small for their tongue!

Many of these patients who feel that their tongue is too big for their mouth have a forward tongue thrust, tongue-tie have issues with mouth breathing, and sometimes speech such as a lisp. Many had orthodontic treatment during their younger years and relapsed. I can never forget an initial consultation with a female patient who had issues with periodontal disease, tongue thrust, open bite, and speech.

She shared that she was told by her marketing manager that she would never be able to excel to the next level because of her speech. Ten years later those words still stuck with her. She thought that her tongue was just too big for her mouth and there was nothing that could be done about it. For her case it was a team collaboration; however, Myofunctional Therapy played a key factor.

When the tongue is in a low lying forward position, the upper mandible develops narrow and vaulted. Why? Because your tongue shapes the upper mandible. If it is not in its rightful position the muscles and bone have to compensate. This leads to crowding and many times the bones (teeth) grow around the forward tongue thrust leading to an open bite and overbite.

Orthodontists struggle to close an open bite or overbite because of the tongue. Many have shared that after 12 months post braces the beautiful bite changes. The first step to helping this phenomenon is we all have to start looking at our teeth as bones. Muscle forms the bone. Our tongue is the largest muscle in our oral cavity and it impacts the growth and development of our upper and lower mandible. It also impacts our airways. So you can move the bone with braces and you can cut into the bone to restructure the jaw.

If your orofacial muscles, especially the tongue, are not patterned to the new bite or jaw, it will continue to operate with old muscle patterns. These old muscle patterns are what caused the problem with the teeth and the jaw to begin with so then this ends up resulting in relapse.

To prevent orthodontic relapse and jaw surgery relapse, treatment of the tongue, orofacial muscles, and the airway are completely necessary. This is treating the underlying problem and will allow the muscles to readjust to the new bite and new face. Myofunctional Therapy in conjunction with Orthodontic Treatment is necessary to prevent relapse.

(02/18/2022)
by Tasl Consultants

More Information: N


Views: 624
Share
Share

Oral Health Problems Could Signify An Eating Disorder

Individuals suffering from eating disorders typically hide their disease, making it difficult for their doctors to detect. However, a dentist can see the signs that indicate eating disorders, such as ulcers and redness, which patients just can’t disguise. This places dentists in a unique position as a primary care doctor capable of spotting and helping patients suffering from eating disorders.

How Dentist Can Spot Eating Disorders?

Some might find it surprising that a large number of diseases and conditions of the body exhibit symptoms in the oral cavity. Some of these signs are specific to certain types of diseases and help to increase suspicion in alert practitioners. Eating disorders are among the types of conditions that present with classic signs on the teeth and on the soft tissues inside the mouth.

Patients suffering from these types of disorders often try to keep secret their problems and will try to avoid visiting doctors out of fear of being exposed. It’s not uncommon for dentists to be the first medical practitioner to diagnose an eating disorder. Approximately 28 percent of patients suffering from bulimia are first diagnosed during a dental exam, according to the National Institute of Dental and Craniofacial Research.

What are the Potential Oral Symptoms of Eating Disorders?

A dentist will typically identify one or more of the following signs in patients suffering from an eating disorder: redness and/or ulcerations in the mouth, specific wear-patterns on teeth in certain areas of the mouth, soft palate lesions, irritation in the corners of the mouth, decreased saliva production and enlarged parotid glands. Additionally, patients may also complain about sensitive teeth, burning tongue or dry mouth. They may also comment that their teeth appear shorter, a product of gum inflammation.

What Types of Eating Disorders Cause These Symptoms?

Most eating disorders fall into one of two categories, bulimia nervosa and anorexia nervosa. Each type includes subtypes, and many patients show a combination of symptoms that may make it difficult for a dentist to differentiate between bulimia and anorexia. In most cases, these types of disorders may involve the following types of behavior: binge eating, purging and self-induced vomiting and severe calorie restriction. Each of these types of behaviors will cause harmful or destructive side effects that are easily detectable to dentists.

