My BEST Dentists Journal

All Journal Entries
Share

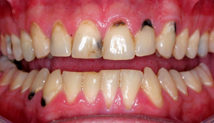
How to treat and prevent gum line cavities

Cavities, also known as dental caries, are a sign of tooth decay. As the decay progresses, small holes begin to develop in the teeth. If not treated, they can become larger and cause more problems.

What if the cavity is below the gum line?

Location matters when it comes to cavities and the recommended treatment.

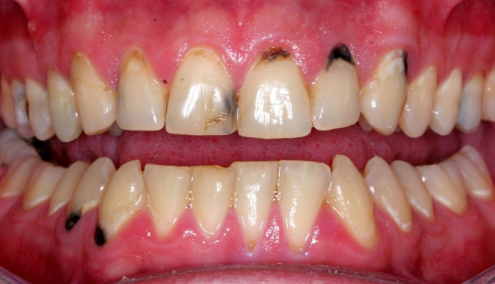
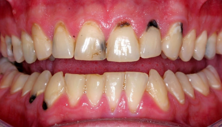
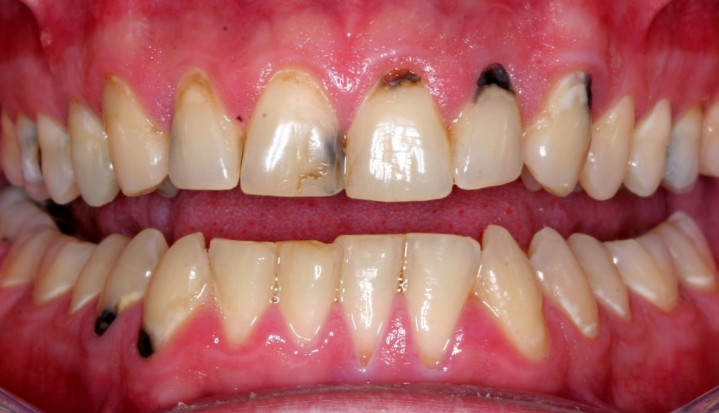
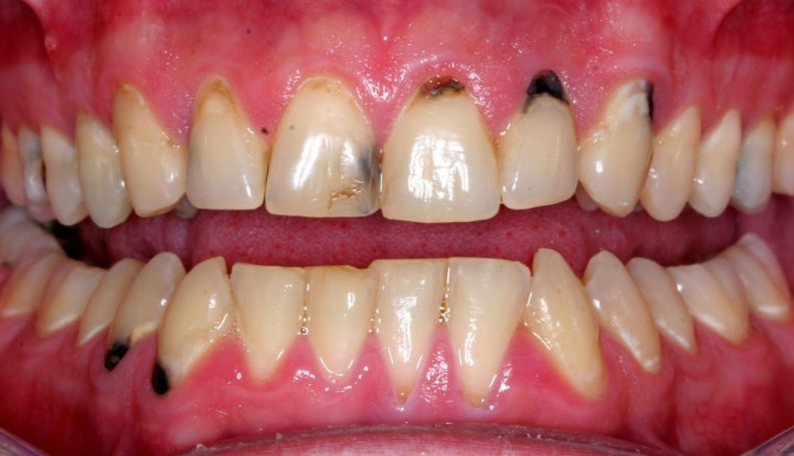
A cavity that’s close to, but above, the gumline is a smooth surface cavity. Those are cavities that form on the smooth sides of your teeth, often in between your teeth.

A cavity that forms just below the gumline is a root cavity. A root cavity can’t be addressed by brushing your teeth more often or even with a regular dental filling. It may require a more extensive intervention so that the cavity doesn’t get larger.

What causes a gum line cavity?

The biggest culprit is dental plaque. Plaque is a sticky layer that forms on your teeth when the bacteria in your mouth feast upon the sugars of food or drinks that you’ve recently consumed.

These bacteria break those sugars down into acid, which can wear away at the hard enamel layer on your teeth. If not removed, plaque can also harden into a yellowish layer called tartar along your teeth and gumline.

