My BEST Dentists Journal

All Journal Entries
Share

Lost Gum From Between Teeth

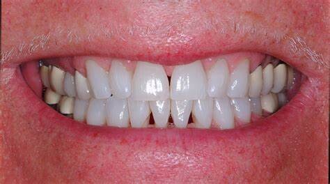
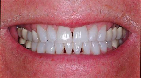
Have you lost gum from between your teeth? If you look at any magazine photo or advertisement you will see cosmetically beautiful smiles with uniform, straight teeth. The smiles you see in these magazines do not have gaps or spaces. If you have tiny triangles between two or more of your teeth, you may feel self conscious about their appearance.

Unfortunately, lost gum between teeth can indicate that the tissue is not as healthy and strong as it should be. Often, gum treatment is needed before cosmetic alterations can be made to fill these spaces. Good oral hygiene is important for your teeth and gums and patients are encouraged to improve how they brush and floss. Once your gums have been treated and are healthy, treatment for the dark spaces can be done. You can say goodbye to these black spaces in your smile through one of three treatment options.

What causes lost gum from between teeth?

In simple terms, space opens between teeth is caused by trauma, receding gums, and gum disease. From a distance, those spaces look like there is food is caught between your teeth. Upon professional inspection, those black spots can indicate a bigger dental problem. You may wish to fill spaces between the teeth for a more uniform appearance.

Gum disease has two distinct stages: gingivitis and periodontitis. The beginning stage of gum problems is gingivitis. Gingivitis is an infectious inflammation of the gums that many people experience at one point or another. It can usually be treated with diligent brushing, antiseptic mouthwash, and thorough flossing at home. Left untreated, gingivitis can progress to periodontitis, a more serious infection can occur. Full blown gum disease will destroy the supporting bone between tooth roots. It can eventually lead to tooth loss.

To get rid of this deeper infection, your dentist will do a deep cleaning called scaling and root planing. During this procedure, they remove plaque and tartar buildup around the roots.

Gum disease causes gum and bone loss

Gum infections will cause loss of the triangular papillae from between teeth. This disease is serious and has also been linked to more than just your oral health. In fact, the bacteria present in this disease can flow into your bloodstream. This is thought to increase the likelihood of developing heart disease, heart failure, dementia, and diabetes. Unfortunately, the damage that gum disease can cause to your body doesn’t end with better brushing habits. After all, periodontal disease isn’t just a lack of oral hygiene. Many pregnant women experience gestational gum problems due to the increased changes in hormones.

Certain medications can also lower your immune system, making your body even more susceptible to illnesses like gingivitis and gum disease. Dental treatments can resolve the disease, yet repairing the lingering damage presents a different matter altogether.

In addition, mild gum recession can be caused by aggressive brushing techniques. Dentists recommend that your regularly brush your teeth with a less abusive soft bristled brush. Use the proper brushing technique to protect your gum tissues and prevent further recession.

Options for replacing the lost gum from between teeth

Your gums need specialized care before the dentist can start fixing the dark spaces. Once any present disease and infection has been cleared, then one of the following procedures may be recommended:

Dental bonding:

Also referred to as composite bonding, dental bonding repairs the structure and appearance of teeth. This technique uses the same resin like composite material that is often used to fill cavities. This commonly performed procedure offers cosmetic solutions that can last anywhere from five to 10 years with proper care and maintenance. Dr. Fondriest will perform a shade analysis to perfectly match the dental bonding to your natural tooth color, for a seamless appearance.

Using bonding instead of veneers to replace a gum papillae is quite difficult. When comparing bonding vs. veneers, replacing the lost gum from between teeth is easier with veneers.

Veneers:

Crafted from very thin pieces of ceramic, veneers act as a type of cover for your front teeth. They can camouflage a host of cosmetic issues in an otherwise healthy, functional dentition. Often old composite veneers are replaced with porcelain. Dental veneers are one of the best ways to improve the cosmetic appearance of teeth in a relatively short amount of time. It often takes just a couple of appointments to receive the veneers to camouflage the host of esthetic issues, including spaces between your teeth. However, due to their custom fabrication and design, ceramic veneers are pricier than other cosmetic treatments. Dental veneers last on average 15 to 20 years before needing replacement. Most clients who choose them feel that veneers are worth it.

Dental crowns can be used to fill space from lost gum from between teeth

Dental crowns are restorations used to protect a weakened or injured tooth. They also are used to correct serious esthetic flaws, when fillings or dental bonding will not suffice. The dental crown is usually made of porcelain, and covers the entire visible area of a tooth. This porcelain “cap” acts as a cover over the vulnerable or unaesthetic natural tooth.

It’s important to note that for each open space, two teeth will need cosmetic treatment. Essentially the root contours are reshaped to close the visible gaps.

An aspect of better quality dentistry is achieving a goal with the least amount of drilling. Crowns and veneers are the two main cosmetic dental options for transforming your smile.

Orthodontic treatment can close space from lost gum from between teeth

Gum disease will often cause recession of tissue from around and between your teeth. The gum between your teeth is called the interdental papillae. Losing the papillae produces the dark space. The black spaces will be more pronounced when your teeth shapes are triangular/trapezoidal in shape. Simply sanding the contact points of crowns to a more square shape will broaden the contact point between the crowns. As the teeth move closer, these spaces close down by pinching the gum papillae.

(11/24/2024)
by Dr. James Fondriest, DDS

More Information: https://lakeforestdentalarts.com/lost-gum-from-between-teeth/

Views: 382
Share


My BEST Dentists Journal Headlines