My BEST Dentists Journal

All Journal Entries
Share

Frenulum In The Mouth

What Is A Frenum (Frenulum)? 

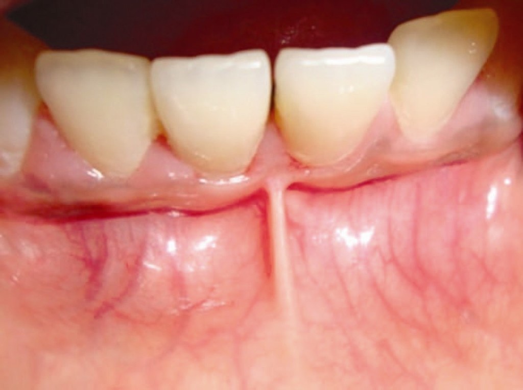
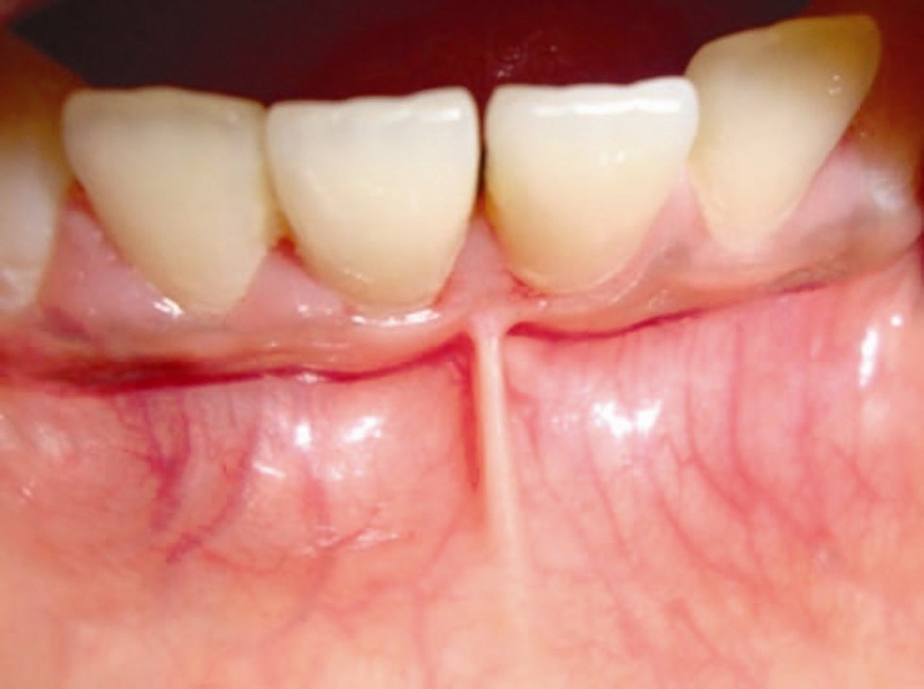
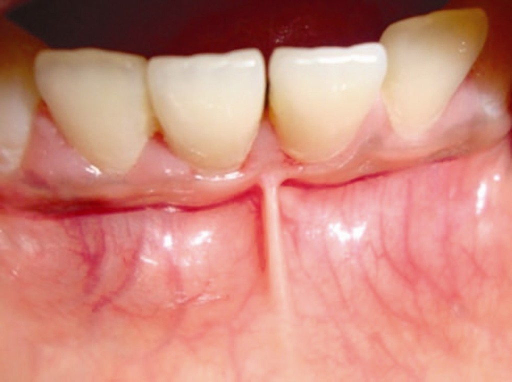
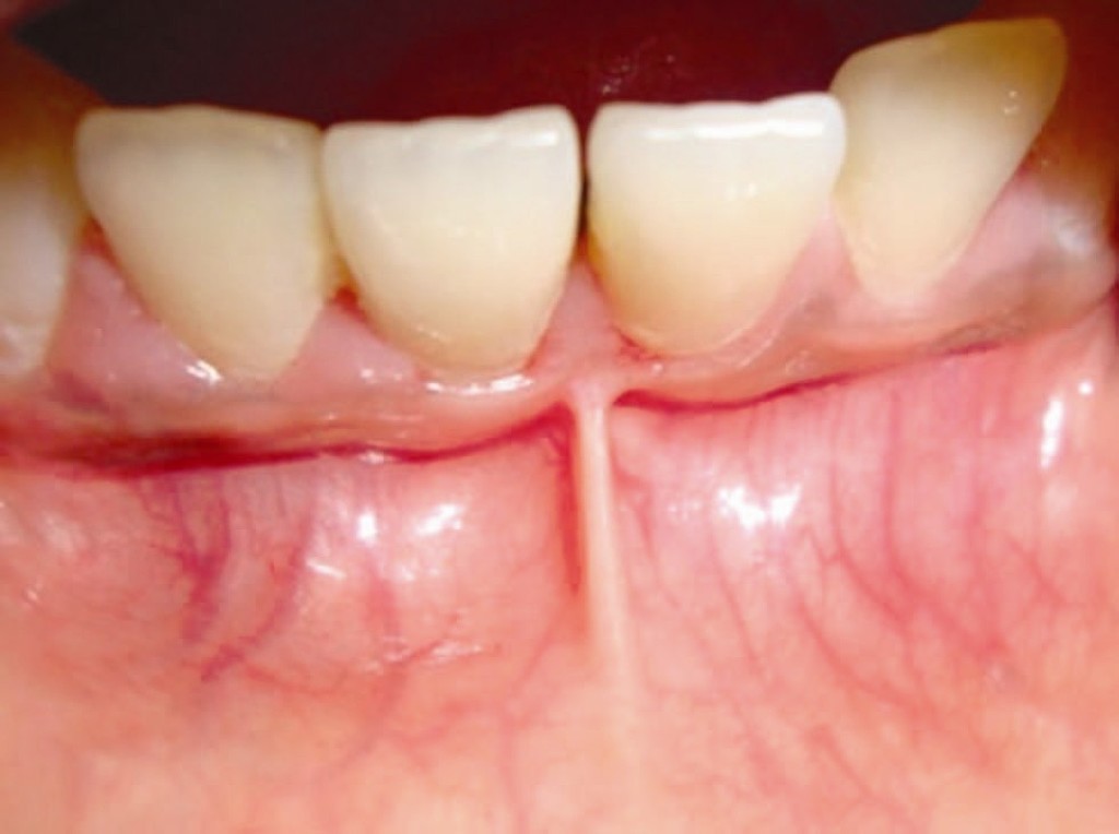
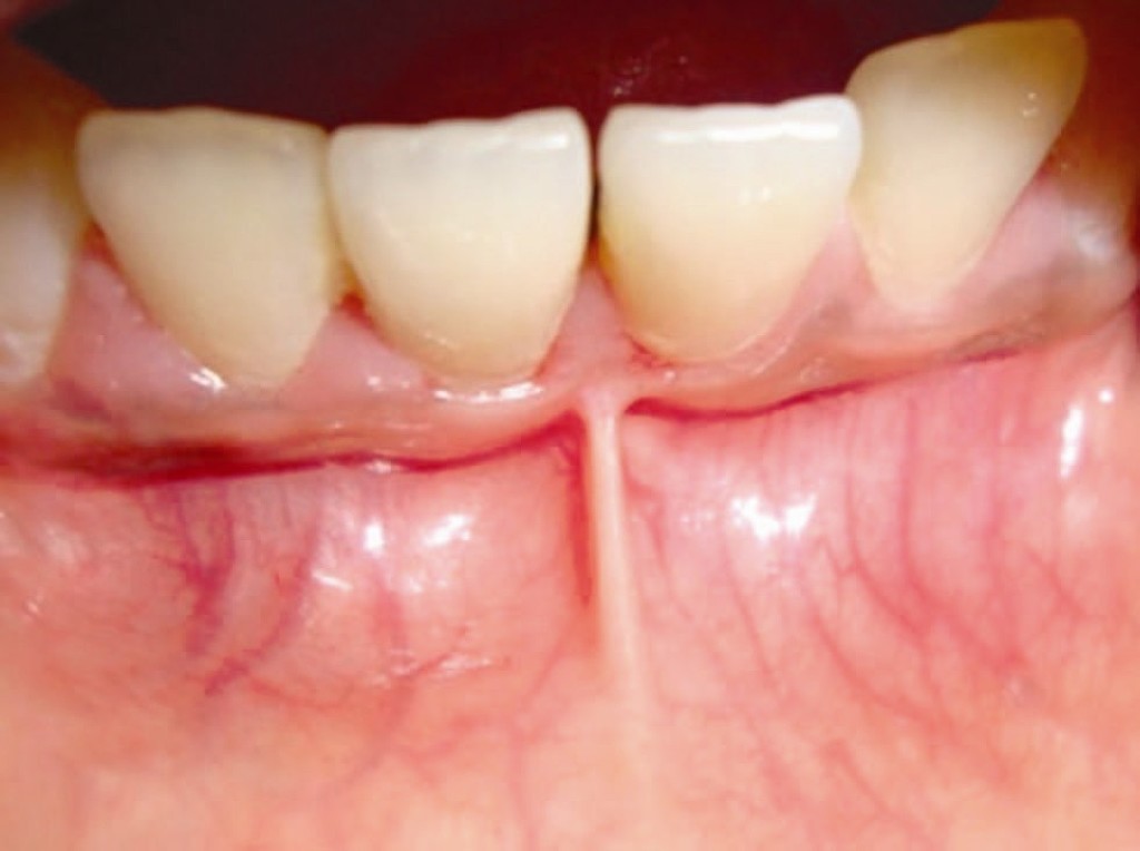
In our mouth, most people have two groups of tissue called frenums found in and around the gums and teeth. It is a piece of really soft tissue that appears as a thin line between the gums and lips. You can find it on the top and the bottom of your oral cavity. There’s also a frenum that extends along the bottom of the tongue and connects to the bottom of the mouth just behind the teeth. Different people have different frenums. It can vary in length and thickness.

