My BEST Dentists Journal

All Journal Entries
Share

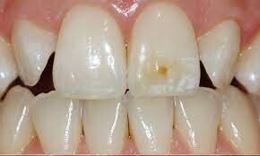
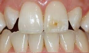
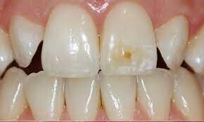
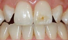
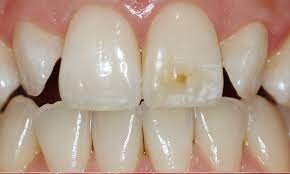
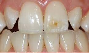
Seven Reasons Your Teeth Have Brown Stains

Do you have brown stains on your tooth and wonder where they might have come from? It takes no rocket science to figure out that whatever you consume leaves its marks on your teeth. Sometimes, your teeth may appear brown due to some particular oral health condition. So, knowing the causes behind these unattractive brown stains can prevent your teeth from worsening. Here are six reasons your teeth may have brown stains.

1.-Tobacco Products

Your teeth can develop brown spots when you use tobacco and its products like cigarettes, cigars, etc. In an exclusive interaction with OnlyMyHealth, Dr Kishkindha, BDS, on "the impact of smoking and tobacco on saliva," said that tobacco stains are the toughest stains to remove from teeth and in cases of chronic smoking, the stains could even get intrinsic and involve dentin; as a result, the teeth develop brown stains.

2.- Tartar Buildup

Tartar buildup is another reason you may have brown stains on your teeth. The colour of tartar ranges from yellow to brown and develops when the plaque is not removed regularly, hardening like a rock and leading to tartar.

3.- Foods & Drinks

Many foods and drinks could be the culprits behind your brown teeth stains. Beverages like coffee, tea, soda, alcoholic beverages, and some sauces can stain your teeth brown. Not only brown but blue, grey, and yellow stains can appear due to these food items.

4.- Fluorosis

It may seem ironic that the same fluoride that protects your teeth can harm it when taken in excess. Dental fluorosis usually occurs due to high fluoride intake during the tooth development stage due to the level of natural minerals. In mild cases, it takes a whitish appearance with a lacy marking, while in severe cases, which is rare, it causes brown spots, pitting across the surface of the teeth.

5.- Ageing

With ageing comes many different ailments, like eye conditions, hearing loss, and oral health problems. Brown stains can also develop on your teeth due to ageing. What you consume throughout your life has an effect on your teeth. The argument that smoking and tobacco stain the teeth is valid here too. These spots can develop due to teeth absorbing more from food and the environment throughout your life.

6.- Enamel Hypoplasia

Enamel hypoplasia is a condition in which teeth do not have enough enamel, which can occur due to genetic and environmental factors. A deficiency of certain vitamins or minerals can also affect this condition. This condition can affect more than one tooth and lead to the development of rough textured brown to yellow cloured spots.

7.- Trauma

Another reason you may have brown spots on your teeth is because of an injury or trauma. Trauma can damage your tooth nerve from within; as a result, your teeth can either turn partially or completely brown.

Conclusion

The prevention of brown stains on your teeth majorly depends on how much care you take for your teeth. If you’re practising good oral hygiene, you are unlikely to develop brown spots due to tartar and plaque buildup. Following a healthy diet for teeth, along with quitting smoking and tobacco products, can prevent brown stains due to these issues. In cases where brown stains are developed due to fluorosis or enamel hypoplasia, cosmetic, restorative, or structural treatment can be done based on the damage's extent.

(05/28/2024)
by Only My Health

More Information: https://www.onlymyhealth.com/reasons-for-browns-stains-on-teeth-1671437717

Views: 534
Share


My BEST Dentists Journal Headlines