My BEST Dentists Journal

All Journal Entries
Share

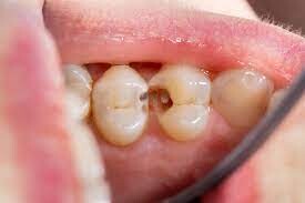
Cavities Between Teeth And How to Avoid Them

Cavities are an age-old problem, but cavities between teeth are especially bothersome for patients and dentists. When decay occurs between teeth, dentists must remove more tooth structure in order to access the area to place a filling. The best defence is to avoid forming cavities at all – especially between teeth! Using preventive measures will benefit both your oral and systemic health, and healthy habits will help to control the acid formula that contributes to enamel damage and tooth decay.

Causes

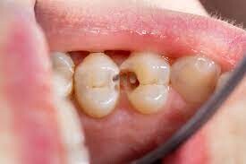
What causes a cavity? National Oral Health Programme notes that all teeth in the end say keep us healthy and cavity free and then you will welcome happy permanent teeth. When the bacteria that is naturally present in the mouth combines with the sugars you eat, acid forms. This acid will begin to demineralise the tooth enamel, causing white spots that signal a weakening of the tooth. Demineralisation can lead to irreversible damage to the enamel, and then cavities may form. Cavities are permanent damage to the tooth that your dentist will need to repair with a filling.

Cavities between teeth have the same origin and physiology as cavities on other surfaces of the teeth. The approach for treatment is different, in that dentists must remove more tooth structure in order to access the area to place a filling.

Avoiding Cavities

Avoiding cavities between teeth requires more effort than preventing cavities on other tooth surfaces. To clean the in-between, or interproximal, areas, floss daily or use another type of interdental cleaner. Removing food debris and plaque is essential. In addition to basic oral hygiene, a diet low in sweets, drinking fluoridated water and brushing with a fluoride toothpaste will help to avoid cavities.

See your dentist every six months to 12 months, so he or she can identify cavities in the early stages and begin treatment right away. Your dentist may take X-rays at your appointment to detect any cavities hiding between your teeth.

Cavities, especially the ones that form between the teeth, can lead to pain and multiple trips to the dentist. The best strategy is to prevent the decay from forming in the first place. Keep up with your healthy habits to enjoy your healthy mouth and body!

(04/27/2024)
by Colgate

More Information: https://www.colgate.com/en-in/oral-health/cavities/cavities-between-teeth-how-to-avoid-them

Views: 457
Share


My BEST Dentists Journal Headlines