My BEST Dentists Journal

All Journal Entries
Share

Granulation Tissue and Healing Oral Wounds

Wounds can occur in the mouth for many reasons — from accidents to surgical procedures. Whatever the cause, your body has everything it needs to heal the wound. Granulation tissue plays an important role in this healing process. Learn more about how oral wounds heal and why you might notice white tissue around the injury site.

What Is the Wound Healing Process?

Wounds inside the mouth heal essentially the same way as wounds on any other part of the body. This healing process includes four main stages:

Hemostasis. The first stage of healing stops the bleeding by forming a blood clot, also known as a thrombus. Blood vessels constrict to restrict blood flow, and platelets stick together to seal the wound. Finally, threads of fibrin reinforce the seal through a process called coagulation.

Inflammation. During the second stage, the injured blood vessels discharge a fluid that causes the wound to swell, and the repair process starts by removing damaged cells and bacteria. Inflammation helps stop further bleeding and ward off infection, and it only becomes problematic if prolonged or excessive.

Proliferation. Granulation tissue forms in the third stage of healing. The wound contracts as these new tissues are built, and the body constructs a network of blood vessels to supply the tissue with oxygen to help it grow. Cells from the edges of the wound move across the opening to close the wound in a process called epithelialization.

Maturation. Also known as the remodeling stage, maturation occurs when collagen is remodeled and the wound fully closes. Any cells used to repair the wound that are no longer needed are removed by a process called apoptosis.

The healing process might sound complex, but taking care of your oral wounds can accelerate each stage and restore the health of your mouth.

What Is the White Tissue In Your Mouth?

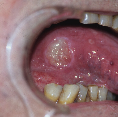
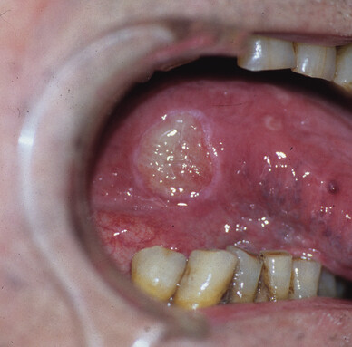
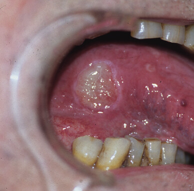
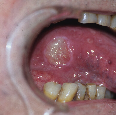
If you have experienced an oral wound, you might notice white, pink, or red tissue forming around the injury. This tissue — known as granulation tissue — plays a key role in repairing the injury and protecting it from further damage. When you undergo oral surgery like a tooth extraction or gum grafting, granulation tissue forms after about one week to protect the site until the new bone or gum tissue can form.

What if the white stuff near your wound doesn't look like tissue? Make a quick call to your dentist if you have any concerns about the healing process, especially if you experience pain. The "white stuff" you see could also be one of the following:

Surgical gauze. If you received treatment for the wound, it's possible a small piece of gauze stuck to the wound. Call your dental professional to get the gauze removed and prevent infection.

Food debris. Large wounds like those left by tooth extractions could attract food debris. While they aren't inherently dangerous, they could dislodge your blood clot and disrupt healing. Twenty-four hours after surgery, you can rinse your mouth with saltwater to dislodge the food particles. If that doesn't work, talk to your dental professional.

Infection. Any white or yellow pus around the wound could be a sign of infection and is probably accompanied by swelling and pain. Call your dental professional right away to confirm the infection and prescribe an antibiotic.

Is Your Oral Wound Healing Properly?

Wounds inside the mouth tend to heal more quickly than wounds elsewhere on the body. Still, oral wounds can sometimes heal improperly. Look out for these issues:

Excessive bleeding. If the blood clot is disturbed or fails to form, you might experience excessive bleeding.

Infection. If you notice any white or yellow pus, continued swelling, worsening pain, or a bad taste in your mouth, your oral wound might be infected.

Dry socket. If the white granulation tissue falls out after a tooth extraction, you might have dry socket. Dry socket occurs when the repair material falls out and exposes your bone and nerves. The exposed nerves can cause severe pain.

Be on the lookout for persistent inflammation, unpleasant smells, white or yellow pus, a reopened wound, or dead tissue. If you experience any of the conditions listed above, contact your dentist immediately for treatment.

Wounds inside the mouth might feel uncomfortable, but with the right care, they will heal quickly. Follow your dental professional's instructions for cleaning and protecting your oral wound if you receive an injury or undergo an operation. The formation of granulation tissue — with the absence of pain — is a great sign that the wound is healing properly.

(05/26/2023)
by Colgate

More Information: https://www.colgate.com/en-us/oral-health/mouth-and-teeth-anatomy/granulation-tissue-and-wound-healing-in-the-mouth

Views: 710
Share


My BEST Dentists Journal Headlines