My BEST Dentists Journal

All Journal Entries
Share

How bacteria’s in your calculus can cause you general health issues?

Dental plaque is a known risk factor for developing gingivitis and other general health issues. However, when plaque build-up in your mouth, it can turn into an even greater threat to your dental and overall health, known as calculus. Calculus creates a conducive environment for dental bacteria, and its action can pose a severe threat to your general health.

Fortunately, there are ways to minimize the risk of developing these dental bacteria-related health problems. One of the most effective methods is a regular scale and clean. In this blog post, we will discuss how bacteria in your calculus can cause you general health issues and how regular scale and clean can help avoid those issues.

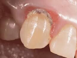
What is Calculus?

First things first, it is important to understand what calculus is before discussing some of its negative effects on general health. Simply stated, calculus is calcified bacterial plaque that forms on the teeth’ enamel and below the gum line. Calculus cannot be removed by normal brushing and flossing. One will need to see the dentist for its removal.

How can bacteria in your calculus cause you general health issues?

• Stroke

Stroke is one of the leading causes of death globally. It is caused by a number of factors, including high blood pressure, cholesterol, and age. However, one of the most important risk factors for stroke is dental bacteria.Dental bacteria can damage arteries in your neck and brain. They can also cause inflammation, which can lead to artery blockages.

• Heart Disease

Heart disease is the leading cause of death in Australia and across the world. There are several factors that can heighten your risk of developing heart disease, including smoking, being overweight, and having high cholesterol levels. Dental bacteria can also play a role in increasing your risk for heart disease.

It can cause inflammation and infection in the heart. Inflammation can lead to atherosclerosis, which is a plaque build-up on the inside of arteries. A build-up of plaque can block blood flow to and from the heart and cause a heart attack.

• Respiratory Illnesses

The bacteria on calculus can easily travel from the mouth to the lungs aggravating the respiratory system. This can lead to complications such as infection, pneumonia, and bronchitis.

• Pregnancy Complications

There are a number of pregnancy complications that can be caused by dental bacteria. These can include pre-term birth, low birth weight, and even stillbirth. In some cases, the infection can go ahead and spread to the baby’s brain and cause serious problems. If you’re pregnant, it’s vital to talk to your dentist about your risk factors for dental bacterial infections and how to protect yourself from them.

How regular scale and clean can help avoid general health issues?Oral health is a vital part of life, and it’s important to ensure your teeth are healthy. Everyone should practice brushing and flossing daily. However, apart from brushing and flossing on a daily basis, it is vital to have a scale and clean at least twice a year. It helps remove plaque and calculus and thus prevents severe general health issues, as discussed above.

Here are some of the benefits of Scale and Clean:

• Plaque Removal

Professional dental scales and cleaning can help to remove plaque and bacteria that can cause tooth decay, gum disease, and other general health problems. It also helps to restore your teeth’s natural color and clarity. It is quite difficult to remove plaque from your mouth, and that is why you need a dental scale and clean.

• Calculus Removal

Unlike plaque, calculus is hard and cannot be removed by brushing and flossing at all. You will require a dental scale and clean to remove it. The dentist has special dental tools that can reach every nook and cranny of your teeth and remove plaque. When you leave calculus to sit on your teeth and below the gum line, it means you are giving bacteria a chance to thrive. And apart from these bacteria ruining your smile, they might also bring you some general health complications.

• Protects Your General Health

Professional dental scaling and cleaning can help protect your overall health. Removing harmful bacteria and debris from your teeth and gums can help reduce the risk of tooth decay, gum disease, and other general health issues.

Bottom Line

There you have it; dental hygiene is a very important part of your life. Poor dental hygiene can lead to calculus formation, which in turn can damage your oral and general health. Therefore, it is important to visit your dental professional at least twice a year for a dental scale and cleaning.

(02/20/2024)
by Springvale Dental

More Information: https://www.springvaledental.com.au/blog/how-bacteria-in-your-calculus-affects-your-general-health/

Views: 499
Share


My BEST Dentists Journal Headlines