My BEST Dentists Journal

All Journal Entries
Share

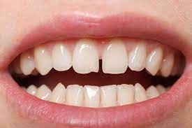
How To Fix Tooth Gap Without Braces

Braces are the most popular way to fix a tooth gap but we offer several other alternatives. A tooth gap, otherwise known as diastema, is very common in adults. The gap can be between any two teeth but it is most commonly seen between the front two teeth.  Braces are not the right fit for everyone, but everyone deserves the smile of their dreams. Here are other ways to fix a tooth gap without braces:

Tooth Gap Bands

Tooth Gap Bands are one of the quickest ways to fix a tooth gap. The bands are meant for patients with little misalignment and only a small gap in the front two teeth. The time required to fix the gap varies from 2 weeks to 6 months. This option is for patients who have a gap of 3.5 mm or less as Tooth Gap Bands are meant to fix small gaps in the front two teeth. This alternative to braces is a quick, affordable, and low pain option for fixing a small gap. The down side to Tooth Gap Bands is they often cause gaps in other teeth and your other teeth must be completely straight for them to work properly.

Dental Bonding

Dental bonding is a cosmetic dental procedure that covers the gap with a tooth-colored composite resin. The staff at Your Community Dental will carefully sculpt the durable plastic substance (resin) to the shape and size needed to cover the gap. The resin is applied as a liquid then a special light is used to strengthen and harden the resin and tooth together. Dental bonding is a low pain treatment that is a great option for many individuals.

Dental bonding is a quick and simple treatment that can take place in a single visit. The treatment:

The shade of resin is selected to perfectly match your natural teeth

Your tooth enamel will be prepared for the bonding

Your dentist will carefully incise the surface of your teeth and apply a conditioning liquid so the bonding material will adhere to your teeth

The bonding material is applied

The dentist will shape the material to match with your teeth

Once the bonding is shaped appropriately, the dentist will use the ultraviolet light to harden the bonding material

Finally, the bonding is polished and the treatment is complete

Dental bonding is usually recommended for patients who only have a small gap in-between the front teeth and whose remaining teeth are relatively straight. Before you jump on board for teeth bonding, it is important to speak with one of the dentists at Your Community Dental. If you smoke or drink coffee or wine regularly you may consider how this will affect the bonding material. Bonding material may become stained easily.

Porcelain Venners 

Porcelain veneers are extremely thin, tooth-colored shells custom-made for your teeth. They cover your front teeth to recreate a perfect, natural set of teeth. Despite how thin porcelain veneers are, they are strong and stable. Porcelain veneers are perfect for altering the size, color, and shape of your teeth. Porcelain veneers do not stain easily; they resist stains from drinks, food, and smoking and resemble natural teeth. They don’t require much alteration to your natural tooth but rather serve as a shell that is placed on top of the already existing tooth. They are custom made for the individual tooth and are almost impossible to distinguish between the veneers and natural teeth. The treatment process goes as followed:

Cleaning the teeth and determining the correct shade for the veneer

The tooth is prepared and ½ millimeter of the natural tooth enamel is removed to make room for the veneer

An impression of your tooth is made to create the veneer in the lab

The veneer is placed on your tooth to check if it fits correctly

The veneer is cemented on to the tooth

The veneer is light cured to make sure it is secured in place

Excess material is removed and the veneer is polished

Implants

Dental implants can be used to fix the gap in-between teeth if the gap is very large or a tooth is missing. A dental implant is a surgically placed metal post or frame that is implanted into the jawbone and your gums. Once this implant has been made the dentist can insert a replacement tooth in this spot. Implants are very secure way to replace a missing tooth. This is crucial in ensuring that a tooth will be secure when eating and speaking. Implants are placed in through the jawbone ensuring that they will be stable and abstain from shifting in the mouth. Receiving an implant requires no work to other teeth in the mouth. The replacement tooth can stand alone in a secure and stable manner that does not involve the surrounding teeth. Dental implants do require healthy gums and bone and a commitment to keeping your teeth healthy. It is also important to have routine dental checkups to ensure the long-term success of the implant.

There are two types of dental implants; endosteal implants and subperiosteal implants. Endosteal implants are directly implanted through a surgical procedure that implants directly into the jawbone. After the gum tissue is healed another surgery is needed to connect a post to the original implant. After these surgeries have taken place an artificial tooth is placed on the post. Subperiosteal implants are metal frames that are placed on to the jawbone just below the gum tissue. When the gum heals, the frame is secured into the jawbone. Then a post is attached to the frame and an implant is attached.

Dental implants are very costly but they are the longest lasting option.

Crowns

Like veneers, dental crowns can enhance the appearance of teeth. A dental crown encases the entire surface of a tooth. The dental crown can be used to fix a number of problems including dental gaps. Crowns are placed on the tooth and cemented in. This can only be removed by the dentist. A crown can be used to improve the appearance of a tooth or help aid the shape and alignment. Crowns can even be placed on implants to help create the desired tooth shape. Crowns can be matched to the color of your teeth with porcelain or ceramic crowns. Crowns also come in gold, metal, and acrylic, these are often the strongest and are great for back teeth.

(09/27/2021)
by Your Community Dental

More Information: https://yourcommunitydental.com/fix-tooth-gap-without-braces/

Views: 811
Share


My BEST Dentists Journal Headlines