My BEST Dentists Journal

All Journal Entries
Share

Apical Abscess: Symptoms, Diagnosis, And Treatment

Apical abscesses are one of the most common dental abscesses and can develop into serious dental issues. If you experience symptoms, it's essential to visit a dental professional promptly for diagnosis and treatment. Arriving at your appointment armed with a basic knowledge of what the abscess is can also help.

What Is an Apical Abscess?

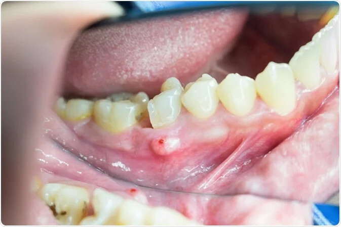
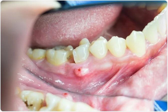
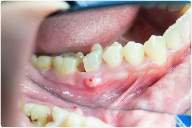
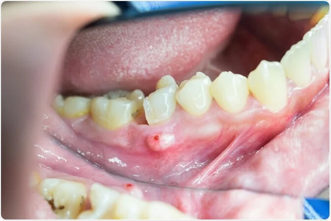
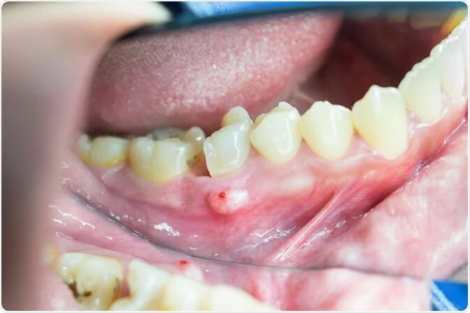
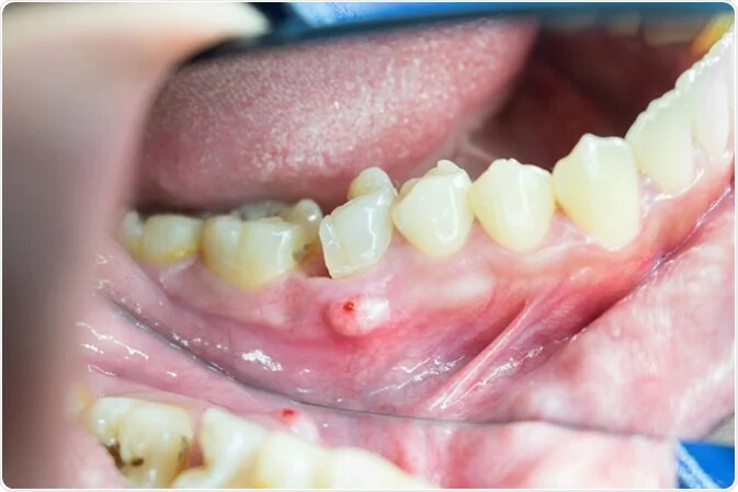
A dental abscess is your body's inflammatory reaction to an infection in the tooth's nerve. The abscess itself is a collection of pus arising from a source of infection at the tooth's root, which can break through the tissues and discharge into the mouth.

Symptoms

Apical abscess symptoms depend on if the infection is considered to be a chronic or acute apical abscess.

A chronic apical abscess occurs gradually with little or no discomfort and occasional discharge of pus. On an X-ray, a chronic abscess will display bone destruction as dark regions in the bone, also known as radiolucencies.

An acute apical abscess occurs quickly and involves pain without stimulation. Though X-rays may appear normal, symptoms of acute apical abscesses include:

Tooth pain that wakes you up at night

Pain when not chewing

Extreme tenderness to pressure on the tooth

Pus and swelling of surrounding tissues

Malaise, fever, or swollen lymph nodes

Severe dental abscesses can even lead to sepsis, which is a life-threatening infection in the bloodstream. These severe manifestations can require hospitalization.

Diagnosis

Your dentist will tap your teeth to assess sensitivity, take X-rays and possibly recommend a CT scan for further evaluation. Your history of symptoms will also aid the diagnosis.

Sometimes, it can be unclear which tooth is causing the abscess. If this is the case, your dentist may insert a gutta-percha point—a flexible material—into the draining opening of the abscess. An X-ray will then trace the opening of the abscess straight to the primary source of infection.

Treatment

Acute apical abscess treatment starts at the source of infection. Your dental professional may need to drain the infection and deliver antibiotics if the infection has spread for large swellings. For dental abscesses contained in the mouth, your dentist may recommend root canal therapy or extraction of the infected tooth.

If you have any signs of an abscess, it's important to visit a dental professional. An infection can cause severe problems and spread to other regions of the body, making it a higher risk to your health. Arming yourself with this information can help you keep an eye on your dental health and make appointments with your dentist as necessary if an urgent concern arises.

(09/05/2023)
by Colgate

More Information: https://www.colgate.com/en-us/oral-health/mouth-sores-and-infections/apical-abscess-symptoms-diagnosis-and-treatment

Views: 559
Share


My BEST Dentists Journal Headlines