My BEST Dentists Journal

All Journal Entries
Share

Exostosis Mouth: A Complicated Term For Benign Bony Growths

If you're experiencing abnormal bone growth in your mouth, you have what's called an exostosis. The term sounds a little frightening, but don't worry – in most cases, these growths aren't a cause for any concern at all. There are rare circumstances when exostoses have interfered with oral function or denture placement and have required surgery, but that is not the norm. Most often, by practicing good oral hygiene, your mouth can be as healthy as if you had no exostoses at all. But make no bones about it, we'll give you all the info you need on the types, causes, and potential issues with exostoses to ensure your oral health keeps you smiling.

What Are the Types and Causes of Exostoses in the Mouth?

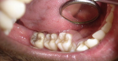
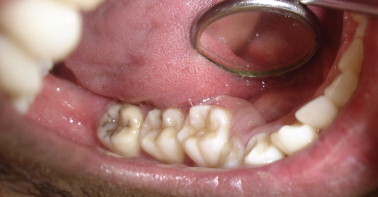
The type of exostosis you have depends on its location in your mouth. The most commonly occurring bone growths are found in the mouth's roof (torus palatinus) and beneath the tongue (torus mandibularus). Buccal exostoses are hard bony protrusions on the outside of your gums and are less common. Torus palatinus is often a singular growth, whereas torus mandibularus and buccal exostoses tend to be bilateral, meaning they happen on both sides of the mouth.

There is no known cause (etiology) of bone growing out of gums, the mouth's roof, or under the tongue. According to an article published in the Journal of International Oral Health, some causes could include genetic factors, environmental factors, excessive chewing (masticatory hyperfunction), teeth grinding (bruxism), and continued jawbone growth. Growths usually appear in the late teens or early adulthood and tend to increase in size over time. It's common for people to have exostoses in their mouths for years before they even notice they are there.

How Your Dental Professional Will Diagnose an Exostosis

Most often, your dental professional will diagnose you with an exostosis during a regular checkup. If they notice thickened or protruding bone during their structural assessment, they will likely take a photo or measure the structure to document any growth that occurs over time.

Health Concerns for Exostoses in your Mouth

Exostoses are considered a variation of normal, and most often, they pose no health concern at all. Occasionally they can develop some adverse effects, especially if they become large enough that they interfere with the functioning of your mouth. For instance, a torus mandibularus can make it difficult to speak properly if it grows to a certain size. Another potential issue is that the tissue covering bone growths is very thin and could get scratched or injured from sharp food resulting in ulcer formation. Also, if you have missing teeth and are considering dentures, all types of exostosis can potentially interfere with the placement of your artificial teeth. Some people may want a growth removed due to aesthetic concerns.

Treatment for Exostosis in your Mouth

If your exostosis is one of the rare growths in which treatment is recommended, it can be removed in a dental professional's office – usually by an oral surgeon. Using local anesthesia (numbing the specific area around a surgical operation), the surgeon will make an incision and lift the soft tissue away to expose the overgrowth. The surgeon will then trim the bone using a high-speed dental tool (or with new developments in technology, possibly a dental laser, according to Dentistry Today). They will then suture the tissue back in place.

How to Practice Good Oral Hygiene With an Exostosis

As always, practice good oral hygiene by brushing at least twice a day. Floss or clean between your teeth with interdental brushes or water flossers at least once a day, and use antimicrobial mouthrinses and tongue scrapers. Be sure to see your dental professional for regular cleanings – not only to keep your teeth pearly white and bacteria-free but also to have them check on the health and size of any hard bony lumps on your gums. Be diligent in checking for and removing any food particles that may get stuck between your growth and your gums, and ask your dentist if they have any specific recommendations for your needs.

While your exostosis may have seemed at first like a cause for alarm, hopefully, you now know that they tend to be completely harmless. If you're unsure whether or not growth under the tissue in your mouth is bone, then it's worth having a professional take a look right away to ensure it's not something more problematic. But chances are, with an excellent oral hygiene routine and regular checkups, you're going to be all smiles.

Issues and Treatment for Exostosis Mouth

Although these growths are benign, occasionally they can cause problems, especially if they become large enough to interfere with functions of the mouth. TM, if very large, can inhibit proper speaking, and all types of exostosis can interfere with denture placement. Additionally, the mucosa covering them is very thin and prone to scratches and injuries from sharp food, sometimes resulting in ulcer formation from the trauma.

In the rare instance where treatment is recommended, the exostosis can be removed in a dental specialist's office, usually by an oral surgeon. Under local anesthesia, the surgeon will make an incision and lift the soft tissue away to expose the overgrowth of bone. Typically, the bone is trimmed using a high speed dental hand piece, and the tissue is sutured back in place. Advances in dental lasers and their ability to penetrate hard tissues have shown promise for a more efficient and less invasive option, reports Dentistry Today.

Exostosis mouth is very rarely a concern for the dentist or patient. Treatment is only necessary when the nodules interfere with the normal functions of the mouth or become an aesthetic concern for the patient. Do you have bony bumps in your mouth? To keep the rest of your mouth healthy, brush twice daily with a toothpaste that repairs early teeth and gum damage. Also schedule regular dental visits. Your dentist and dental hygienist can detect oral problems early and suggest the best treatments for you.

(11/27/2023)
by Colgate

More Information: https://www.colgate.com/en-us/oral-health/mouth-and-teeth-anatomy/exostosis-mouth-a-complicated-term-for-benign-bony-growths

Views: 545
Share


My BEST Dentists Journal Headlines