My BEST Dentists Journal

All Journal Entries
Share

Apical Periodontitis: Causes, Symptoms, and Treatments

A healthy smile involves more than just strong, shiny teeth. Your gums also play an important role in your oral health, and some forms of gum disease can be pretty sneaky. Apical periodontitis, also known as periapical periodontitis, does not always have symptoms but should not be ignored. Find out more about periapical periodontitis and its causes, symptoms, and treatments.

What Is Apical Periodontitis?

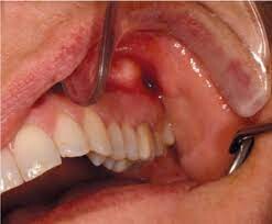
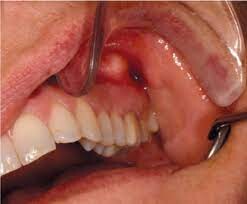
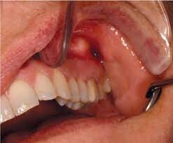
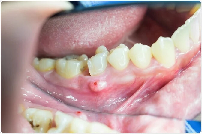
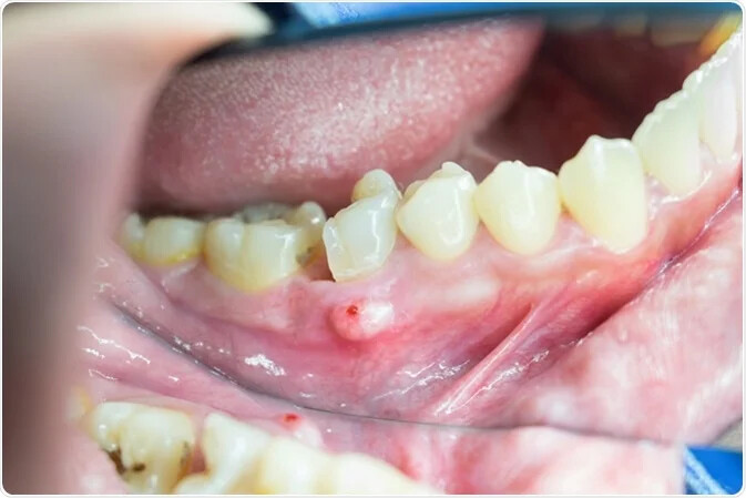
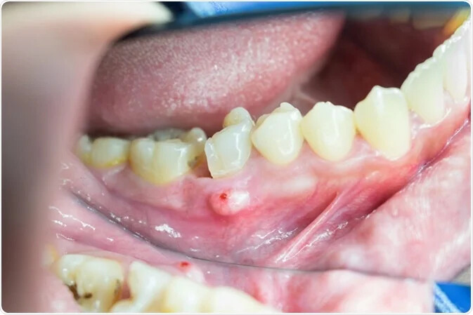
Apical periodontitis refers to the inflammation of the periodontium — the tissue that surrounds your teeth. Apical means "relating to the apex," so inflammation usually occurs around the tip — or apex — of the tooth's root. Two types of apical periodontitis exist:

Asymptomatic. Asymptomatic apical periodontitis does not produce any clinical signs or symptoms. However, long-term inflammation can eventually destroy the tissue surrounding the teeth. This type usually develops gradually and is ongoing, which is why it once was referred to as chronic periapical periodontitis.

Symptomatic. Symptomatic apical periodontitis causes pain and discomfort when a person bites down or makes contact with the surrounding teeth. This type of apical periodontitis is usually acute, meaning it comes suddenly and gets worse quickly. However, it can also be chronic.

What Causes Apical Periodontitis?

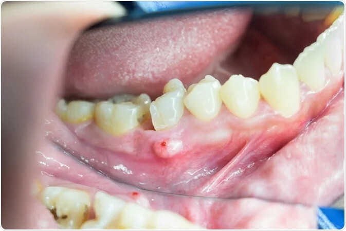
Typically, apical periodontitis occurs when there's another problem with the tooth. For example, inflammation can develop if a person has an untreated cavity. In some cases, apical periodontitis can develop if the pulp of the tooth becomes infected or dies. Injury or trauma to the tooth can also lead to apical periodontitis.

Because symptoms do not always accompany apical periodontitis, you might not detect it on your own. If you experience pain or discomfort when biting or brushing your teeth, make an appointment to immediately see your dentist. Otherwise, regular dental exams allow your dental professional to note any changes to your oral health and catch asymptomatic inflammation early.

How Do You Treat Apical Periodontitis?

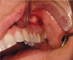
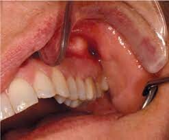
If your dentist notices any inflammation in your gums, they will most likely refer you to an endodontist for treatment. Your treatment depends on what procedures have already been performed and the degree of inflammation. Apical periodontitis treatments could include:

Root canal. In some cases, a root canal can minimize the inflammation of your gums by removing the bacteria and infected tissue from the tooth's pulp.

Apicoectomy. If the infection develops or continues after the root canal, you might require an apicoectomy. During this procedure, the endodontist removes the tip of the tooth's root and infected tissue, then seals the end of the root with a filling.

A proper oral hygiene routine and regular visits to the dentist can help protect your gums from apical periodontitis. If you notice any pain or swelling in your gums, schedule an appointment with your dentist. They can take a look inside your mouth, assess your symptoms, and recommend the appropriate next steps.

(07/25/2023)
by Colgate

More Information: https://www.colgate.com/en-us/oral-health/threats-to-dental-health/what-is-periapical-periodontitis

Views: 622
Share


My BEST Dentists Journal Headlines