My BEST Dentists Journal

All Journal Entries
Share

Coeliac Disease: Tooth, Tongue and Cheek Problems

In 2009 a study was conducted, the first study of it’s type, to see if there was a correlation between Coeliac Disease and a variety of problems that manifested in the teeth and other areas of the mouth.

This study was published in The Journal of Clinical Gastroenterology in 2009 and concluded that there was a link, and in 2011 the Journal of the Canadian Dental Association published the first clinical guidelines for dentists outlining the connection between Coelaic Disease and oral health problems.

Early diagnosis is very important, so children exhibiting any of the oral manifestations should be investigated as soon as possible.

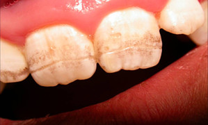
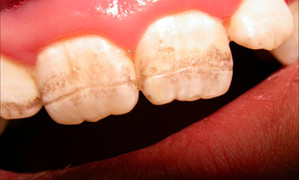
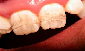
Defects in tooth enamel, such as mottling, grooves, bands  and pits are a very common result of Coeliac Disease.  Mottling is probably the most prevalent way that Coeliac Disease presents in the mouth.  In some cases the shape of the teeth can be altered.   The defects are usually symmetrical.

Other indicators of possible underlying Coeliac Disease include:

Glossitis.  The tongue becomes smooth, shiny and red as a result of loss of the papillae (the little bumps on the surface of the tongue).

Aphthous ulcers.  These are painful ulcers that occur on the smooth tissues of the cheeks and gums.

Inflammation of the corners of the mouth.

Delayed or altered tooth eruption.

Oral lichen planus (a non-contagious disease of the oral mucous membranes).

Dry-mouth Syndrome.

If you notice that you or your child has any of these symptoms, it is definitely worthwhile investigating whether Coeliac Disease may be the underlying cause.

(02/07/2021)
by Dr. Ken Lipworth

More Information: https://lipworth.com.au/coeliac-disease-tooth-tongue-cheek-problems/

Views: 718
Share


My BEST Dentists Journal Headlines