My BEST Dentists Journal

All Journal Entries
Share

Canker sore in the throat: Remedies, causes, and more

A canker sore in the throat can be painful, but home remedies — such as sucking an ice cube or using a salt water gargle — may provide relief. Vitamin B supplements may help manage persistent canker sores.

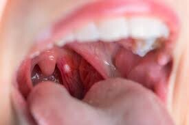
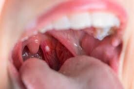
Also known as mouth ulcers or aphthous ulcers, canker sores are small lesions that develops in the mouth or throat. They usually appearTrusted Source on the inside of the cheeks or lips, but they can sometimes affect the back of the throat and tonsils.

The sores typically heal on their own and are not contagious. Over-the-counter (OTC) medications and home remedies can ease symptoms and aid healing.

Symptoms

Canker sores affect the mucous membrane, the soft protective layer lining the throat and mouth. They look like a small grey or white spot with a red border. They may appear slightly sunken, with raised edges. Most are only a few millimeters acrossTrusted Source.

Pain is the main symptom of a canker sore. A person may feel a tingling or burning sensation in the affected area. Eating spicy or acidic foods can worsen the pain, and it may also hurt to move the mouth to speak or chew food.

A canker sore can appear on a tonsil. In these cases, a person may have a sore throat that only affects one side of the throat, which they may mistake for tonsillitis.

Types

There are three types of canker sore:

minor

major

herpetiform

Minor canker sores are a few millimeters in size, whereas major canker sores are 1–3 centimetersTrusted Source across. Herpetiform canker sores are multiple tiny canker sores, each about the size of a pinhead.

Major canker sores can take up to 4 weeksTrusted Source to heal and may cause scarring. They cause more pain than a minor canker sore and can make it difficult to eat or drink without discomfort. In rare cases, major canker sores may not heal at all.

Herpetiform canker sores can join up to form a larger area, which can leave a scar. This form of canker sore is much less commonTrusted Source than a minor canker sore.

Treatments and home remedies

Canker sores usually heal without treatment. However, some remedies and medication can help ease pain.

Home remedies

People can make a saltwater rinse by dissolving half a teaspoon of salt in a glass of warm water. They can swill the rinse around the throat and tonsils up to three times a day.

Drinking cold water or sucking on ice cubes may numb the pain a little. Eating soft frozen yogurt or ice cream could also help. It is best not to eat anything with sharp edges to avoid irritating canker sores further.

If a person has recurring canker sores, the following lifestyle changes may help:

 

avoiding spicy or acidic foods

reducing stress

taking an iron or B vitamin supplement.

Medical treatments

Medication can ease pain and reduce swelling, which can help encourage a canker sore to heal more quickly.

People can look for OTC gels and creams that contain an anti-inflammatory or pain relief agent and apply these directly to the ulcer. Some gels coat the canker sore to form a protective barrier that stops further irritation.

It can be difficult to reach a canker sore in the throat. Mouthwash can be a more effective way of reducing pain, swelling, and the risk of infection. A medicated or antimicrobial mouthwash is likely to be best.

For a severe canker sore, a person may need prescription medication. Tablets can reduce inflammation and help a severe ulcer heal.

Laser therapy at a low level may helpTrusted Source in cases of severe or recurrent canker sores. Although it is not a cure, it can speed up healing by drying out and disinfecting a canker sore.

Causes and risk factors

It is not clear why some people are more likely than others to develop canker sores. However, there could be a genetic link, as canker sores tend to run in families.

Some potential causes of canker sores include:

stress and hormonal changes

mouth or throat injuries

iron or vitamin B deficiencies

consuming spicy or acidic foods

People with a weakened immune systemTrusted Source have a higher risk of developing canker sores. These people may include those with HIV, leukemia, or rheumatoid arthritis.

A temporary immune deficiencyTrusted Source can increase the risk of canker sores in the short term. This deficiency can happen after an illness, during pregnancy, or with certain medical treatments, such as chemotherapy.

Some underlying medical conditions can increase the risk of canker sores. These include Behçet’s disease and inflammatory bowel diseases, such as ulcerative colitis.

How long do they last?

After a canker sore appears, the pain should start to ease within a few days. A minor canker sore should heal and disappear completely within a weekTrusted Source.

It can take up to 4 weeksTrusted Source for major canker sores to heal, and they may leave a scar.

Some people are prone to canker sores and may get them multiple times. It is common for a person to get a canker sore between three and six timesTrusted Source per year.

A person should see a doctor if a minor canker sore lasts for more than 2 weeks, is very painful, or causes difficulty eating or drinking. A doctor can look at the canker sore and the inside of the mouth. They may ask the individual questions about their eating habits.

Sometimes, teeth or gum problems can increase the risk of canker sores. A dentist can examine the mouth and suggest possible treatments.

Canker sores vs. cold sores

Both canker sores and cold sores are small, painful lesions that cause a burning or tingling sensation.

However, canker sores appear inside the mouth while cold sores appear outside it, usually around the lips.

The herpes simplex virus causes cold sores. They are contagious and spread through close contact, such as kissing or sharing a drink. Canker sores are not contagious.

Summary

A canker sore in the throat can be more difficult to treat than one in the mouth. A medicated mouthwash may help if it is hard to apply a cream or gel directly onto the ulcer.

People who are prone to canker sores may find that they appear repeatedly. Avoiding foods that can irritate the throat and trying to reduce stress can help limit the frequency.

 

It is advisable to see a doctor if a minor canker sore does not clear up within 2 weeks.

(09/13/2023)
by Medical News Today

More Information: https://www.medicalnewstoday.com/articles/canker-sore-in-throat

Views: 365
Share


My BEST Dentists Journal Headlines