How are Dental Problems Caused by Eating Disorders Treated?

Identifying the problem and referring a patient to the proper medical care is always a dentist’s primary priority. Following a referral, patient education regarding the negative effects of their disorder on oral health in a compassionate manner is paramount. It’s not uncommon for some patients to seek help for their eating disorder once they understand the risk it presents to their oral health. Unfortunately, many of the effects these types of disorders have on a patient’s teeth require caps or fillings to correct, with some advanced cases requiring root canals and even tooth extraction.

(02/21/2022)
by Oregon City Dentistry

More Information: https://www.oregoncitydentistry.com/oral-problems-signify-eating-disorder/


Views: 714
Share
Share

Men Are More Likely to Ignore Oral Health

A variety of survey and studies reveal that men are less likely than women to attend to their physical and oral health. Having good oral health is tied to overall good health, and it’s hard to believe that a common factor among those that don’t have regular dental checkups is that they’re men. It’s not unusual for a man to avoid the dentist for years until a problem arises, which may contribute to the fact that men can lose 5.4 teeth for non-smokers and 12 teeth for smokers by the age of 72. Without proper dental exams, men have a higher risk of developing oral cancer, throat cancer and gum disease. For men and the people that care about them, it’s essential that this trend is reversed immediately!

Gum disease and heart health

Men are more likely than women to suffer a heart attack and have a higher likelihood of being on medications that can lead to dry mouth, which increases their risk of developing gum disease. Research indicates a link between cardiovascular disease and gum disease and this can increase the risk of suffering a stroke or heart attack. That’s reason enough for men to visit the dentist regularly instead of waiting until they’re experiencing pain or other worrisome oral health issues.

Tobacco use

Men are affected by oral cancer and gum disease twice as often as women, and 95% of cases of oral cancer happen in people over 40. Tobacco use can increase the risk of oral cancer and gum disease. Without early diagnosis and treatment, oral cancer can lead to facial and oral disfigurement, chronic pain, loss of function and death. Anyone who uses tobacco should visit the dentist regularly for cleanings, exams and screenings for oral cancer.

Playing sports

Both men and women who play sports have an increased risk of suffering trauma to the face, mouth and teeth. Primarily male contact sports such a football and hockey are especially dangerous for oral health, and it’s vital that athletes wear a mouthguard to protect their teeth and gums.

Proper oral hygiene

Statistics show that many men only brush their teeth 1.9 times a day and some men even less than that. Practicing proper oral hygiene with twice daily brushing, daily flossing and seeing the dentist at least twice a year is the best way to protect teeth and gums and prevent oral health issues.

With all the advances in dental practices and treatments, there’s no reason for any man or woman to avoid visiting the dentist as often as they should. Contact Dupont Dental today to set up an exam and get back on the road to great oral health.

(02/24/2022)
by Dupont Dental

More Information: https://dupontdental.com/men-more-likely-ignore-oral-health/


Views: 623
Share
Share

Oral health after 40: Five changes you should make

As we move into our forties and beyond, we often make personal changes. We adopt new exercise regimes, change our working hours, modify our social life, and maybe even alter our hairstyle. But what about our teeth?

We look at the changes you should consider making to your dental health regime as you age.

1. Try interdental brushing

As we age, our gums start to naturally recede, often leaving a few more gaps between our teeth. Whilst most people brush the front-facing surfaces of their teeth relatively thoroughly, many of us don’t clean between our teeth effectively. Build-up of food and bacteria in these spaces that emerge in later life can cause gum disease.

Flossing, ideally once a day, is one way to guard against this. While it works for some people, others find flossing can be a little fiddly and awkward. As a result, interdental brushes are increasing in popularity as a way to help prevent gum disease by brushing away pieces of food and plaque from between the teeth.

Their small bristled heads are designed to clean tight spaces, and are available in different widths to suit the sizes of the gaps.

