My BEST Dentists Journal

All Journal Entries
Share

Can Yellow Teeth Be Caused By A Medical Issue?

One of the biggest trends I’ve been seeing online lately is self-care. This means an uptick in skincare, physical therapy and comfort practices like acupuncture and massage, and our favorite for obvious reasons: teeth whitening. We’ve been seeing a ton of UV lights and charcoal pastes being promoted on social media by celebrities and influencers and we think this is great. Taking time to take care of yourself, your teeth included, is a great way to build self-confidence and look your best.

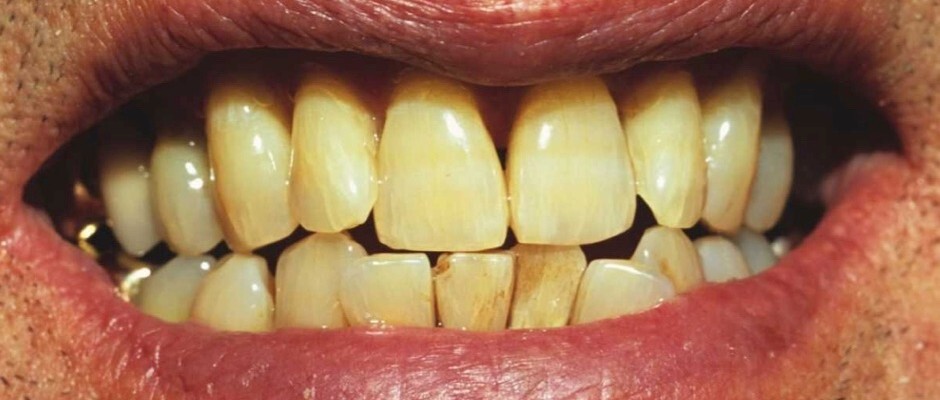
If you’re not the type of person who takes a lot of time in your appearance, or even thinks of this as shallow, you might be wondering if yellowing teeth is a sign of any health concerns, or if it’s simply an aesthetic issue. This depends on the source of the yellowing. Yellowing can be linked to a few different sources, and for the most part, they’re harmless. Here are some reasons your teeth might be yellowing over time.

Aging

One of the downsides to getting older is that your teeth naturally begin to turn more yellow. As part of the aging process, enamel on our teeth naturally wears thin. Dentin, which is the inner layer of your teeth, has a naturally darker appearance and starts showing through your enamel, or the thin, top layer of your teeth. There are ways you can slow enamel thinning, such as avoiding overly sugary or acidic foods and keeping acid reflux under control. However,  it’s natural for some darkening to occur, often giving the appearance of yellow teeth.

Genetics

You might not have known this but teeth yellowing can actually be due to your DNA. In the same way that your parents and ancestry influences your hair, skin and eye color, they can influence the color of your teeth. This is because of the thinness of your enamel. If you naturally have thinner enamel, your darker dentin will start to show, just as we mentioned in the last section.

Chemicals

There are some childhood medications that can affect the yellowing of teeth. This is because some ingested chemicals in those medications can damage your dentin. Tetracycline, an antibiotic that is sometimes used to also treat asthma and allergies can yellow or otherwise discolor teeth. Now that we know this, many doctors know that it’s best to hold off on prescribing these until about age 10, but if you took this or a drug that reacts in a similar way, you might be left with those lasting effects. Chemotherapy and other radiations can also affect this.

Yellowing teeth can be caused by medical reasons, but none of them are especially concerning. However, yellow teeth aren’t very aesthetically pleasing in the eyes of most. As mentioned before, taking care of your teeth is a great way to build self confidence, so even if you’re someone who doesn’t spend much time worrying about your appearance, having your teeth whitenedonce a year can go a long way in building your self esteem.

(12/08/2021)
by Coral West Dental

More Information: https://www.coralwestdental.com/blog/can-yellow-teeth-be-caused-by-a-medical-issue

Views: 651
Share


My BEST Dentists Journal Headlines