This is partly because your gums tend to recede as you age, which exposes your roots. Since your roots are covered with cementum, which is softer than the hard enamel that covers the rest of your teeth, they’re more vulnerable to plaque and decay.

Gum line cavity symptoms

Because cavities start small, you might not even realize that you have one at first. However, there are a few signs to watch for:

Pain in your tooth. A toothache is one of the most common signs of a cavity developing.

Temperature sensitivity. Your teeth may become sensitive to hot and cold.

Sensitivity to sweets. If your tooth aches a little after eating something sweet, it might be the result of damage to the enamel and cementum.

Stains on the surface of your tooth. These might look like white spots early on, but they can darken in color.

Pits or holes. If you notice a small hole in your tooth, definitely ask your dentist to investigate.

Who’s at risk for a gum line cavity?

The following factors can contribute to your risk of a gumline cavity:

Age

In general, evidence shows that cavities are incredibly common among adults, with more than 90 percentTrusted Source of adults having at least one cavity. And it seems that the older you get, your risk increases.

Research has shown that root cavities tend to occur much more frequently in older adults. In part, this is due to gum recession, which tends to happen more frequently as people age.

In fact, 70 percentTrusted Source of adults ages 65 and older have some form of periodontal disease, which includes gums pulling away from the teeth.

Poor oral hygiene habits

If you don’t diligently brush and floss your teeth, you may leave food and drink residue behind, and the bacteria in your mouth will feed on that residue, which creates plaque.

That plaque can build up and erode the enamel on your teeth, which can cause cavities. Plaque also tends to build up along your gumline and can harden into tartar, which is hard to remove and can threaten the health of your teeth.

Removing that plaque will reduce the build-up of tartar and the likelihood that gumline cavities will develop.

Dry mouth

Also known as xerostomia, dry mouth occurs when you don’t produce enough saliva. Saliva provides protection against tooth decay and gum disease, so a lack of saliva could increase your cavity risk.

Complications of getting a cavity along the gum line

When a cavity develops on the chewing surface of your teeth, a filling often takes care of the problem. But a gumline cavity is a little more complicated.

If the decay has gone down beyond the gumline and reached the root of the tooth, you may need more extensive treatment.

When decay reaches the pulp, or the center, of the tooth, your dentist may need to perform a root canal. This involves cleaning out the pulp, including all the pathways, then disinfecting the whole area and sealing it up.

Some people may also need a crown afterward to shore up a fragile tooth. But experts note that it can depend on the location of the affected tooth. The teeth in the back of your mouth that are used for chewing are more likely to require a crown after a root canal.

Treatment for a gumline cavity depends on the location of the cavity. If it’s above the gumline, and it’s not too extensive, your dentist can probably treat it like any other surface category: with a filling.

Typically, this means drilling through the enamel on the tooth and then removing the decay. Then, the hole is filled with a composite resin material or other substance, and then curing it to set it.

But a cavity that’s actually down into or below the gumline tends to require more extensive care. Your dentist may need to perform a root canal to get rid of the decay and prevent it from spreading.

Now that you know what causes these cavities, you can take steps to prevent them from occurring. The most important things you can do include:

Brushing your teeth. Do this twice a day with a toothpaste containing fluoride, which is recommended by the American Dental Association (ADA) for preventing cavities. Make sure you brush the gumline, and consider using a fluoridated mouthwash.

Flossing every day. This will help sweep away any debris that might get lodged in there, which provides a source of food for the bacteria that live in your mouth. The ADA specifically recommends making sure you work that floss down to your gumline so you remove anything lurking there that could lead to cavities.

Visiting your dentist. Seeing a dentist twice a year for cleanings and checkups can help you and your dentist stay on top of what’s happening in your mouth. That way, you’re less likely to develop a cavity that goes undetected and untreated for a long time. Your dentist can also perform fluoride treatments.

(05/15/2021)
by Health Line

More Information: https://www.healthline.com/health/dental-and-oral-health/gum-line-cavity

Views: 1,840
Share


My BEST Dentists Journal Headlines