2. Keep the mouth moist

Our susceptibility to what’s commonly called ‘dry mouth’ increases as we get older. Symptoms of dry mouth can include bad breath, cracking of the lips, difficulty swallowing and sticky saliva. Sometimes it can just be attributed to the natural ageing process. But dry mouth is cited as a potential side effect of hundreds of medications that we rely on more in middle age and later life.

Which means that, even for someone with impeccable oral hygiene, there’s a chance they’ll experience symptoms of dry mouth at some point. Getting into the habit of keeping your mouth moist throughout the day is key to fighting back. Sipping water – little and often – is something we can all do, and chewing sugar-free gum can help stimulate saliva production.

3. Reduce coffee, alcohol and tobacco intake

Limiting the amount of coffee, alcohol and tobacco we consume is a wise course of action at any stage in life. But in our forties and beyond, it becomes particularly important to control your intake. They can all exacerbate dry mouth, and over time can lead to teeth staining. This is caused by loss of surface enamel, which causes the teeth to look darker in color.

But it’s not just about aesthetics. In general, with age comes increased risk of more serious health problems – and our mouths are no exception. Both alcohol and tobacco have been linked to oral cancers. People who use both are at a particularly high risk of the disease.

It’s certainly not the only reason to cut back on or eliminate these substances from your daily routine – there’s plenty of other wellbeing reasons to do so – but better oral health is certainly one of the benefits.  

4. Switch to a good quality toothpaste

With increased susceptibility to plaque build-up between teeth, having a strong supporting cast of toothpaste and mouthwash at our disposal becomes more important when we reach middle age. In some communities, fluoride – one of the active ingredients of most toothpastes – can be found naturally in tap water.

In those areas, research has shown there to be a far lower instance of tooth decay among the adult population.

A good quality fluoridated toothpaste and mouthwash are therefore must-haves to ensure that those creeping years don’t have an impact on the mouth. Your dentist can advise you on what strength toothpaste will be the most effective for you, but most fluoride-savvy adults look for toothpastes containing 1350 to 1550 ppm fluoride.

5. Visit the dentist more regularly

While everyone should be seeing their dentist twice a year where possible, the regularity of those visits becomes even more crucial as we age. Everyone has unique needs, and your dentist is your one source of treatment and guidance that is really tailored to you.

It’s important to get to know your dentist and get to know your mouth. Ask questions, seek advice from them, and raise anything you’re concerned about with them. As with most other parts of our body, it’s inevitable that our oral health gets a bit more complex as we age. So it’s crucial that you give your dentist the opportunity to identify and address any potential issues.

It’s worth remembering too that there’s plenty that dentists can do to make visits to their practice less daunting. So if the prospect fills you with dread, just let them know in advance.

It’s amazing how closely linked our oral health is with our entire wellbeing. As we get older, just a few small changes to how we care for our mouth and teeth can have a really transformative impact on our lives.

(02/24/2022)
by Independient.ie

More Information: N


Views: 653
Share
Share

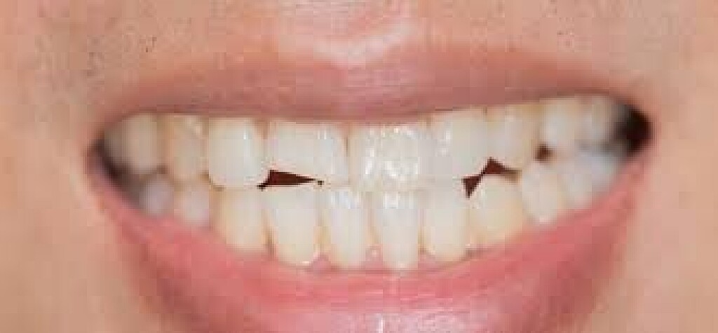
Common Causes of Cracked Teeth

Cracked teeth can be caused by a number of problems, such as a developing cavity or biting down on something hard the wrong way. Cracked teeth might not happen to everyone, but when they do happen, it is important that you consider ways that you can get the crack fixed.

