My BEST Dentists Journal

All Journal Entries
Share

Dental Fluorosis: What Is It and How Is It Treated?

Dental fluorosis is a disorder when tooth enamel loses its aesthetic appeal. If kids consistently consume fluoride during the years when their teeth are developing, beginning at age 8, it might happen.

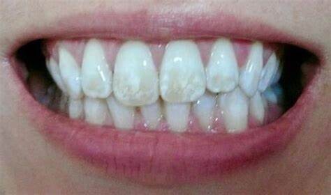
The majority of dental fluorosis instances are mild to moderate, with hardly perceptible white patches on the tooth’s surface and no impact on oral health.

Moderate and severe forms of dental fluorosis, which are much less frequent, lead to more serious abnormalities in enamel. In the rare, severe variant, teeth may develop pits. The severe version is uncommon in areas where the water’s fluoride level is less than 2 milligrammes per litre.

So, if you’re interested in learning more about Dental Fluorosis, its symptoms, and treatment, you’ve come to the correct spot. In this article, Eugene Kids Dentist has covered everything you need to know. So, read it all the way through.

DENTAL FLUOROSIS SYMPTOMS – INDICATES OF THIS DENTISTRY

If you see white spots or streaks on your child’s teeth or if you observe one or more discoloured teeth, make an appointment with your dentist very once. These signs of dental fluorosis may exist.

The majority of cases are small, do not result in permanent tooth damage, and there are rarely severe fluorosis cases.

When fluorosis is minor, it is a painless aesthetic condition. There can be white “smudges” or “stains” on the surface of tooth enamel as a result.

Dentists, however, categorize fluorosis into the following types:

Doubtful: The enamel has minor variations, ranging from a few white spots to a few patches of white.

Very mild: There are a few opaque paper-white patches on fewer than 25% of the tooth surface.

Mild: The white opaque regions on the surface are more widespread, but they still cover less than half of the surface.

Moderate: White patches cover half of the enamel surface.

Severe: Enamel is damaged on all surfaces. Teeth can also have pitting, which can be distinct or run together.

TREATMENT FOR DENTAL FLUOROSE

Most fluorosis cases are minor and don’t require treatment. Additionally, it may only affect the rear teeth, which are not visible.

There are several procedures that can significantly improve the appearance of teeth with moderate-to-severe fluorosis. Here are some of the techniques used to treat dental fluorosis:

In order to improve the appearance of teeth, veneers are custom-made shells that cover the front surfaces of the teeth. This method is frequently used for severe fluorosis.

The MI Paste is a calcium phosphate substance sometimes used in conjunction with other treatments to reduce tooth discoloration, such as microabrasion.

Dental crowns are another effective fluorosis treatment.

You can whiten your teeth and remove surface stains with other treatments. There is a possibility that whitening your teeth could worsen your fluorosis.

A bonding procedure involves coating your teeth with a resin that adheres to your enamel.

These are some of the ways in which dental fluorosis can be treated. You should not waste a second if you feel that this disease is at its most severe stage. Consult a dentist as soon as possible.

FLUOROSIS CAUSES – THINGS THAT STRENGTHEN FLUOROSIS

We will discuss some of the causes of dental fluorosis here. Fluorosis can be caused by a number of things that you can easily avoid:

Dental fluorosis is primarily caused by improper dental product use.

While brushing their teeth, children often eat their toothpaste rather than spitting it out because they like the taste. Most likely, it won’t be a big deal. It’s a situation we’ve all been in. If your child makes this habit a habit, now is a good time to intervene.

There is sometimes too much fluoride in tap water and some fruit juices, failing to distinguish between disregarding and preserving general dental health. If you’re considering taking supplements, this is especially important to consider.

In addition to dental products, fluorosis can be caused by a number of factors. Fluorosis risks increase unknowingly if a youngster receives more fluoride supplements than is necessary for any medical reason.

CONCLUSION

Even though no serious cases have been identified, hundreds of children are admitted to hospitals each year for consuming too much fluoride.

Therefore, whenever you wash your teeth, stay near your child. Do not use more toothpaste than a pea-sized amount. Fluoride protection is more than adequate with this amount.

Ensure that your youngster associates spitting out toothpaste with a fun experience by making it fun. Get them flavorless toothpaste if you don’t want them to spit (which is understandable).

If you keep fluoride consumption safe and away from the stomach, their grin will tell you everything you need to know about their health.

(10/28/2024)
by Quest Dental

More Information: https://www.questdental.com/articles/dental-fluorosis-what-is-it-and-how-is-it-treated

Views: 506
Share


My BEST Dentists Journal Headlines