My BEST Dentists Journal

All Journal Entries
Share

Gum Infection: Symptoms, Treatment and Prevention

Just about every area of your body is susceptible to infection, including your mouth. And if you have an infection, it’s important to get medical care promptly. In the case of your mouth, infected gums can not only be very painful, they can also be a sign of a more serious condition such as advanced gum disease, otherwise known as periodontitis.

Gum Disease Characteristics

Gingivitis is a mild form of gum (periodontal) disease. If left untreated, it can very quickly develop into an advanced form of periodontal disease, known as periodontitis which can lead to tooth loss.

Periodontal disease affects the area of your mouth just below the gum line, in the v-shaped crevice between your tooth and gums, known as the sulcus. This impacts the attachment of your tooth and causes the nearby tissue to break down. Once the tissue is damaged, the sulcus develops into a pocket that can trap bacteria and lead to gum infections. Since gums provide fundamental support for our teeth, it’s vital to keep them in good health.

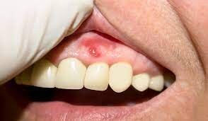
Gum Infection Symptoms

Although serious gum infections aren’t extremely common, they can lead to major issues if not treated in a timely manner. While most of us want to keep our teeth and gums healthy, they can be prone to gum infections if not cared for properly. Identifying the risk factors and warning signs that can lead to infected gums is an important way to help prevent further gum disease and all the side effects that come with it.

Signs of infected gums include:

Gums that are swollen, tender or bleeding

Receding gums

Pus coming from the gums

Chronic bad breath

Loose teeth

A noticeable change in the way your teeth fit together when you bite.

If you are suffering from any of the symptoms listed above, visit your dental professional right away for proper diagnosis and treatment.

Periodontal Disease Diagnosis

To check whether periodontal disease is affecting the health of your smile, your dental professional may carry out a series of tests. These include questions about risk factors and oral health. In addition, the depth of the gingival pockets is measured, the occurrence of gum bleeding is determined, and the mobility of the teeth is examined. Panoramic x-rays show whether there is bone loss. If this is the case, then it is measured to what extent.

When it comes to gum disease, good oral hygiene is of paramount importance. No treatment, including dental procedures and antibiotics, will bring long-term results if the patient does not implement an oral care routine of twice daily brushing and flossing at least once a day.

Gum Infection Treatments

As soon as you notice a gum infection, you should consult with a dental professional. Once gum disease is diagnosed, you will have numerous treatment options that will vary based on the severity of the infection. Here are some common methods to treat gum infections:

Antibiotic Therapy: Just as you’d expect with any type of bacterial infection, antibiotics are often used to treat gum infections. Your dentist may elect to use an antibiotic pill or injection directly into the gum infection site.

Root Planing and Scaling Treatment: This advanced gum disease therapy cleans deeply between your teeth—all the way to the roots.

Gingivectomy: A gingivectomy is a form of periodontal disease surgery that involves the removal of gum tissue.

Flap Surgery: If your gum disease is severe, flap surgery may be necessary involving bone or tissue grafts.

How to Prevent Gum Infections

Maintaining healthy gums and avoiding gum disease can be easy if you make good oral hygiene a priority every day. By brushing and flossing daily, you can significantly reduce your risk of gum disease and inflammation, in addition to tooth decay and other oral health problems. Poor oral hygiene is your worst enemy, so start a diligent routine and stick to it, and your smile will benefit from these healthy habits.

Brush twice a day

Brush your teeth with a stannous fluoride toothpaste such as any of the Crest Gum Detoxify toothpastes twice a day for 2 minutes each session. These anti-gingivitis toothpastes gently neutralize the bacteria trapped around the gum line leading to clinically proven healthier gums.

Floss your teeth daily

Use a product like Oral-B Glide Deep Clean floss or Oral-B Glide Scope Outlast floss picks to clean between each and every tooth to remove food particles that cause plaque and tartar buildup, and can eventually lead to gum disease. To further wash away any leftover plaque and food debris, consider adding an oral irrigator like the Oral-B Water Flosser Advanced to your routine. Its unique Oxyjet Technology uses water enriched with microbubbles of air to help eliminate plaque bacteria for healthier gums.

Use an anti-gingivitis mouthwash

You may also want to use a mouthwash that kills the bacteria that causes plaque. There are a variety available and some have more than one benefit, like whitening and fighting bad breath, for a healthier mouth all around.

Visit a dental professional at least twice a year for a professional cleaning

This will remove tartar buildup that you can’t take care of at home. Tartar buildup can lead to more plaque buildup on and around the tartar in hard to clean areas which can wreak havoc on your smile.

Since prevention is the best way to avoid gum infection, it’s important to make caring for your teeth and gums a top priority. Maintain good oral hygiene by following these important guidelines to keep your teeth and gums healthy and help prevent gum infection.

(11/29/2023)
by Crest

More Information: https://crest.com/en-us/oral-care-tips/gum-health/gum-infection-symptoms-treatment-prevention

Views: 560
Share


My BEST Dentists Journal Headlines