Our office is knowledgeable in everything that has to do with a cracked tooth, so you never have to worry about not being able to smile with confidence, because you're able to do so with the help of our dentists in office.

What Causes Cracked Teeth

There are many reasons for cracked teeth. From grinding them while asleep (or even awake) or if you're biting down on hard foods that could cause the teeth issues, or if you have been hit in the mouth with something hard.

All of these things can cause the tooth to fracture. Fillings that are inside the tooth that are too large to hold the tooth together. This can cause the tooth's integrity to not be the same as it once was.

There are many things that can cause a cracked tooth. However, when you do have one, it is important that you speak with our office as soon as possible. This is because we need to make sure that we can fix the issue before it becomes worse. Sometimes when the crack is too bad the tooth might break apart and fall apart.

You don't want to lose your tooth because of a crack that could have been fixed.Speak with us today if you have a cracked tooth. It is important that you have the problem taken care of sooner, rather than later.

A cracked tooth is something that we can help you take care of, so you don't have to worry about an unsightly crack or a broken tooth. Call us today to get an appointment to have us take care of the issue.

(02/19/2022)
by Myers Dental

More Information: N


Views: 644
Share
Share

Learn The Signs Of A Mouth Infection And Know When To See A Dentist

When most people think of an infection, they think of being sick.  Unfortunately, many people do not include mouth infections in their idea of being sick.  The reasons for this are many.

Some people mistakenly assume that the mouth is separate from the rest of the body because it requires the care of a dentist instead of a medical doctor. Therefore, they think that problems in your mouth do not make you “sick”.

For others, it is simply the lack of the understanding that many dental problems actually are serious infections.

There are some people who believe that if nothing hurts, then nothing is wrong.

All of these misconceptions are dangerous because they cause people to overlook serious infectious diseases in the mouth.

What is an Infection?

An infection is the invasion of the human body by disease-causing microorganisms (including bacteria, viruses, and fungi among others).  These organisms multiply and produce toxins, which cause the body to respond with inflammation.

Like the gastrointestinal tract and the skin, the mouth is always full of microorganisms, and most of them are not bad.  Many bacteria are actually good for the body.  The term infection does not include these good organisms.  Infections involve bad bacteria that cause disease and destruction of the body’s tissues.  The most common infections in the mouth are caused by a wide variety of bacteria.  Fungal infections can often occur on the tongue, roof of the mouth, and corners of the lips.

What Dental Problems are Actually Infections?

Most dental problems are actually infectious diseases.  There are a few that can occur in the absence of bad microorganisms, like cracked teeth or TMJ problems.  The vast majority, though, are the result of an overgrowth of the wrong kinds of organisms in the mouth.

Cavities

There are multiple types of bacteria associated with cavities, and the most common is Streptococcus mutans.  This bacteria adheres to the tooth in dental plaque (which is why brushing and flossing helps prevent cavities).  This bacteria ingests carbohydrates and produces a strong acid as the by-product.

Because these bacteria stick to the teeth, the acid comes into direct contact with the tooth and begins to soften and weaken the enamel.  Without intervention, the bacteria continue to multiply, producing more and more acid, which dissolves tooth structure.  As the process continues, the bacteria literally eats its way through a tooth, leaving a hole (or “cavity”) in its wake.  Unchecked cavities destroy the tooth itself.

Cavities become very dangerous when the bacteria reach the nerve and blood vessels in the hollow center of the tooth.  As they continue to multiply and spread, a large abscess can form.  In the most dangerous scenarios, the infection spreads into the airway, bloodstream or brain, causing death.

Gum Disease

Gum disease, which includes gingivitis and periodontal disease, is the body’s response to an infection of toxic bacteria in the gums.  As the bacteria collect in various crevices around the teeth, they produce toxins that destroy gum tissue and jawbone.  Once started, this process is impossible to stop without intervention by a dentist.

Gum disease does spread to nearby teeth and can develop abscesses, just like cavities can.  Unchecked gum disease destroys the foundation of the teeth, so even healthy teeth can simply fall out.

