My BEST Dentists Journal

All Journal Entries
Share

Can Overcrowding Teeth Be Fixed? Tips and Advice

Do you have overcrowded teeth? Do you feel self-conscious about your smile? You’re not alone. Overcrowding of teeth is a common dental issue that affects many people. It occurs when there is not enough space in the jaw for all the teeth to fit properly, causing them to overlap and become crooked.

The good news is that overcrowded teeth can be fixed. There are several treatment options available, including braces, clear aligners, and veneers. Braces are the most common treatment for overcrowding, as they gradually move the teeth into the correct position over time. Clear aligners, such as Invisalign, are a popular alternative to traditional braces, as they are virtually invisible and can be removed for eating and cleaning. Veneers are another option, although they are typically used for cosmetic purposes and may not be suitable for everyone.

If you have overcrowded teeth, it’s important to seek treatment from a qualified dental professional. They can assess your situation and recommend the best course of action for your individual needs. With the right treatment, you can achieve a straighter, healthier smile that you can be proud of.

Understanding Overcrowded Teeth

If you have crowded teeth, you may wonder if there is a way to fix them. In this section, we will discuss what overcrowded teeth are, and some of the common causes of this condition.

What Are Overcrowded Teeth?

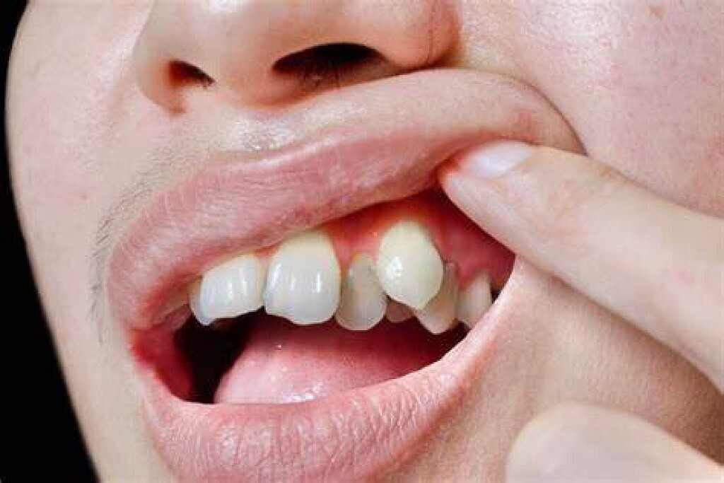
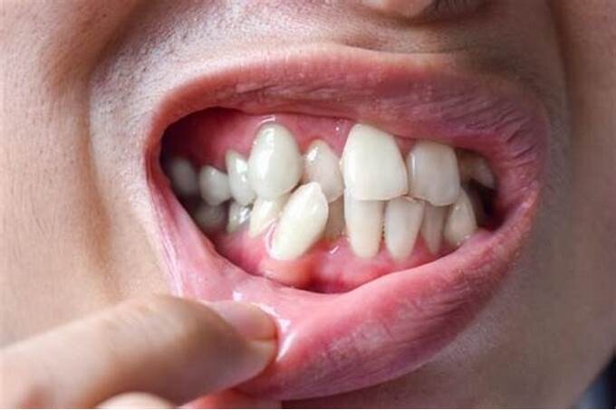
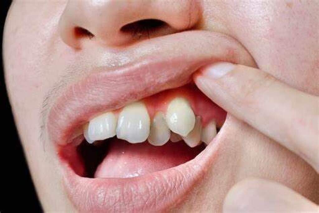
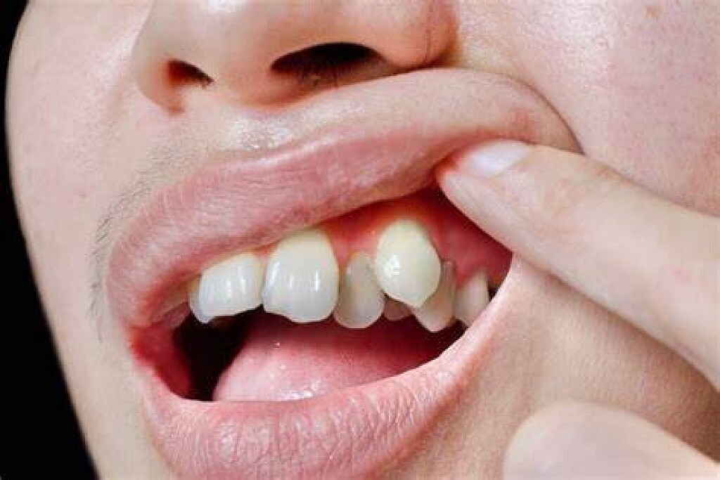
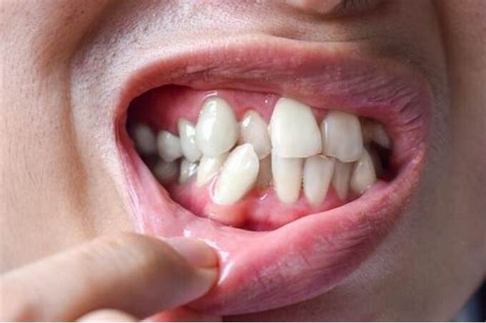
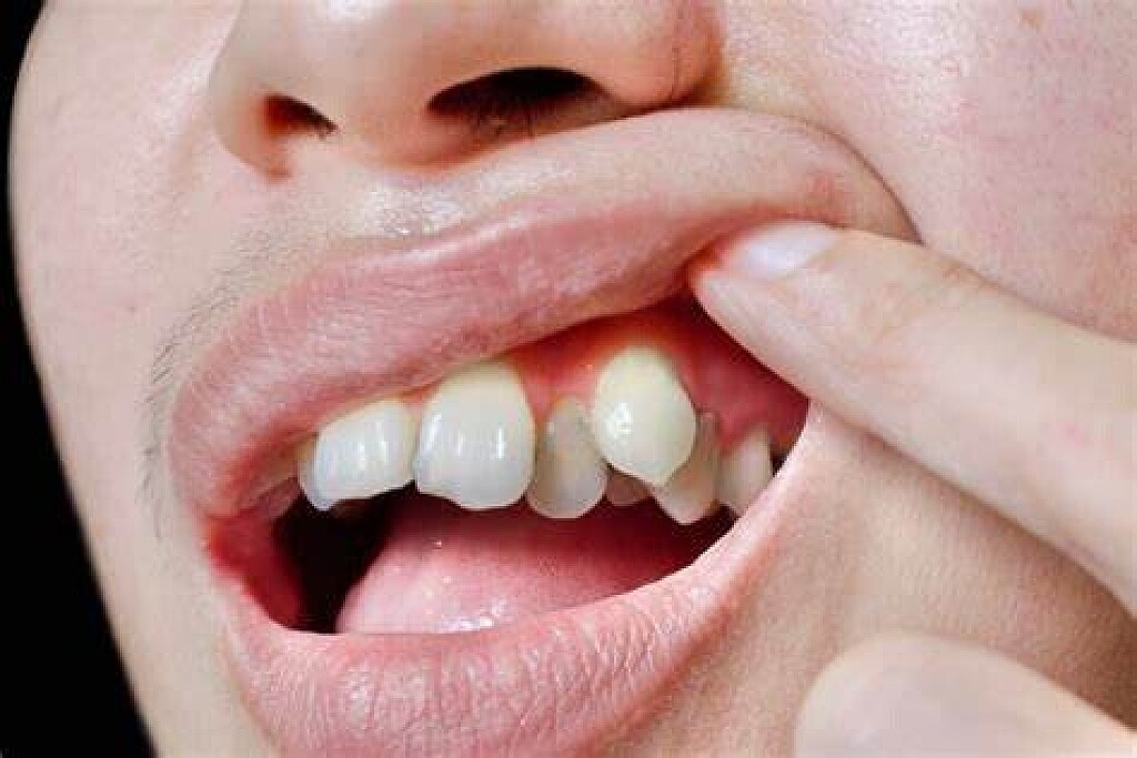
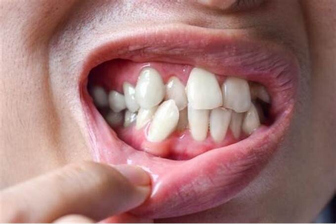
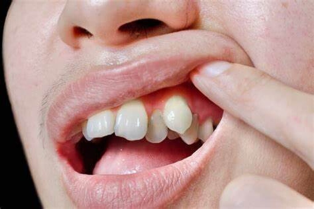
Overcrowded teeth occur when there is not enough space in your mouth for all of your teeth to fit comfortably. This can cause your teeth to become crooked, overlap, or twist, which can affect your appearance and make it difficult to clean your teeth properly. If left untreated, overcrowded teeth can also increase your risk of tooth decay, gum disease, and other dental problems.

