My BEST Dentists Journal

All Journal Entries
Share

Can You Have Too Much Fluoride?

Fluoride, touted as “nature’s cavity fighter,” is a powerful mineral that offers many benefits to children and adults. When applied directly to your teeth, it helps strengthen your tooth enamel and makes it resistant to decay and cavities. However, just like most things in life, too much of something good can be problematic!

What Is Fluoride and How Does It Enhance Your Oral Health?

Fluoride is an element naturally found in water, soil, and some different foods. It is an essential mineral for healthy teeth and bones. The cavity-fighter protects the tooth enamel from acid attacks caused by sugars and bacteria in the mouth. It does so by making the tooth enamel resistant to demineralization, the leading cause of tooth decay and cavities. Moreover, fluoride helps reverse the early stages of decay by remineralizing the tooth enamel!

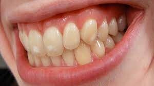
What Happens if You Have Too Much Fluoride?

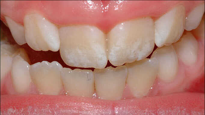
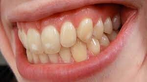
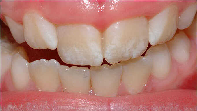
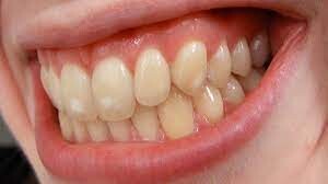
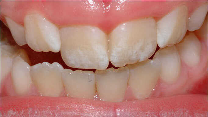
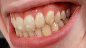
Fluoride is safe and highly effective at keeping tooth decay and cavities at bay when taken in adequate amounts. However, excessive fluoride levels can lead to dental fluorosis, also known as mottled teeth. This cosmetic concern, characterized by teeth stains and pitted regions, appears primarily in young children under age nine when exposed to too much fluoride while their teeth are developing.

Excessive fluoride consumption can also lead to health problems, including a rare complication known as skeletal fluorosis, which hardens the bones and reduces their elasticity, increasing the risk of fractures. Having too much fluoride can also lead to a host of health conditions, including thyroid problems, high blood pressure, acne, and abdominal cramps.

How Can You Maintain Safe Fluoride Levels?

A visit to High Street Dentistry will ensure that you and your loved ones get maximum fluoride protection without any unwanted side effects. Our team will evaluate your fluoride intake and make any recommendations necessary.

When it comes to children, avoid using any fluoridated products under age two. At around age three, it’s safe to use a pea-sized amount of toothpaste. Monitor tooth brushing until age five or six, or when you are sure your child is comfortable with spitting and rinsing. Keep any toothpaste or fluoridated products out of reach of young children to prevent accidental swallowing. Most importantly, keep up with your little one’s routine dental exams. That will allow us to identify any signs of excessive fluoride intake and will ensure that your child’s smile stays in tip-top shape!

(03/17/2023)
by High street Dentistry

More Information: https://highstreetdentistry.com/2021/09/07/can-you-have-too-much-fluoride-get-the-facts/

Views: 549
Share


My BEST Dentists Journal Headlines