Candida Fungal Infections (Thrush)

Fungal infections are slightly less common than bacterial infections in the mouth.  They often occur on the roof of the mouth underneath a denture or partial.  Thrush commonly develops on the tongue in a person with a severely dry mouth or compromised immune system.  You can also experience an overgrowth of fungus in the corners of the mouth, called angular cheilitis.

Fungal infections cause a whitish buildup in the affected area and can be uncomfortable, if not outright painful.  This type of infection commonly affects the very young, the very old, and the very sick.

What Symptoms Indicate the Presence of a Mouth Infection?

The problem with dental problems is that they often occur without causing any symptoms in their early stages.  We always want to stress the importance of consistent dental evaluations so that you prevent any infections or catch them in the earliest stages.

Pain

A toothache or pain in your gums is a bad sign.  Because of the prevalence of cavities and gum disease, it is safe to assume that pain in your mouth is a symptom of an infection.  This is especially true for people who have not seen a dentist in over a year.

Swelling

Any swelling in the gums is a red flag for infection.  If it is a small pimple-like swelling on the gums, you likely have an abscess from a tooth.  Swelling around multiple teeth where the gums meet the teeth is a sign of inflammatory gum disease.

Any swelling that affects the head or neck and is visible from outside the mouth is extremely dangerous.  Treat any such swelling as an emergency and seek urgent care!

Bleeding Gums

Healthy gums do not bleed.  Only the presence of inflammation causes bleeding of the gums, especially during normal oral hygiene like brushing and flossing.  The inflammation, which includes redness, swelling and tenderness, is the body’s natural response to toxins produced by the bacteria in dental plaque.

Bad Breath

Bad breath is the result of stinky gases produced by bacteria in the mouth.  Often these bacteria hide in the grooves and tiny crevices on the tongue or between the teeth.  The more bacteria present, the worse your breath will be.

Receding Gums and/or Loose Teeth

As gum disease progresses, the destruction of gum tissue and bone by bacterial toxins causes the gums to back away down the roots of the teeth.  This is often visible as receding gums, making the teeth appear longer.  As the gums and bone recede, you lose vital support for the teeth, and they may become loose.

When teeth become loose without any injury, it indicates a serious gum infection called periodontal disease or periodontitis.  Chronic periodontal disease increases your risk for heart attacks, strokes, diabetes, and Alzheimer’s disease.  This is not something to ignore!

A Persistent White Coating

A fuzzy or sticky white coating that persists for several days, even with good oral hygiene, may indicate a fungal infection.  The fungus Candida albicans is an opportunistic fungus that will reproduce rapidly whenever it can.

Do not attempt to scrape or scratch away any white coating that does not rinse off with a vigorous warm salt water swishing.  Simply perform your normal oral hygiene routine and drink plenty of water to stay hydrated.  Then see your dentist or medical doctor for evaluation and prescription of an anti-fungal medication.

(02/21/2022)
by Premier Dental Of Ohio

More Information: https://www.premierdentalohio.com/blog/symptoms-of-a-mouth-infection


Views: 691
Share
Share

What Your Dentist Wants You To Do After You Eat

Taking care of your teeth is especially important after eating. That’s why at Pimpama City Dental Centre, our caring team want you to know the best way to take care of your teeth and gums after eating.

POST-EATING ORAL ROUTINE

Many people ask the question: Is brushing your teeth after you eat good for you? Well, our Gold Coast dentists are here to help. The general consensus is, if the food or drink you consume is high in carbohydrates and sugars, you should brush immediately after.

This is in order to remove harmful bacteria in your mouth that can attack tooth enamel within the first twenty minutes after eating a meal or snack.

However, it has been proven that brushing your teeth immediately after eating can sometimes affect tooth enamel. This is the case if you’ve consumed food or drink that’s highly acidic, meaning you shouldn’t brush your teeth for at least 30 mins.

