My BEST Dentists Journal

All Journal Entries
Share

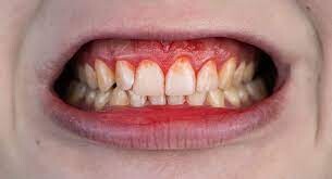
Five Causes of Bleeding Gums You Should Know

Noticed blood while brushing or looking at your teeth in the mirror? Well, don’t panic just yet. There are many causes of bleeding gums. While some can be easily reversed with simple lifestyle changes, others will need a visit to your dentist. We’ve created a list of the 5 most common causes of bleeding gums that should help you out.

What Causes Bleeding Gums?

As mentioned previously, there are plenty of reasons why your gums may bleed. Here are some of the common causes that we’ll discuss in detail below:

Gingivitis

Medications or other health conditions

Changes in dental hygiene routine

Brushing too vigorously

Pregnancy Gingivitis

1. Gingivitis

Gingivitis is the first stage of gum disease, professionally known as periodontal disease. The build-up of plaque on your teeth and along your gums is a common occurrence. However, if not removed regularly by brushing, it releases toxins that infect the gums. This results in swollen and tender gums that bleed while brushing. 

The good news is that gingivitis can be easily reversed with oral hygiene practices and regular dental check-ups and treatment. Since it’s the first stage of periodontal disease, you should get in touch with your dentist as soon as you start noticing the symptoms.

2. Medications & Other Health Conditions

Certain medications or diseases can also be behind bleeding gums. Blood-thinning medications reduce the blood's ability to clot, which can lead to bleeding. According to the Indian Dental Association, people with type-2 diabetes are at a higher risk of gum disease and bleeding gums.

This is why when you visit your doctor or dentist, let them know about your current health condition and the medicines you are taking. In case the bleeding gets serious, contact your doctor immediately.

3. Changes in Your Dental Care Routine

If you haven’t flossed before, you may face some bleeding when trying to floss for the first time. This should clear up within a week with proper care. In case it doesn’t, contact your dentist as it may be a sign of gingivitis. If you need to switch your toothbrush since it’s been worn out, consider which bristle will suit you - firm or soft. A firm-bristled toothbrush may also cause bleeding.

4. Brushing Too Vigorously

While brushing regularly is necessary for healthy teeth and gums, we need to be careful if we’re being vigorous. If your gums are bleeding, vigorous brushing may be the cause behind it. Switch to a soft or medium-bristled toothbrush and brush gently with care. Discuss the right toothbrush you need with your dentist.

5. Pregnancy Gingivitis

Swollen gums and bleeding while brushing are common during pregnancy. This is known as pregnancy gingivitis. Hormones tend to alter the body’s response to bacteria. This causes inflammation and gum disease. Maintaining good oral hygiene can prevent the bleeding from becoming worse.

No matter the cause, start the basics to prevent and stop bleeding gums. Use a soft-bristled brush and special toothpaste meant for your gums. Schedule and keep up with dental appointments. Feel free to discuss with your dentist ways to improve your oral health as well as concerns you may have.

(10/29/2022)
by Colgate

More Information: https://www.colgate.com/en-in/oral-health/gum-disease/5-causes-of-bleeding-gums-you-should-know-0613

Views: 513
Share


My BEST Dentists Journal Headlines