My BEST Dentists Journal

All Journal Entries
Share

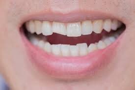
Four Options To Fix A Chipped Tooth Fast

A chipped tooth can result from a variety of incidents, such as using your teeth to open packages (something you should never do) or even eating especially hard foods. Whatever the reason, one thing is certain: a chipped tooth can cause pain and make you feel self-conscious.

Fixing a chipped tooth as soon as possible ensures your mishap doesn't cause any further problems. But what are your options? The restoration method you and your dentist choose is specific to your chipped tooth, so you'll need to make an appointment as soon as possible.

What to Do First

It could take a day or two before you're able to see your dentist and explore restoration options. In the meantime, you can treat your chipped tooth by taking over-the-counter pain medication to keep the pain and swelling to a minimum. Rinsing your mouth can also help remove food particles that often get stuck in the jagged ends of a cracked tooth; just be sure to avoid temperatures that may set off sensitivity due to the exposed pulp. Moreover, rinsing with a mouthwash is a painless way to help keep your mouth clean if brushing the chipped tooth causes more discomfort.

Does the pain persist while you wait for your appointment? Apply an ice pack indirectly (to the outside of your cheek, not directly to the tooth). This can help reduce swelling and some of the pain that accompanies a chipped tooth without aggravating the nerves. Keep in mind, however, that fixing a chipped tooth isn't a one-size-fits-all situation. Your dentist must always first examine the extent of the damage before helping you choose a solution that best suits your needs.

1. Bonding

For small and uncomplicated chips, your dentist will probably suggest bonding. This is a simple procedure where a composite material is moulded over the healthy area of the tooth to correct the chip. Your dentist will first roughen up the remaining enamel and shape the composite to create a natural-looking extension. He or she then sets the composite using a blue light that instantly hardens the material. With proper care, bonding can last up to 10 years. It is ideal for small, cosmetic chips.

2. Veneers

If your cracked tooth poses a more severe cosmetic issue, you may want to opt for veneers. These restorations are essentially porcelain covers on the front of your teeth that produce a smooth, natural look when fully applied. You can have one or several veneers installed, but they can be expensive in large quantities. Nonetheless, according to a 2012 study published in the International Journal of Prosthodontics, veneers last 10 to 20 years. As such, they may be the right solution if you have cracked a bonding several times or are hoping to repair your tooth colour and shape at the same time following a chipped incisor.

3. Crowns

Like veneers, crowns are also porcelain covers for the teeth. The difference between crowns and veneers is that a crown shields the entire tooth, whereas a veneer only covers the forward-facing part of the tooth. Crowns are more appropriate when a cracked tooth causes the loss of a large portion of the original tooth. They can correct the tooth's shape and repair your smile quickly, while preventing further damage, such as cavities and exposed nerves.

4. Dental Implants

If your tooth has cracked just below the surface of the gumline, the American Dental Association (ADA) suggests you have the tooth removed and replaced with a dental implant. After removing the tooth and allowing the space to heal, your dentist can add a metal post in the gumline prior to installing an implant that looks and feels like a real tooth. This will help you avoid any gum or tooth problems and a future root canal. Just remember, it may also be the most time-consuming procedure, as your mouth will need proper time to heal between the extraction and the implant.

A chipped tooth is a fairly common dental issue, but that doesn't mean your repair should be run-of-the-mill. Deal with the problem quickly by making an appointment and discussing your options with your dentist. With the right care and restoration, you'll be back to a healthy, chip-free smile in no time.

(03/10/2023)
by Colgate

More Information: https://www.colgate.com/en-za/oral-health/adult-oral-care/fixing-a-chipped-tooth-fast-0416

Views: 462
Share


My BEST Dentists Journal Headlines