Never fear though, a good preventative measure is to brush your teeth before eating or drinking something acidic and drinking a glass of water afterwards to remove the harmful acids.

Proper oral hygiene is essential to keeping your teeth and gums healthy. At Pimpama City Dental Centre, our caring dentists offer expert advice on proper oral health.

FOOD & DRINKS TO AVOID

One of the best ways to improve oral hygiene is to limit your intake of harmful food and drinks.

Below is a list of food and drinks you should only consume in moderation (or not at all):

Lollies

Chocolate

Bread

Alcohol

Carbonated drinks

Fruit juice

Citrus

Dried fruits

Potato chips

Flavored coffee drinks

TIPS FOR LOOKING AFTER YOUR TEETH

Aside from visiting your dentist twice a year, there are several healthy habits you can follow at home to maintain healthy teeth and gums.

Brush two to three times a day (preferably after meals)

Use fluoridated toothpaste

Brush thoroughly for two to three minutes

Limit sugary foods/drinks & acidic drinks (soft drink, fruit juices & cordials)

Floss your teeth once a day

Wear a mouthguard whilst playing sport

Only use your teeth for chewing food

By following these healthy habits, you give your teeth and gums the best chance of avoiding bad breath, gum disease and tooth decay. Oral health is not only important for your mouth, it’s directly related to heart health.

(02/18/2022)
by PCDC dental centre

More Information: N


Views: 579
Share
Share

When to See Your Dentist: Signs and Symptoms

The vast majority of patients know that visiting the dentist for regular checkups is a good idea. It helps detect oral issues and prevents more serious oral health issues from developing. But occasionally, something will go wrong in your mouth between visits to the clinic. And that may leave you wondering if you should visit your dentist or not? 

While your body can correct some issues, many require medical assistance. Here are the signs and symptoms that make an extra trip to the dentist a good idea. 

Loose Teeth

Adult teeth should last a lifetime (or many decades at the very least). So if you have a loose tooth, it’s usually a sign that you need urgent medical attention from your dentist. 

There are several causes of loose teeth. The most common in young adults is trauma or injury. If you’ve received a blow to the jaw, you may find that one or more of your teeth are loose and moving around more than usual. In many cases, the extra play is the result of a stretched periodontal ligament. 

tooth and periodontium anatomical structure. Sectional human central incisor showing the structures that form the dental tissue and the periodontal tissues.

In older adults, gingivitis – or gum disease – is the most common cause of loose teeth. It first develops at the interface between the gum and crown. If left untreated, it can slip below the gumline, infect the root, causing damage to the root bed, leading to looseness. 

Other common causes include changes in hormones during pregnancy and osteoporosis. 

Persistent Bad Breath

When your mouth is healthy, it shouldn’t smell awful.

In some cases, though, foul smells can develop. And if it doesn’t go away after brushing or flossing, it could indicate a more serious issue. 

There are many causes of bad breath. Food is the obvious one but usually subsides after a few hours. However, poor dental hygiene, tobacco smoking, dry mouth, and infections can all lead to persistent halitosis. 

If you have bad breath that won’t go away, schedule an appointment with us. Lexington Family Smiles provides treatments that resolve the root of the problem of bad breath. 

Jaw Pain

If you have jaw pain, it could be a sign that you have an abscess under a tooth. When the infection becomes established in your mouth, it damages not only your teeth but the surrounding bone, creating a kind of dull ache. If you have an abscess, you require medical attention from a dentist. 

Jaw pain can also result from TMJ (temporomandibular joint) disorder where the joint stops working the way it should, or from the grinding of teeth, called bruxism. Our dentist, Dr. Michael Moulton, can provide treatment for this condition as well. 

Toothache

It can be tempting to do nothing about a toothache in the hope that it will go away. But, unfortunately, that rarely happens. In most cases, the throbbing continues to worsen to the point where over-the-counter painkillers are no longer sufficient. Don’t suffer the pain and don’t wait for the issue to become worse. Visit your dentist for toothaches.

