My BEST Dentists Journal

All Journal Entries
Share

Dentigerous cyst, causes and treatment

What is a dentigerous cyst?

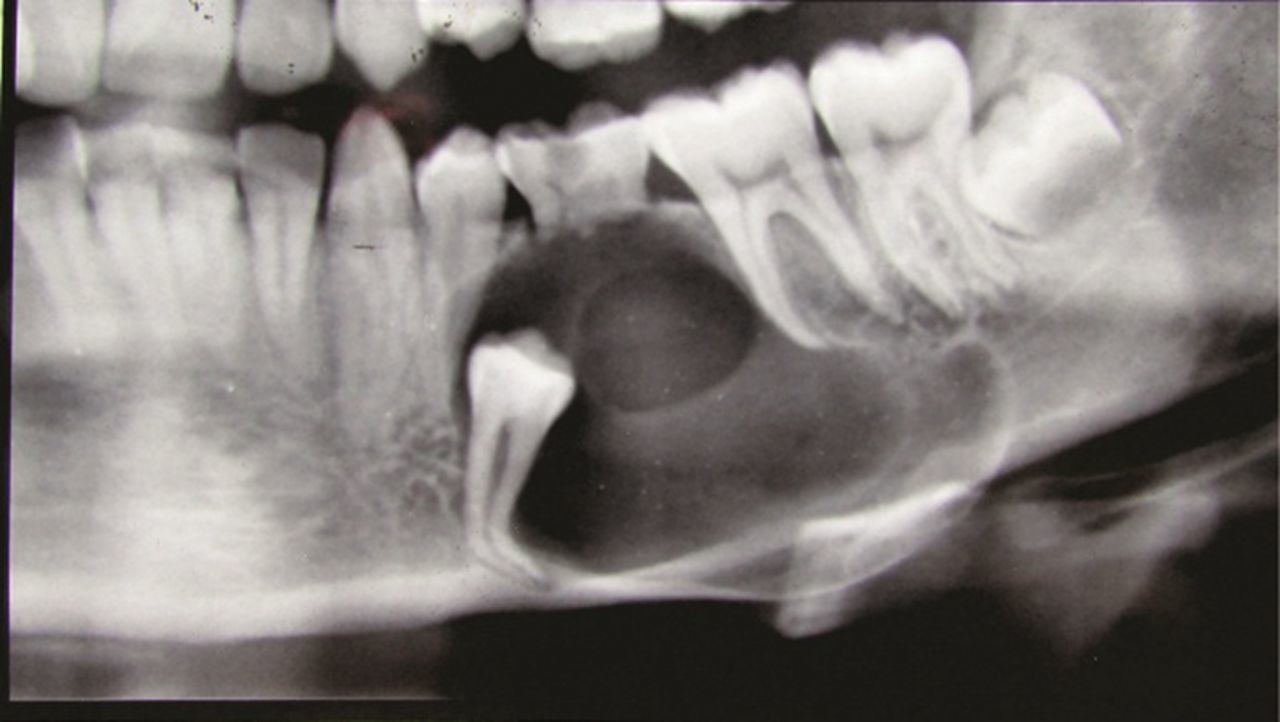
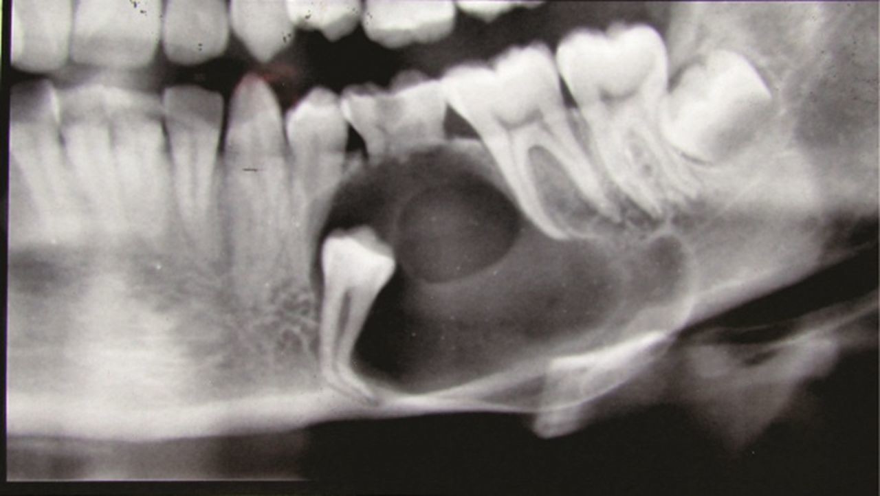
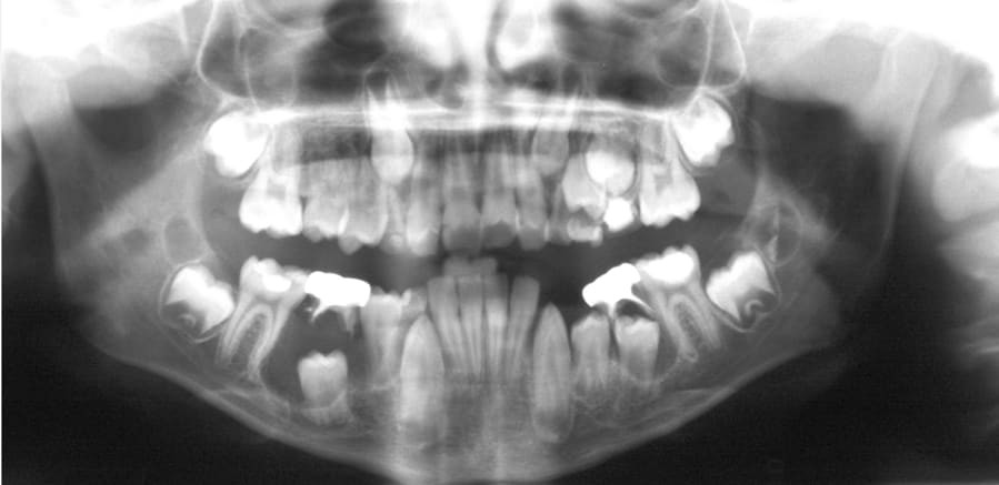
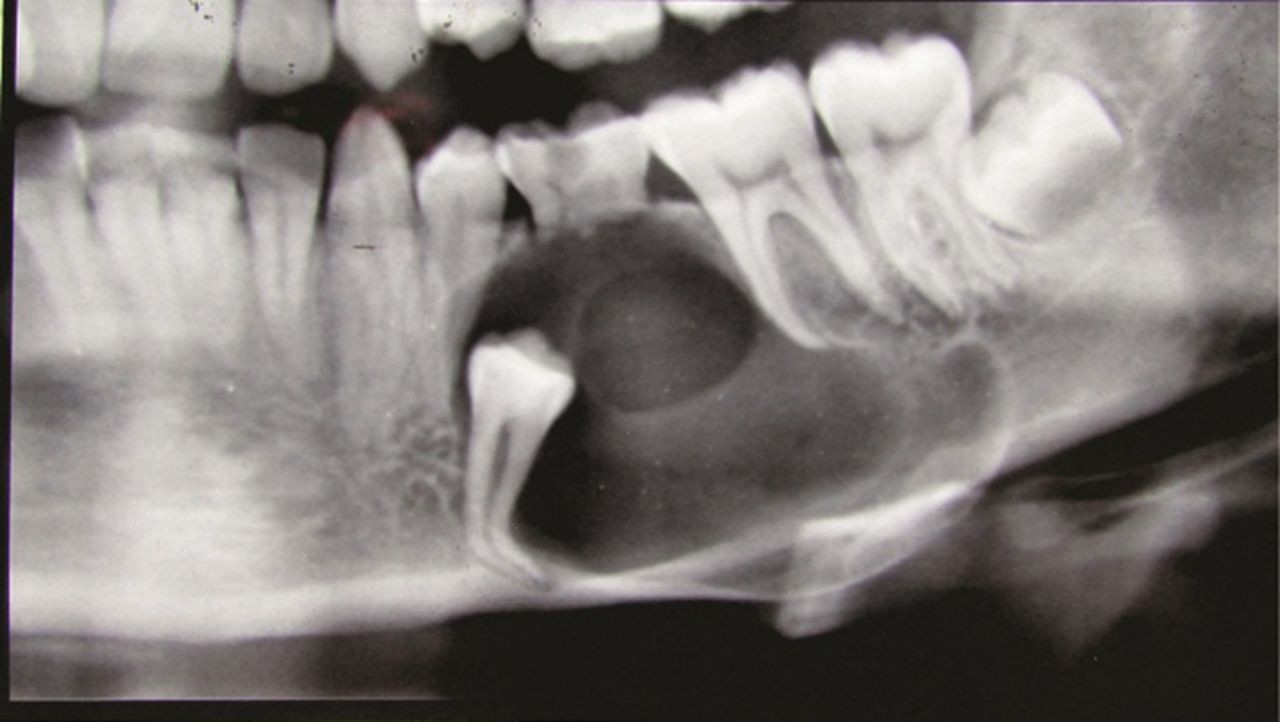
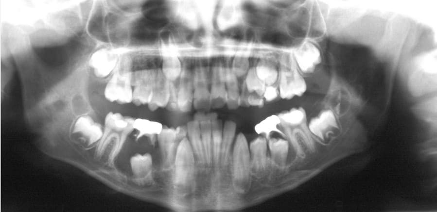
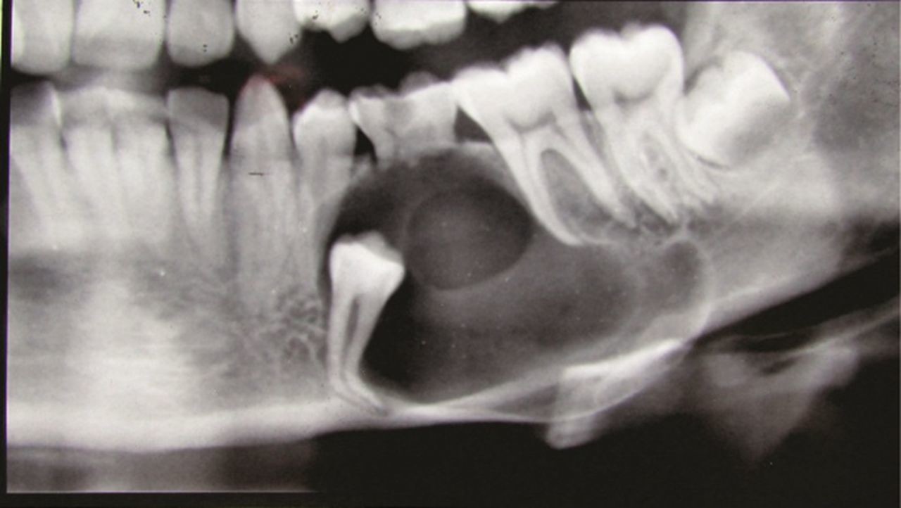
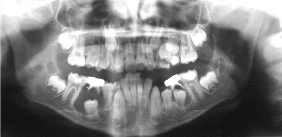
Dentigerous cysts are the second most common type of odontogenic cyst, which is a fluid-filled sac that develops in the jaw bone and soft tissue. They form over the top of an unerupted tooth, or partially erupted tooth, usually one of your molars or canines. While dentigerous cysts are benign, they can lead to complications, such as infection, if left untreated.

