My BEST Dentists Journal

All Journal Entries
Share

Congenitally Missing Teeth: What Are They and How to Treat Them

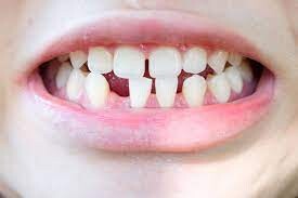
There’s something special about the time in your child’s life when their baby teeth fall out and adult teeth come in. But in some cases, certain teeth simply don’t grow in or appear, and are not just trapped in the gum. This is called having congenitally missing teeth (CMT), or hypodontia, and it’s actually fairly common. Luckily, today’s dental and medical advancements provide options for you or your child to replace missing teeth.

Which Teeth Are Missing?

Typically, congenitally missing teeth are one of two types: Second premolars and upper lateral incisors. The second premolars, located behind your canine teeth and in front of your back molars, are found between the first premolars and the molars. The upper lateral incisors sit on either side of the two front teeth. If you or your child are missing teeth, don't worry! You're not alone. According to the National Foundation for Ectodermal Dysplasias, about 20% of adults are missing at least one tooth, and more than 5% of adults are missing one or more teeth.

What Causes Congenitally Missing Teeth?

In many cases, missing one or two teeth is simply due to a family trait, but occasionally a separate genetic condition is the cause. According to a 2015 review in the Dental Research Journal, CMT is widely regarded as a dental anomaly, and when a family trait does not cause CMT, it can be attributed to environmental factors like infection, trauma, and drug use, as well as genes associated with about 120 syndromes, such as cleft lip, cleft palate, and Down syndrome.

What Are The Effects of Congenitally Missing Teeth?

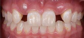
There are obvious cosmetic effects of CMT that you or your child may feel self-conscious about—but beyond that, missing teeth can potentially lead to other dental problems. According to the American Dental Association, large spaces between your teeth can affect how you speak or eat, and a missing molar can affect how you chew. Your teeth may also shift due to the absence of a tooth, and bone loss can occur around a missing tooth. But not to worry—with today's dental advancements, there are options available for replacing missing teeth.

Treatments for Congenitally Missing Teeth

The first step to treating CMT is first talking to your dentist and identifying if you or your child's teeth are actually missing or are just stuck underneath the gums. Your dentist can perform a dental X-ray, and from there, determine the next steps.

If you or your child do have CMT, it might feel scary: where are my teeth? Why didn't they grow in? But there are treatment options widely available. According to a 2017 report in Case Reports in Dentistry, there are three main ways to treat CMT:

Space management, such as a bridge

Resin-bonded-fixed-partial-dentures (RBFPDs)

Dental implants

A partial bridge anchors a false tooth to the healthy teeth on each side of the gap, while a denture replaces a whole set of teeth and partial dentures replace a few teeth. Dental implants consist of a titanium implant (fixture) that is inserted into your jawbone, and a crown is attached to the top of the implant abutment. But what's best for you or your child all depends on your dentist's assessment, your age or your child's age, and the best options available.

When it comes to keeping your mouth healthy after receiving treatment, it all may sound like a lot—but in fact, caring for bridges, dentures, and dental implants are similar to caring for natural teeth. Brushing twice a day and flossing daily is usually all that's required.

Having missing teeth can be confusing and scary—after all, an attractive smile is such a big part of our confidence. But if you or your child does have CMT, know that not only is it common, it's treatable. The first step is talking to your dentist, and before you know it, you're on your way to a healthier, natural-looking smile.

This article is intended to promote understanding of and knowledge about general oral health topics. It is not intended to be a substitute for professional advice, diagnosis, or treatment. Always seek your dentist's advice or other qualified healthcare provider with any questions you may have regarding a medical condition or treatment.

(03/29/2023)
by Colgate

More Information: https://www.colgate.com/en-us/oral-health/mouth-and-teeth-anatomy/congenitally-missing-teeth-what-are-they

Views: 283
Share


My BEST Dentists Journal Headlines