My BEST Dentists Journal

All Journal Entries
Share

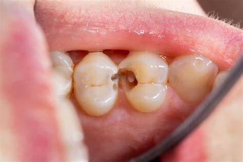
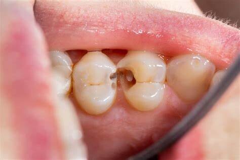
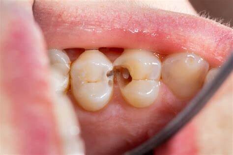
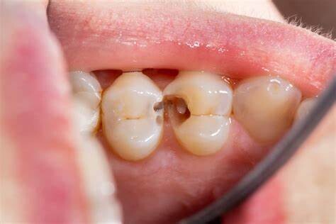
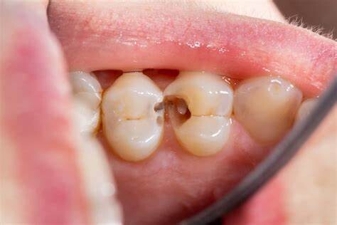
Signs Of A Cavity In Between Teeth

You know the importance of brushing your teeth and having good oral hygiene to avoid cavities. But did you know that cavities aren't just in your teeth?

Yes, even when you take care of your enamel, you can still end up with a cavity between your teeth. This has a technical term called an interproximal cavity. It forms like other cavities: when the enamel is worn away and bacteria are able to get into the tooth.

When this happens with your permanent teeth, it can cause tooth pain that you don't want to have to deal with, as well as other problems when the cavity penetrates into the bloodstream.

The Goal is to Keep Your Healthy Teeth Free From Decay

Preventive dentistry is the best way to make sure you don't end up with interproximal cavities and tooth decay. These tips will teach you how to recognize if you have the signs of a cavity in your teeth and how to prevent cavities in general.

Keep in mind that if you're concerned that you may have a cavity, you should contact your dentist early. The sooner the problem is taken care of, the less likely you'll need more serious fixes like a dental crown or root canal treatment.

Understand What a Cavity Is

You've been taught to brush your teeth since childhood to avoid cavities. But what exactly is this dental concern, anyway? And do you really need to floss?

A cavity is an easily preventable dental condition in which the hard surface of your teeth (the enamel) ends up with a tiny hole in it. This permanent damage is caused when the bacteria stick to the tooth.

Cavities Can Be Avoided With Regular Care

As you engage in frequent snacking, eat sugary foods or drink sugary drinks, and don't effectively clean right after, the food particles form dental plaque.

As plaque, bacteria sticks to the enamel and decays the tooth. If you don't remove decay fast, it turns into a hole that requires a large filling to fix it. However, if it's caught early, the enamel could be recalcified with fluoride gel.

Preventing a Cavity

The best way to prevent interproximal cavities and other cavity types, according to the American Dental Association, is to brush at least twice a day.

Use toothpaste with fluoride to get rid of the bacteria, and follow with flossing and a mouth rinse. Fluoride is a commonly added ingredient to most over-the-counter tooth products.

Tooth Sensitivity? Stop What You're Doing and Check Your Technique

If you notice tooth sensitivity, you could be using the wrong brush. Always use a soft-bristled toothbrush unless your dentist recommends otherwise. Brush your teeth in a circular pattern, and include your gums to prevent gum disease.

Habits Are Important, Too

Flossing is important since interproximal cavities form between the teeth, and the floss and mouthwash get up in those hard-to-reach places.

Avoid sugary snacks and drinks, quit habits like using tobacco, and head to your dentist during office hours for preventative cleanings. If you need professional help quitting bad habits, your primary doctor can provide medical advice.

Recognize the Symptoms of Interproximal Cavities

If you're concerned that something isn't quite right, but you're not sure what's going on with your teeth, look for these symptoms to guide you:

Sensitivity to heat or cold- This is usually one of the first side effects you'll notice as the cavity erodes your enamel and gets into the second layer of tissue, the dentin. Once temperatures reach this layer, discomfort is the natural side effect.

Pain in the teeth - Sensitivity is annoying but it goes away. Pain, on the other hand, is different. It's constant, mild to moderate, and often throbbing. It can be hard to narrow down where the pain is coming from because it feels like it's in your other teeth, too. The dentist can take x rays to figure out where the interproximal cavity is.

Bad breath - Officially called halitosis, bad breath is a warning that there's tooth decay going on somewhere. Halitosis is harder to diagnose yourself, but if you know you have it, you want it gone quickly.

Browning or yellowing teeth - When you see dark spots on your teeth, it's not normal. This is a sign that a hole is beginning to form inside the tooth. It can be recalcified with fluoride gel if you catch it before tooth decay becomes a hole. At that point, the dentist can use tooth colored filling material to cover the hole, but it can't be reversed.

Abscesses or pus forming - If you have a weird spot on your gums that is beginning to show pus, it's a sign your cavities have progressed. This means you have to schedule an ASAP visit with your dentist before your interproximal cavity requires a root canal, bridge or dental implant.

Chips - Sometimes, a chip or broken tooth occurs without us realizing it. If you ate something hard or sticky, it could have cracked the top layer. To prevent cavities from destroying the tooth, the dentist can place a natural looking cover over the tooth or add a filling treatment. This keeps plaque from getting into the dentin and causing discomfort. But a chip or crack that isn't treated becomes a serious dental issue, often requiring a root canal to correct.

Head to the Dentist Before You Think You Have a Cavity

So how can you avoid interproximal cavities between two teeth or cavities in general? The best thing to do is to seek out preventative care at least every six months, according to the American Dental Association.

Professional cleanings and dental exams help catch problems early, before cavities can form. And if you do need a filling, the dentist can use a variety of metal alloys to solve minor issues.

Prevention or Early Care, Either Way is a Good Reason to Visit the Dentist

Interproximal cavities form when bacteria is ignored and allowed to run rampant. Head to your dentist for routine visits, and call for an urgent appointment if you think you may have an interproximal cavity or any other dental issues.

(11/23/2024)
by Charlotte Emergency Dental

More Information: https://www.charlotteemergencydental.com/blog/signs-of-a-cavity-in-between-teeth/

Views: 422
Share


My BEST Dentists Journal Headlines