My BEST Dentists Journal

All Journal Entries
Share

Dead Tooth: Signs, Symptoms, and Treatment

Did you know that teeth can be either dead or alive? A tooth is considered dead if the nerve and pulp no longer receive any blood flow. This can be a result of decay or injury to the tooth. A dead tooth is also sometimes referred to as a non-vital tooth. A dead tooth can eventually fall out on its own if left untreated.

Signs and Symptoms of Dead Tooth

Here are some of the signs and symptoms to look out for if you think you may have a dead tooth.

Pain and swelling

Pain and swelling in the gums are some of the signs that manifest when you have a dead tooth. The pain can be due to an infection spreading on the surrounding tissue and bones. Generally, some people may not feel any pain at all, while some may experience mild to severe pain.

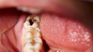
Discoloration

Discoloration can sometimes be one of the first signs of a dead tooth. The color of the tooth may turn to a dark grey shade, yellow, light brown, or even black. The tooth will have a distinct color from the rest f the teeth, and this can easily be noticed.

Loose tooth

In the last stages of a dead tooth, the tissues supporting the teeth may become weak and loosen the tooth from its socket. The tooth may eventually fall out on its own if not pulled out by a dentist. Other symptoms of dead teeth include bad breath and a bad taste in the mouth.

Dead tooth treatment

A dead tooth deserves immediate professional dental attention. If left untreated, the infection of the dead tooth may spread to the surrounding teeth, gums, and bone leading to a host of additional dental problems. Therefore, it is vital that you visit a dentist as soon as possible if you suspect you have a dead tooth.There are usually two treatment options when it comes to a dead tooth. Depending on the extent of the damage, a dentist may recommend a root canal treatment or an extraction.

Root canal treatment

The dentist may recommend a root canal treatment if the tooth has not been entirely infected and still has some supporting tissue and root. A root canal treatment involves the removal of the decayed tooth pulp and nerves, cleaning and disinfecting the pit left, and then filling it with an artificial dental filling material to restore the shape of the tooth. A root canal treatment may help save a tooth that could otherwise be lost.

Extraction

Extraction is always the last resort for a dead tooth. For a tooth that has been severely infected and damaged, an extraction will be the only viable option if there is not any supporting tissue to help support a root canal treatment. Luckily, you can replace the missing tooth with a dental implant, dental bridge, or denture if you want to restore the aesthetic or functional value of the tooth.

(11/01/2021)
by Carrum Downs Dental

More Information: https://carrumdownsdental.com.au/dead-tooth-signs-symptoms-and-treatment/

Views: 740
Share


My BEST Dentists Journal Headlines