Causes of Overcrowded Teeth

There are several factors that can contribute to overcrowded teeth, including:

Genetics: Some people are simply born with smaller mouths or larger teeth, which can cause crowding as their teeth grow in.

Thumb-sucking: If you suck your thumb or use a pacifier for an extended period of time, it can affect the growth of your teeth and jaw, leading to crowding.

Mouth breathing: Breathing through your mouth instead of your nose can cause your teeth to shift and become crowded over time.

Early tooth loss: If you lose a baby tooth too early, it can cause the surrounding teeth to shift and become crowded as they grow in.

Wisdom teeth: If your wisdom teeth do not have enough space to grow in properly, they can cause crowding and other dental problems.

If you have overcrowded teeth, it is important to talk to your dentist or orthodontist about your treatment options. With the right care, you can improve your smile and protect your dental health for years to come.

Effects of Overcrowded Teeth

If you have overcrowded teeth, you may experience several negative effects that can impact your oral health and aesthetics. Here are some of the effects of overcrowded teeth:

Oral Health Impact

Overcrowded teeth can lead to several oral health issues, including:

Difficulty cleaning teeth: Overcrowded teeth make it difficult to clean teeth properly, which can lead to tooth decay, gum disease, and bad breath.

Increased risk of tooth damage: Overcrowding can cause teeth to shift, leading to chips, cracks, and other damage.

Jaw pain: Overcrowding can cause misalignment of the jaw, leading to pain and discomfort.

Speech problems: Overcrowded teeth can cause speech problems, such as lisping and difficulty pronouncing certain sounds.

Aesthetic Concerns

Overcrowded teeth can also have aesthetic consequences, including:

Crooked or uneven teeth: Overcrowding can cause teeth to appear crooked or uneven, which can impact your smile and overall appearance.

Crowded teeth can cause you to feel self-conscious about your smile, which can impact your confidence and self-esteem.

Overall, overcrowded teeth can lead to a range of issues that can impact your oral health and aesthetics. If you have overcrowded teeth, it is important to seek treatment from a qualified dental professional.

Treatment Options for Overcrowded Teeth

If you have overcrowded teeth, there are several treatment options available to help straighten them out. Here are some of the most common treatment options for overcrowded teeth:

Braces

Braces are a popular and effective way to straighten overcrowded teeth. They work by applying pressure to your teeth over time, gradually shifting them into the correct position. Braces can be made from metal, ceramic, or clear materials, and they can be worn for anywhere from six months to two years or more, depending on your individual needs.

Invisalign

Invisalign is a type of clear aligner that works similarly to braces, but without the brackets and wires. Instead, you wear a series of clear plastic trays that gradually shift your teeth into the correct position. Invisalign is a popular choice for adults who want a more discreet way to straighten their teeth.

Tooth Extraction

In some cases, overcrowded teeth may need to be extracted in order to make room for the other teeth to shift into the correct position. This is typically done as a last resort, after other treatment options have been exhausted. Your dentist or orthodontist will be able to advise you on whether tooth extraction is necessary in your case.

