My BEST Dentists Journal

All Journal Entries
Share

Parulis Fistula: Dental Abscess Treatment and Symptoms

Parulis Fistula

Fistulas can occur in many different areas of the human body where bone or tissue are present. When faced with an area of chronic infection, the body’s natural response is to create a fistula. Persistent inflammation occurring on your gums can lead to the creation of puss which in turn can cause a puss corridor. Sometimes, the passage becomes lined with specialized cells produced by the body to fight infection which in turn lead to the formation of granulated tissue around the puss. When this corridor reaches the surface, it’s known as Parulis Fistula. The condition is sometimes called a fistula on the gum or a gum boil.

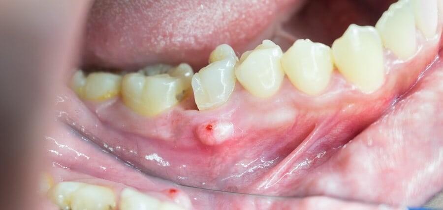
Dental Fistula Symptoms

A fistula on the gum may or may not be painful. It usually looks like a reddened or yellowish, inflamed pimple or ulcer on your gum tissue. It may bleed easily, and if you press on it, pus may come out.

A Serious Matter

A fistula on the gum is a serious condition that can lead to dental complications or even tooth loss. If left untreated, the infection could potentially spread and possibly destroy bones in the jaw and face. In rare cases, the infection can seep into the bloodstream and cause you to become septic.

Dental Abscess Treatment at Home

There are ways to treat a fistula on the gums. Rinsing your mouth with a solution of warm water and salt up to three times a day can be helpful. Salt is a natural anti-bacterial agent which may help to reduce the infection while the warm water will aid in increasing blood circulation. These are two important factors in healing the fistula. You can also try dampening a tea bag and holding it on the gum fistula. This treatment may help to relieve swelling and encourage the puss to drain, however, it is always recommended to visit your dentist.

Seek Help

If you have a gum fistula, it is necessary to seek the help from your dentist. They will be able to provide endodontic therapy also known as endodontic treatment or root canal therapy if needed.  They can also prescribe antibiotics to ensure the fistula does not worsen or cause lasting damage. In some cases, you may need surgical intervention and removal of the tooth to repair damage posed by the fistula. Some dentists may also want to drain the infection to help speed up the healing process.

A fistula on the gum is a serious issue and can have lasting effects and harrowing complications. If you suspect that you have a parulis fistula, gum boil, an appointment should be made to see a dentist as soon as possible, even if you are not experiencing pain. Rinsing your mouth with a solution of salt and warm water or applying a dampened tea bag may provide some relief while you are waiting to be seen by your dentist.

(10/24/2021)
by Maiden Lane Dental

More Information: https://maidenlanedental.com/parulis-fistula-dental-abscess-treatment-and-symptoms/

Views: 1,122
Share


My BEST Dentists Journal Headlines