My BEST Dentists Journal

All Journal Entries
Share

Are Your Sore Gums a Sign of Serious Dental Problems?

Given a choice, every person on the planet would choose to go through life without ever experiencing gum pain. After all, those sharp or throbbing pains can be difficult to endure. Unfortunately, millions of Americans suffer from sore gums at some point in their life. In many instances, that pain and discomfort is only temporary, and may just be due to overbrushing or even stress. At other times, however, sore gums can be a sign of more severe dental problems. When that’s the case, you may need professional care to alleviate the pain and avoid more serious consequences.

What Are Your Sore Gums Telling You?

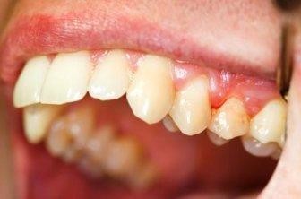
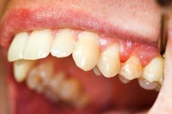
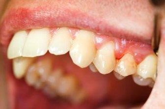
The important thing to recognize is that pain is your body’s way of telling you that something’s not quite right. In the case of sore gums, the problem could be something as simple as over-exuberant brushing or flossing. Unfortunately, however, it could also be something far more serious – like gum disease. But how can you determine whether it’s just a temporary problem caused by some lifestyle habit, or a far more serious medical issue in need of treatment?

What Causes Sore Gums?

The best place to start is to learn the various causes of gum soreness. They fall into two categories – lifestyle causes that you can address on your own, and dental concerns that require medical intervention by a dentist.

Lifestyle Causes for Sore Gums:

Lifestyle causes can include:

Improper brushing or flossing techniques

Poor diet

Tobacco Use

Failure to follow a sound oral hygiene regimen

In addition, elevated stress can impact the immune system and increase cortisol levels and inflammation – which can eventually impact the gums.

Medical or Dental Issues:

There are also medical issues and dental conditions that can create gum soreness. They include: Vitamin deficiencies, Changes in your hormone levels, particularly during pregnancy, Problems with your blood, Gum diseases like gingivitis and periodontitis.

What Can You Do?

First, recognize that most gum soreness is related to dental hygiene. That means that you can generally get rid of the pain by focusing on proper brushing and flossing. The same holds true for lifestyle-related pain. Stress can be relieved, diets can be changed, and you can work to stop smoking or engaging in other activities that put your gums and teeth at risk. Finally, when medical issues like vitamin deficiency or hormonal concerns are at fault, medical professionals can help to address those concerns as well.

Of course, you’ll need to know exactly why your gums are sore before you can take the appropriate steps to correct the problem. 

(12/15/2020)
by Ebenezer Dental

More Information: https://www.ebenezerdental.com/2019/09/30/are-your-sore-gums-a-sign-of-serious-dental-problems/

Views: 1,004
Share


My BEST Dentists Journal Headlines