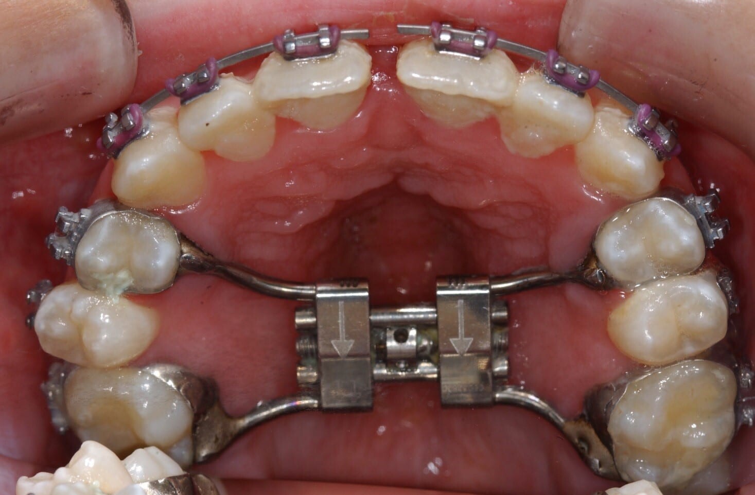
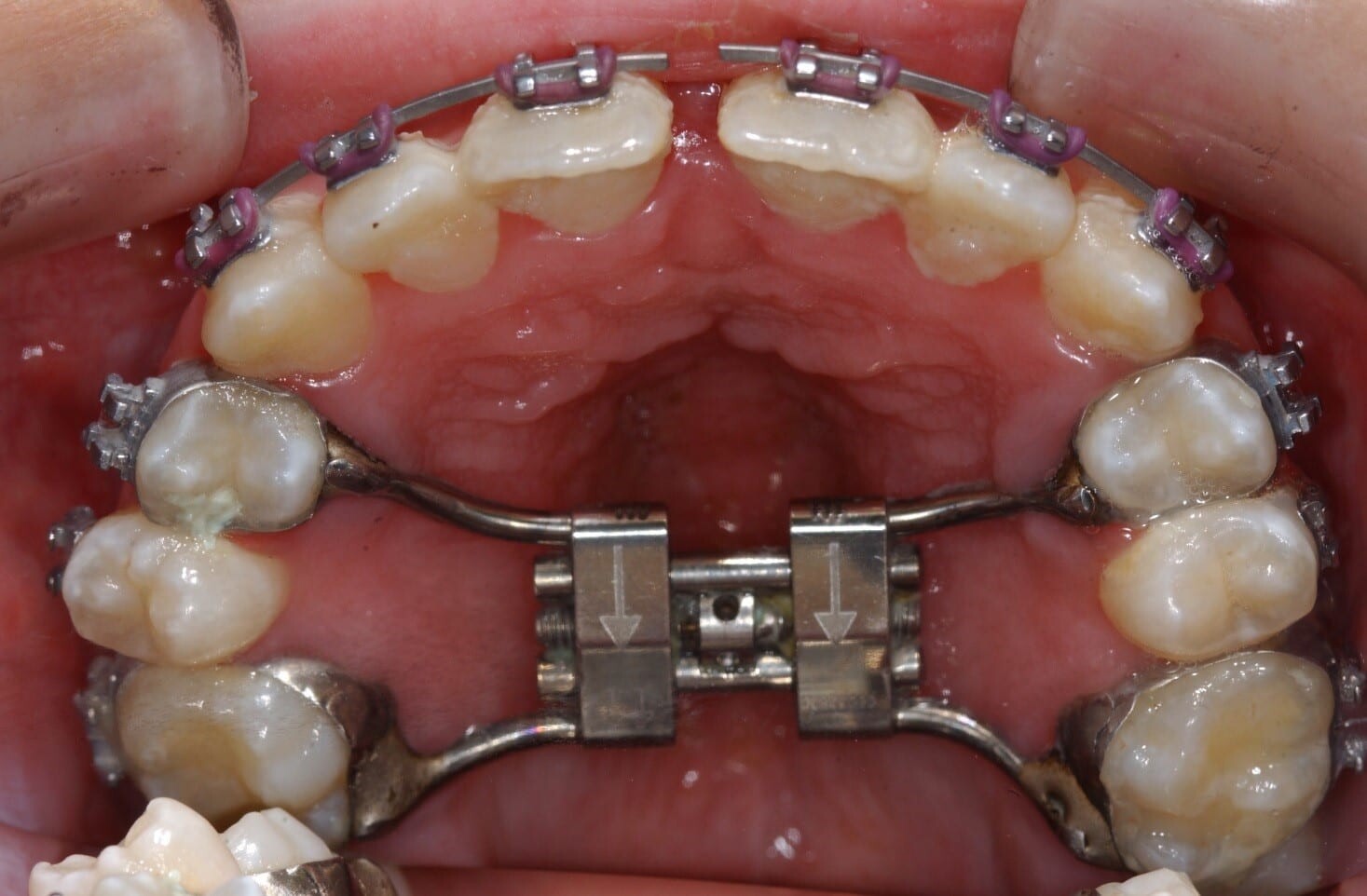