What are the symptoms?

Smaller dentigerous cysts might not cause any symptoms. However, if the cyst grows larger than 2 centimeters in diameter, you may notice:

swelling

tooth sensitivity

tooth displacement

If you look inside your mouth, you may also notice a small bump. If the cyst causes tooth displacement, you might also see gaps slowly forming between your teeth.

What causes it?

Dentigerous cysts are caused by a buildup of fluid over the top of an unerupted tooth. The exact cause of this buildup is unknown.

While anyone can develop a dentigerous cyst, they’re more commonTrusted Source in people who are in their 20s or 30s.

How is it diagnosed?

Small dentigerous cysts often go unnoticed until you have a dental X-ray. If your dentist notices an unusual spot on your dental X-ray, they may use a CT scan or MRI scan to make sure it’s not another type of cyst, such as a periapical cyst or an aneurysmal bone cyst.

In some cases, including when the cyst is larger, your dentist may be able to diagnose a dentigerous cyst just by looking at it.

How is it treated?

Treating a dentigerous cyst depends on its size. If it’s small, your dentist might be able to surgically remove it along with the affected tooth. In other cases, they might use a technique called marsupialization.

Marsupialization involves cutting open the cyst so it can drain. Once the fluid has drained, stitches are added to the edges of the incision to keep it open, which prevents another cyst from growing there.

What are the complications?

Even if your dentigerous cyst is small and not causing any symptoms, it’s important to have it removed to avoid complications. An untreated dentigerous cyst can eventually cause:

infection

tooth loss

jaw fracture

ameloblastoma, a type of benign jaw tumor.

Living with a dentigerous cyst

While dentigerous cysts are usually harmless, they can lead to several problems if left untreated. Talk to your dentist about any swelling, pain, or unusual bumps in your mouth, especially around your molars and canines. In most cases, dentigerous cysts are easy to treat, either through excision or marsupialization.

(04/08/2021)
by Health Line

More Information: https://www.healthline.com/health/dentigerous-cyst#diagnosis

Views: 871
Share


My BEST Dentists Journal Headlines