My BEST Dentists Journal

All Journal Entries
Share

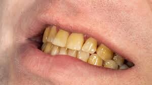
Are Yellow Teeth A Sign Of Oral Issues?

Yellow teeth aren’t just unsightly, but they can be a sign of even deeper issues with your oral and overall health. We’ll cover just some of the reasons why teeth can turn yellow, and how those reasons can impact your health.

1. Lack of Oral Hygiene

The less frequently you brush your teeth, the more likely your enamel, or the outermost layer of your teeth, will wear down. When enamel becomes porous, you’re more likely to develop stains. Just brushing and flossing your teeth every day, at least twice per day can keep your smile bright and healthy! So if you have yellow teeth due to poor oral hygiene, chances are you have other oral issues, too.

2. Poor Diet

Sugar rapidly erodes enamel—so a diet heavy in sugar and carbs can cause yellow teeth over time. If you frequently indulge in pastries, candies, soda, or alcohol, your diet could be directly affecting your oral health. Not only can poor diet choices cause yellow teeth, but they can also lead to other issues like obesity, diabetes, high cholesterol, and other health complications. A diet rich in fresh fruits and vegetables, lean proteins, and dairy can support a healthy smile.

3. Smoking

Smoking is detrimental to your health, and many smokers experience staining to their teeth.

4. Injury

If you have cracked, chipped, or broken teeth, you can develop staining as a result of the broken enamel.

5. Genetics

A yellow smile can simply be due to genetics, so it’s important to be mindful of other oral health issues that may run in your family.

6. Dry mouth

If you have early stage gum disease, one of the symptoms you might experience is dry mouth. Dry mouth means that you don’t have enough saliva to wash away bacteria from the surface of your teeth, making it more likely to develop stains and cavities.

 

These are just some of the causes of yellow teeth, some of which are signs of other oral issues or can cause oral issues in the future.

(10/16/2023)
by Indy Dental Solutions

More Information: https://www.indydentalsolutions.com/blog/yellow-teeth-oral-issues/

Views: 502
Share


My BEST Dentists Journal Headlines