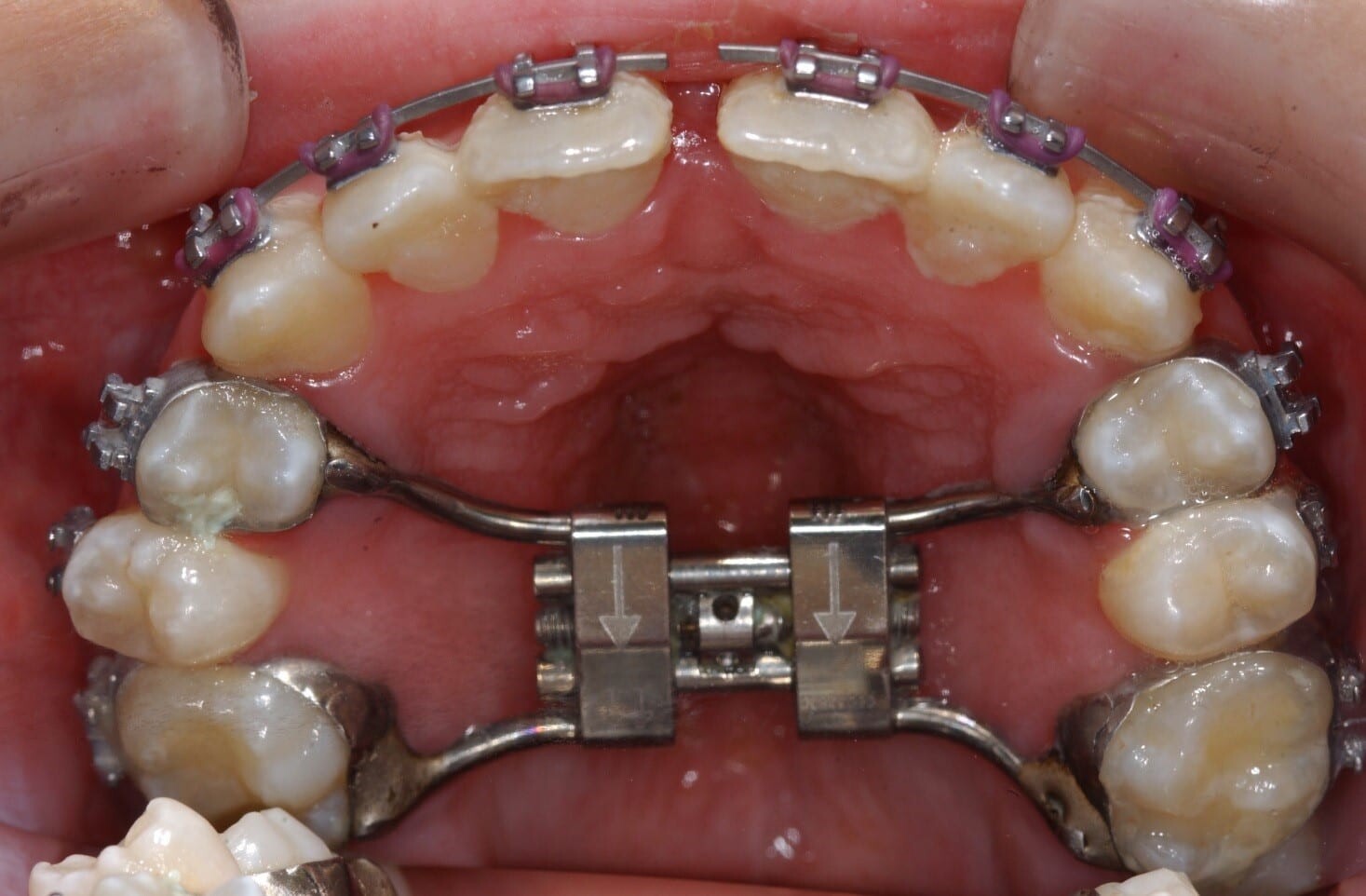
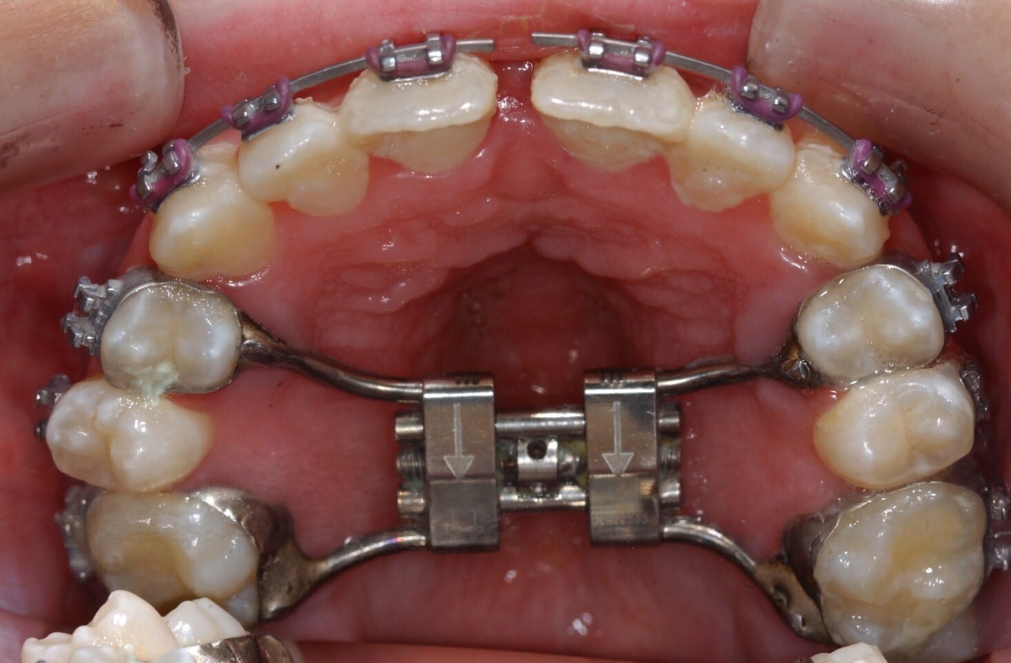
Palatal Expanders