A few forms of toothaches are purely nerve-related and don’t involve infection. For instance, you might have a toothache because a new tooth is coming through (not an issue for adults), or your teeth are shifting for some reason, perhaps because you’re wearing braces. Usually, these types of toothaches are not an issue, so long as the teeth are not loose. 

Most toothaches, however, are the result of infection. Bacteria get under the gumline or inside teeth, leading to swelling, inflammation, and intense pain. 

Toothaches at the back of the mouth tend to be the most severe because of the complexity and density of tissues in this region and the fact that the swelling doesn’t have many directions in which to expand.

A toothache may be treated by first eliminating the infection with antibiotics and then assessing whether extraction is necessary. If a gum pocket facilitates repeated infections, gum contouring may be needed to seal the gap and save the tooth.

Dry Mouth

In healthy patients, glands produce enough saliva to keep your mouth moist. The purpose of the moisture is to help remove food debris from the oral cavity and foster the growth of beneficial bacteria. When the mouth dries out, it can lead to yeast infections like thrush, mouth sores, increased plaque production, and sores in the corner of your mouth. 

If you notice that you have a dry mouth, dealing with it is a matter of priority and something you should speak with Dr. Moulton about as soon as you can. If we can address the issue early, it will prevent oral health problems in the future. 

There are several causes of dry mouth. Top of the list are medications, including pain meds, muscle relaxants, decongestants, and antihistamines. Other causes of dry mouth include tobacco and alcohol use, cancer therapy, and damage to nerves in your head. Aging is also a significant contributor, so you may notice that your mouth becomes less wet as you get older. 

White Spots On Your Teeth Or Gums

If you notice white spots on either your teeth or gums, visit Lexington Family Smiles for a dental evaluation. 

White spots on the teeth are usually the first sign of decay. These lesions indicate a softening of the enamel and usually means the start of a cavity. They are particularly common in patients who wear braces, so proper oral hygiene is so important.

White spots can also appear on soft tissue in the mouth, such as the gums, tongue, and bottom of the mouth. Dentists call these spots “leukoplakia.” Usually, they are benign and easy to scrape off, but sometimes they are precancerous. It’s always worth having a dentist evaluate it. 

Canker Sores

Cankers sores are small ulcers that appear on the lips, cheeks, roof of the mouth, and tongue. Some patients only get a couple of these in their lifetime, while it is a regular occurrence for others. 

The majority of sores we see heal within a week or two. However, you may find that sores never heal or recur more frequently. This may indicate abrasion issues in the mouth, hormone problems, or issues with your immune system. As your dentist, we can provide long-term solutions for dealing with these issues. 

(02/22/2022)
by Lexington Family Smiles

More Information: https://lexingtonfamilysmiles.com/when-to-see-your-dentist-signs-and-symptoms/


Views: 682
Share
Share

Common Issues During Orthodontic Treatment

Orthodontic treatment certainly helps in achieving a bright, beautiful smile. The time you spend wearing braces and the efforts you put for getting used to the braces is actually an investment for getting good health and confident smile. However having braces on your teeth can be a challenging task in your life. Challenges are not limited to just having to adopt braces, but you have to also keep yourself away from bad breath.

This blog tries to address bad breath issue. There’s no reason for you to believe you have to accept bad breath just because you are undergoing orthodontic treatment.

Here are some Fresh Breath Tips From KnightSmile Dental Practice:

Choice of Food:

Here are some of the food items causing bad breath during orthodontic treatment:

Garlic and onions.

Coffee and alcohol.

Sticky foods, for example chocolate.

Foods that are loaded with sweetness can contribute to bad breath.

Beverages having sugar contents.

Chewing sugarless gums acts as remover of food and dead cells from teeth, gums and tounge. Not just that, it promotes production of salvia. We encourage you to discuss with our team the type of food you should take during orthodontic treatment.

