My BEST Dentists Journal

All Journal Entries
Share

Dead Nerve In a Tooth: Causes and Treatment

If your dentist has found a dead nerve in your tooth, don't panic: Your tooth can be saved. But if you find yourself in this situation, it's beneficial to understand just how and why you ended up with a dying or dead nerve and what your treatment options are so you can keep your smile pain-free and shining.

Dental Anatomy 101

To understand what a dead nerve in a tooth means, it helps to be familiar with the tooth's various parts. Pulp tissue (blood vessels, nerves, and connective tissue) makes up the tooth's core and keeps your tooth alive.

The dentin layer is the bulk of the tooth and helps protect the pulp from harmful bacteria. There are small nerve endings throughout the dentin that warn you when decay or other irritants have penetrated the tooth's outer layer of enamel.

While the enamel on the outermost part of the tooth is the hardest substance in the body, acid from oral bacteria can erode it. Though it might take time for decay to move through the enamel, it can progress quickly into the pulp portion of the tooth once it reaches the softer dentin.

Why Do Tooth Nerves Die?

Pulp tissue is encased in a germ-free environment. But suppose bacteria from deep decay or a leaky filling finds its way to the pulp. In that case, it will become infected — just like when dirt and bacteria infect a cut on your finger. The difference is that you can treat infected skin, but once the pulp tissue is infected, it can't heal on its own.

There are many reasons tooth nerves die. Some of them include:

A broken tooth

Deep crown preparations

Repeated invasive procedures

Grinding or clenching your teeth

These incidents can irritate pulp tissue, causing it to become inflamed. The pressure of swollen blood vessels on the pulp nerves will cause pain that could signal to you that you might have a dead tooth. This signal often comes in the form of spontaneous pain, pain when biting or chewing, or extreme sensitivity when drinking hot or cold beverages.

Once you remove the irritant, the pulp calms down, and the tooth can remain alive. However, suppose the pulp tissue is irritated long enough. In that case, the reduced blood supply will result in a dead and infected nerve.

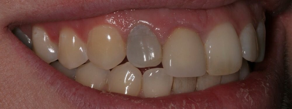
How Does a Dead Nerve Become an Abscessed Tooth?

When the nerve has died, sometimes a painful abscess develops at the root tip. This abscess is the body's way of keeping the infection from spreading. Sometimes a pimple-like fistula forms on your gum near the root tip, which allows the pus to drain. While drainage might leave a nasty taste in your mouth, it also reduces some of the pressure in the tooth, alleviating pain. An abscessed tooth can lead to a severe infection in other areas of your body, but because this condition can be painful, most people seek treatment right away.

What Is Root Canal Therapy?

There are two treatment options when a nerve dies in your tooth: extraction or root canal therapy. Your general dentist might perform a root canal or refer you to a specialist called an endodontist. Here's what a root canal, a surprisingly painless procedure, consists of:

Your dental professional will administer a local anesthetic so that you feel no pain and will cover your mouth with a rubber dam to keep it clean and saliva-free.

They will make an opening in the tooth to access the pulpal area.

They will remove pulp tissue with small instruments and clean the canals, preparing to fill them.

They will place a rubbery dental material in the canals of the tooth.

Finally, they might place a temporary filling in the tooth to protect it until your next visit.

Because the tooth is no longer vital and can be prone to fracture, most dentists recommend a full crown after completing the root canal treatment.

Maintaining good dental hygiene, visiting your dentist regularly, and protecting your teeth from injury can help prevent a dead nerve in a tooth. But if the nerve dies, there's no need to worry. Root canal therapy will help keep your smile intact.

(04/19/2022)
by Colgate

More Information: https://www.colgate.com/en-us/oral-health/root-canals/dead-nerve-in-a-tooth-causes-and-treatment

Views: 640
Share


My BEST Dentists Journal Headlines