Palatal expanders are devices that are used to widen the upper jaw in order to create more space for the teeth. They are typically used in children and teenagers, as the jaw is still growing and can be more easily manipulated. Palatal expanders are usually worn for several months, and they can be adjusted by your orthodontist as needed.

 

Overall, there are several effective treatment options available for overcrowded teeth. Your dentist or orthodontist will be able to advise you on the best course of action based on your individual needs.

If you’re concerned about overcrowded teeth, there are a few things you can do to prevent them. Early orthodontic evaluation and maintaining oral health are two important factors to consider.

Early Orthodontic Evaluation

The American Association of Orthodontists recommends that children have their first orthodontic evaluation by the age of 7. This allows orthodontists to identify any potential issues early on, before they become more serious. Early intervention can prevent overcrowding and other dental problems from developing.

During an orthodontic evaluation, your orthodontist will examine your child’s teeth and jaw to determine if there are any issues that need to be addressed. They may take x-rays or other diagnostic tests to get a better look at your child’s teeth and jaw.

If your child does need treatment, your orthodontist will work with you to develop a treatment plan that meets your child’s needs. Early treatment can often prevent the need for more extensive treatment later on.

(08/09/2024)
by CDHP

More Information: https://www.cdhp.org/can-overcrowding-teeth-be-fixed/#google_vignette

Views: 347
Share


My BEST Dentists Journal Headlines