My BEST Dentists Journal

All Journal Entries
Share

Narrow palate: what problems and how to solve them

The narrow palate is a fairly common dental condition mainly in children, but it is not always easy to identify. If diagnosed, it can be treated and avoid repercussions on the body’s health.

What is meant by a narrow palate?

In the development of human anatomy, the width of the palate develops thanks to the action of the tongue. When the palate does not develops the right width, the main reason is an incorrect pressure of the tongue and the excessive contrast of the facial muscles. The narrow palate is therefore due, especially in children, to:

incorrect positioning of the language;

hypertonus of facial muscles (thumb sucking, mouth breathing, wrong swallowing).

The symptoms of a narrow palate can be:

malocclusions (misalignment of the dental arches, deep bite, …);

dental overcrowding;

vault of the deep palate.

The symptoms of a narrow palate may not always be ascertained with a self-diagnosis. To identify with certainty the presence of a wrong development of the palate it is advisable to contact a competent dentist who can carry out a diagnosis also making use of technological instruments.

What does it mean to have a tight palate?

In the presence of a narrow palate there is a condition of lack of space for the teeth, so it is very likely that there may be dental overcrowding.

Another consequence is the lack of alignment between the two dental arches. The lower arch, not finding the right correspondence with the upper arch, leads the jaw to deviate in order to act correctly during the phases of chewing and swallowing, but this results in a visible asymmetry.

A narrow palate also involves breathing difficulties. The jaw bone is in fact at the base of the nasal cavities, so if it is tight, the passage of air will be lower and the patient will be forced to breathe with his mouth. So at the base of some breathing problems, especially in children, there may be a problem with a narrow palate and it will therefore be useful to consult, in addition to an otolaryngologist, also a dentist.

Added to this are problems with phonation and swallowing.

The main causes of the narrow palate

Incorrect palate development may be due to hereditary or environmental factors. The main causes are therefore the following:

genetic factors;

incorrect habits (prolonged sucking of the thumb or pacifier, position of the wrong tongue);

trauma to the face.

How to work on the narrow palate?

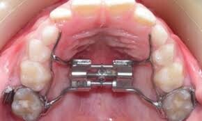
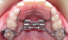
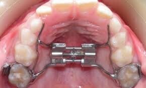
Orthodontic treatment is required to correct the palate. The dentist will insert a fixed palatal expander, anchoring it to at least four teeth. The action of the force exerted by the expander moves the palate outwards gradually enlarging it.

The orthodontic appliance does not compromise the aesthetics of the patient because it is not visible on the outside. The success of an orthodontic treatment with a palatal expander depends very much on the age of the patient.

In pediatric age it is much easier to get effective results in a short time, a condition that is not always possible in adulthood, when the conformation of the palate is now structured.

(10/25/2021)
by Sanident

More Information: https://www.sanident.com/en/narrow-palate-what-problems-and-how-to-solve-them/

Views: 917
Share


My BEST Dentists Journal Headlines