Occasionally a frenum can get stretched or torn from kissing, eating, or wearing oral appliances like braces. Although this type of injury may bleed a lot, normally there’s no need for stitching or other serious medical procedure. Nevertheless, some dentists suggest treating a person with a cut frenum for indications of physical, cause this type of injury can often be a sign of abuse.

If your frenum tears constantly this may be painful and annoying so your dentist or oral surgeon may advise surgical removal. This type of operation is called a frenectomy. If you experience persistent problems with your frenulum mouth, teeth and gums may suffer severely if not treated properly.

Types Of Frenum

There are two basic types of frenums in your mouth:

Labial frenum – This type of frenum is placed in the front of your mouth between the upper lip and gum. His counterpart is positioned between the lower gum and the lower lip. If there is an issue with this type of frenum, it can change the way your teeth grow in and can influence your dental health. Particularly it can pull your gums away from a tooth revealing the root.

Lingual frenum – This type of frenum is located between the floor of your mouth and the base of your tongue. It comes in different sizes and sometimes it can limit the movement of your tongue. This means frenum is tight, and we call this condition: tongue-tie. If this happens, it can affect the way the tongue moves in your mouth. This problem is especially annoying for babies because it makes it hard for a baby to feed properly.

Historically, the absence of frenum was connected to various genetic and developmental conditions like Ehlers–Danlos syndrome.

Possible Problems With Frenum

The main purpose of a frenum is to give the lower and upper lip, as well as the tongue proper support and more stability in your mouth. If you suffer from an oversized frenum, it can lead to various problems that can affect your teeth, gums, and mouth.

Some of the conditions you may encounter if there’s an issue with a frenum include:

·  frenum tear

· developmental malformations in your mouth

· trouble with swallowing

· speech difficulties if the tongue is tight

· disruption of the healthy growth of your upper two front teeth, which may cause a gap

· mouth breathing and snoring, due to deformities in jaw development created by abnormal frenum growth

· problems with nursing, due to lip-tie or tongue-tie in infants

· the gap formed between front teeth

· the difficulty of fully stretching your tongue

· receding of gum tissue away from the root of the teeth and revealing the tooth root.

Complications with the frenum may also happen after oral surgeries created by problems with operational techniques. An oral surgeon has to be extremely careful when cutting soft tissue in your mouth. Irregularities can cause the frenum to tear which may lead to constant problems with your teeth and gums.

What Is A Frenectomy?

A frenectomy is a procedure that removes your frenum tissue. Luckily, most people feel instant benefits after a successful frenectomy. This routine procedure normally takes a couple of minutes and is pretty simple to perform. Although it is still a surgery, the patient will be released in no time with minimal pain and discomfort in the following days. When performing a frenulum surgery the surgeon numbs the area and creates an incision to free it from being so tight or sometimes he removes it completely.

Stitches are only required depending on the size and severity of the frenum tissue. Modern “surgery” technique uses laser surgery, making less tissue damage, and scarcer bleeding for improved healing time. 

Frenectomy may be used as a preventative measure, especially with young children without permanent teeth. It is important to point out that frenectomy won’t make your already spaced teeth come together. That is why it is recommended to complete any orthodontic treatment before you get a frenectomy. 

(01/06/2021)
by MGA Dental

More Information: https://www.mgadental.com.au/frenulum-in-the-mouth/

Views: 1,460
Share


My BEST Dentists Journal Headlines