My BEST Dentists Journal

All Journal Entries
Share

Dental Caries: Signs And Symptoms Of Tooth Decay You Must Watch Out For

Dental caries commonly known as tooth decay or cavity is one of the common dental issues. According to WHO, Dental caries is a major public health problem globally and is the most widespread non-communicable disease (NCD). In tooth decay, the outer layer or the enamel of the tooth gets damaged and develop into tiny holes and openings. There are multiple factors responsible for this condition. Some of these are bacterial infections, too much consumption of sugary foods and drinks, frequent snacking, poor oral hygiene, dry mouth, some eating disorders and acid reflux disorders.

Dental caries or tooth decay: Know the signs and symptoms

Cavities start small and gradually become bigger. Noticing the signs and symptoms of dental caries can help seek adequate treatment on time. Here are some warning signs and symptoms of dental caries you must watch out for.

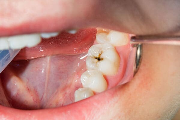
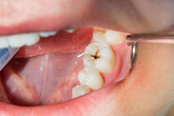
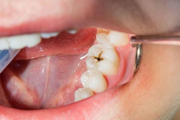
1. Tooth stains

The initial sign of tooth decay may appear as a white spot that darkens with time into brown-black stains or tooth discolouration.

2. Pit or hole

When left untreated, pot or hole occurs on or around the stained area which in severe cases may lead to a fracture in the tooth.

3. Sensitivity to hot or cold

The enamel of the tooth starts to wear due to decay which results in exposure of the dentin layer present below enamel. Exposure of dentin to hot or cold food may stimulate nerve endings leading to unpleasant sensation in the tooth.

You may experience sensitivity to hot and cold as a sign of cavitiesPhoto Credit: iStock

4. Sensation to sweet

Just like hot or cold food sensitivity, sweet food may also lead to unpleasant lingering sensation in the tooth.

5. Toothache or abscess

When left untreated tooth decay invades the pulp of the tooth (soft tissue of tooth comprising nerve endings and blood vessels). Pulp exposure then leads to severe pain and even abscess formation in advanced cases.

If you experience any of these symptoms with toothache, then you must visit to your dentist.

(05/14/2023)
by Doctor NDTV

More Information: https://doctor.ndtv.com/teeth/dental-caries-signs-and-symptoms-of-tooth-decay-you-must-watch-out-for-2383798

Views: 535
Share


My BEST Dentists Journal Headlines