My BEST Dentists Journal

All Journal Entries
Share

Abfraction Lesion: Causes And Treatment

If you've started to notice dents in your teeth where the tooth and the gums come together, you could have abfraction lesions forming. There is no need to worry, though. Your dentist can diagnose the problem and help you find the right treatment plan. Before you go to the dentist, here is what you should know about abfraction lesions.

What Are Abfraction Lesions?

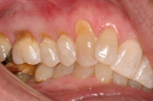
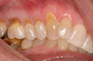
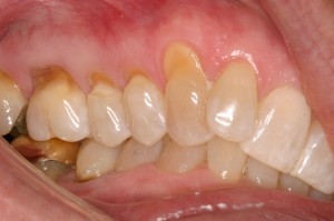
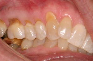
Abfraction lesions are losses of tooth structure. The lesions occur gradually, The lesions occur gradually, with an indentation forming on the front of the tooth near the gumline that gets deeper with time. Abfractions are not cavities but are instead known as non-carious cervical lesions or NCCL. However, because they expose the softer portions of the teeth, like dentin, they can cause tooth sensitivity and mimic the symptoms of a cavity. Discovering the cause is an essential first step to treatment and management.

What Causes Abfraction Lesions?

Abfraction lesions have been attributed to excessive force placed on the teeth during chewing or teeth grinding. However, according to a review in Clinical, Cosmetic, and Investigational Dentistry, there are many factors, including chemical, biological, and behavioral factors, that may contribute to the development of abfractions.

For example, erosion and abrasions can also contribute to the formation of dental abfraction lesions. Tooth erosion occurs from exposure to acids, such as acid reflux or acidic foods and drinks. Tooth abrasion may be caused by improper brushing technique or the use of abrasive toothpastes. This combination causes gum recession and exposes the softer, less mineralized parts of the teeth called the cementum and dentin. Acidic and abrasive factors initiate the abfractions, but often stress from biting can deepen the lesion over time.

How Do You Treat Abfraction Lesions?

Proper abfraction treatment is based on the severity of the lesion and the reported sensitivity and aesthetic concerns. A dentist will usually fill the lesion when it extends below the gums, becomes decayed or challenging to clean, or exposes the tooth's pulp or nerve. Filling the lesion reduces sensitivity and restores the tooth structure. Your dentist may use composite or tooth-colored fillings to cover the notches and improve your smile's appearance.

If teeth grinding causes your abfractions, your dentist may fit you with a mouthguard to protect your teeth while you sleep. Orthodontics can also help prevent further abfraction lesions by realigning your bite and taking pressure off of certain areas of your mouth that may be prone to the damage. Although it won't cure abfractions, try a desensitizing toothpaste if your abfraction is minor. They help relieve the pain associated with tooth sensitivity and work for fast relief.

Your dentist and dental hygienist know how to recognize and modify risk factors for abfractions. If you have tooth sensitivity and you've noticed a lesion starting to form, there is no reason to worry. Talk with your dentist, and they will work with you to decide the best treatment plan for your smile.

(03/25/2021)
by Colgate

More Information: https://www.colgate.com/en-us/oral-health/threats-to-dental-health/abfraction-lesion-causes-and-treatment

Views: 937
Share


My BEST Dentists Journal Headlines