My BEST Dentists Journal

All Journal Entries
Share

Four Symptoms of Jaw Cancer

Learning about oral cancer can be frightening—but education leads to early detection, and early detection is key to a better diagnosis. Because oral cancer can develop anywhere inside your mouth, it can manifest in your jaw as well. Here, we’ll look at four jaw cancer symptoms (as well as symptoms that aren’t jaw cancer, such as TMJ disorders) to watch out for and what you can do to address them as early as possible.

Compared to other cancers, oral cancer is less common—according to the American Cancer Society, about 54,000 will be diagnosed with oral cancer in 2021. Oral cancer also affects men twice as often as women, and the average age of diagnosis is 62. But let’s focus specifically on cancer of the jaw. According to the Merck Manual, jaw cancer can occur either on the upper jaw, known as the maxilla, or the lower jaw, known as the mandible. If you experience any of the following jaw cancer symptoms, be sure to seek an evaluation by your dental professional.

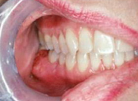
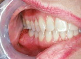
Swelling of the Jaw

A primary symptom of cancer in the jaw is swelling in the face, palate, or area of your jaw that supports your teeth. This swelling may be visible on the side of your face, but it can also occur inside your mouth. You may notice swelling in the roof of your mouth or beneath your teeth, depending on the location of the tumor. The growth of a tumor inside the bone may be the cause of this inflammation—and should be brought up with a dental professional as soon as possible.

Jaw Pain

Jaw pain caused by a tumor is one symptom of cancer in the jaw. According to The Mayo Clinic, while jaw tumors are rare and usually benign, they can also be aggressive and spread to other parts of the mouth’s bone and tissue, and cause teeth to be displaced, which can be painful. If your jaw is in pain and you’re not sure why, be careful not to dismiss it as a toothache—reach out to your dental professional for a proper diagnosis. Keep in mind this pain could also be due to TMJ disorder as opposed to cancer symptoms. However, if your dental professional does see a tumor or thinks one might be present, they’ll order imagining scans to examine your jaw further. If they find a tumor, they’ll likely order a biopsy to study the tumor and determine the best treatment plan.

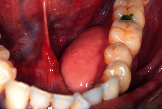
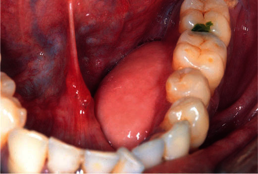
Lumps on the Jaw

Feel a lump on the roof of your mouth or gum, and not sure why it’s there? Lumps on the roof of your mouth or along your gumline may be the only jaw cancer symptoms you experience. While a lump could be an infection or benign growth, these lumps could also be a sign that cancer is developing on the jawbone beneath the mouth's soft tissues. If you notice a new lump inside your mouth and it doesn't resolve itself in two weeks, reach out to your dental professional.

Tooth Mobility

Tumors in the jawbone can also lead to unexplained tooth mobility. In fact, the most common type of malignant jaw cancer is squamous cell carcinoma, which invades the jawbone through tooth sockets. If you notice that your teeth are loose or suddenly shifting positions, don't hesitate to let your dental professional know. A tumor could cause tooth mobility on your jawbone, pushing your teeth out of place.

While pain, swelling, lumps on the jaw, or loose teeth could be due to other oral conditions, they’re also all realistic jaw cancer symptoms. If you experience any of them, make sure to set up an appointment with your dental professional right away for a screening.

Again, reading about cancer can be frightening. But the fact is that the more education and information you have, the better equipped you are to detect a symptom, address it with a dental or medical professional, and get treatment. Education is part of oral care—and now you know a little more about how to keep your mouth healthy and detect early signs of jaw cancer.

(03/10/2021)
by Colgate

More Information: https://www.colgate.com/en-us/oral-health/cancer/four-jaw-cancer-symptoms-to-be-aware-of

Views: 860
Share


My BEST Dentists Journal Headlines