My BEST Dentists Journal

All Journal Entries
Share

How To Avoid Prematurely Losing Your Teeth

With the right care, there’s no reason why your natural teeth can’t last a lifetime. It all comes down to consistent maintenance, never missing a routine appointment, and eating a balanced diet that’s not too sugar-heavy. If you’ve lost a tooth, or had complications with your oral health, read on to find out how you can avoid losing further teeth, and maintain your existing teeth in the future.

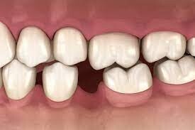
If you’re missing a tooth, replace it

Replacing even a single missing tooth straight away is beneficial for your whole mouth. Losing one tooth has a knock-on effect on how your other teeth behave, as they’re forced to pick up the slack the vacant space has left behind.

If you’ve lost a back tooth such as a molar which is indispensable for breaking down food, your other teeth will need to compensate, and this can cause tooth wear overtime.

Moreover, missing teeth leave your gum line exposed and more prone to decay, which can impact upon the lifetime of adjacent teeth. Dental implants at without a doubt the best way of replacing a single missing tooth, and are virtually indistinguishable to a real tooth in terms of function and aesthetic. 

Don’t avoid the dentist

The simple action of coming along to the dentist can save you a tooth extraction, gum disease, decay, root canals, and a whole host of other avoidable problem and procedures.

When you think about your teeth, consider prevention over cure. As teeth have no way of regenerating and repairing themselves, it’s vital to take precautions to keep them in great shape, and one such precaution is attending dentist appointments with us here in Northampton.  Your dentist will be able to see problems that are symptomless in your mouth, that you might not have spotted in the mirror at home. They’ll also examine the tissues and supporting structures in your mouth to check for signs of lesions that could potentially be cancerous. From this perspective  a trip to the dentist could save your life.

Never skip the hygienist

Hygienists are often overlooked in favour of the dentist, when in actual fact, they’re vital alongside your trips to the dentist.

A third of people in the U.K have admitted to never having been to a hygienist, which could help to explain why gum disease remains the top reason why adults lose their teeth. As hygienists focus on the health of your gums, seeing one regularly is essential if you wish to avoid gum disease and ensuing tooth loss.

Hygienists perform routine scale and polish treatment, which removes harmful plaque from your gum line. In removing this plaque, your chance of gum disease reduces dramatically, as your gums are not inflamed due to its presence. Whilst dentists deal with the general health of your teeth (think of them as a GP for your teeth), hygienists play a preventive role in keeping your gums healthy.

Here at Cliftonville Dental, we have state-of-the-art equipment to treat advanced cases of gum disease, including the Florida Probe which uses specialist software to create digitised diagnoses quicly and efficiently.

Re-think your diet

Cutting down the sugar in your diet (or cutting it out altogether!) will do wonders for your oral health. When sugar is left on your teeth, it causes acids to eat through your tooth enamel, and penetrate deeper into the layers of your teeth, causing cavities, which will require a filling.

Avoiding sugar will help to preserve your tooth enamel (the protective coating on your teeth which protects them from erosion) from breaking down. Drinking plenty of water after eating sugary foods will also help the harmful bacteria to wash away instead of remaining in the mouth to cause havoc with your teeth and gums.

Address chips and cracks straight away

Small chips and crack may seem like they’re of no consequence, but if left untreated they weaken your teeth and make them more prone to the risk of damage. Small fractures can also leave your tooth open to the possibility of infection, which can spread and cause an abscess, which could lead to a root canal that could have been avoided.

Treatment like crowns and composite bonding here in Northampton are highly effective for repairing chips, cracks and fractures. Not only do they make your tooth stronger, they restore its aesthetic.

Stop smoking

If you are going to choose just one thing to implement into your oral health care routine from this list of advice, this is it. Stopping smoking constricts blood flow, and as your teeth and gums have rich blood supplies, it makes it harder for them to receive the oxygen supply they need to heal and replenish cells.

It’s for this reason that teeth and gums become more vulnerable to decay and disease, as well as mouth cancer. If you’re struggling to stop smoking, remember that you’re not on your own. We can help you seek out professional advice that will get you on the road to quitting, healthier teeth and gums, and healthier lungs.

Learn good brushing and flossing technique

It’s all well and good to brush and for the recommended time, but if your technique is off, it will be of no benefit to your oral health.

Learning how to correctly use an electric tooth brush and floss or interdental brushes will dramatically improve your oral health and hygiene. You hygienist in Northampton can show you how to do this if you’re struggling, and will be able to identify where you are going wrong. Remember, we’re never here to judge, only to help, so don’t feel embarrassed or disheartened if you’ve not quite been using the right technique in the past.

(08/11/2023)
by Cliftonville Dental

More Information: https://cliftonvilledental.co.uk/2021/08/how-to-avoid-prematurely-losing-your-teeth/

Views: 603
Share


My BEST Dentists Journal Headlines