My BEST Dentists Journal

All Journal Entries
Share

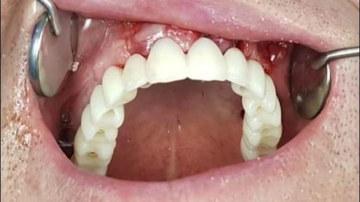
Bone grafting, a simple surgery to overcome major dental issues

A dental bone graft is usually a relatively minor procedure. The dental bone grafting in Berkeley, CA, uses a method that makes an incision to expose the bone of the jaw, then graft new bone material to it. The bone creates new bone cells around the grafted material, building up bone exactly where it is needed. The body makes new bone cells and gets rid of old ones on continuously. But sometimes, one can end up without enough bone in the jaw, which might mean they need a bone graft.

Types of bone grafts.-

Block Bone Graft:

In this, the dentist will use bone from the back of the jawbone, near the wisdom teeth. This is the best option if one has a serious bone loss that needs to be addressed.

Socket Graft:

A socket graft is the type of graft that one can get at the same time as they get a tooth extracted. This avoids bone loss, usually linked with adult tooth loss. The patient’s body won’t be able to reabsorb the bone near where the tooth was because of the socket graft. This keeps the jaw ready for the dental implants that one will get to replace the missing tooth.

Sinus Lift:

This bone graft is needed if someone has lost some of the molars on their upper row of teeth. Part of the sinus may sometimes start to reach downward, filling in the gap left by the teeth. A sinus lift brings back the sinus to normal while repairing the gap with a bone graft instead.

Dental bone grafting Procedure:

Dentist in Berkeley,CA, will first the old tooth will be taken out. Then, the bone graft will be done for the patient to get ready for implant surgery. After the graft, there will be a strong base for the new tooth. Once the bone graft is done, the patient will probably need to wait for a matter of months before one can have their implant added. It takes time for the bone to develop new bone around the graft, so the implant will be fixed in place. Bone graft surgery typically takes less than two hours.

Bone Graft Healing Process:

The bone graft healing process is quite simple and straightforward. The patient might feel some pain after the bone graft is over. However, the pain is mostly manageable with ice, and the dentist might also recommend medications to keep the swelling down. The swelling will be one of the most visible effects during the recovery. It’s more vital to work on reducing the swelling since it can get in the way of the healing process. One would also need to watch out as to what they eat while they recover. Some procedures will restrict one to a liquid diet, while others may allow a variety of soft foods. However, it will take time when you can eat anything hard or crunchy. The sleeping position must be maintained properly, as one may need to keep their head elevated, so blood doesn’t gather at the operated site and cause more swelling. And it’s also important to avoid strenuous activity for some period, so nothing harms the site of the graft.

Dental bone graft complications:

Bone grafting is a common dental procedure that is mostly considered safe, and there is a low level of risk for complications. There are, however, few risks that every patient should be aware of, including Infection, Bleeding, Blood clots, and Complications from anesthesia. There are other risk factors for bone graft failure, which include age, some medical conditions, and whether the patient is using his/her own or donated bone.

Tips for caring for a dental bone graft:

Caring for a dental bone graft is quite similar to the way one would care for many types of oral surgery sites. However, here are some guidelines on how to take care of dental bone graft after the surgery:

One should consume more of soft foods like Pasta, yogurt, and cooked vegetables. They are all a good option.

One should avoid salty, spicy or extremely hot food as these can irritate the surgical site

Patients undergone dental bone grafting should stay away from hard or sticky foods as they can damage stitches and cause pain

One should avoid chewing on the surgical site as it also helps the stitches.

(10/15/2020)
by Berkeley Smiles

More Information: https://theberkeleysmiles.com/bone-grafting/bone-grafting-simple-surgery-to-overcome-major-dental-issues/#:~:text=A%20dental%20bone%20graft%20is,exactly%20where%20it%20is%20needed.

Views: 452
Share


My BEST Dentists Journal Headlines