My BEST Dentists Journal

All Journal Entries
Share

Four Possible Reasons Why You Have a Bump on Your Gums

You’re flossing before bed one night when you suddenly notice something you’ve never seen before – a tiny bump on your gums. Icy fear rushes through you. Should you be worried? While a bump on most areas of the body is cause for immediate concern, that’s not necessarily the case for the gums. Keep reading to learn four of the most common reasons for a bump on the gums and when you should call your dentist.

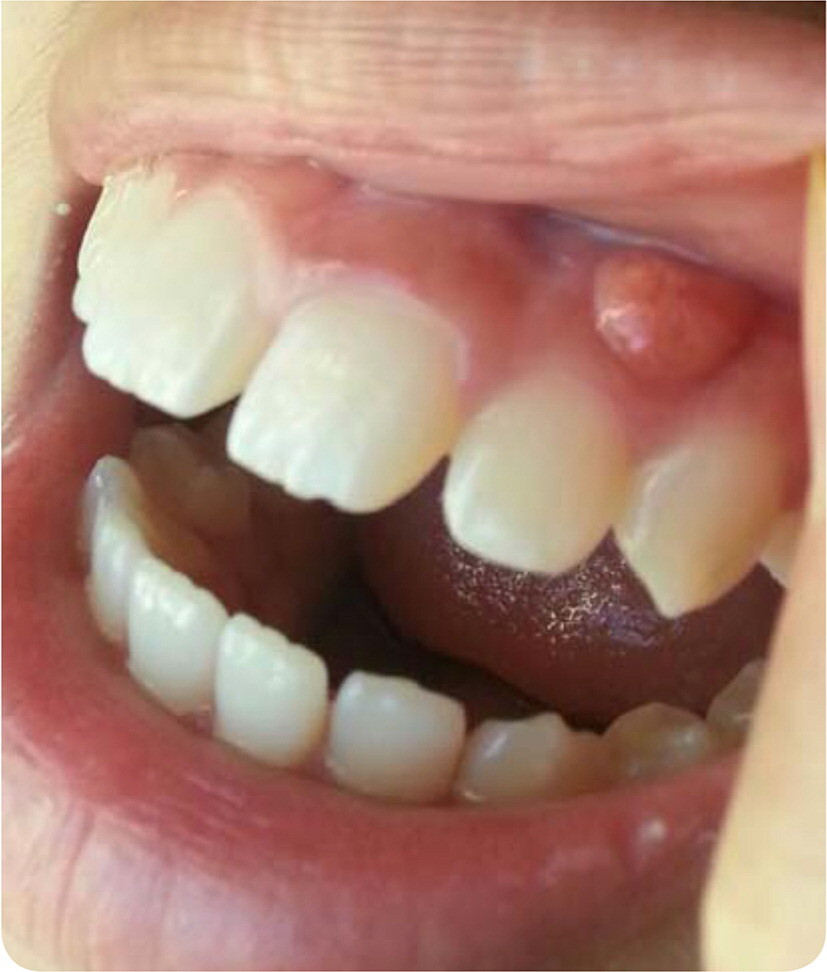
1. Fibroma

The most common cause of a gum lump is an oral fibroma. These noncancerous bumps typically develop when the gum tissue has been irritated by a denture or another oral appliance. In most cases, oral fibromas are painless and don’t require treatment. However, your dentist or doctor can surgically remove it if it becomes too large.

2. Canker Sore

Canker sores are tiny ulcers that form at the base of the gums. Although they’re harmless, they can also hurt. Luckily, canker sores usually heal on their own within a week or two. In the interim, applying an over-the-counter analgesic can relieve the pain.

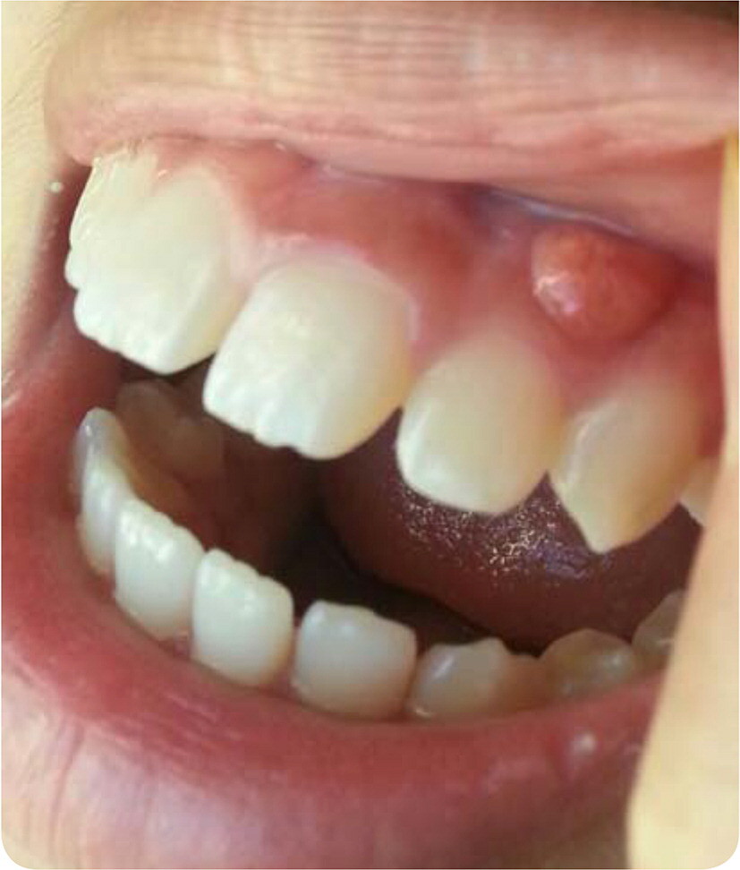
3. Abscess

If you have a soft, warm bump on your gums that causes intense pain, you might have a periodontal abscess. Bacterial infections cause pus to collect in a particular area, creating a bump. Most dental abscesses are incredibly painful. If you experience pain that worsens when you lie down or seems to radiate throughout your mouth, you likely have a severe infection in your gums or tooth that needs attention from a dental professional.

4. Oral Cancer

A small growth or lump on your gums might indicate a cancerous tumor. Common signs of oral cancer include mouth pain, bleeding, difficulty chewing or swallowing, or red or white patches in your mouth. Dentists are trained to spot even the earliest signs of oral cancer and can refer you to the appropriate specialist if they detect the condition.

When to Call Your Dentist About a Bump on Your Gums

Generally, a bump on the gums isn’t anything to worry about. However, you should call your dentist or doctor right away if your lump is accompanied by any of the following:

Persistent or throbbing pain

Fever

Foul taste in the mouth

A lump that doesn’t go away after several weeks

Bleeding near the bump

 

When in doubt, it never hurts to reach out to your dentist. Even if your gum bump isn’t serious, you can never be too careful when it comes to the health of your smile!

(03/27/2023)
by North Jacksonville Complete Dentistry

More Information: https://www.northjacksonvillecompletedentistry.com/blog/possible-reasons-bump-on-gums/

Views: 500
Share


My BEST Dentists Journal Headlines