Stay Hydrated

Water not only flush the mouth but also produces salvia, which acts as a constant cleansing agent. It dissolves substance of food and drink from your mouth. A continuous dry mouth leads to bad breath as it reduce production of saliva which removes bacteria and excess food from your mouth – both of which cause bad breath.

Brush often

Brush your teeth and tongue twice a day. If possible brush teeth with fluoride toothpaste first thing in the morning and before you go to bed. This removes food particles and bacteria that cause bad breath. Not just teeth, you should brush your tongue as well because tongue holds a lot of bad smell bacteria which can causes bad breath. You should brush your tongue gently without being harsh on it.

Flossing

Flossing with braces might seem tricky, but it is a necessity. Ask our team at KnightSmile Dental Practice to teach you the best way to floss effectively with braces. Flossing can remove plaque and bacteria from between your teeth, where your toothbrushes can’t reach. Flossing should be done at least once a day to avoid bad breath during orthodontic Treatment.

Mouthwash Use

Mouthwash generally provides a temporary cure for bad breath, but sometimes it acts well to get away from being noticed for bad breath. An antiseptic mouthwash acts better as it kills bad bacteria. It works more than just an ordinary mouthwash. Look for mouthwashes with hlorhexidine, cetylpyridinium chloride, chlorine dioxide, zinc chloride and triclosan, or if you are confused, use the mouthwash recommended by our dentist for the best results. You should swish the mouthwash around in your mouth for 30 seconds. Mouthwash certainly help to avoid bad breath during your orthodontic treatment.

Smoking or chewing tobacco

Bad breath is one of the side effects of smoking and tobacco apart from many other life threatening effects that smoking and tobacco cause. Smoking and tobacco should be strictly avoided to keep away from bad breath and severe deceases like Cancer.

(02/22/2022)
by Knight Smile Dental

More Information: N


Views: 649
Share
Share

Top 6 Tooth Problem Faced By Everyone

Dental problems are something that everyone has faced once in a while. Though they are painful, they can be controlled by simple techniques like brushing and flossing regularly. Using a best ayurvedic toothpaste for brushing your teeth can also help to minimise the impact of chemicals. It is essential to know about the dental problems that are commonly faced. Here are the top 6 tooth problems faced by everyone:

Toothaches

The most commonly faced tooth problem is a toothache. It could be due to any reason like swelling in gums, or pus around the tooth. It is important to make an appointment with the dentist before it manifests into something serious. 

Stained Teeth

Teeth in any colour apart from white are not attractive. Food, medicines, and tobacco are some of the things that discolour the teeth. The easiest way to whiten your teeth is to use a whitening toothpaste. You can also visit your dentist for a whitening session. 

Cavities

Eating sweets and carbonated drinks can create plaque on the enamel of the teeth which leads to the formation of cavities. It is essential to clean your teeth after every meal with a best ayurvedic toothpaste in India that will cause no harm to your teeth courtesy its natural ingredients.

Sensitivity

Any cold thing which causes a sting in your teeth means you have tooth sensitivity. It could be due to cavities, gum diseases or exposed roots that cause the sting. If the cause is something serious like gum disease or exposed root, you should visit the dentist and get it treated. Otherwise, using an ayurvedic toothpaste for sensitive teeth can solve the problem.

Gum Problems

The most common sign of unhealthy gums is they bleed. They become very tender and chewing something hard can be very difficult. The cause behind gum diseases (gingivitis) is the plaque present on the enamel of the teeth. Brushing, flossing and rinsing with an antiseptic mouthwash can have a calming impact on the affected areas. Using an ayurvedic toothpaste for gingivitis can also relieve you from the pain. 

Oral Cancer 

The symptoms of mouth or throat cancer include sores, lumps, or rough areas in the mouth. You may also have a change in your bite and difficulty chewing or moving your tongue or jaw. Oral cancer is caused by the consumption of tobacco and alcohol, mostly by chewing tobacco. Early detection by regular visits to the dentist can play a significant role in prevention and cure to the disease.

(02/20/2022)
by Vithoba

More Information: N


Views: 550
Share