My BEST Dentists Journal

All Journal Entries
Share

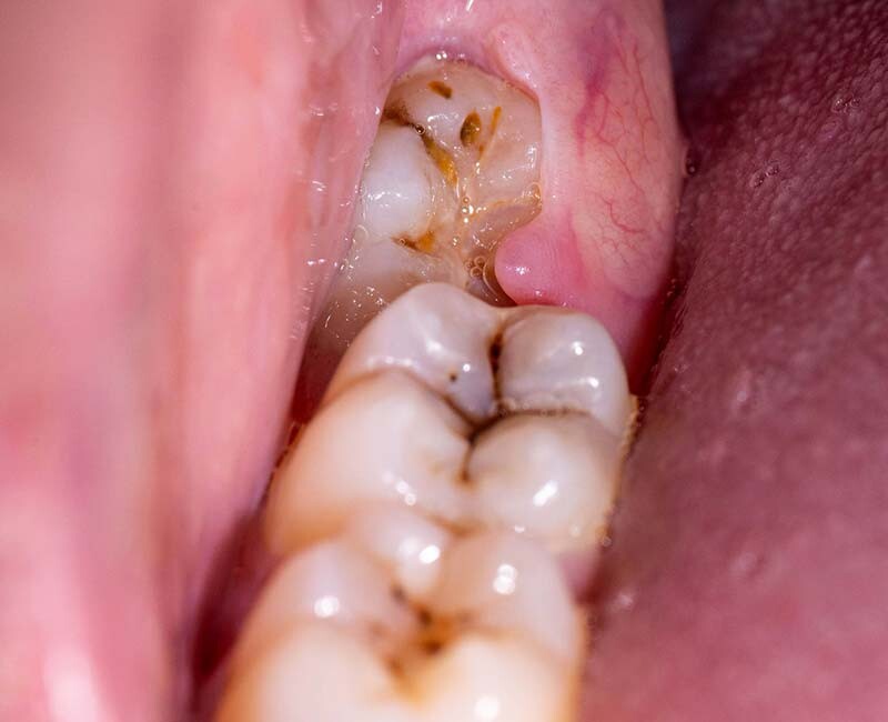
Problems Caused by Impacted Teeth

Many people across the country struggle with different dental issues. Impacted teeth is a common oral/dental problem that can often cause pain and discomfort in the mouth and jaw area. A lot of people often dismiss impacted teeth as a simple toothache, and don’t get the dental care they need in order to address the issue, ultimately leading to worsening problems.

What Is an Impacted Tooth?

An impacted tooth is simply another term for a tooth that has not completely broken through the gum tissue. A tooth can become impacted when there is not enough room within the jaw to accommodate the tooth. Some people naturally may have more impacted teeth than others, but the most common impacted teeth are a person’s third molars, also known as wisdom teeth.

4 Problems That Impacted Teeth Can Cause

Impacted teeth can cause someone a variety of issues from pain to even cysts, or lesions within the jaw. It is important to keep an eye out for any symptoms you think you may have with an impacted tooth and discuss these with your dentist or an oral surgeon.

1. Pain

The most common issue that comes along with an impacted tooth is pain. Whenever a tooth grows or erupts incorrectly, it can create pressure or get irritated easily, causing pain. Many people experience pain at the site of the impacted tooth, and others experience jaw pain under the impacted tooth.

2. Infections

The mouth is full of bacteria, both good and bad. If you have an impacted tooth that is struggling to erupt or is slow to break through, bacteria can infect the site. Food also can get stuck between crowded teeth causing cleaning issues, swelling, and infection.

3. Damage to Other Teeth

Whether it is your permanent adult teeth or wisdom teeth coming in, impacted teeth have the ability to cause damage to nearby teeth. When trying to break through the gum, the impacted tooth can push into or ‘crash’ into the other teeth around them, causing sensitivity and damage. They can also cause resorption of the roots of adjacent teeth.

4. Cysts

Cysts are another common problem caused by impacted teeth and occur when fluid forms around one of the eruption sites of a tooth. Cysts can result in pain and possibly damage to the roots and bone of surrounding teeth.

Do You Have an Impacted Tooth?

Don’t let tooth pain control your life. If you think you have an impacted tooth, you should consult with an oral surgeon and see what your next steps might be.

(05/04/2024)
by Oms Nashvile

More Information: https://omsnashville.com/blog/oral-surgery/problems-caused-by-impacted-teeth/

Views: 368
Share


My BEST Dentists Journal Headlines